Unravelling Supravalvular Aortic Stenosis in a Young Patient: Look Beyond the Valve
© 2024 HMP Global. All Rights Reserved.
Any views and opinions expressed are those of the author(s) and/or participants and do not necessarily reflect the views, policy, or position of the Journal of Invasive Cardiology or HMP Global, their employees, and affiliates.
A 16-year-old girl was referred to our tertiary care center for management of a failed aortic valve balloon dilatation (AVBD) procedure for congenital valvular aortic stenosis (VAS). Her medical records revealed a residual peak-to-peak gradient of 80 mm Hg after 2 dilations with a 16 x 6-mm Tyshak balloon (NuMed Inc.). At presentation, she complained of dyspnea on exertion (New York Heart Association class II) along with angina on exertion. The general physical examination was not significant for any facial dysmorphism or systolic pressure difference between the upper limbs. A cardiac examination revealed a high pitched, crescendo-decrescendo ejection systolic murmur in the aortic area radiating to the carotid arteries. It was accompanied by a carotid thrill, which was more impressive on the right carotid artery compared with the left carotid artery, raising a suspicion of supravalvular aortic stenosis (SVAS).
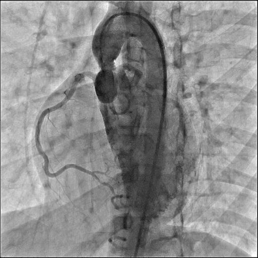
A 2-dimensional transthoracic echocardiogram showed left ventricular hypertrophy with a left ventricle outflow gradient of 88 mm Hg. However, the level of obstruction was not obvious due to a poor transthoracic window secondary to pectus carinatum. Hence, after informed consent, the patient was taken up for cardiac catheterization to look for the anatomical site of obstruction. Cardiac catheterization was performed via right femoral artery acces, and a 6-French pigtail crossed the aortic valve without any resistance. Aortogram revealed narrowing at the sinotubular junction (STJ), which was suggestive of SVAS, and explained the failure of the previously attempted AVBD (Figure, Video). The coronary arteries showed a normal origin and there was no arch vessel stenosis. Catheter pullback from the left ventricle to the aorta showed a peak-to-peak gradient of 74 mm Hg. The patient underwent SVAS repair, which was performed by non-coronary cusp and right coronary cusp augmentation with aortoplasty using an autologous glutaraldehyde-fixed pericardial patch.
SVAS is characterized by congenital narrowing of the ascending aorta above the level of coronary arteries at the STJ. It can be sporadic, as seen in the index case. It can mimic VAS due to overlapping clinical features and similar presentation. Accurate diagnosis relies on thorough clinical evaluation and appropriate imaging studies, such as echocardiography, computed tomography, and cardiac catheterization. Congenital VAS can be effectively managed with AVBD, while SVAS requires a surgical aortoplasty. Hence, differentiating between the two is crucial for optimal patient care.
Affiliations and Disclosures
From the 1Department of Cardiology, All India Institute of Medical Sciences, New Delhi, India; 2Department of Cardio-Thoracic and Vascular Surgery, All India Institute of Medical Sciences, New Delhi, India.
Disclosures: The authors report no financial relationships or conflicts of interest regarding the content herein.
Address for correspondence: Sourabh Agstam, MD, DM, MRCP(UK), FACC, Department of Cardiology, All India Institute of Medical Sciences, New Delhi, India. Email: sourabhagstam@gmail.com; X: @AgstamSourabh


