Is An Acute Charcot Event A Similar Process To A Cytokine Storm?
The existing literature implicates the process of a cytokine storm in the development of severe SARS-CoV-2, especially in younger and healthier patients.1 There is a historical suspicion that cytokine storms produced devastating disease during the 1919 Spanish Flu pandemic.2 Though the causative insults and resulting systemic manifestations of a cytokine storm are markedly different from that of an acute Charcot event; the underlying pathophysiology may exhibit striking similarities. Most notably, both processes appear to be hyperinflammatory events that are driven by immune dysregulation.
What Is A Cytokine Storm?
Cytokine storm is an exaggerated immune response that induces collateral damage through excessive activation of inflammatory pathways. Though the clinical syndrome is not discreetly defined, the primary characteristics include elevated circulating cytokines, systemic inflammatory symptoms, and associated organ dysfunction.1 Though most commonly associated with infectious processes, cytokine storm can occur in the setting of autoimmune and genetic disorders.1-4 Whatever the cause, failure of negative feedback systems can result in excessive and sustained inflammation. The cellular cascade involved in producing a cytokine storm is complex and beyond the scope of this commentary, but the underlying process appears to be the activation of tissue macrophages and other pro-inflammatory cells. When activated, these cells secrete inflammatory cytokines such as interleukin-1 (IL-1), interleukin-6 (IL-6), and tumor necrosis factor (TNF).1-5 Cytokine signaling elicits an elevated non-specific inflammatory cell response. Tissue destruction occurs when inflammatory cell actions incite non-discriminatory damage to native tissues. Damage to native tissues amplifies the inflammatory cascade, and the cyclical friendly fire may continue unabated.3
Patients with cytokine storm develop fever and systemic symptoms similar to sepsis. They may develop coagulopathies and respiratory symptoms. Once end-organ damage occurs, this process can result in rapid deterioration to shock and subsequent death. These symptoms occur due to the aforementioned cytokine-induced damage, physiological response to tissue injury, and immune cell-mediated processes.1-3,5 Management of cytokine storm depends on the underlying cause, but the current strategy includes maintaining organ function, controlling the initial insult, and decreasing inappropriate immune activation.2-5 Pharmacological management of cytokine storm varies depending on the severity and patient presentation, but current research focuses on using immunomodulatory drugs, anti-cytokine antibodies, and glucocorticoids to suppress the severity of the event.1-5
In foot and ankle trauma, the insult is mechanical rather than pathogenic. However, mechanical insults do not appear significant enough to reach the threshold required to elicit a circulatory cytokine storm. In contradistinc
tion, Charcot neuroarthropathy appears to encompass not only the inciting mechanical derangements but also persists due to secondary effects of a localized peri-articular cytokine storm.
Reviewing The Pathophysiology Of Acute Charcot Arthropathy
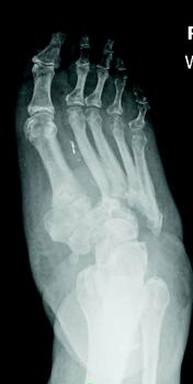
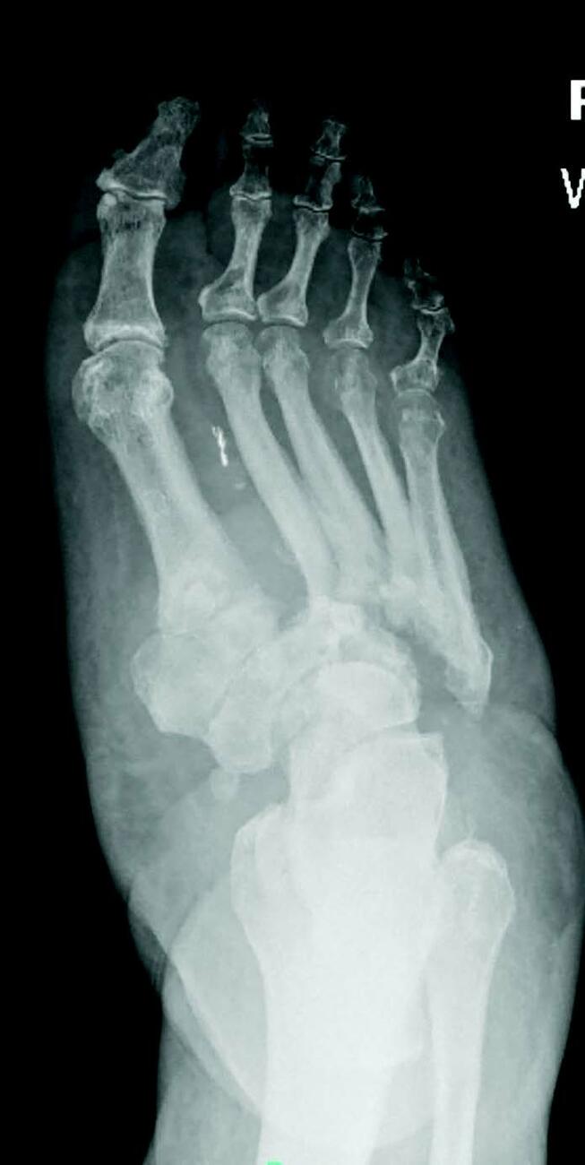
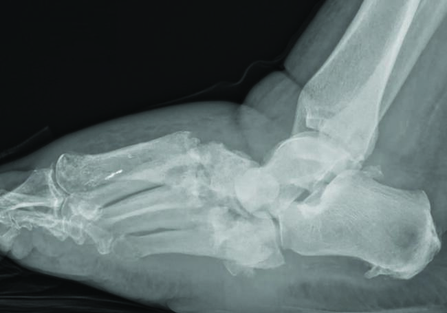
Charcot neuroarthropathy is a tissue-destructive process of the musculoskeletal system in patients with neuropathy.6-9 Most commonly affecting the foot and ankle, Charcot develops from repetitive trauma to an insensate foot. Historically, two theories describe the etiology of Charcot neuroarthropathy: the neurovascular theory; and the neurotraumatic theory. The neurovascular theory proposes that altered autonomics in patients with neuropathy leads to arteriovenous shunting and increased arterial flow, precipitating amplified osteoclastic activity and subsequent bone resorption and fracturing.10-11 The neurotraumatic theory suggests unrecognized trauma in neuropathic patients leads to repetitive injury and subsequent breakdown.12
Regardless of the cause, an acute Charcot foot is a hyperinflammatory event in the setting of immune dysregulation. Jeffcoate and colleagues hypothesized that Charcot foot developed due to the release of pro-inflammatory cytokines in an amplified immunologic response to trauma.12 They proposed a post-traumatic pathway that resulted in increased expression of TNF-α and IL-1ϐ. These cytokines induce increased expression of RANKL, which activates NF-κϐ (a transcription factor), mobilizing osteoclasts for osteolysis. Such a process would be a healthy response to injury, but in the setting of neuropathy, the injured site may sustain repetitive insults. Perhaps these repetitive insults manifest immune dysregulation, leading to an uncontrolled hyperinflammatory state.12-13 There is limited research to support this elegant theory, but there is acceptance of the proposed pathway as the most likely mechanism driving Charcot collapse.
Uccioli and team found that the patient with acute Charcot exhibits an inflammatory monocyte phenotype compared to healthy controls with diabetes.8 They also found increased concentrations of circulating cytokines in patients with acute Charcot.14 Baumhauer and coworkers utilized immunohistochemistry methods to evaluate cytokine mediators of bone resorption in osseous specimens of patients with Charcot arthropathy.15 They found enhanced activity of osteoclasts in the setting of IL-1, IL-5, and TNF-α activity,15 which supports the pro-inflammatory hypothesis.12-15
Management of the acute Charcot foot involves management of any present ulceration or infection and aggressive offloading through immobilization to prevent progression of deformity and amplification of the inflammatory cycle.16-17 There is some early evidence to suggest using immunomodulators such as TNF-ɑ inhibitors in the management of acute Charcot foot.18 Bisphosphonates are occasionally part of the treatment for the acute Charcot foot with mixed results.19 Surgical management of the acute Charcot foot is rarely indicated as surgical trauma may worsen the inflammatory cascade, resulting in even more bone resorption.
Concluding Thoughts
Acute Charcot arthropathy and a cytokine storm are very different clinical disorders that seem to result from similar underlying pathophysiology. In both conditions, an insult precipitates a hyperinflammatory state. In a cytokine storm, a pathogenic or autoimmune insult results in a systemic cytokine storm with systemic symptoms and life-threatening organ damage. In acute Charcot arthropathy, the insult is mechanical and may result in a localized, peri-articular cytokine-release syndrome with subsequent limb-threatening localized damage. Both syndromes exhibit elevated inflammatory markers such as C-reactive protein (CRP) and elicit marked tissue destruction. There is no published evidence of Charcot foot producing a systemic inflammatory response,20 but we have encountered patients in our practice presenting with acute Charcot foot and exhibiting fever and malaise. Due to SARS-CoV-2, cytokine storm is a target of significant interest and research. As more knowledge is gained on management and potential therapeutics, there is potential for application in other cytokine-mediated processes such as Charcot neuroarthropathy.
Dr. DuBois is an Associate of the American College of Foot and Ankle Surgeons, a former Limb Preservation and Deformity Correction Fellow at the University of Maryland Medical Center in Baltimore and is currently in private practice with Brandywine Podiatry in Wilmington, DE.
Dr. Cates is an Associate of the American College of Foot and Ankle Surgeons and is a foot and ankle surgeon with the Hand and Microsurgery Medical Group in San Francisco.
Dr. Brandão is a Fellow of the American College of Foot and Ankle Surgeons and the Assistant Program Director of the Limb Preservation and Deformity Correction Fellowship in Baltimore.
Dr. Wynes is a Fellow of the American College of Foot and Ankle Surgeons, an Assistant Professor of Orthopaedic Surgery and the Director of the Limb Preservation and Deformity Correction Fellowship at the University of Maryland Medical Center in Baltimore.
1. Coperchini F, Chiovato L, Croce L, Magri F, Rotondi M. The cytokine storm in COVID-19: An overview of the involvement of the chemokine/chemokine-receptor system. Cytokine Growth Factor Rev. 2020;53:25-32.
2. Liu Q, Zhou YH, Yang ZQ. The cytokine storm of severe influenza and development of immunomodulatory therapy. Cell Mol Immunol. 2016;13(1):3-10.
3. Fajgenbaum DC, June CH. Cytokine storm. N Engl J Med. 2020;383:2255-2273.
4. Canna SW, Behrens EM. Making sense of the cytokine storm: a conceptual framework for understanding, diagnosing, and treating hemophagocytic syndromes. Pediatr Clin North Am. 2012;59(2):329-344.
5. Ye Q, Wang B, Mao J. The pathogenesis and treatment of the `Cytokine Storm’ in COVID-19. J Infect. 2020;80(6):607-613.
6. Harkin EA, Schneider AM, Murphy M, Schiff AP, Pinzur MS. Deformity and clinical outcomes following operative correction of Charcot ankle. Foot Ankle Int. 2019;40(2):145–151.
7. Sohn M, Lee T, Stuck R, Frykberg R, Budiman-Mak E. Mortality risk of Charcot arthropathy compared with that of diabetic foot ulcer and diabetes alone. Diabetes Care. 2009;32(5):816-821.
8. Sohn MW, Stuck RM, Pinzur M, Lee TA, Budiman-Mak E. Lower-extremity amputation risk after Charcot arthropathy and diabetic foot ulcer. Diabetes Care. 2010;33:98–100.
9. Petrova NL, Edmonds ME. Charcot neuro‐osteoarthropathy—current standards. Diabetes Metab Res Rev. 2008;24:58-62.
10. Rogers J, Laird J. Overview of new technologies for lower extremity revascularization. Circulation. 2007;116(18):2072-2085.
11. Renner N, Wirth S, Osterhoff G, Böni T, Berli M. Outcome after protected full weightbearing treatment in an orthopedic device in diabetic neuropathic arthropathy (Charcot arthropathy): a comparison of unilaterally and bilaterally affected patients. BMC Musculoskel Disord. 2016;17(1):504.
12. Jeffcoate WJ. Theories concerning the pathogenesis of the acute Charcot foot suggest future therapy. Curr Diab Rep. 2005;5:430–435.
13. Jeffcoate WJ, Game F, Cavanagh PR. The role of pro-inflammatory cytokines in the cause of neuropathic osteoarthropathy (acute Charcot foot) in diabetes. Lancet. 2005;366(9502):2058-2061
14. Uccioli l, Sinistro A, Almerighi C, et al. Pro-inflammatory modulation of the surface and cytokine phenotype of monocytes in patients with acute Charcot foot. Diabetes Care. 2010;33(2):350-355.
15. Baumhauer JF, O’Keefe RJ, Schon LC, Pinzur MS. Cytokine-induced osteoclastic bone resorption in Charcot arthropathy: an immunohistochemical study. Foot Ankle Int. 2006;27:797–800.
16. Wukich DK, Raspovic KM, Hobizal KB, Rosario B. Radiographic analysis of diabetic midfoot charcot neuroarthropathy with and without midfoot ulceration. Foot Ankle Int. 2014;35(11):1108-1115.
17. Schneekloth BJ, Lowery NJ, Wukich DK. Charcot Neuroarthropathy in patients with diabetes: an updated systematic review of surgical management. J Foot Ankle Surg. 2016;55(3):586-590.
18. Petrova NL, Petrov PK, Edmonds ME, Shanahan CM. Inhibition of TNF-α reverses the pathological resorption pit profile of osteoclasts from patients with acute Charcot osteoarthropathy. J Diabetes Res. 2015;2015:917945.
19. Richard JL, Almasri M, Schuldiner S. Treatment of acute Charcot foot with bisphosphonates: a systematic review of the literature. Diabetologia. 2012;55(5):1258-1264.
20. Petrova NL, Moniz C, Elias DA, Buxton-Thomas M, Bates M, Edmonds ME. Is there a systemic inflammatory response in the acute Charcot foot? Diabetes Care. 2007;30:997–998.


