Undiagnosed Adult Fibular Bone Defect As A Result Of Childhood Lower Extremity Infection
The fibula is a non-weight-bearing bone. Its primary function is to combine with the tibia and provide stability to the ankle joint.1 Previously, many anatomists felt that the fibula was a rudimentary bone and served only as splint for the tibia; but new studies show the importance of the integrity of the fibula and its ligament attachments that maintain ankle stability.2
Case Report
A thirty-seven-year-old Asian female presented to our facility in September 2020 with concerns of right lateral ankle pain and instability. The patient related a history of mild pain in her ankle since she was young, but she now seeks medical attention due to recently worsening symptoms. She currently relates constant right ankle pain that causes her to transfer weight onto the left leg when she stands or walks.
The patient's past medical history is unremarkable except for preeclampsia during pregnancy and lower back pain that started after the birth of her second child. While the patient denies any known trauma, she remembers an incident while she was younger in Cambodia. Her brother elaborated that this incident involved an infection in her right leg when she was three years old and a doctor treated his sister's leg with antibiotics and no surgical intervention.
Our physical examination of the patient revealed normal lower extremity vascular and neurological findings and a prominent skin indentation noted at the level of the right lateral malleolus. A gross valgus deformity of the right ankle joint was also present, and slower velocity of gait. The range of motion of her right ankle joint was normal, and the active range of motion of her ankle elicited no pain.
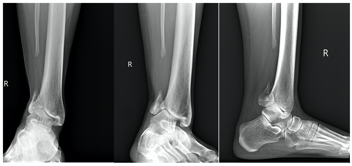
Radiographic evaluation of the right ankle revealed a significant fibular bone defect with bony consolidation of the free ends. A valgus malalignment is evident at the ankle joint. A weight-bearing AP radiographic view shows narrowing of the ankle joint space and overlapping of the distal fibular segment with the tibia. The lateral view of this radiograph reveals an anterior overlap of the distal tibia and the talus. There is a visible decrease in bone mass of the proximal fibular segment and an increase in bone mass of the distal portion of the tibia.
We informed the patient that this bony defect resulted from the infection she had when she was three years old. We discussed conservative and surgical options in detail. We consulted a reconstructive surgeon who determined that surgical intervention for this patient is not an appropriate course of treatment since her deformity is not currently having a significant negative impact on her life. However, there are surgical options to consider in the future if the patient chooses to undergo surgery. We instructed the patient to continue monitoring her pain level and any changes in symptoms.
We fit the patient with an Ankle Stabilizing Orthosis (ASO) to assist with her right ankle stability, which surprisingly immediately relieved her pain. She scheduled a three-month follow-up appointment for continued evaluation, but the patient chose not to return because the ankle brace had alleviated her pain.
In Conclusion
The patient's small remaining tip of the lateral malleolus allows for ligamentous attachments and is, in our opinion, why the ASO brace was a successful treatment option for this patient. The ASO brace may not continue to help this patient in the future, and surgery may be necessary. We recommended additional X-rays and yearly evaluations for this patient.
Dr. Robinson is the Chair of and an Assistant Professor in the Department of Medicine at the Temple University School of Podiatric Medicine. She is a Diplomate of the American Board of Podiatric Medicine.
Student Doctor Litarov is a fourth-year student at Temple University School of Podiatric Medicine in Philadelphia.
References
1. Hotchen AJ, McNally MA, Sendi P. The classification of long bone osteomyelitis: a systemic review of the literature. J Bone Jt Infect. 2017;2(4):167-174.
2. Bhowmick K, Boopalan PRJVC. Saving the ankle in distal fibular giant cell tumour - A case report. J Clin Orthop Trauma. 2019;10(6):1054-1058.
3. Iliadis AD, Ramachandran M. Paediatric bone and joint infection. EFORT Open Rev. 2017;2(1):7-12.
4. Calhoun JH, Manring MM, Shirtliff M. Osteomyelitis of the long bones. Semin Plast Surg. 2009 May;23(2):59-72.
Disclaimer: The views and opinions expressed are those of the author(s) and do not necessarily reflect the official policy or position of Podiatry Today or HMP Global, their employees and affiliates. Any content provided by our bloggers or authors are of their opinion and are not intended to malign any religion, ethnic group, club, association, organization, company, individual, anyone or anything.


