Ambulatory Trans-femoral Intra-aortic Balloon Pump
© 2024 HMP Global. All Rights Reserved.
Any views and opinions expressed are those of the author(s) and/or participants and do not necessarily reflect the views, policy, or position of the Journal of Invasive Cardiology or HMP Global, their employees, and affiliates.
Patients with advanced heart failure and cardiogenic shock supported with short-term mechanical support devices while awaiting heart transplantation may experience prolonged transplant wait times. This is relevant when mobility is restricted, as in the case of a trans-femoral intra-aortic balloon pump (TF-IABP). Available studies suggest that protocolized ambulation of select patients with a TF-IABP awaiting heart transplant is safe with low rates of major complications.
A 53-year-old man with inotrope-dependent advanced heart failure was admitted with acute decompensation and was placed on a waiting list for a heart transplant. Due to ongoing hemodynamic instability, a 50-cc TF-IABP was placed. To prevent deconditioning and frailty that could impact postoperative recovery, ambulation using a modified version of the Ramsey mobilization protocol was employed. Patient consent was obtained to capture, record, and publish the images and videos.
Briefly, the Ramsey protocol begins with transfer to a tilt-table and securing the patient. Progressive elevation in 15° increments to 90° vertical is performed while paying close attention to vital signs and the TF-IABP console (Figure 1). A decrease in augmentation pressure and orthostasis is expected in the upright position, which does not always necessitate termination of mobilization (Figure 2). Additional details are provided in the accompanying figures.
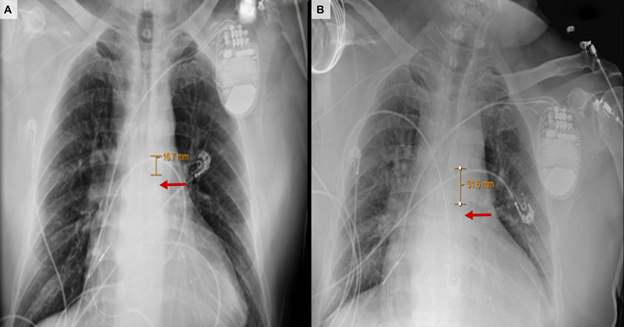
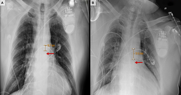
Ambulation was successful with no femoral complications (Figure 3; Videos 1, 2), and a post-ambulation chest x-ray was performed to reassess the position of the TF-IABP, which in this case was repositioned at the bedside (Figure 4). Post-transplant, the patient was able to successfully discharge home without need for inpatient rehabilitation.
Despite its hemodynamic benefits and ease of deployment, TF-IABP counter-pulsation therapy comes at the cost of bed rest and restricted mobility, resulting in physical deconditioning and decreased muscle mass that may negatively impact postoperative recovery and outcomes. Developed by a critical care physical therapist, the Ramsey protocol allows for safe and structured ambulation of patients with a TF-IABP with the help of a tilt-table, thereby limiting the negative effects of prolonged bedrest. Contraindications to TF-IABP ambulation include but are not limited to invasive mechanical ventilation, hemodynamic instability, and active groin bleeding. The most common complication is balloon migration, which can be easily corrected at the bedside.
Affiliations and Disclosures
From the 1Division of Cardiology, Department of Internal Medicine, University of Texas Southwestern Medical Center, Dallas, Texas, USA; 2Department of Acute Therapy Services, University of Texas Southwestern Medical Center, Dallas, Texas, USA.
Acknowledgments: The authors would like to thank Kristin Davis, PT, DPT, CCS, for her assistance with the images and media; Evelyn Heffelman, RN, for her outstanding patient care; and both Traci Betts, PT, DPT, CCS, and Robert Morlend, MD, for their role in project development.
Disclosures: The authors report no financial relationships or conflicts of interest regarding the content herein.
Address for correspondence: Faris G. Araj, MD, Professional Office Bldg. 2 Suite 600, 5939 Harry Hines Blvd., Dallas, TX 75390-9252, USA. Email: faris.araj@utsouthwestern.edu


