Skip to main content

Volume 36 - Issue 5 - May, 2024

Featured Article

Original Contribution
02/26/2024

Luigi Di Serafino, MD, PhD1; Maurizio Turturo, MD2; Claudio Larosa, MD3; Maria Scalamogna, MD1; Plinio Cirillo, MD, PhD1; Vito Alessandro Angelilli2; Saverio Lanzone, MD2; Francesco Bartolomucci, MD, PhD3; Riccardo Granata, MD1; Francesco Saverio Rea, MD1; Raffaele Piccolo, MD, PhD1; Anna Franzone, MD, PhD1; Giuseppe Gargiulo, MD, PhD1; Carmen Anna Maria Spaccarotella, MD, PhD1; Eugenio Stabile,MD, PhD1,4; Giovanni Esposito, MD, PhD1

Luigi Di Serafino, MD, PhD1; Mau...
This study evaluated whether the use of an adjustable device inflated with a pre-determined amount of air was more effective than a non-adjustable device for achieving patent hemostasis, thereby reducing the incidence of acute radial artery...
This study evaluated whether the use of an adjustable device inflated with a pre-determined amount of air was more effective than a non-adjustable device for achieving patent hemostasis, thereby reducing the incidence of acute radial artery...
This study evaluated whether the...
02/26/2024
Journal of Invasive Cardiology
Original Contribution
02/26/2024

Yoshiyuki Yamashita, MD, PhD1; Serge Sicouri, MD1; Aleksander Dokollari, MD, PhD2; Mikiko Senzai, MD1; Roberto Rodriguez, MD3; Eric M. Gnall, MD4; Paul M. Coady, MD4; Harish Jarrett, MD5; Sandra V. Abramson, MD5; Katie M. Hawthorne, MD5; Scott M. Goldman, MD3; William A. Gray, MD4; Basel Ramlawi, MD1, 3

Yoshiyuki Yamashita, MD, PhD1; Serge ...
This study aims to evaluate both early and late outcomes in patients undergoing transcatheter aortic valve replacement according to the severity of concomitant mitral stenosis.
This study aims to evaluate both early and late outcomes in patients undergoing transcatheter aortic valve replacement according to the severity of concomitant mitral stenosis.
This study aims to evaluate both...
02/26/2024
Journal of Invasive Cardiology
Review
02/26/2024

Michaella Alexandrou, MD1; Bahadir Simsek, MD1; Athanasios Rempakos, MD1; Spyridon Kostantinis, MD1; Judit Karacsonyi, MD, PhD1; Bavana V. Rangan, BDS, MPH1; Olga C. Mastrodemos, BA1; Salman S. Allana, MD1; Sunil V. Rao, MD2; Mark Linzer, MD3; Mohaned Egred, MD4; Anastasios Milkas, MD5; Yader Sandoval, MD1; M. Nicholas Burke, MD1; Emmanouil S. Brilakis, MD, PhD1

Michaella Alexandrou, MD1; Bahadir Si...
This review summarizes recent publications on burnout in cardiology, discusses the contributing factors and implications of burnout on physicians’ health and patient safety, and explores possible interventions.
This review summarizes recent publications on burnout in cardiology, discusses the contributing factors and implications of burnout on physicians’ health and patient safety, and explores possible interventions.
This review summarizes recent...
02/26/2024
Journal of Invasive Cardiology
Clinical Images
02/29/2024

Konstantinos C. Theodoropoulos, MD, MSc, PhD; Konstantinos Tsakiridis, MD; Polychronis Vazakidis, MD; George Kassimis, MD, PhD; Antonios Ziakas, MD, PhD

Konstantinos C. Theodoropoulos, MD, M...
A 73-year-old man, with a previous long drug-eluting stent from the mid-portion of the left main stem artery to proximal left anterior descending artery (LAD), underwent elective coronary angiogram due to worsening anginal symptoms and an...
A 73-year-old man, with a previous long drug-eluting stent from the mid-portion of the left main stem artery to proximal left anterior descending artery (LAD), underwent elective coronary angiogram due to worsening anginal symptoms and an...
A 73-year-old man, with a...
02/29/2024
Journal of Invasive Cardiology
Clinical Images
02/27/2024

Faris G. Araj, MD1; Haley Ashton, PT, DPT2; Binod Bista, OTR2; Brooke Wilson, DPT, CCS2; Meredith Smith, PT, DPT2

Faris G. Araj, MD1; Haley Ashton, PT,...
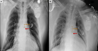
A 53-year-old man with inotrope-dependent advanced heart failure was admitted with acute decompensation and underwent urgent listing for heart transplant.
A 53-year-old man with inotrope-dependent advanced heart failure was admitted with acute decompensation and underwent urgent listing for heart transplant.
A 53-year-old man with...
02/27/2024
Journal of Invasive Cardiology
Clinical Images
02/27/2024

Cheng-jian Wang, MSc1,2; Qing-cheng Wang, MD3; Ying Du, MSc1,2; Peng-fei Sun, MSc1,2; Ya-hui Ding, MD2

Cheng-jian Wang, MSc1,2; Qing-cheng W...
A 60-year-old male presented to the emergency department of our hospital with persistent dull pain in the lower and middle sternum with generalized sweating after a heated argument with another person, and his symptoms did not resolve after 3...
A 60-year-old male presented to the emergency department of our hospital with persistent dull pain in the lower and middle sternum with generalized sweating after a heated argument with another person, and his symptoms did not resolve after 3...
A 60-year-old male presented to...
02/27/2024
Journal of Invasive Cardiology
Clinical Images
02/27/2024

Shu Xian Loh, MRCP1; Md Azizul Hasan Khandaker FCPS, MRCP, MD1; Nicholas Jenkins, MRCP2; Philip Gonzales, MRCP1; Bilal Bawamia, MBBS, MD, MRCP1

Shu Xian Loh, MRCP1; Md Azizul Hasan ...
A 77-year-old man presented with an acute inferior ST-segment elevation myocardial infarction.
A 77-year-old man presented with an acute inferior ST-segment elevation myocardial infarction.
A 77-year-old man presented with...
02/27/2024
Journal of Invasive Cardiology
Clinical Images
02/26/2024

Tahir Bezgin, MD1; Aziz Inan Celik, MD1; Nart Zafer Baytugan, MD1; Suleyman Karakoyun, MD2,3; Metin Cagdas, MD1

Tahir Bezgin, MD1; Aziz Inan Cel...
A 78-year-old male patient with a history of coronary artery disease, heart failure with mildly reduced ejection fraction, diabetes mellitus, and transient ischemic attack presented to the emergency department with complaints of dyspnea...
A 78-year-old male patient with a history of coronary artery disease, heart failure with mildly reduced ejection fraction, diabetes mellitus, and transient ischemic attack presented to the emergency department with complaints of dyspnea...
A 78-year-old male patient with...
02/26/2024
Journal of Invasive Cardiology
Letter to the Editor
02/26/2024

Naveen Balakrishnan, MD1; Hadi Beaini, MD2; Spencer Carter, MD3; Faris G. Araj, MD2

Naveen Balakrishnan, MD1; Hadi Beaini...
The COVID-19 pandemic has imposed challenging scenarios, necessitating a “thinking outside the box” approach for patients with profound respiratory failure requiring mechanical ventilation in the prone position.
The COVID-19 pandemic has imposed challenging scenarios, necessitating a “thinking outside the box” approach for patients with profound respiratory failure requiring mechanical ventilation in the prone position.
The COVID-19 pandemic has...
02/26/2024
Journal of Invasive Cardiology
Brief Communication
02/26/2024

Deniz Mutlu, MD1; Athanasios Rempakos, MD1; Michaella Alexandrou, MD1; Ahmed Al-Ogaili, MD1; Jaikirshan J. Khatri, MD2; Khaldoon Alaswad, MD3; Sevket Gorgulu, MD4; Yader Sandoval, MD1; M. Nicholas Burke, MD1; Emmanouil S. Brilakis, MD, PhD1

Deniz Mutlu, MD1; Athanasios Rempakos...
The authors examined the performance of the J-Channel score in patients who underwent retrograde chronic total occlusion percutaneous coronary intervention at 31 centers between 2013-2023 as part of the Prospective Global Registry for the...
The authors examined the performance of the J-Channel score in patients who underwent retrograde chronic total occlusion percutaneous coronary intervention at 31 centers between 2013-2023 as part of the Prospective Global Registry for the...
The authors examined the...
02/26/2024
Journal of Invasive Cardiology