Skip to main content

Volume 36 - Issue 6 - June, 2024

Featured Article

Original Contribution
03/04/2024

Silvia Mas-Peiro, MD PhD1; Alberto Alperi, MD PhD2; Marisa Avvedimento, MD1,3;  Ander Regueiro, MD PhD4; Pablo Avanzas, MD2; Domenico Angellotti, MD3; Giovanni Esposito, MD PhD3; Pablo Vidal-Cales, MD4; Siamak Mohammadi, MD1; Julio Farjat-Pasos, MD1; Cesar Moris, MD2; Josep Rodés-Cabau, MD PhD1,4

Silvia Mas-Peiro, MD PhD1; Alberto Al...
The purpose of this multicenter study was to evaluate the relationship between the degree of oversizing and moderate-to-severe PVL in patients undergoing TAVR with the new generation supra-annular valves Evolut R/PRO/PRO+, and to explore...
The purpose of this multicenter study was to evaluate the relationship between the degree of oversizing and moderate-to-severe PVL in patients undergoing TAVR with the new generation supra-annular valves Evolut R/PRO/PRO+, and to explore...
The purpose of this multicenter...
03/04/2024
Journal of Invasive Cardiology
Original Contribution
03/04/2024

Yoshiyuki Yamashita, MD, PhD1; Serge Sicouri, MD, PhD1; Gianluca Torregrossa, MD2; William A. Gray, MD3; Francis P. Sutter, DO2; Basel Ramlawi, MD1,2

Yoshiyuki Yamashita, MD, PhD1; Serge ...
This study aims to fill a literature gap by detailing outcomes of patients undergoing this novel approach for the treatment of both coronary artery and aortic valve disease.
This study aims to fill a literature gap by detailing outcomes of patients undergoing this novel approach for the treatment of both coronary artery and aortic valve disease.
This study aims to fill a...
03/04/2024
Journal of Invasive Cardiology
Original Contribution
02/29/2024

Spyridon Kostantinis, MD; Olga Mastrodemos, BA; Larissa Stanberry, PhD; Yader Sandoval, MD; Salman S. Allana, MD; Deniz Mutlu, MD; Bahadir Simsek, MD; Athanasios Rempakos, MD; Judit Karacsonyi, MD, PhD; Michaella Alexandrou, MD; Brynn K. Okeson, MS; M. Nicholas Burke, MD; Bavana V. Rangan, BDS, MPH; Emmanouil S. Brilakis, MD, PhD

Spyridon Kostantinis, MD; Olga Mastro...
The authors compared the administered contrast volume for optical coherence tomography (OCT) imaging, the length of clear OCT images, and the immediate electrocardiographic changes following contrast injection between iso-osmolar contrast...
The authors compared the administered contrast volume for optical coherence tomography (OCT) imaging, the length of clear OCT images, and the immediate electrocardiographic changes following contrast injection between iso-osmolar contrast...
The authors compared the...
02/29/2024
Journal of Invasive Cardiology
Clinical Images
03/04/2024

Richard Casazza, MAS, RT(R)(CI); Bilal Malik, MD; Habib Hymie Chera, MD; Enrico Montagna, RT(R)(CI); Nailun Chang, MD; Asiya Batool, MBBS; Maryann Ruggierio, MD

Richard Casazza, MAS, RT(R)(CI); Bila...
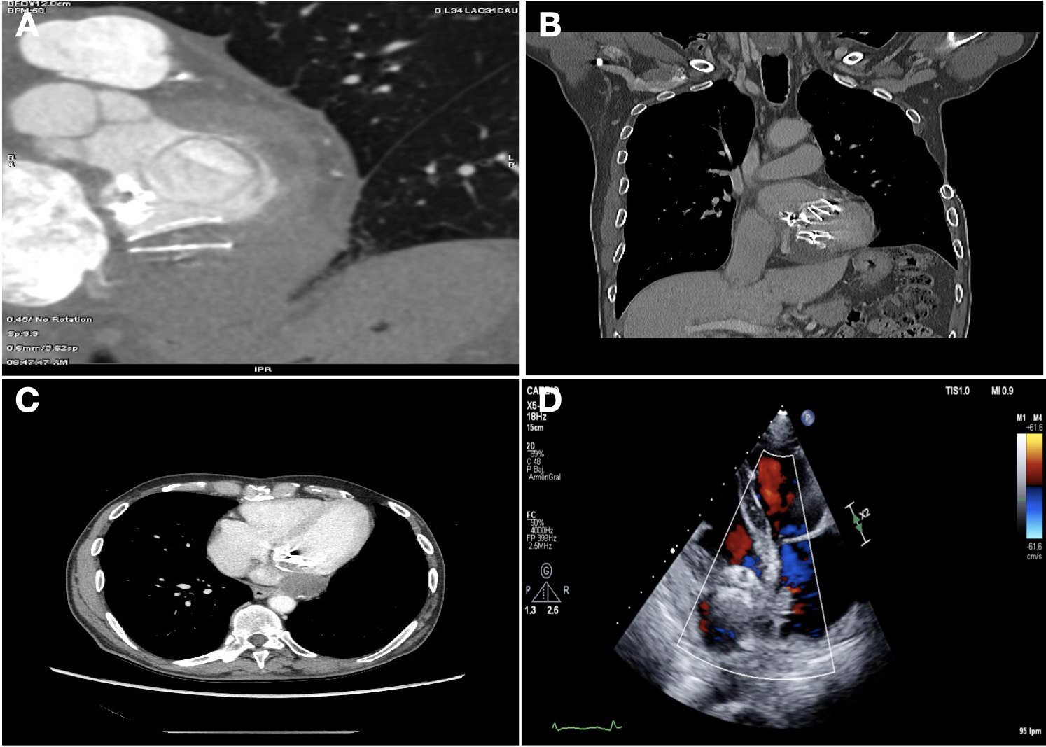
The authors present a 67-year-old male with past medical history of hyperlipidemia, hypertension, and emphysema, and who was a former smoker, with dyspnea on exertion and chest pain.
The authors present a 67-year-old male with past medical history of hyperlipidemia, hypertension, and emphysema, and who was a former smoker, with dyspnea on exertion and chest pain.
The authors present a...
03/04/2024
Journal of Invasive Cardiology
Clinical Images
03/04/2024

Luis Fernandez Gonzalez, MD, PhD1; Koldobika Garcia San Román, MD1; Alejandro Crespo Hubsch, MD2; Roberto Blanco Mata, MD1

Luis Fernandez Gonzalez, MD, PhD1; Ko...
The authors present a 70-year-old man with rheumatic mitral valve disease who had undergone 3 previous open-heart surgeries, the last of which was a new mitral valve replacement for a mechanical prosthesis due to early bioprosthetic...
The authors present a 70-year-old man with rheumatic mitral valve disease who had undergone 3 previous open-heart surgeries, the last of which was a new mitral valve replacement for a mechanical prosthesis due to early bioprosthetic...
The authors present a...
03/04/2024
Journal of Invasive Cardiology
Original Contribution
02/29/2024

Athanasios Rempakos, MD1; Michaella Alexandrou, MD1; Deniz Mutlu, MD1; James W. Choi, MD2; Paul Poommipanit, MD3; Jaikirshan J Khatri, MD4; Laura Young, MD4; Philip Dattilo, MD5; Yasser Sadek, MD6; Rhian Davies, DO, MS7; Sevket Gorgulu, MD8; Farouc A Jaffer, MD, PhD9; Raj Chandwaney, MD10; Brian Jefferson, MD11; Baseem Elbarouni, MD12; Lorenzo Azzalini, MD, PhD, MSc13; Kathleen E. Kearney, MD13; Khaldoon Alaswad, MD14; Mir B. Basir, DO14; Oleg Krestyaninov, MD15; Dmitrii Khelimskii, MD15; Nazif Aygul, MD16; Nidal Abi-Rafeh, MD17; Ahmed Elguindy, MD18; Omer Goktekin, MD19;  Bavana V. Rangan, BDS, MPH1; Olga C. Mastrodemos, BA1; Ahmed Al-Ogaili, MD1; Yader Sandoval, MD1; M. Nicholas Burke, MD1; Emmanouil S. Brilakis, MD, PhD1; Arun Kalyanasundaram, MD, MPH20

Athanasios Rempakos, MD1; Michaella A...
The authors examined parameters associated with successful chronic total occlusion (CTO) crossing using antegrade wiring technique as the initial strategy in CTO percutaneous coronary intervention.
The authors examined parameters associated with successful chronic total occlusion (CTO) crossing using antegrade wiring technique as the initial strategy in CTO percutaneous coronary intervention.
The authors examined parameters...
02/29/2024
Journal of Invasive Cardiology
Clinical Images
02/29/2024

Kewal Kanabar, MD; Rujuta Parikh, MD; Pooja Vyas, MD; Vishal Sharma, MD; Apoorva M. MD

Kewal Kanabar, MD; Rujuta Parikh, MD;...
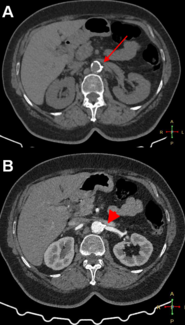
A 55-year-old female patient with unstable angina and accelerated hypertension was planned for invasive coronary and renal angiogram.
A 55-year-old female patient with unstable angina and accelerated hypertension was planned for invasive coronary and renal angiogram.
A 55-year-old female patient...
02/29/2024
Journal of Invasive Cardiology
Clinical Images
02/28/2024

Konstantinos Aznaouridis, MD, PhD; Kyriakos Dimitriadis, MD, PhD; Stergios Soulaidopoulos, MD; Charalambos Vlachopoulos, MD, PhD; Konstantinos Tsioufis, MD, PhD

Konstantinos Aznaouridis, MD, PhD; Ky...
A 63-year-old woman with uncontrolled hypertension despite taking 5 antihypertensive medications was referred for percutaneous renal artery intervention.
A 63-year-old woman with uncontrolled hypertension despite taking 5 antihypertensive medications was referred for percutaneous renal artery intervention.
A 63-year-old woman with...
02/28/2024
Journal of Invasive Cardiology
Clinical Images
02/28/2024

Kevin Hernández-Flores, MD; Paola Aceves-Chong, MD; Heberto Aquino-Bruno, MD; Roberto Ibarra-Sánchez, MD; Marco Alcántara-Meléndez, MD

Kevin Hernández-Flores, MD; Paola Ace...
A 66-year-old male Jehovah’s Witness arrived at the emergency room having experienced typical persistent angina. Upon arrival, he was hemodynamically unstable.
A 66-year-old male Jehovah’s Witness arrived at the emergency room having experienced typical persistent angina. Upon arrival, he was hemodynamically unstable.
A 66-year-old male Jehovah’s...
02/28/2024
Journal of Invasive Cardiology
Clinical Images
02/27/2024

Sourabh Agstam, MD, DM; Zia Abdullah, MD, DM; Shitij Chaudhary, MBBS, MD; Satyavir Yadav, MD, DM; Sivasubramanian Ramakrishnan, MD, DM, FACC, FSCAI

Sourabh Agstam, MD, DM; Zia Abdullah,...
A 24-year-old man was referred to our tertiary care center for the management of uncontrolled hypertension secondary to severe coarctation of aorta .
A 24-year-old man was referred to our tertiary care center for the management of uncontrolled hypertension secondary to severe coarctation of aorta .
A 24-year-old man was referred...
02/27/2024
Journal of Invasive Cardiology