Skip to main content

Volume 36 - Issue 1 - January, 2024

Clinical Images
01/12/2024
Pooja Vyas, MD; Akash Karwa, MD; Megha Sheth, MD; Sharad Jain, MD; Kewal Kanabar, MD
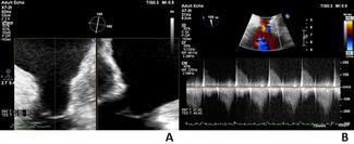
A 58-year-old male patient presented with anterior myocardial infarction after 36 hours of symptom onset. A transthoracic echocardiogram showed moderate left ventricular dysfunction (ejection fraction, 35%) and hypokinetic anteroseptum and...
A 58-year-old male patient presented with anterior myocardial infarction after 36 hours of symptom onset. A transthoracic echocardiogram showed moderate left ventricular dysfunction (ejection fraction, 35%) and hypokinetic anteroseptum and...
A 58-year-old male patient...
01/12/2024
Journal of Invasive Cardiology
Clinical Images
01/12/2024
Faris G. Araj, MD; Alpesh A. Amin, MD; Pradeep P.A. Mammen, MD; Hadi Beaini, MD
To the authors’ knowledge, this is the first description of right atrial pressure Torsades de Pointes as a manifestation of the Rivero-Carvallo sign.
To the authors’ knowledge, this is the first description of right atrial pressure Torsades de Pointes as a manifestation of the Rivero-Carvallo sign.
To the authors’ knowledge, this...
01/12/2024
Journal of Invasive Cardiology
Original Contribution
01/12/2024
Verena Veulemans, MD; Shazia Afzal, MD; Ralf Erkens, MD; Amin Polzin, MD; Christine Quast, MD; Raphael Phinicarides, MD; Nora Berisha, MD; Kathrin Klein, MD; Pia Leuders, MD; Tobias Zeus, MD; Florian Bonner, MD; Malte Kelm, MD; Christian Jung, MD, PhD
In this study, the authors aimed to determine if Dynamic Coronary Roadmap software is equally effective irrespective of the performing investigator’s experience level.
In this study, the authors aimed to determine if Dynamic Coronary Roadmap software is equally effective irrespective of the performing investigator’s experience level.
In this study, the authors aimed...
01/12/2024
Journal of Invasive Cardiology
Clinical Images
01/12/2024
Jeroen A. Janson, MD; Carlos V. Elzo Kraemer, MD; Ibtihal Al Amri, MD, PhD; José M. Montero-Cabezas, MD, PhD
Veno-venous extracorporeal oxygenation membrane (VV-ECMO) cannulation in prone positioning in a patient with severe respiratory insufficiency because of COVID-19 with severe oxygen desaturation when placed in supine position.
Veno-venous extracorporeal oxygenation membrane (VV-ECMO) cannulation in prone positioning in a patient with severe respiratory insufficiency because of COVID-19 with severe oxygen desaturation when placed in supine position.
Veno-venous extracorporeal...
01/12/2024
Journal of Invasive Cardiology
Clinical Images
01/12/2024
Giuseppe Talanas, MD; Filippo Dossi, MD
A 69-year-old man with unstable angina underwent coronary angiography showing no lesion in the left coronary artery and critical stenosis in the proximal right coronary artery arising from the left sinus of Valsalva.
A 69-year-old man with unstable angina underwent coronary angiography showing no lesion in the left coronary artery and critical stenosis in the proximal right coronary artery arising from the left sinus of Valsalva.
A 69-year-old man with unstable...
01/12/2024
Journal of Invasive Cardiology
Clinical Images
01/12/2024
Adnan Sadiq, MD; Bilal A. Malik, MD, FACC; Gregory Crooke, MD; Richard Casazza, MAS, RT(R)(CI); Paul Saunders, MD; Arsalan Hashmi, MD; Mazin Khalid, MD; Robert Frankel, MD
The authors present a case of a 57-year-old male who underwent bioprosthetic mitral valve replacement (MVR) and developed postoperative cardiogenic shock requiring venoarterial extracorporeal membrane oxygenation (VA ECMO) and Impella 5.5...
The authors present a case of a 57-year-old male who underwent bioprosthetic mitral valve replacement (MVR) and developed postoperative cardiogenic shock requiring venoarterial extracorporeal membrane oxygenation (VA ECMO) and Impella 5.5...
The authors present a case of a...
01/12/2024
Journal of Invasive Cardiology
Original Contribution
01/12/2024
Abhiram Prasad, MD, FRCP; Malcolm R. Bell, MD; Jacob C. Jentzer, MD; Gregory W. Barsness, MD; Ronstan Lobo, MB, BCh, BAO; Dhruv Sarma, BM, BCh; Meir Tabi, MD
The authors aimed to identify clinical features associated with acute coronary occlusion and evaluate the associations between acute coronary occlusion, successful percutaneous coronary intervention, and outcomes in this population.
The authors aimed to identify clinical features associated with acute coronary occlusion and evaluate the associations between acute coronary occlusion, successful percutaneous coronary intervention, and outcomes in this population.
The authors aimed to identify...
01/12/2024
Journal of Invasive Cardiology
Original Contribution
01/12/2024
Houman Khalili, MD; Emmanouil S. Brilakis, MD, PhD, FACC, FAHA, FESC, FSCAI; Michael Luna, MD; Anand Desai, MD, MBA; Sana Shaukat, MD; Hamza A. Lodhi, MD; Harris Khan, MD
Data from the Manufacturer and User Facility Device Experience (MAUDE) database between 2012 and 2022 were used to investigate the most common modes of failure and related adverse events with the use of guide catheter extensions.
Data from the Manufacturer and User Facility Device Experience (MAUDE) database between 2012 and 2022 were used to investigate the most common modes of failure and related adverse events with the use of guide catheter extensions.
Data from the Manufacturer and...
01/12/2024
Journal of Invasive Cardiology
Review
01/12/2024
Georges Ephrem, MD, MSc; Jennifer Day; Eduardo Josué Flores-Umanzor, MD, PhD; Lusine Abrahamyan, MD, MPH, PhD; Ricardo Gorocica-Romero, MD; Eric M. Horlick, MD, FRCPC, MDCM
The authors describe 2 cases of patients with adult congenital heart disease with hypoplastic tricuspid valve annulus who were symptomatic from annular- and leaflet-level tricuspid stenosis.
The authors describe 2 cases of patients with adult congenital heart disease with hypoplastic tricuspid valve annulus who were symptomatic from annular- and leaflet-level tricuspid stenosis.
The authors describe 2 cases of...
01/12/2024
Journal of Invasive Cardiology
Original Contribution
01/12/2024
Rafael 'Rafi' Kuperstein, MD; Amit Segev, MD; Lital Shaham, MD, PhD; Paul Fefer, MD; Lior Fisher, MD; Batla Falach, MD; Ilan Hai, MD; Ori Vaturi, MD; Victor Guetta, MD; Israel M. Barbash, MD; Elad Maor, MD, PhD
The study's aim was to evaluate the added value of invasive hemodynamic assessment in patients with unexplained shortness of breath (SOB) undergoing echocardiographic assessment using the most accepted echocardiographic definition of...
The study's aim was to evaluate the added value of invasive hemodynamic assessment in patients with unexplained shortness of breath (SOB) undergoing echocardiographic assessment using the most accepted echocardiographic definition of...
The study's aim was to evaluate...
01/12/2024
Journal of Invasive Cardiology