Skip to main content

Volume 36 - Issue 11 - November, 2024

Original Contribution
07/17/2024
Mathias Wolfrum, MD; Federico Moccetti, MD; Nina Conrad, MS; Lucca Loretz, MD; Mehdi Madanchi, MD; Matthias Bossard, MD; Adrian Attiger-Toller, MD; Florim Cuculi, MD; Simon F. Stämpfli, MD, MSc; Stefan Toggweiler, MD
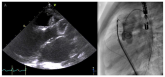
The aim of the study was to compare the effectiveness of patent foramen ovale closure guided by fluoroscopy only vs transoesophageal echocardiography plus fluoroscopy.
The aim of the study was to compare the effectiveness of patent foramen ovale closure guided by fluoroscopy only vs transoesophageal echocardiography plus fluoroscopy.
The aim of the study was to...
07/17/2024
Journal of Invasive Cardiology
Original Contribution
07/10/2024
Athanasios Rempakos, MD; Michaella Alexandrou, MD; Bahadir Simsek, MD; Spyridon Kostantinis, MD; Judit Karacsonyi, MD, PhD; Deniz Mutlu, MD, PhD; Allison Hall, MD; Arnold H. Seto, MD, MPA, CCDS, FACC, FSCAI; Barbara Anna Danek, MD; Binita Shah, MD, MS; Courtney Baechler, MD, MS; Delaine Thomas, MPH; James W. Choi, MD; Jeremy D. Rier, DO; Kathleen E. Kearney, MD; Ki Park, MD, MS, FACC, FSCAI; Mosi Bennett, MD, PhD; Santiago Garcia, MD; Thao Duong, MD; Jimmy L. Kerrigan, MD; Ahmed Al-Ogaili, MD; Bavana V. Rangan, BDS, MPH, MD; Olga C. Mastrodemos, BA; Salman S. Allana, MD; Yader Sandoval, MD; M. Nicholas Burke, MD; Emmanouil S. Brilakis, MD, PhD, FACC, FAHA, FESC, FSCAI
The authors conducted a global, web-based survey of interventional cardiology fellows and attendings to assess their perceptions of diversity and discrimination.
The authors conducted a global, web-based survey of interventional cardiology fellows and attendings to assess their perceptions of diversity and discrimination.
The authors conducted a global,...
07/10/2024
Journal of Invasive Cardiology
Original Contribution
07/08/2024
Waqas Qureshi, MD, MS; Summer Aldrugh, MD; Jeffrey Rade, MD; Craig Smith, MD; Alvaro Alonso, MD, MSc; Youssef Rahban, MD; Kurt G. Barringhaus, MD; Nikolaos Kakouros, MBBS, PhD, MRCP, MD(Res)
The authors present their long-term experience in performing percutaneous coronary intervention using a novel transradial guide catheter.
The authors present their long-term experience in performing percutaneous coronary intervention using a novel transradial guide catheter.
The authors present their...
07/08/2024
Journal of Invasive Cardiology
Brief Communication
06/18/2024

Martin W. Bergmann, MD, FESC1,2; Janina Maren Krause, MD1; Niklas Schofer, MD3,4; Felix Meincke, MD1; Christina Paitazoglou, MD5; Christian-Hendrik Heeger, MD1,6; Stephan Willems, MD7; Samer Hakmi, MD8; Eike Tigges, MD7 

Martin W. Bergmann, MD, FESC1,2; Jani...
The authors studied the safety, feasibility, and clinical outcomes at 1 year following the 2020 implementation of the cusp-overlay technique compared to the previously studied conventional implantation techniques.
The authors studied the safety, feasibility, and clinical outcomes at 1 year following the 2020 implementation of the cusp-overlay technique compared to the previously studied conventional implantation techniques.
The authors studied the safety,...
06/18/2024
Journal of Invasive Cardiology
Clinical Images
06/14/2024

Katia Librandi, MD; Mohammad Abumehdi, MD; Andreas Hoschtitzky, MD; Thomas Semple, MD; Rodney Franklin, MD; Alain Fraisse, MD, PhD

Katia Librandi, MD; Mohammad Abumehdi...
The authors report a late-diagnosed APW in a 4-year-old male with high pulmonary arterial pressure and high pulmonary vascular resistance index who was initially treated with transcatheter device closure as a bridge for surgical repair.
The authors report a late-diagnosed APW in a 4-year-old male with high pulmonary arterial pressure and high pulmonary vascular resistance index who was initially treated with transcatheter device closure as a bridge for surgical repair.
The authors report a...
06/14/2024
Journal of Invasive Cardiology
Brief Communication
06/13/2024

Nikita Jhawar, MD1; Samantha Espinosa, MD2; Faaiq Aslam, MD1; Jordan Ray, MD2; Abdallah El Sabbagh, MD2

Nikita Jhawar, MD1; Samantha Espinosa...
The authors sought to explore the invasive hemodynamic parameters in patients with and without chest radiation who had a diagnosis of mitral annular calcification-related mitral stenosis and underwent transseptal hemodynamic catheterization.
The authors sought to explore the invasive hemodynamic parameters in patients with and without chest radiation who had a diagnosis of mitral annular calcification-related mitral stenosis and underwent transseptal hemodynamic catheterization.
The authors sought to explore...
06/13/2024
Journal of Invasive Cardiology
Clinical Images
06/03/2024

Dawei Lin, MD1,2; Shasha Chen, MD1,2; Daxin Zhou, MD1,2; Wenzhi Pan, MD1,2; Junbo Ge, MD1,2

Dawei Lin, MD1,2; Shasha Chen, MD1,2;...
A 76-year-old man diagnosed with severe pure native aortic regurgitation underwent transcatheter aortic valve replacement due to high surgical risk. The computed tomography angiography showed no calcification and no stenosis of the aortic...
A 76-year-old man diagnosed with severe pure native aortic regurgitation underwent transcatheter aortic valve replacement due to high surgical risk. The computed tomography angiography showed no calcification and no stenosis of the aortic...
A 76-year-old man diagnosed with...
06/03/2024
Journal of Invasive Cardiology
Clinical Images
05/30/2024

Konstantinos Antoniades, MD; Sotirios C. Kotoulas, MD; Dimitrios Iliopoulos, MD; Efthymia Koutsogiannaki, MD; Aimilianos Kalogeris, MD; Leonidas E. Poulimenos, MD; Andreas S. Triantafyllis, MD, PhD

Konstantinos Antoniades, MD; Sotirios...
A 59-year-old diabetic man with a history of numerous coronary angiographies (CAs) and peripheral artery disease underwent CA due to a non-ST elevation myocardial infarction. Femoral, radial, and ulnar arteries were unpalpable.
A 59-year-old diabetic man with a history of numerous coronary angiographies (CAs) and peripheral artery disease underwent CA due to a non-ST elevation myocardial infarction. Femoral, radial, and ulnar arteries were unpalpable.
A 59-year-old diabetic man with...
05/30/2024
Journal of Invasive Cardiology
Clinical Images
05/24/2024

Cheuk Bong Ho, MBBS; Ivan Wong, MBBS; Michael Chi Shing Chiang, MBBS; Angus Shing Fung Chui, MBChB; Alan Ka Chun Chan, MBBS; Chi Yuen Wong, MBBS; Kam Tim Chan, MBBS; Michael Kang Yin Lee, MBBS

Cheuk Bong Ho, MBBS; Ivan Wong, MBBS;...
A 63-year-old man presented with delayed inferior ST-elevation myocardial infarction complicated with ventricular septal rupture. He developed cardiogenic shock and respiratory failure requiring intubation and Impella (Abiomed) support.
A 63-year-old man presented with delayed inferior ST-elevation myocardial infarction complicated with ventricular septal rupture. He developed cardiogenic shock and respiratory failure requiring intubation and Impella (Abiomed) support.
A 63-year-old man presented with...
05/24/2024
Journal of Invasive Cardiology
Clinical Images
05/24/2024

Esmond Yan Hang Fong, MBBS; Brian Po Kwan Ng, MBChB; Jake Yin Kei Yeung, MBChB; Calvin Leung, MBChB; Alan Ka Chun Chan, MBBS; Michael Kang-Yin Lee, MBBS

Esmond Yan Hang Fong, MBBS; Brian Po ...
A 57-year-old woman with good past health attended the accident and emergency department at an outside hospital for sudden onset chest pain. Electrocardiogram revealed ST-segment elevation at inferior leads.
A 57-year-old woman with good past health attended the accident and emergency department at an outside hospital for sudden onset chest pain. Electrocardiogram revealed ST-segment elevation at inferior leads.
A 57-year-old woman with good...
05/24/2024
Journal of Invasive Cardiology
Clinical Images
05/23/2024

Marco Alejandro Solórzano Vázquez, MD; Fernando Donovan Espriu Romero, MD; Edgar Uriel Quintana Ortiz, MD; Oscar Samuel Medina Torres, MD

Marco Alejandro Solórzano Vázquez, MD...
A 37-year-old man was referred to our medical center with a diagnosis of Eisenmenger syndrome due to an atrial septal defect (ASD). At admission he had central cyanosis, acrocyanosis, and progressive effort dyspnea; his symptoms improved...
A 37-year-old man was referred to our medical center with a diagnosis of Eisenmenger syndrome due to an atrial septal defect (ASD). At admission he had central cyanosis, acrocyanosis, and progressive effort dyspnea; his symptoms improved...
A 37-year-old man was referred...
05/23/2024
Journal of Invasive Cardiology
Clinical Images
05/14/2024

Abhinav Jain, MD1; Sourabh Agstam, MD, DM, MRCP(UK), FACC1; Mayank Yadav, MS, MCH2; Sivasubramanian Ramakrishnan, MD, DM, FACC1; Rakesh Yadav, MD, DM1

Abhinav Jain, MD1; Sourabh Agstam, MD...
A 16-year-old girl was referred to our tertiary care center for management of a failed aortic valve balloon dilatation procedure for congenital valvular aortic stenosis .
A 16-year-old girl was referred to our tertiary care center for management of a failed aortic valve balloon dilatation procedure for congenital valvular aortic stenosis .
A 16-year-old girl was referred...
05/14/2024
Journal of Invasive Cardiology