Case Study: Titanium Hypersensitivity in Charcot Beaming
Although hypersensitivity reactions to titanium implants are rare, a poster detailing a titanium allergy in a Charcot beaming patient, presented at the American College of Foot and Ankle Surgeons Scientific Conference, reminds podiatric surgeons to be vigilant.1
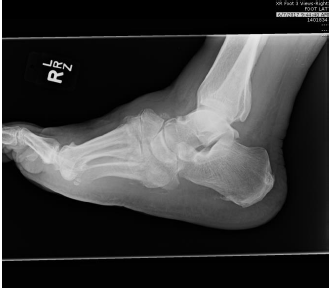
The patient was a 52-year-old man with Charcot neuroarthropathy who underwent medial and later column beaming, joint arthrodesis of the second and third tarsometatarsal joints with nitinol staples, and Achilles tendon lengthening. The patient subsequently developed wounds on the dorsal and medial aspects of the foot, which resisted local wound care therapies and debridement, notes the poster.
A patch test revealed an allergic reaction to titanium. The authors note that after radiographic union occurred, all implants were removed, and the wound resolved a month later. The authors urge a higher level of suspicion for hypersensitivity reactions.
Reference
1. Wireman G, Schultz A, Bodamer A, Anciano V. Charcot foot beaming with subsequent titanium allergy: a case report. Presented at the American College of Foot and Ankle Surgeons Scientific Conference, Los Angeles, Feb. 9–12, 2023.


