Hepatic Artery Branch Perforation With Hemoperitomeum: A Rare Complication of Pericardiocentesis
A 58-year-old male patient presented with anterior myocardial infarction after 36 hours of symptom onset. A transthoracic echocardiogram (TTE) showed moderate left ventricular dysfunction (ejection fraction, 35%) and hypokinetic anteroseptum and anterior wall. Coronary angiogram revealed 80% stenosis of the proximal left anterior descending (LAD) artery, for which percutaneous coronary intervention (PCI) was done and a 3 x 30-mm Resolute Integrity stent (Medtronic) was deployed. The procedure was uneventful and the patient remained hemodynamically stable.
After 6 hours of PCI, TTE showed mild pericardial effusion which increased significantly at 12 hours without any echocardiographic or clinical evidence of tamponade. Repeat angiogram did not reveal any coronary perforation. Subxiphoid pericardiocentesis was done under fluoroscopy and TTE guidance, and 250 mL of hemorrhagic fluid was aspirated.
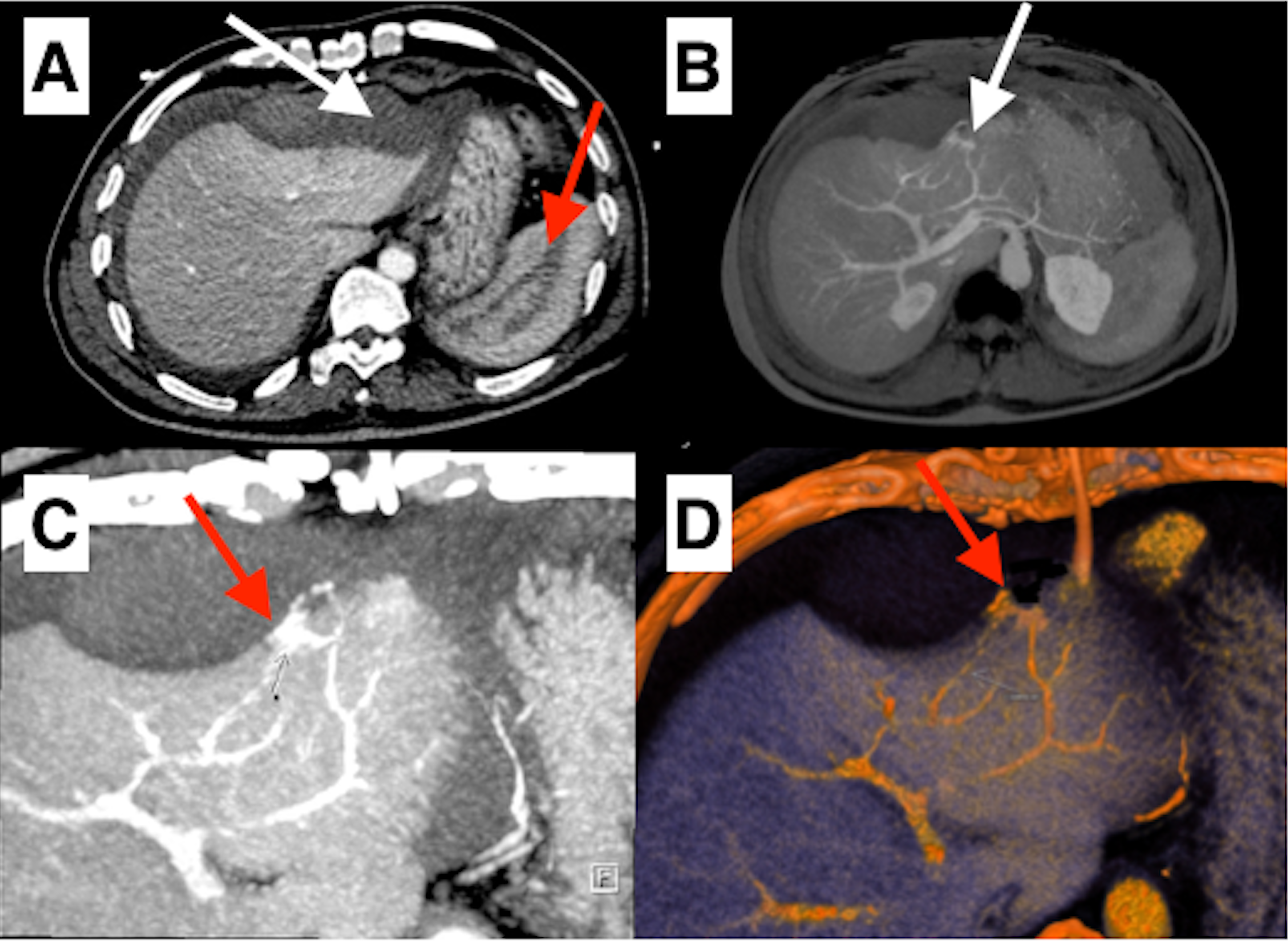
Since the patient’s haemoglobin decreased from 12.1 to 8.9 gm/dL, a computed tomography (CT) scan was done, which showed hemoperitoneum and hematoma in the perisplenic region and anterior to liver (Figure, A) with active contrast leak from a branch of left hepatic artery (Figure, B-D). He was managed conservatively with packed red blood transfusion in view of hemodynamic stability. The haemoglobin improved to 12.3 gm/dL and a repeat CT scan 48 hours later showed no active contrast extravasation or increase in the collection. The pigtail was removed after TTE and showed no accumulation of pericardial fluid. The further course was complicated by development of contrast-induced nephropathy, which resolved in a week. The patient was discharged and continues to do well at 1-month follow-up.
Affiliations and Disclosures
From the Department of 1Cardiology and 2Radiology, U.N. Mehta Institute of Cardiology and Research Centre, Ahmedabad-380016, India.
Disclosures: The authors report no financial relationships or conflicts of interest regarding the content herein.
Address for correspondence: Kewal Kanabar, MD (AIIMS, New Delhi), DM (PGIMER, Chandigarh), Department of Cardiology, U.N. Mehta Institute of Cardiology and Research Centre, Ahmedabad-380016, India. Email: kewal.kanabar14@gmail.com


