Intravascular Ultrasound-Guided, Lithotripsy-Facilitated Angioplasty for Treating a Heavily Calcified Renal Artery Stenosis
© 2024 HMP Global. All Rights Reserved.
Any views and opinions expressed are those of the author(s) and/or participants and do not necessarily reflect the views, policy, or position of the Journal of Invasive Cardiology or HMP Global, their employees, and affiliates.
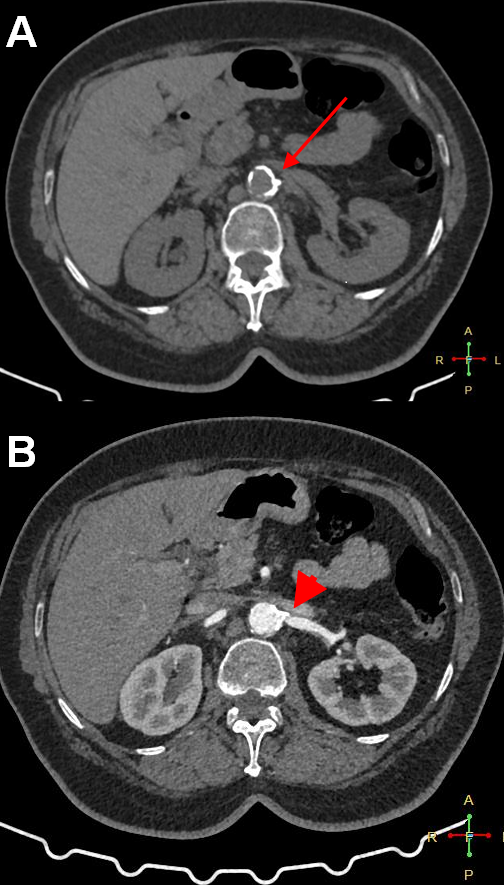
A 63-year-old woman with uncontrolled hypertension despite taking 5 antihypertensive medications was referred for percutaneous renal artery intervention. Duplex ultrasonography had shown critical left renal artery stenosis (RAS), and computed tomography angiography confirmed the presence of a tight, heavily calcified ostioproximal left RAS, as well as circumferential calcification of the abdominal aorta adjacent to the left renal artery take-off (Figure 1).
Renal artery angiogram through the right femoral artery demonstrated a critical severe (> 90%) ostioproximal left RAS (Figure 2A; Video 1) and a non-critical right RAS. Left renal artery was engaged with a 6-French renal double curve guide catheter, and a 300-mm 0.014-inch Regalia XS wire (Asahi) was advanced into a renal artery branch. Intravascular ultrasound (IVUS) showed a 6.0- to 6.2-mm reference diameter with metastenotic dilation up to approximately 7.5 mm, and severe superficial and deep calcification at the site of the RAS (Figure 2B). A Shockwave 5 x 60-mm intravascular lithotripsy (IVL) balloon was advanced across the lesion, and the guide catheter was withdrawn into the abdominal aorta. A total of 180 pulses was administered (6 cycles of 30 pulses each), as the initial cycles did not allow adequate expansion of the IVL balloon (Figure 3A, B; Videos 2 & 3). The lesion was then dilated with a 5 x 20-mm non-compliant balloon, and finally a 6 x 18-mm Express stent (Boston Scientific) was deployed with excellent angiographic result, which was confirmed with IVUS (Figure 3C-F; Videos 4-7).
Three weeks later, the patient had well-controlled blood pressure on 3 antihypertensive medications. Seven months later, the patient had a diagnostic angiogram through the right radial artery due to angina, while her hypertension was optimally controlled. A subsequent renal angiogram showed a patent stent without restenosis (Video 8).
Percutaneous intervention is an effective treatment in patients with severe RAS and uncontrolled hypertension. Severe calcification of renal artery ostium and adjacent abdominal aorta increases the risk of complications during angioplasty (such as perforation and dissection) and may be related to poor stent expansion. Our case shows that Shockwave IVL is safe and effective in the treatment of severely calcified aortoostial/ostioproximal RAS. Shockwave IVL does not debulk calcified plaques but delivers sonic waves which selectively fragment calcium deposits in the arterial wall, modify the compliance of the lesions, and facilitate stent delivery. Pre-procedure IVUS is crucial in interrogating the calcium burden and assessing the need for Shockwave IVL.
Affiliations and Disclosures
From the 1st Department of Cardiology, Hippokration Hospital, National and Kapodistrian University of Athens, Athens, Greece
Disclosures: The authors report no financial relationships or conflicts of interest regarding the content herein.
Address for correspondence: Konstantinos Aznaouridis, MD, PhD, 1st Department of Cardiology, Hippokration Hospital, 114 Vas. Sofias avenue, Athens 11527, Greece. Email: conazna@yahoo.com


