Percutaneous Treatment of an Early Complication After Endocarditis Surgery With Cabrol Type Repair
© 2024 HMP Global. All Rights Reserved.
Any views and opinions expressed are those of the author(s) and/or participants and do not necessarily reflect the views, policy, or position of the Journal of Invasive Cardiology or HMP Global, their employees, and affiliates.
We present a 70-year-old man with rheumatic mitral valve disease who had undergone 3 previous open-heart surgeries, the last of which was a new mitral valve replacement for a mechanical prosthesis due to early bioprosthetic endocarditis. During this intervention, the left atrio-ventricular groove was injured due to tissue frailty, and it was repaired by the surgeon with the patient´s own pleuro-pericardial tissue (Cabrol type repair). The patient was discharged with no clinical complications after 10 days. During the follow-up, a transesophageal echocardiogram (TEE) was performed, which showed both an antero-lateral paravalvular leak and a posterior atrio-ventricular pseudoaneurysm with thrombus burden (Figure 1A and B). The Heart Team discussed the case and, due to surgical risk, decided to perform a single percutaneous procedure to treat both defects.
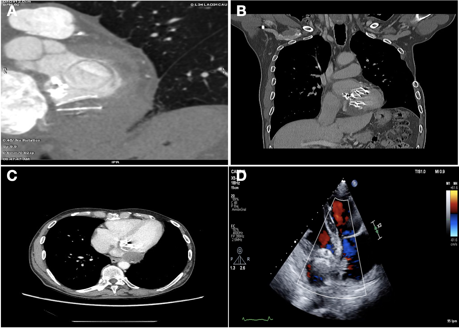
To complete the examination and for procedure planning, we performed a computed tomography scan, which showed the pseudoaneurysm next to the repaired area with a 15-mm neck that could be accessed percutaneously (Figure 1C-F).
The procedure was performed under general anesthesia and TEE monitoring with femoral venous and arterial access. First, an antegrade approach was attempted by transeptal puncture using an Agilis 8.5-French (Fr) steerable catheter (Abbott), but due to angulation it was not possible to reach the pseudoaneurysm. Thus, we decided to switch to retrograde access, by which it was sucessfully reached (Video 1). Next, we implanted a 25-mm Amplatzer Cribriform Multi-Fenestrated Septal Occluder (Abbott) with a 10-Fr delivery system tight to the narrowest area, which remained stable after safety maneuvers (Figure 2A-D). This device is flexible, with less radial force than others, which allows it to adapt to frail structures.1,2 Afterward, by antegrade access, 2 parallel 7-Fr sheaths were advanced through the paravalvular leak with simultaneous deployment of two 10 x 5-mm Amplatzer Vascular Plug IIIs (Abbott) (Figure 2E and F).
One-year postoperative, the patient remains asymptomatic with mild aortic regurgitation and significant size reduction of the pseudoaneurysm (Figure 3A-D; Video 2).
Affiliations and Disclosures
From the 1Cardiology Department and 2Cardiac Surgery Department, Hospital Universitario de Cruces, Baracaldo, Spain.
Disclosures: The authors report no financial relationships or conflicts of interest regarding the content herein.
Address for correspondence: Luis Fernandez Gonzalez, MD, PhD, Interventional Cardiology Department, Cruces University Hospital, Plaza Cruces s/n CP 48903, Baracaldo (Vizcaya), Spain. Email: luisfg82@hotmail.com
References
- Fernandez Gonzalez L, Blanco Mata R, Garcia San Román K, et al. Percutaneous closure of perforated ventricular septal pseudoaneurysm with "Cribriform" Amplatzer Device using 3D modeling. JACC Cardiovasc Interv. 2020;13(23):e211-e214. doi: 10.1016/j.jcin.2020.09.058
- Iacovelli F, Spione F, Contegiacomo G, Pepe M, Bortone AS, Pestrichella V. Percutaneous exclusion of ascending aorta pseudoaneurysms: still an interventional challenge? J Cardiol Cases. 2019;21(4):130-133. doi: 10.1016/j.jccase.2019.11.009


