Transcatheter Subocclusion of an Aortopulmonary Window as a Bridge to Surgery
© 2024 HMP Global. All Rights Reserved.
Any views and opinions expressed are those of the author(s) and/or participants and do not necessarily reflect the views, policy, or position of the Journal of Invasive Cardiology or HMP Global, their employees, and affiliates.
The aortopulmonary window (APW) is a rare congenital heart defect that was first described in 1830.1 Accounting for only 0.2% to 0.6% of all congenital heart diseases,2 APW typically presents with signs of congestive heart failure in the first weeks of life. Surgical repair is generally performed during infancy with good results.3 We report a late-diagnosed APW in a 4-year-old boy with high pulmonary arterial pressure (PAP) and high pulmonary vascular resistance index (PVRi) who was initially treated with transcatheter device closure as a bridge for surgical repair.
The patient was initially referred at 12 weeks for a systolic murmur. A locally performed transthoracic echocardiography was reported to be normal. Four years later, increased difficulty breathing prompted a repeat echocardiography, which showed a large APW with left-to-right shunt. Cardiac catheterization revealed high PVRi (8.07 WU.m2), making surgical closure too high of a risk.
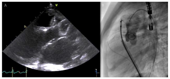
A cardiac catheterization with a vasodilation test was performed. Through transoesophageal echocardiography guidance, an 18-mm Figulla Flex occluder (Occlutech) was implanted with mild residual shunt (Figure). The mean PAP and PVRi was significantly reduced with the use of inhaled nitric oxide (0.11 WU.m2). Despite the residual shunt and aortic protrusion, the device was released without significant obstruction. The patient was started on sildenafil (20 mg/3 times a day). Five months later, a catheterization showed improved hemodynamic (Qp:Qs of 1.4:1, PVRi of 2.1 WU.m2), enabling successful surgical repair and device removal. Postoperative echocardiography showed normal PAP. After an uneventful postoperative course, the patient was discharged at postoperative day 5.
To our knowledge, this is the first case using successful transcatheter sub-occlusion of the APW as a bridge to surgery. Previous reports included smaller defects without PAH.4 In the present case, surgical repair was preferred due to a residual shunt and device aortic protrusion. Interestingly, PAP and PVRi normalized post-surgery, and the patient remains asymptomatic after 3 years.
Affiliations and Disclosures
From the Paediatric Cardiology Services, Royal Brompton & Harefield NHS Foundation Trust, London, UK.
Disclosures: Dr Fraisse is a consultant and proctor for Occlutech Inc., ICardiology, and Abbott Inc. The remaining authors report no financial relationships or conflicts of interest regarding the content herein.
Consent statement: The patient has given informed consent to participate in the study. The authors confirm that informed consent was obtained from the patient for the study and interventions described in the manuscript and to the publication thereof.
Address for correspondence: Alain Fraisse, MD, PhD, Royal Brompton & Harefield NHS Foundation Trust, Sydney Street London, SW3 6NP, UK. Email: A.Fraisse@rbht.nhs.uk.
References
1. Elliotson J. Case of malformation of the pulmonary artery and aorta. Lancet. 1830;1:247-251.
2. Kutsche LM, Van Mierop LH. Anatomy and pathogenesis of aorticopulmonary septal defect. Am J Cardiol. 1987;59(5):443-447. doi:10.1016/0002-9149(87)90953-2
3. Alsoufi B, Schlosser B, McCracken C, et al. Current outcomes of surgical management of aortopulmonary window and associated cardiac lesions. Ann Thorac Surg. 2016;102(2):608-614. doi:10.1016/j.athoracsur.2016.02.035
4. Campos-Quintero A, García-Montes JA, Zabal-Cerdeira C, Cervantes-Salazar JL, Calderón-Colmenero J, Sandoval JP. Transcatheter device closure of aortopulmonary window. Is there a need for an alternative strategy to surgery? Rev Esp Cardiol (Engl Ed). 2019;72(4):349-351. doi: 10.1016/j.rec.2018.03.020


