Top 10 Innovations in Podiatry: 2023 Roundup
Supported by In2Bones and Artelon.
Jennifer Spector, DPM:
Welcome back to Podiatry Today Podcasts, where we bring you the latest in foot and ankle medicine and surgery from leaders in the field. I'm Dr. Jennifer Spector, the Assistant Editorial Director for Podiatry Today, and I'm joined by Brian McCurdy, Podiatry Today's Managing Editor. In this special episode, we're highlighting our Top 10 Innovations in Podiatry feature for 2023, a yearly breakdown of new and exciting products and services in the podiatry space that could have an impact on your practice. In this episode, we'll take a closer look at each of this year's honorees and hear from some key opinion leaders on their experiences with them. Brian, can you start us off by sharing a little bit about the history of Podiatry Today's Top 10 Innovations?
Brian McCurdy:
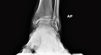
We started the top 10 innovations back in 2000, and since then, Podiatry Today has spent two decades canvassing our editorial board, thought leaders, and the Podiatry Today audience for nominations. We've seen many current mainstays and game changers of practice emerge from these features. Well, with that being said, let's dive into this year's group of innovations in no particular order. First, let's start off with the CoLink PCR plating system from In2Bones. Available since late 2022, this is a carbon fiber reinforced PEEK system layered in alternating directions to enhance performance. This system has applications including osteotomy and arthrodesis, and for first MPJ fusion has options in neutral and four degrees of dorsiflexion. Let's hear from Bradley Abicht, DPM, on his experience with this system.
Bradley Abicht, DPM:
What makes it unique is its complete invisibility or radiolucency on x-ray. They do infuse a little bit of barium sulfate to be able to see the outline of the plate, but the plate is otherwise completely see-through, which makes it very convenient for the surgeon to be able to monitor their osteotomy or their arthrodesis site. And you can show your patients that and give them some confidence on their bone healing.
Here's what Dr. Abicht had to say when asked about some of the other unique attributes of this system. I guess the only other thing I'd say about this particular material, it's 2.5 times greater fatigue strength than compared to like a titanium plate. That's another benefit that it has. It also reduces the risk of cold welding due to the material, so you don't get the same kind of metal on metal bonding that you might with traditional plates. So if that ever has to be removed, it's going to be a little easier to take out. Being able to see through the plate to the site of fusion or osteotomy on x-ray seems like a really valuable option for surgeons. It absolutely is. I can see it inspiring a lot more confidence in the status of the fusion or the healing, which is always a primary factor postop in these cases.
Jennifer Spector, DPM:
Next we have the SCore from Subchondral Solutions. The company website shares indications for fixation of trabecular fractures, osteotomies, bone edema, and as a fixation point for soft tissue and graft augmentation. It comes in a variety of sizes to address many subchondral and articular lesions. Bob Baravarian, DPM has used the S-Core system for conditions like hallux rigidus and avascular necrosis of the second metatarsal. Let's hear his observation on the product and how surgeons approach certain conditions involving joint damage.
Bob Baravarian, DPM:
There's a few things about it that are kind of unique. Number one is we've always kind of thought about the articular surface as being the main source of problems, but sometimes you'll see patients who have arthritis, but they don't have any pain. Some of the thinking is that it's not actually the cartilage that's damaged, it's the subchondral bone that's got the damage, where you have cystic changes or underneath the cartilage or deep to the cartilage, there's subchondral damage or cystic changes and that's what causes the bone to be soft and cause pain. What the S-Core is able to do is you can actually treat the subchondral bone and put a cover on that will help protect the cartilage and you can actually grow like a fibrocartilage layer that has been helpful. But really the S-Core is treating subchondral issues and it's kind of unique as one of the only products that can do that.
Brian McCurdy and Raymond Abdo, DPM:
Being able to fully conform to an irregular, undermined, or tunneling wound is an important feature of a desirable wound matrix. 3D can be cut to the necessary size for full wall apposition. Raymond Abdo has some thoughts to share on this top 10 innovation from Reprise Biomedical. What makes it unique? It's 3D in the sense that it has two centimeters thickness, whereas all the other matrices seem to be more flat and doesn't provide the volume that you would need in these deep tunneling wounds. It's great over deep structures such as tendon, bone, et cetera. And what we've noticed is it's the poorest type of structure that's easy and malleable after you hydrate it that can go into these different wounds that are obviously have different types of sizes and shapes, crevices, things of this nature that conforms quite well.
Jennifer Spector, DPM:
Bone marrow stimulation is key in many procedures and this new option may increase the marrow access while causing less disruption to native bone. Brian Benson, DPM, shared with us that initially the SmartShot was indicated for microfractures only but that he now uses it for joint preparation for a hindfoot fusion. Let's hear more of his thoughts on this system. \
Brian Benson, DPM:
So one of the things that makes SmartShot unique, the first thing that comes to mind is there's no generation of heat. So in the past for joint preparation, we've used everything from K wires to drill bits. And of course, as we know and what we have learned is that drill bits and K wires generate a significant amount of heat, which oftentimes can increase the risk of thermal necrosis and increase the rate of fusion failure. So with the SmartShot, it is not a drill bit. It penetrates the subchondral plate to a specified depth, whether that be six millimeters or eight, but it is very consistent, reproducible results. And I don't have the same concerns regarding thermal necrosis of the bone. Moving on to our next innovation, this one's making waves in tendon and ligament reconstruction. These procedures can be tricky as far as assuring as much strength as possible in the repair.
Jennifer Spector, DPM:
Brian spoke with Ryan Scott, DPM, recently, who had some comments on his experience with an emerging option in these cases, the FlexBand Solo from Artelon.
Ryan Scott, DPM:
So I think one of the biggest features that makes the FlexBand Solo product unique, at least to me, is the availability for it to incorporate into the surrounding soft tissues over time, as well as its elasticity properties that mirror or mimic more of a native ligament versus some of the competitive products on the market. What impact have you seen in patients as a result of using it? So the biggest impact I've seen in my use with patients is their availability to get up and moving that much faster. I have a fairly significant sports population and or active population, and I see a fair amount of ankle instability and ankle sprains. And this product's really allowed me to get these patients back up and moving and doing their activities of daily living and their sporting events much faster than my prior implant.
Brian McCurdy:
The Creator of our next featured product stresses the convenience and versatility of the TriTower ankle brace, especially in scenarios where a walking boot is not ideal. It fits into a shoe and is dispensable in the office with nearly universal sizing. Dr. Terry Nayfa recalled one particular case where the patient really benefited from this option.
Terry Nayfa, DPM:
One of my favorite patients, it was a mom. She was probably early 40s, maybe, yeah, probably, and she said she sprained her ankle really bad. She came in and I said, OK, let's put you in a walking boot. And she said, I can't wear a boot. And I said, why is that? And she said, well, I'm going to Disney World for five days. And she said, there's no way I'm going to walk around Disney World in a walking boot. It'll make my foot worse. So I said, well, let's try on this TriTower ankle brace. And we put it on her. I had her walk around the office and said, let's don't be in a hurry. We want this trip to be really good for you. We want you to have minimal pain. And she said, I definitely want the brace. And then she called us back about a week later and said, I made it fine. I walked the whole parks every day and I had minimal pain. She was just thrilled to death.
Jennifer Spector, DPM:
We all know how important risk stratification and comprehensive diabetic foot screening is. And our next innovation is working to become a vital tool in that process. According to their website, Revealix is a mobile software solution enabling proactive, personalized, and data-centric foot care based on custom thermal imaging and risk scores. Alton Johnson, DPM, shared his experience with us on how he sees this option impacting screening, reporting, and referrals.
Alton Johnson, DPM:
Takeaway mainly is that this is a screening tool, right? So it's like, it helps you risk stratify. So you know, like mild, moderate, or severe risk for these patients. And also for patients or for providers, I should say, that don't deal with the foot often, this probably will help them feel more comfortable when it's more readily available in the market, because now they can feel like, oh, okay, I probably should send this patient to Dr. Johnson tomorrow versus two or three months from now. It almost kind of gives them a gauge on how to manage the diabetic foot for these patients before they ulcerate.
Brian McCurdy, DPM:
The MOBO board was designed by a physical therapist to build better foot control specific to the architecture of the foot. It has a hole in the bamboo board underneath the lesser toes to discourage a gripping action and encourage engaging the great toe for stability. Rob Conenello, DPM, shared with us his thoughts on the role of this modality. Probably have used the MOBO board for the last five years, I believe, since it was introduced by a physical therapist out in Bend, Oregon. And it is a great thing to utilize for any individual who suffers from lack of mobility, flexibility, and strength of the forefoot. I use it most of the time for athletes who are having a tough time with other kind of issues that happen more upstream from the foot, such as shin splints, knee pain, hip pain. But we also utilize it for people with overall foot weakness and have bunions and limitation of motion at their first metatarsophalangeal joint.
Jennifer Spector, DPM:
Janus kinase inhibitors have been a topic of discussion in the world of dermatology as of late, but there's a new topical version of this type of medication on the market that clinicians should know about. We asked Tracy Vlahovic, DPM, about Opsalora from Insight Dermatology, and she told us that it's the first JAK inhibitor in topical form. The company shared that it has indications for atopic dermatitis and non-segmental vitiligo, and the specific instructions for use are available on the website. The interesting point I noted for Opsalora is that it is a non-steroidal option for atopic dermatitis, which is important to have in the treatment arsenal. Brian, I think we have one more innovation to touch down on today, the Innovamatrix PD from Convatec.
Brian McCurdy, DPM:
Interestingly, when placental allografts are human derived, there can be variation in the medical histories or behavior of the donor that impact the end product. A new allograft instead uses a porcine source to control for these factors, including genetic variability. The company website lists all the indications and notes that the allograft is the first particular placental extracellular matrix, with clearance from the FDA for wound management.
Jennifer Spector, DPM:
That is something for clinicians to consider. What is the impact of that donor source on the allograft and subsequently for the patient? But there's so much more we could say and learn about each of these pioneering options in podiatry. So for more information on all of this year's top 10 innovations, check out our July cover story at podiatrytoday.com. You can also head over to podiatrysource.com, our clinically reviewed product guide, and click on the top 10 innovations category for more information on each product. Thanks for joining us today, and be sure to check out other episodes of Podiatry Today podcasts on our website, Apple Podcasts, Spotify, SoundCloud, and your favorite podcast platforms. Be sure to stay tuned for messages from some of our supporting companies.


