Balloon Valvuloplasty for Annular- and Leaflet-Level Tricuspid Stenosis: Report of Cases and Literature Review
Abstract
Congenital tricuspid valve stenosis is extremely rare. We describe 2 cases of patients with adult congenital heart disease with hypoplastic tricuspid valve annulus who were symptomatic from annular- and leaflet-level tricuspid stenosis. The patients underwent transcatheter balloon valvuloplasty with good clinical outcomes. An extensive literature review and analysis of various procedural strategies suggests that percutaneous balloon valvuloplasty may be a reasonable therapeutic choice as a first-line therapy or when open surgical repair is associated with prohibitively high mortality. This procedure can be performed either as a destination therapy or as a bridge to valve replacement.
Introduction
Severe tricuspid valve stenosis (TS) is associated with a mean gradient across the tricuspid valve (TV) of at least 5 mm Hg, a calculated TV area of less than 1 cm2, or both.1 Patients with TS usually present with a low cardiac output state, syncope or presyncope, and signs of elevated right atrial pressures, such as hepatomegaly, anasarca, lower-extremity edema, and ascites. As per the American College of Cardiology/American Heart Association's 2014 valvular heart disease guidelines, surgical replacement (TVR) should be considered in patients with symptomatic severe tricuspid (bioprosthetic or native valve) stenosis —a class I recommendation.1
Percutaneous transcatheter tricuspid balloon valvuloplasty (PTBV) can be considered in patients with severe symptomatic native TS without tricuspid regurgitation (TR) as a class IIb guideline indication.1 It is less preferable than surgery because most cases of severe TS have concurrent TR that might worsen after balloon dilation. In addition, there are insufficient data on the long-term outcomes of patients undergoing PTBV.
Native TS is rare, especially when secondary to congenital malformation rather than carcinoid fibrosis, rheumatic disease, tumoral obstruction, endocardial fibroelastosis, device interaction, or infective endocarditis (IE). IE rarely causes TS in the native valve but tends to do so in bioprosthetic ones. The role of catheter-based interventions in TS has not been properly defined. In patients where the operative risk is prohibitively high, PTBV has previously been used for relief of stenosis, but both procedural approach and periprocedural risks remain unknown. We describe 2 cases of compounded stenosis at the annular and leaflet levels, with valvuloplasty leading to a marked improvement in cardiac hemodynamics and patient outcome. We also reviewed current literature to summarize past reports of PTBV.
Case Reports
Case 1. The first patient was a 30-year-old woman with a known history of type I diabetes treated with continuous insulin infusion by pump, large secundum atrial septal defect (ASD), hypoplastic tricuspid valve annulus, perimembranous ventricular septal defect (VSD), and supravalvular and valvular pulmonic stenosis. She had undergone patch closure of VSD, resection of right ventricle muscle bundles, pulmonary valvotomy, and closure of the ASD, and had been lost to follow-up for the prior 7 years. She presented with bilateral lower extremity edema, abdominal fullness, and mild dyspnea on exertion (New York Heart Association [NYHA] functional class 2). Her vital signs were blood pressure 137/87 mm Hg, pulse 96 bpm, and oxygen saturation 99% in room air. Her body mass index was 40.3 kg/m2. Her jugular venous pressure (JVP) was perceived to be elevated. A I/IV early diastolic rumbling murmur was heard at the right upper sternal border and increased with breathing. There was bilateral pitting edema to the mid-shin, and both ankles were significantly swollen. The abdomen was soft, obese, and non-tender. No palpable liver was noted.
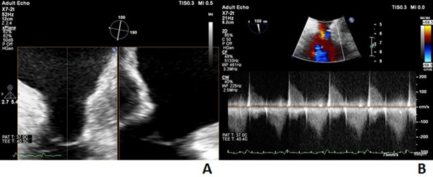
Subsequent work-up included an abdominal ultrasound that showed hepatic congestion and cirrhosis. A cardiac magnetic resonance imaging (MRI) showed tricuspid stenosis, likely due to dysplastic tricuspid valve leaflets that appeared thickened without significant TR. The tricuspid valve annulus measured 24 mm in transverse diameter and 23 x 32 mm in short axis. The tricuspid valve annulus area was 5.5 cm2. A transesophageal echocardiogram confirmed a narrow, hypoplastic, dysplastic, and lipomatous tricuspid annulus measuring 1.7 x 2.1 cm at the base of the tricuspid leaflets (Figure 1A). There appeared to be commissural fusion and restriction of the leaflet tips with a peak gradient of 18 mm Hg and a mean of 10 mm Hg at a heart rate of 86 bpm (Figure 1B). Finally, after a trial of diuretic therapy, diagnostic cardiac catheterization still showed a mean right atrial pressure of 21 mm Hg and a right ventricular pressure of 31/7 mm Hg with a mean diastolic tricuspid valve gradient of 11 mm Hg at 78 bpm. Her case was discussed at our multidisciplinary adult congenital heart disease (ACHD) conference; the consensus was that, given her peripheral edema, liver congestion, and cirrhosis, she should undergo an intervention with PTBV as the first line.
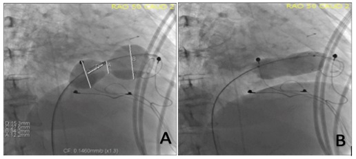
Under conscious sedation, access was obtained in the right femoral vein with an 8 French (Fr) sheath and in the right femoral artery with a 5 Fr sheath. The patient received 2 g of Cefazolin and 10 000 units of unfractionated heparin intravenously, achieving an activated clotting time of 292 seconds. A 7 Fr balloon wedge catheter (Teleflex Medical) was used to exchange for a soft J-tip exchange length wire. We then placed a Langston 6 Fr dual-lumen pigtail catheter (Vascular Solutions) to take simultaneous gradients across the tricuspid valve. The mean diastolic gradient was 10 mm Hg with a right atrial mean pressure of 25 mm Hg (Figure 2A). A modified Safari Extra Small wire (Boston Scientific) was then introduced in the right ventricle, and a 34-mm AGA sizing balloon (AGA Medical Corporation) was placed across the TV. Upon inflation, we only noted a waist at the level of the leaflet tips measuring 15 mm on a calibrated measurement. Though the balloon was inflated up to 24 mm proximally, the annulus could not be delineated (Figure 3A).
Given this and the TEE measurements, we decided to start with a 20 mm x 5-cm Z-Med II-X balloon (B. Braun Interventional Systems). Using a hand inflation estimated at less than 2 atmospheres twice (10 seconds each), the waist dilated easily. The balloon was removed, and both echocardiographic and hemodynamic assessments were performed. The right atrial mean pressure dropped to 23 mm Hg, and the mean diastolic gradient across the TV was 7 mm Hg by both modalities (Figure 2B). There was no significant regurgitation. We then introduced a 22 mm x 5-cm Z-Med II-X balloon (B. Braun Interventional Systems) and dilated it again at a similar pressure twice (10 seconds each). Post-inflation assessments showed a right atrial mean pressure of 24 mm Hg with a mean diastolic gradient of 6 mm Hg by cath and 5 mm Hg by transthoracic echocardiogram (TTE) (Figure 2C). There was trivial regurgitation. We then repositioned the sizing balloon within the valve annulus. On inflation, the valve leaflet tip opening was 20 mm, as was the annulus (Figure 3B).
Given these findings, we elected not to attempt further dilation. The procedure was then terminated. Her venous sheath was removed, and a Perclose ProGlide suture-mediated closure system (Abbott Vascular Devices) was successfully used for hemostasis. Her 5 Fr arterial sheath was sutured in place, with hemostasis later achieved by manual compression. At 6 hours post-procedure, the patient was discharged home. She was seen in the outpatient clinic 3 weeks post-procedure and was feeling better with resolution of her edema. After experiencing fatigue and reduced exercise tolerance, her case was reviewed at the ACHD multidisciplinary conference 7 months after her TV valvuloplasty, where it was agreed that the balloon dilatation had been effective and that her tricuspid valvular stenosis was not severe. Therefore, it was concluded that surgical treatment, such as a Glenn anastomosis or re-dilatation of the TV, would not alleviate her symptoms. Her last cardiac follow-up occurred 51 months after her TV valvuloplasty. She was stable from a cardiac perspective with Furosemide 40 mg BID orally, and her TTE demonstrated a dysplastic TV with residual stenosis with a mean gradient of 8 mm Hg at 75 bpm.
Case 2. A 61-year-old woman with a known history of hypothyroidism, repaired VSD, prior left ventricle outflow tract and right ventricle outflow tract obstruction resections, repaired cleft mitral valve, sternal infections with wire removal plus debridement, and pacemaker insertions for complete heart block was first admitted with ascites, peripheral edema, and dyspnea (NYHA functional class 3). Her transthoracic echocardiogram (TTE) revealed TS with a mean gradient across the TV of 13 mm Hg and a hypoplastic annulus. She was treated with diuretics with improvement of her volume status.
Her case was discussed with her and her family and was considered as a high-risk surgery. She declined the surgical approach and was discharged 10 days later. Nine months after the first admission, she presented with recurrent volume overload. Her vital signs on this admission were blood pressure 101/62 mm Hg, pulse 70 bpm, and oxygen saturation of 98% in room air. Her weight was 69 kg (baseline 60) and her JVP was elevated. Her exam was remarkable for hepatomegaly, ascites, and peripheral edema. A repeat TTE showed a mean tricuspid valve gradient of 16 mm Hg with a hypoplastic annulus (Figure 4). Cardiac CTA showed a 24 x 21-mm diameter of the TV with a cross-sectional area of 4.0 cm2. A diagnostic right heart catheterization showed pressures of the right atrium of 20 mm Hg and a mean gradient across the TV of 13 mm Hg with simultaneous pressure measurements (Figure 5). She was treated with aggressive IV diuretic therapy with little improvement of her symptoms. Finally, her case was discussed at our institution’s multidisciplinary ACHD conference, and the consensus was to have her undergo PTBV.
Under conscious sedation, access was obtained in the right femoral artery, and a 5 Fr sheath was placed. Then, a 14 Fr sheath was placed in the right femoral vein with a single Perclose (Abbott Vascular Devices). She received a total of 9000 units of IV Heparin and 1 g of Cefazolin. Left and right heart catheterizations were performed. Pressures were as follows: right atrial mean 12 mm Hg, RV 21/5 mm Hg, pulmonary artery 18/5 (11) mm Hg, mean wedge pressure of 7 mm Hg, V-wave of 10 mm Hg. We were able to cross the tricuspid valve with a half-inflated balloon wedge pressure catheter (Teleflex Medical) because we were unable to cross it with full inflation. We advanced a pigtail over a soft exchange 0.035-inch wire, which was then changed for a Safari Extra Small wire (Boston Scientific). A Multi-track catheter (B. Braun Interventional Systems) was advanced to the RV to perform an angiogram.
Once the anatomy was defined, we advanced an AGA sizing balloon (AGA Medical Corporation). Balloon inflation showed a 12-mm waist at the tips of the tricuspid valve leaflets (Figure 6A). Given these findings and the data from the CT, we decided to advance a 22 x 5-cm Z-MED II balloon (B. Braun Interventional Systems) and performed an inflation with a clear improvement in the waist. However, we only were able to measure 16 mm of leaflets excursion. Then, we advanced a 25 x 5-mm Z-MED II balloon (B. Braun Interventional Systems) and performed another inflation, which further dilated the annulus (Figure 6B). We then used a Langston dual-lumen pigtail catheter (Vascular Solutions) for simultaneous pressure measurement. The mean gradient was 6 mm Hg, with similar values obtained by TTE.
Interestingly, there was no tricuspid regurgitation. Her venous sheath was removed and the Perclose sutures provided excellent hemostasis. Her 5 Fr arterial sheath was sutured in place with hemostasis later achieved by manual compression. The patient was discharged home 9 days post-procedure. Her last cardiac follow-up occurred 45 months after her TV valvuloplasty. She was asymptomatic from a cardiac perspective, and her TTE demonstrated a dysplastic TV with residual stenosis with a mean gradient of 4 mm Hg at 60 bpm.
Literature Review and Synthesis
A literature search was conducted by the first author using PubMed, Medline, and Google Scholar electronic databases for case reports of PTBV, with search-term combinations that included tricuspid valve, valvuloplasty, valvotomy, balloon, transcatheter, and percutaneous. The search was conducted on March 15, 2023 and no other date restrictions were imposed. Only articles in English were reviewed. We extracted information on patient demographics, indications, symptoms, pressures pre- and post-valvuloplasty, procedural success, and long-term survival information, if available. We excluded reports where the required information was not available. We also excluded cases of mechanical tricuspid valve obstruction and intentional post-dilation of previously implanted percutaneous bioprosthetic valves.
We identified 46 full-text articles published in peer-reviewed journals between 1986 and 2023. These cases2-47 are summarized in Tables 1 and 2. The number of cases reported in the studies ranged from 1 to 12 cases in total. Overall, there were 18 studies reporting cases for patients with bioprosthetic tricuspid valve stenosis, 17 reporting on rheumatic tricuspid valve stenosis, and 7 on pacemaker-lead induced stenosis, with the remainder involving carcinoid, shunt, or congenital disease as etiology. Follow-up was reported in 36 studies, ranging from the immediate post-procedural hospitalization up to 66 months. The subjects were predominantly female (79%) with a median age of 35.5 years and an interquartile range of 19.5 years.






In terms of PTBV strategies, out of 47 studies, 54% (n=40) reported use of a single-balloon and 46% (n=34) use of a two-balloon strategy. Among studies that used a single-balloon strategy, the type of the balloon was monofoil in 77.5% (n=31) and bifoil in 12.5% (n=5) of studies.
Discussion
We present 2 cases of successful PTBV in 2 patients with hypoplastic tricuspid annuli. Given the unique setting of these patients’ anatomy, our strategy was driven by all possible steps to avoid mechanical complications. We insisted on crossing the tricuspid valve with an inflated balloon wedge catheter in order to avoid, as much as possible, encroaching on the subvalvular apparatus and tearing it in the process. We also made sure to use a compliant sizing balloon to optimally guide the dilation while avoiding annular disruption. Finally, we opted for a single balloon technique to achieve a more controllable and predictable inflation that would minimize trauma to the annulus while expanding the separation of the leaflet tips. Looking at previously reported cases in the literature, our technique overlaps with several aspects while differing in our use of a compliant sizing balloon for dilation guidance.
Percutaneous balloon valvuloplasty is commonly used to treat patients with aortic and mitral stenosis. It is not used as often for TS, even though dilating should be easier because, unlike mitral stenosis, it does not require crossing the interatrial septum. To our knowledge, these are the second and third cases of valvuloplasty for congenitally stenotic native TV and the only ones to include more than one level of narrowing (both annular- and leaflet-level) to be reported in the literature. Despite the increasing number of PTBV in bioprosthetic,2-19 pacemaker lead-induced,20-26 and rheumatic27-43 TS, there have been no randomized controlled trials to prove the efficacy of PTBV or its optimal procedural approach.
Single- vs double-balloon strategy. The tricuspid valve annulus tends to be the largest of all valves in diameter. As such, there have been several concerns about the use of a single, large size balloon in such a situation: (1) the large diameter of the annulus of the stenotic lesion relative to the available balloon diameter, (2) the difficulty in the introduction or removal of the larger balloons into or from the femoral vessels, and (3) the possibility of causing permanent damage to or obstruction of the femoral vessels by the redundant balloon material of the deflated dilation catheter with a very large balloon.
However, the landscape in the adult population has evolved, thereby lessening such concerns. Nowadays, improvements in balloon catheter designs have led to the largest balloon going through (and back into) a 16 Fr sheath. In addition, with the implementation of new generation pulmonary valves, sheaths as large as 26 Fr are routinely placed in the femoral or internal jugular veins of adult patients. The standard large diameter balloon catheters can be challenging to position accurately and maintain in the stenotic orifice during inflation. Mullins et al proposed the double-balloon technique to alleviate such concerns while allowing continued flow during inflation.48 This technique, however, entails dual access, hence an increased probability of access site-related complications. It assumes a smooth interaction between the 2 balloons and a reliable relation between the individual sizes of the balloons and the total dilation obtained.
It is also likely that longer balloons can be used to secure a stable relation between the 2 balloons, potentially leading to undesired interaction with subvalvular and/or ventricular structures, and more space occupation in the right atrium than expected. The lack of an agreed-upon formula renders valvuloplasty balloon size selection a priori, as in the mitral valve situation, controversial.49 In their study, Mullins et al suggested for PTBV to pick balloons so that the combined diameter would be 20% greater than the estimated annulus diameter based on the patient's weight.48 However, with advances in echocardiography, including intracardiac and transesophageal approaches, there has been a growing body of evidence advocating for the use of echocardiographic measurement of the diastolic inter-commissural diameter to select valvuloplasty balloon size.50
Balloon choice. Our literature review showed an almost even split between the adoption of the single- vs double-balloon techniques. In the single balloon cases, 40% opted for the Inoue balloon (Toray Marketing & Sales) while taking into consideration that more than one half of these cases involved rheumatic valves, and another third involved malfunctioning bioprosthetic devices. Both scenarios focused on at the same targets: leaflet tips for the former, and a bioprosthetic frame for the latter. In our cases, we had to integrate all of these factors and select what we believed was the most appropriate patient-specific strategy. Having excellent pictures from transesophageal echocardiography, we were aware that we had to deal with a narrow and dysplastic annulus on top of the stenotic leaflet tips. As such, we decided to opt for a grooveless balloon in order to avoid overdilation of the annulus and the maximum possible leaflet dilation. Based on the echocardiogram measurements, we also decided against dilating beyond 10% to 20% above the measured annulus diameter.
However, we wanted to have a precise and reliable assessment of the dimensions at hand. We therefore decided to use a compliant sizing balloon to circumvent any shortcomings that the diagnostic modalities may have displayed. To our knowledge, this is the first time this strategy has been implemented and to this purpose. The information provided by balloon sizing turned out to be comparable and additive to the diagnostic modalities. The procedural strategy was also successful, yielding a 40% to 50% decrease in tricuspid gradient without significant regurgitation.
Long-term outcomes. The sustainability of the results is another area of controversy. Neither single- nor multiple-balloon techniques led to severe valvular regurgitation in the immediate post-procedural period. Long-term follow-up data, when available, did, however, identify cases of restenosis.3,7 Wren and Hunter3 observed an immediate gradient reduction and clinical improvement in their 19-year-old patient with a single 20-mm Mansfield balloon, but also reported restenosis at 3 months, which necessitated repeat valvuloplasty. This was followed by recurrence of symptoms and stenosis at 6 months, at which point no further valvuloplasty was attempted. The valve was eventually replaced surgically and was found to have calcific deposits on both atrial and ventricular surfaces. Slama and colleagues7 reported a similar acute symptomatic improvement after PTBV with a double-balloon approach using a 10-mm trefoil balloon combined with a 15-mm Schneider Shiley balloon on both occurrences followed by recurrence of stenosis and symptoms, which was treated with valve replacement at 16 months. However, there are also patients with sustained excellent results more than 36 months post-procedure with both techniques and at various balloon sizes.35, 37 After treatment with the sizing balloon-guided single-balloon technique, our 2 patients sustained long-term success more than 4 years post-procedure.
Limitations. Caution in extrapolating from the previously reported literature and cases is advised. Although these case reports may suggest that PTBV is effective and associated with low morbidity, case reports and case series do not generate evidence that is strong enough to inform or change practice. In addition, we cannot exclude publication bias, as it is likely that PTBV has been performed in a multitude of patients who had less favorable results, reports of which were not presented or not accepted for publication. Further evidence is required before we can recommend PTBV as a frontline therapy for such patients. While this procedure is most likely to be used in a palliative strategy, it can be considered a bridge to percutaneous or surgical valve replacement. When performing this procedure, we recommend using a balloon-sizing catheter to assess the measurements at both the annular and leaflet levels. The next step would be integrating this data with the intraprocedural echocardiography findings and devising a patient-specific approach accordingly. Though our preference is for the single-balloon approach because of the added layer of complexity provided by the double-balloon approach, any strategy selected based on the combined assessment of imaging and balloon sizing is more likely to be tailored to the unique patient attributes and to yield more optimal and lasting outcomes like the ones we experienced with our 2 patients.
Conclusions
The present report demonstrates the successful use and immediate clinical benefit of percutaneous transcatheter balloon valvuloplasty for tricuspid valve stenosis in 2 rare cases of annular- and leaflet-level congenital stenosis. This was achieved using a single balloon, sequential dilation technique with combined a priori echocardiographic and ad hoc invasive sizing for valvuloplasty balloon size selection. We propose such multimodality (imaging and invasive sizing) as a key step toward a more optimal outcome. It is essential to acknowledge the heterogeneity in tricuspid valve pathology, whether native or bioprosthetic, and to be familiar with the different combinations of procedural approaches in order to tailor the adopted strategy to each patient's unique situation.
Affiliations and Disclosures
From the 1Division of Cardiovascular Diseases, Department of Medicine, University of Tennessee Health Science Center, Memphis, Tennessee, USA; 2Mexican Institution of Social Security, UMAE No. 1, Merida, Yucatan, Mexico; 3Toronto Congenital Cardiac Centre for Adults, Peter Munk Cardiac Centre, University Health Network, Toronto, Ontario, Canada; 4Toronto General Hospital Research Institute, University Health Network (UHN), Toronto, Ontario, Canada.
Disclosures: Dr. Horlick is a consultant for Abbott, Edwards, and Medtronic. He has received research grants from Abbott and Occlutech for other projects. The Structural Heart Disease program at University Health Network receives educational support from Abbott, Edwards, and Medtronic. Abbott, Edwards, and Medtronic were not involved in planning or execution of this study and have not seen or reviewed this manuscript. The remaining authors report no financial relationships or conflicts of interest regarding the content herein.
Address for correspondence: Eric Horlick, MDCM, Peter Munk Cardiac Centre, Toronto General Hospital, 200 Elizabeth Street, Room 6 E-249, Toronto, Ontario, M5G 2C4, Canada. Email: eric.horlick@uhn.ca
References
- Nishimura RA, Otto CM, Bonow RO, et al. 2014 AHA/ACC guideline for the management of patients with valvular heart disease: a report of the American College of Cardiology/American Heart Association Task Force on Practice Guidelines. J Am Coll Cardiol. 2014;63(22):2438-2488. doi: 10.1016/j.jacc.2014.02.537
- Feit F, Stecy PJ, Nachamie MS. Percutaneous balloon valvuloplasty for stenosis of a porcine bioprosthesis in the tricuspid valve position. Am J Cardiol. 1986;58( 3):363- 364. doi: 10.1016/0002-9149(86)90081-0
- Wren C, Hunter S. Balloon dilatation of a stenosed bioprosthesis in the tricuspid valve position. Br Heart J. 1989;61( 1):65-67. doi: 10.1136/hrt.61.1.65
- Chow WH, Cheung KL, Tai YT, Cheng CH. Successful percutaneous balloon valvuloplasty of a stenotic tricuspid bioprosthesis. Am Heart J. 1990;119( 3 Pt 1): 666- 668. doi: 10.1016/s0002-8703(05)80291-1
- Attubato MJ, Stroh JA, Bach RG, Slater J, Feit F. Percutaneous double-balloon valvuloplasty of porcine bioprosthetic valves in the tricuspid position. Cathet Cardiovasc Diagn. 1990;20( 3):202-204. doi: 10.1002/ccd.1810200312
- Benedick BA, Davis SF, Alderman E. Balloon valvuloplasty for fungal endocarditis induced stenosis of a bioprosthetic tricuspid valve. Cathet Cardiovasc Diagn. 1990;21( 4): 248-251. doi: 10.1002/ccd.1810210408
- Slama MS, Drieu LH, Malergue M, et al. Percutaneous double balloon valvuloplasty for stenosis of porcine bioprostheses in the tricuspid valve position: a report of 2 cases. Cathet Cardiovasc Diagn. 1993;28( 2): 142-148. doi: 10.1002/ccd.1810280210
- Koike G, Yamada A, Inou T, Urabe Y, Takeshita A. Percutaneous balloon valvuloplasty with a modified Inoue balloon for stenosis of a porcine bioprosthesis in the tricuspid valve position. Jpn Heart J. 1994;35(6):809-812. doi: 10.1536/ihj.35.809
- MacGregor JS, Cavero PG, McCluskey ER, Cheitlin MD. Percutaneous valvuloplasty to relieve stenosis of a bioprosthetic tricuspid valve in a patient with bacterial endocarditis. Am Heart J. 1994;128( 1):199-202. doi: 10.1016/0002-8703(94)90032-9
- Block PC, Smalling R, Owings RM. Percutaneous double balloon valvotomy for bioprosthetic tricuspid stenosis. Cathet Cardiovasc Diagn. 1994;33(4): 42-344. doi: 10.1002/ccd.1810330412
- Egred M, Albouaini K, Morrison WL. Images in cardiovascular medicine. Balloon valvuloplasty of a stenosed bioprosthetic tricuspid valve. Circulation. 2006;113(18): e745-747. doi: 10.1161/CIRCULATIONAHA.105.568238
- Yunoki K, Naruko T, Itoh A, et al. Images in cardiovascular medicine. Percutaneous transcatheter balloon valvuloplasty for bioprosthetic tricuspid valve stenosis. Circulation. 2006;114(18):e558-559. doi: 10.1161/CIRCULATIONAHA.106.618611
- Burstow DJ, West ML, Walters DL. Intracardiac echo guided valvuloplasty of a stenotic tricuspid prosthetic valve in a patient with idiopathic hypereosinophilic syndrome. Echocardiography. 2006;23(4):324-328. doi: 10.1111/j.1540-8175.2006.00214.x
- Petrou E, Vartela V, Girasis C, Boutsikou M, Iakovou I, Pavlides G. Balloon valvuloplasty for bioprosthetic tricuspid valve stenosis. Korean Circ J. 2014;44(2):128-129. doi: 10.4070/kcj.2014.44.2.128
- Falcone AM, Varghese JJ, Stoler RC, Choi JW. Effectiveness of balloon valvuloplasty for stenosis of a bioprosthesis in the tricuspid valve position. Proc (Bayl Univ Med Cent). 2015;28(4):502-503. doi: 10.1080/08998280.2015.11929323
- Reddy G, Ahmed M, Alli O. Percutaneous valvuloplasty for severe bioprosthetic tricuspid valve stenosis in the setting of infective endocarditis. Catheter Cardiovasc Interv. 2015;85(5): 925-929. doi: 10.1002/ccd.25372
- Rana G, Shih J, Kakouros N. Percutaneous transcatheter balloon valvuloplasty for bioprosthetic tricuspid valve stenosis in a patient with orthotopic heart transplant. J Invasive Cardiol. 2015;27(3):E40-41.
- Yokoyama Y, Abe M, Fujieda H, Abe Y. A rare case: bioprosthetic tricuspid valvuloplasty dramatically improved hepatic encephalopathy. Gen Thorac Cardiovasc Surg. 2016;64(10):618-620. doi: 10.1007/s11748-015-0532-0
- Rana G, Malhotra R, Sharma A, Kakouros N. Percutaneous Valvuloplasty for Bioprosthetic Tricuspid Valve Stenosis. Tex Heart Inst J. 2017;44(1):43-49. doi: 10.14503/THIJ-15-5408
- Nisanci Y, Yilmaz E, Oncul A, Ozsaruhan O. Predominant tricuspid stenosis secondary to bacterial endocarditis in a patient with permanent pacemaker and balloon dilatation of the stenosis. Pacing Clin Electrophysiol. 1999;22(2):393-396. doi: 10.1111/j.1540-8159.1999.tb00460.x
- Hussain T, Knight WB, McLeod KA. Lead-induced tricuspid stenosis--successful management by balloon angioplasty. Pacing Clin Electrophysiol. 2009;32(1):140-142. doi: 10.1111/j.1540-8159.2009.02189.x
- Michiels V, Delabays A, Eeckhout E. Percutaneous balloon valvotomy for the treatment of pacemaker lead-induced tricuspid stenosis. Heart. 2014;100(4):352. doi: 10.1136/heartjnl-2013-304453
- Rama-Merchan JC, Arribas-Jimenez A, Martin-Moreiras J, Garcia-Fernandez E, Cruz-Gonzalez I. Pacemaker lead-related tricuspid stenosis successfully treated with percutaneous balloon valvuloplasty guided by 3D echocardiography. Rev Port Cardiol. 2014;33(11):739.e1-3. doi: 10.1016/j.repc.2014.06.006
- Patil DV, Nabar AA, Sabnis GR, Phadke MS, Lanjewar CP, Kerkar PG. Percutaneous tricuspid valvotomy for pacemaker lead-induced tricuspid stenosis. Indian Heart J. 2015;67 Suppl 3(Suppl 3):S115-116. doi: 10.1016/j.ihj.2015.06.033
- Çetiner N, Baştuhan IY, Özyiğit T, Mutluer FO, Çeliker A. Pacemaker lead-induced tricuspid stenosis treated with percutaneous valvotomy. Turk J Pediatr. 2020;62(4):681-684. doi: 10.24953/turkjped.2020.04.022
- Khan A, Mustafa A, Ling J, Lafferty J. Severe Tricuspid Stenosis Secondary to Permanent Pacemaker Lead. J Med Cases. 2022;13(8):365-368. doi: 10.14740/jmc3900
- Khalilullah M, Tyagi S, Yadav BS, Jain P, Choudhry A, Lochan R. Double-balloon valvuloplasty of tricuspid stenosis. Am Heart J. 1987;114(5):1232-1233. doi: 10.1016/0002-8703(87)90201-8
- Bourdillon PD, Hookman LD, Morris SN, Waller BF. Percutaneous balloon valvuloplasty for tricuspid stenosis: hemodynamic and pathological findings. Am Heart J. 1989;117(2):492-495. doi: 10.1016/0002-8703(89)90802-8
- Goldenberg IF, Pedersen W, Olson J, Madison JD, Mooney MR, Gobel FL. Percutaneous double balloon valvuloplasty for severe tricuspid stenosis. Am Heart J. 1989;118(2):417-419. doi: 10.1016/0002-8703(89)90208-1
- Bethencourt A, Medina A, Hernandez E, et al. Combined percutaneous balloon valvuloplasty of mitral and tricuspid valves. Am Heart J. 1990;119(2 Pt 1):416-418. doi: 10.1016/s0002-8703(05)80044-4
- Savas V, Grines CL, O'Neill WW. Percutaneous triple-valve balloon valvuloplasty in a pregnant woman. Cathet Cardiovasc Diagn. 1991;24(4):288-294. doi: 10.1002/ccd.1810240416
- Konugres GS. Lau FYK, Ruiz CE. Successive percutaneous double balloon mitral, aortic, and tricuspid valvotomy in rheumatic trivalvular stenosis. Am Heart J. 1990;119:663-666. doi: 10.1016/s0002-8703(05)80290-x
- Sobrino N, Calvo Orbe L, Merino JL, et al. Percutaneous balloon valvuloplasty for concurrent mitral, aortic and tricuspid rheumatic stenosis. Eur Heart J. 1995;16(5):711-713. doi: 10.1093/oxfordjournals.eurheartj.a060979
- Patel TM, Dani SI, Shah SC, Patel TK. Tricuspid balloon valvuloplasty: a more simplified approach using inoue balloon. Cathet Cardiovasc Diagn. 1996;37(1):86-88. doi: 10.1002/(SICI)1097-0304(199601)37:1<86::AID-CCD23>3.0.CO;2-T
- Sharma S, Loya YS, Desai DM, Pinto RJ. Percutaneous double-valve balloon valvotomy for multivalve stenosis: immediate results and intermediate-term follow-up. Am Heart J. 1997;133(1):64-70 doi: 10.1016/s0002-8703(97)70249-7
- Bahl VK, Chandra S, Mishra S. Concurrent balloon dilatation of mitral and tricuspid stenosis during pregnancy using an Inoue balloon. Int J Cardiol. 1997;59(2):199-202. doi: 10.1016/s0167-5273(96)02905-1
- Sancaktar O, Kumbasar SD, Semiz E, Yalçinkaya S. Late results of combined percutaneous balloon valvuloplasty of mitral and tricuspid valves. Cathet Cardiovasc Diagn. 1998;45(3):246-250. doi: 10.1002/(sici)1097-0304(199811)45:3<246::aid-ccd6>3.0.co;2-3
- Ashraf T, Pathan A, Kundi A. Percutaneous balloon valvuloplasty of coexisting mitral and tricuspid stenosis: single-wire, double-balloon technique. J Invasive Cardiol. 2008;20(4):E126-128.
- Boccuzzi G, Gigli N, Cian D, et al. Percutaneous transcatheter balloon valvuloplasty for severe tricuspid valve stenosis in Ebstein's anomaly. J Cardiovasc Med (Hagerstown). 2009;10(6):510-515. doi: 10.2459/jcm.0b013e3283293433
- Härle T, Kronberg K, Motz R, Elsässer A. Balloon valvuloplasty of a tricuspid valve stenosis in double balloon technique. Clin Res Cardiol. 2010;99(3):203-205. doi: 10.1007/s00392-009-0107-0
- Chaurasia A, Nawale J, Yemul M, Patil S, Mukhedkar S. Percutaneous transvenous tricuspid commissurotomy in a patient with congenitally corrected transposition of great arteries: a case report. Catheter Cardiovasc Interv. 2013;82(7):E932-938. doi: 10.1002/ccd.24698
- Cemin R, Mautone A, Donazzan L, Oberhollenzer R. Inoue balloon valvuloplasty for rheumatic tricuspid valve stenosis: an excellent technique with some intrinsic difficulties. J Cardiovasc Med (Hagerstown). 2014;15(3):263-265. doi: 10.2459/JCM.0b013e3283621ee5
- Paul B, Biswas PK, Majumder B. A rare combination of rheumatic mitral and tricuspid stenosis treated by percutaneous balloon valvuloplasty. JICC. 2015;5(1) 32-34. doi: 10.1016/j.jicc.2014.10.006
- Oñate A, Alcibar J, Inguanzo R, Peña N, Gochi R. Balloon dilation of tricuspid and pulmonary valves in carcinoid heart disease. Tex Heart Inst J. 1993;20(2):115-119.
- Karimi A, Pourafshar N, Fudge JC. Pulmonary and tricuspid valvuloplasty in carcinoid heart disease. Catheter Cardiovasc Interv. 2018;91(7):E68-E71. doi: 10.1002/ccd.26615
- Akram Q, Saravanan D, Levy R. Valvuloplasty for tricuspid stenosis caused by a ventriculoatrial shunt. Catheter Cardiovasc Interv. 2011;77(5):722-725. doi: 10.1002/ccd.22745
- Chen CR, Lo ZX, Huang ZD, Cheng TO. Concurrent percutaneous balloon valvuloplasty for combined tricuspid and pulmonic stenoses. Cathet Cardiovasc Diagn. 1988;15(1):55-60. doi: 10.1002/ccd.1810150113
- Mullins CE, Nihill MR, Vick GW III, et al. Double balloon technique for dilation of valvular or vessel stenosis in congenital and acquired heart disease. J Am Coll Cardiol. 1987;10(1):107-114. doi: 10.1016/s0735-1097(87)80168-7
- Lau KW, Hung JS. A simple balloon-sizing method in Inoue-balloon percutaneous transvenous mitral commissurotomy. Cathet Cardiovasc Diagn. 1994;33(2):120-129. discussion 130–131. doi: 10.1002/ccd.1810330207
- Sanati HR, Kiavar M, Salehi N, et al. Percutaneous mitral valvuloplasty – a new method for balloon sizing based on maximal commissural diameter to improve procedural results. Am Heart Hosp J. 2010;8(1):29-32. doi: 10.15420/ahhj.2010.8.1.29


