A Case of a Rare Osteochondral Defect of the Distal Tibial Plafond
Osteochondral defects (OCDs) are relatively common in the hip and foot; however, they are rarely encountered in the distal tibia. In the foot, they most commonly occur in the talus.
We report a case of a patient who presented to our clinic with chronic pain and swelling to the right ankle that was idiopathic in nature. The patient failed conservative efforts including offloading in a controlled ankle motion (CAM) boot and corticosteroid injections. This prompted further analysis with advanced imaging. Magnetic resonance imaging (MRI) revealed osteochondral cystic changes and bony irregularity involving the medial talar dome and the anterior midline tibial plafond. The patient underwent right ankle arthroscopy and arthrotomy with subchondroplasty and bone marrow aspirate harvesting. The tibial lesion was expected during arthroscopy, but was not encountered.
This report serves as a review of both etiology and treatment of OCDs as it relates to the tibial plafond and over-sensitization of tibial plafond OCD on MRI findings.
What You Should Know About OCDs and AVN
An osteochondral defect (OCD) can occur acutely or develop because of multiple chronic conditions.1 These conditions include but are not limited to separation of an osteochondral fragment due to an acute injury, or can be a result of an unstable fragment in osteochondritis dissecans (OCD).1 (In the current literature, the abbreviation OCD is used interchangeably for osteochondral defect and osteochondritis dissecans, leading to some confusion.) These defects can also occur through acute osteochondral impaction of the bone with a resulting deformity, collapse of the subchondral bone in subchondral insufficiency fractures (SIF), avascular necrosis (AVN), and bone collapse with subsequent uncovering of a subchondral cyst.1
In many cases, the exact mechanism of AVN is unknown. In nontraumatic AVN, the pathogenesis is believed to involve vascular compromise, bone and cell death, or defective bone repair.2 An AVN or OCD injury can be the result of a single traumatic event (such as during high level impact sports) or repetitive microtrauma.3 Other predisposing risk factors include chronic alcohol abuse, corticosteroid usage, and tobacco usage.4 The diagnosis of AVN and OCD can be difficult as radiographic imaging can appear normal during the early stages of the disease process.1 To assess these lesions adequately, advanced imaging is warranted in the form of magnetic resonance imaging (MRI).5 A bone scan has shown utility in confirming the diagnosis. Computed tomography (CT) can also be performed and was found to have the same diagnostic accuracy as MRI. Itsubo et al reported 100% sensitivity and 80% specificity for diagnosing OCD lesions on MRI.6
Aichroth found that the talus is the third most frequently affected anatomical site for OCDs, after the knee and the elbow joints.7 According to the literature, OLTs have an incidence of 0.09% and a prevalence of 0.002/100,000 person/year.8,9 OCD of the ankle accounts for nearly 4% of all cases throughout the body.4 A study by McLeod described OCDs of the tibia occurring in bilateral diaphyseal–metaphyseal borders.4 However, OCD of the tibial plafond is rarely described. We encountered one patient with osteochondral injury of the tibial plafond, as well as talar defects. We report the imaging appearance of osteochondral injury of the tibial plafond on conventional MR imaging of our patient, and review the literature describing osteochondral defects of the tibial plafond.
Patient Presentation and Treatment
This study was approved by the local institutional ethics committee. The patient granted consent to publish the data concerning his case.
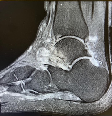
A 50-year-old male with type 2 diabetes and chronic joint pain presented to our clinic after several previous emergency department visits with leg pain and swelling. An ultrasound had ruled out deep vein thrombosis and X-ray imaging ruled out acute fractures (see first images to left). The patient denied any known trauma or injury to the area.
Physical examination showed pain with active and passive range of motion about the ankle most significant with inversion and dorsiflexion, as well as pain on palpation of the anterior medial ankle. Multiplanar, multisequence MR images of the right ankle without gadolinium contrast showed extensive marrow edema in the talus and sinus tarsi, as well as osteochondral cystic changes with bony irregularity involving the medial talar dome and focal cartilage defect to the anterior midline tibial plafond (see MRI images to left).
A Guide to Surgical Technique
We used the traditional medial and lateral arthroscopy ports for the right ankle. We inserted a NanoScope (Arthrex) 1.9-mm camera into the right ankle joint and maneuvered it around, utilizing a continuous flow of saline at 35 mL radial flow. After adequate visualization of the medial shoulder talus lesion (Figure 3), the lesion was roughly 1.0 cm x 0.5 cm in terms of width and length. We expected a tibial lesion but did not encounter it; nor was it grossly visual intraoperatively. There was anterior tibial spurring.
We collected bone marrow aspirate from the calcaneus, centrifuged it and mixed it with 5 mL of demineralized bone matrix. We then performed subchondroplasty through the lateral portal through the body of the talus to be placed just underneath the lesion.
We incised the medial portal incision to 3.5 cm and performed ankle arthrotomy to better visualize the medial shoulder OLT. After visualizing the talar lesion, and utilized a BioCartilage (Arthrex) mix with platelet poor plasma after centrifuge to cover the cartilaginous defect grossly with intraoperative visualization.
Wound closure was with absorbable sutures for subcutaneous tissue and nylon for the skin. We covered the ankle with sterile gauze and a bandage and immobilized it with a controlled ankle motion boot.
On the first postoperative visit the patient reported his pain on a scale graded as a 6/10.
He remained non-weight-bearing using a Roll-A-Bout knee scooter and pneumatic CAM walker. On post-op day 15, the patient reported his pain had increased and the surgical incision was well coapted without any signs of infection. On day 29 the patient was placed in a Unna boot as the incision was well coapted and edema was present. Patient remained non-weight-bearing with the remaining 7/10 pain. On day 53 the patient reported a decrease in pain, and the surgical incision site had a small dehiscence to the proximal incision; vicryl suture was present and protruding from dehiscence, which we removed. We could not obtain further follow-up as the patient was deceased prior to the 90-day global period.
What the Literature Reveals About OCD Lesions in the Tibia
While there is an abundance of literature pertaining to OLTs, studies describing OCD lesions of the tibia are lacking.
A study by Mologne and Ferkel found that in 880 consecutive ankle arthroscopies, only 2.6% of lesions involved the distal tibia.10 It has been theorized that the anatomy of the tibia makes it less prone to insult compared to the tibia. Athanasiou et al performed biomechanical creep indentation studies on cadaveric ankle cartilages and observed that tibial cartilage is stiffer than talar cartilage; 1.19 MPa compared to 1.06 Mpa.11 The posterolateral and medial shoulders of the talus were additionally found to be areas with more laxity (0.92 MPa).11
Another anatomic feature that could provide support to the tibia is its shape. Elias et al postulated that the concave articular surface of the tibial plafond plays a protective role compared to the convex surface of the talar dome.12 Axial loads on the convex dome of the talus are compressive shearing forces, which predispose the articular and subchondral surfaces to large amounts of stress. The concavity of the distal tibial plafond undergoes less stress compared to the talar dome. Axial forces acting on the concave plafond are tensile shear forces, which allows for more efficient force distribution compared to the compressive forces enacted on the talar dome.12 Elias et al calculated the prevalence of talar to tibial plafond OCD lesions seen on MRI to be 20:1.12 A study by Bui-Mansfield et al found this ratio to be slightly more common at 14:1.13 A more recent study by You et al found the incidence of distal tibia OCDs coexisting with talar lesions to be much higher than the aforementioned studies. In their study, they found the prevalence of OCD lesions of the distal tibia to be 15.8-20.5%.14 This would correlate to a ratio of talar to tibial lesions of 6:1, which is much more common than previous studies would suggest.14 Discrepancy in the prevalence of these lesions is likely due to the dearth of studies related to this topic.
Apart from the location, osteochondral injury of the tibial plafond has radiographic findings like those of OLTs.15 The prevalence of osteochondral defects in the tibial plafond detected on radiography is unknown.15 A few possible reasons for this underreporting of osteochondral defects in the tibial plafond in the literature include lack of visibility on conventional radiographs, and radiologists not aware enough of the lesion or patient history to recognize the lesion.15 The lesions are difficult to identify by conventional radiographs and can be missed in up to 50% of patients.16 Computed tomography (CT) can detect osteochondral defects in the tibial plafond with a sensitivity of 0.81 and specificity of 0.99; however, it is not able to assess cartilage involvement, or bone marrow edema.16 MRI is the recommended imaging technique to assess for Osteochondral lesions and has a sensitivity and specificity of 0.97.13,16 Bachmann et al reported that radiographic findings corresponded with arthroscopic staging in only 56% of the patients because fibrosis may provide stability in instances of osseous separation; this may explain the discrepancy between the arthroscopic findings and the imaging findings of our patient.
Two cases of idiopathic OCDs of the distal tibial epiphysis were reported by Gascó et al in a 4-year-old female and an 8-month-old male.17 Bauer et al reported on a series of 30 patients who had osteochondral defects of the ankle, in which 7% had osteochondral defects of the tibial plafond; the remaining had OLTs.8 Bauer et al study gave a ratio of talar dome to tibial plafond lesions of 14:1.
Patients with osteochondral lesions of the tibial plafond had similar symptoms as those with OLTs.15 Osteochondral defects of the talus often require surgical repair for symptomatic relief. There are varying treatment methods for management of osteochondral defects, which are often chosen depending on the severity of symptoms and size of the lesion. OCD that are recalcitrant to an initial period of conservative management with offloading are considered candidates for surgical intervention. Modalities for treatment described in the literature include excision and curettage, autogenous bone grafting, transmalleolar drilling, osteochondral allograft transplantation (OATS), autologous chondrocyte implantation, retrograde drilling, and fixation.5 While there is an abundance of literature describing treatment of symptomatic OLT, reports of treating these lesions in the distal tibia are less commonly described. The limitations of this study include the lack of literature regarding osteochondral lesions of the tibial plafond, and one patient to report with limited follow-up. Unfortunately, the full management of our patient and resolution of symptoms is not available.
In Conclusion
Although osteochondral defects of the distal tibia are rare, it can be presented on sensitive imaging. Diagnostic studies should be correlated with clinical findings. This case study further presents the rarity of OCDs within the distal tibia, and the symptomatic pathologies usually are due to the talus.
Addendum: Additional Examples of Representative Pathology
Dr. Kitchens is a second-year podiatric resident at the University of Louisville School of Medicine in Louisville, KY.
Dr. Schultz is a first-year podiatric resident at the University of Louisville School of Medicine in Louisville, KY.
Dr. Gracey practices in Shephersville and Louisville, KY.
- Gorbachova T, Melenevsky Y, Cohen M, Cerniglia BW. Osteochondral lesions of the knee: differentiating the most common entities at MRI. RadioGraphics, 2018; 38(5):1478–95. 180044.doi:10.1148/rg.2018180044
- Assouline-Dayan Y, Chang C, Greenspan A, Shoenfeld Y, Gershwin ME. Pathogenesis and natural history of osteonecrosis. Semin Arthritis Rheum. 2002 Oct;32(2):94-124. PMID: 12430099.
- Zanon G, DI Vico G, Marullo M. Osteochondritis dissecans of the talus. Joints. 2014;2(3):115-123. Published 2014 Aug 1. doi:10.11138/jts/2014.2.3.115
- McLeod JM, Ng A, Kruse DL, Stone PA. Nontraumatic osteonecrosis of the distal tibia: A case presentation and review of the literature. J Foot Ankle Surg. 2017;56(1):158-166. doi:10.1053/j.jfas.2016.04.001
- Zengerink M, Szerb I, Hangody L, Dopirak RM, Ferkel RD, van Dijk CN. Current concepts: treatment of osteochondral ankle defects. Foot Ankle Clin. 2006 Jun;11(2):331-59, vi. doi: 10.1016/j.fcl.2006.03.008. PMID: 16798515.
- Itsubo T, Murakami N, Uemura K, et al. Magnetic resonance imaging staging to evaluate the stability of capitellar osteochondritis dissecans lesions. Am J Sports Med. 2014; 42: 1972–1977.
- Aichroth P. Osteochondritis dissecans of the knee. A clinical survey. J Bone Joint Surg Br. 1971;53:440–447.
- Bauer M, Jonsson K, Lindén B. Osteochondritis dissecans of the ankle. A 20-year follow-up study. J Bone Joint Surg Br. 1987;69:93–96.
- Flick AB, Gould N. Osteochondritis dissecans of the talus (transchondral fractures of the talus): review of the literature and new surgical approach for medial dome lesions. Foot Ankle. 1985;5:165–185.
- Mologne TS, Ferkel RD. Arthroscopic treatment of osteochondral lesions of the distal tibia. Foot Ankle Int. 2007; 28(8):865–872.
- Athanasiou KA, Niederauer GG, Schenck RC Jr. Biomechanical topography of human ankle cartilage. Ann Biomed Eng. 1995; 23(5):697–704.
- Elias I, Raikin SM, Schweitzer ME, Besser MP, Morrison WB, Zoga AC. Osteochondral lesions of the distal tibial plafond: localization and morphologic characteristics with an anatomical grid. Foot Ankle Int. 2009;30(6):524–529.
- Bui-Mansfield LT, Kline M, Chew FS, Rogers LF, Lenchik L. Osteochondritis dissecans of the tibial plafond: imaging characteristics and a review of the literature. AJR. 2000; 175:1305–1308
- You JY, Lee GY, Lee JW, Lee E, Kang HS. An osteochondral lesion of the distal tibia and fibula in patients with an osteochondral lesion of the talus on MRI: Prevalence, location, and concomitant ligament and tendon injuries. Am J Roentgenol. 2016; 206(2):366–372. doi:10.2214/AJR.15.14861
- Liem T, Bui-Mansfield LT, Kline M, et al. osteochondritis dissecans of the tibial plafond. Am J Roengenol. 2000; 175(5):1305–1308.
- Gianakos AL, Yasui Y, Hannon CP, Kennedy JG. Current management of talar osteochondral lesions. World J Orthop. 2017;8(1):12.
- Gascó J, González-Herranz P, Minguez MF, Gil-Albarova R. Avascular necrosis of distal tibial epiphysis: report of two cases. J Pediatr Orthop B. 2010;19:361–365.


