Skip to main content

Volume 35 - Issue 6 - June, 2023

06/02/2023
June 2023 TOC and Whole Issue PDF
June 2023 TOC and Whole Issue PDF
June 2023 TOC and Whole Issue PDF
06/02/2023
Journal of Invasive Cardiology
Clinical Images
06/02/2023
Ramanathan Velayutham, MD; Avinash Anantharaj, MD, DM; Arunkumar Azhaganathan, MD, DM
A 50-year-old male presented with breathlessness on exertion for 3 years. He had loud S1 and a mid-diastolic murmur at apex. Electrocardiogram (ECG) showed sinus rhythm, P mitrale, and right ventricular hypertrophy with strain. 2D...
A 50-year-old male presented with breathlessness on exertion for 3 years. He had loud S1 and a mid-diastolic murmur at apex. Electrocardiogram (ECG) showed sinus rhythm, P mitrale, and right ventricular hypertrophy with strain. 2D...
A 50-year-old male presented...
06/02/2023
Journal of Invasive Cardiology
Clinical Images
06/02/2023
Macken Yrun-Duffy, DO; Danielle D. Strah, MD; Kenneth Fox, MD; Scott E. Klewer, MD; Michael D. Seckeler, MD, MSc
A 3-year-old female presented to our hospital with CHARGE association, tracheoesophageal fistula, neonatal hemorrhagic stroke, and tetralogy of Fallot with a right aortic arch and an anomalous origin of the left innominate artery arising from...
A 3-year-old female presented to our hospital with CHARGE association, tracheoesophageal fistula, neonatal hemorrhagic stroke, and tetralogy of Fallot with a right aortic arch and an anomalous origin of the left innominate artery arising from...
A 3-year-old female presented to...
06/02/2023
Journal of Invasive Cardiology
Clinical Images
06/02/2023
Ravinder Singh Rao, MD, DM; Govind Narayan Sharma, MD, DM; Prashant Varshney, DA, DNB; Kailash Chandra, MD
A 78-year-old man with symptomatic bicuspid severe aortic stenosis with LVEF 50% was planned for transcatheter aortic valve replacement (TAVR). His CT scan revealed calcified bicuspid aortic valve (Sievers Type 1), calcified raphe with...
A 78-year-old man with symptomatic bicuspid severe aortic stenosis with LVEF 50% was planned for transcatheter aortic valve replacement (TAVR). His CT scan revealed calcified bicuspid aortic valve (Sievers Type 1), calcified raphe with...
A 78-year-old man with...
06/02/2023
Journal of Invasive Cardiology
Clinical Images
06/02/2023
Grigorios Syrmos, MD; Dimitrios Karelas, MD, MSc; Nikolaos Platogiannis, MD, MSc; John Papanikolaou, MD, PhD
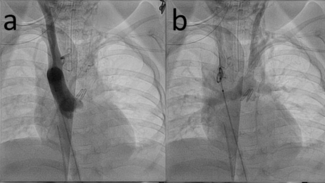
A 78-year-old male developed hemopericardium and hemodynamic collapse after an unsuccessful chronic total occlusion percutaneous coronary intervention (CTO-PCI). Echocardiographically-assisted emergent subxiphoid pericardiocentesis was...
A 78-year-old male developed hemopericardium and hemodynamic collapse after an unsuccessful chronic total occlusion percutaneous coronary intervention (CTO-PCI). Echocardiographically-assisted emergent subxiphoid pericardiocentesis was...
A 78-year-old male developed...
06/02/2023
Journal of Invasive Cardiology
Original Contribution
06/02/2023
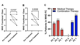
Marc Pritzker, MD; Thenappan Thenappan, MD; Kurt W. Prins, MD, PhD; Sergey Gurevich, MD; Felipe Kazmirczak, MD; Ganesh Raveendran, MD; Sasha Z. Prisco, MD, PhD; Ryan Knoper, MD; Steve Huddleston, MD
Chronic thromboembolic pulmonary hypertension (CTEPH) is a progressive and debilitating disorder that results from incomplete resolution of vascular obstructions resulting in pulmonary hypertension. Surgical pulmonary thromboendarterectomy...
Chronic thromboembolic pulmonary hypertension (CTEPH) is a progressive and debilitating disorder that results from incomplete resolution of vascular obstructions resulting in pulmonary hypertension. Surgical pulmonary thromboendarterectomy...
Chronic thromboembolic pulmonary...
06/02/2023
Journal of Invasive Cardiology
Original Contribution
06/01/2023
Hasan Ashraf, MD; Farouk Mookadam, MB, BCh, MBBCh, MD, FRCPC, FACC; Amith R. Seri, MBBS; Nithin R. Venepally, MD, MBBS; Mohamed Allam, MD; Sai Harika Pujari, MBBS; Charanjit S. Rihal, MD, MBA, FSCAI; Anil Sriramoju, MBBS; Mohamed Sleem, MD; Said Alsidawi, MD; David R. Holmes, Jr., MD; Nirat Beohar, MD; Eric H. Yang, MD; Reza Arsanjani, MD; Floyd David Fortuin, MD; Chieh-Ju Chao, MD; Mackram F. Eleid, MD; Pradyumna Agasthi, MBBS, MD; Timothy Barry, MB, BCh, BAO; Chia-Chun Chiang, MD; Panwen Wang, PhD
Ischemic stroke (IS) is an uncommon but severe complication in patients undergoing percutaneous coronary intervention (PCI). Despite significant morbidity and economic cost associated with post PCI IS, a validated risk prediction model is not...
Ischemic stroke (IS) is an uncommon but severe complication in patients undergoing percutaneous coronary intervention (PCI). Despite significant morbidity and economic cost associated with post PCI IS, a validated risk prediction model is not...
Ischemic stroke (IS) is an...
06/01/2023
Journal of Invasive Cardiology
Original Contribution
05/16/2023
Daniel Chamié, MD, PhD; Aurea Chaves, MD, PhD; Luiz Fernando Tanajura, MD, PhD; Marinella Centemero, MD, PhD; Rafaela Andrade Penalva Freitas, MD, PhD; Davide Cao; Roxana Mehran, MD; J. Ribamar Costa, Jr., MD, PhD; Amanda G.R.M. Sousa, MD, PhD; Ricardo A. Costa, MD, PhD; Fausto Feres, MD, PhD; Sergio Navarro Braga, MD, PhD
Despite the potential benefits of percutaneous procedures for the assessment and treatment of coronary artery disease, these interventions require the use of iodine contrast, which might lead to contrast-induced nephropathy (CIN) and...
Despite the potential benefits of percutaneous procedures for the assessment and treatment of coronary artery disease, these interventions require the use of iodine contrast, which might lead to contrast-induced nephropathy (CIN) and...
Despite the potential benefits...
05/16/2023
Journal of Invasive Cardiology
Brief Communication
04/14/2023
Khaldoon Alaswad, MD; Yader Sandoval, MD; Arun Kalyanasundaram, MD, MPH; Athanasios Rempakos, MD; Emmanouil S. Brilakis, MD, PhD, FACC, FAHA, FESC, FSCAI; Bahadir Simsek, MD; Spyridon Kostantinis, MD; Olga C. Mastrodemos, BA; Salman S. Allana, MD; Judit Karacsonyi, MD, PhD
The retrograde strategy is a common approach used in complex chronic total occlusion (CTO) percutaneous coronary intervention (PCI). The ERCTO Retrograde score is a tool that aims to predict the likelihood of technical success for retrograde...
The retrograde strategy is a common approach used in complex chronic total occlusion (CTO) percutaneous coronary intervention (PCI). The ERCTO Retrograde score is a tool that aims to predict the likelihood of technical success for retrograde...
The retrograde strategy is a...
04/14/2023
Journal of Invasive Cardiology
Original Contribution
04/14/2023
Scott M. Chadderdon, MD; Howard K. Song, MD, PhD; Firas E. Zahr, MD; Harsh Golwala, MD; Kris Kumar, DO, MSc; Mohammed Osman, MD; Ashraf Samhan, BS; Ashraf Samhan, BS; Craig C. Morris, MD; Trisha Chau, BS; Tessa Herman, MD; Gurion Lantz, MD
Chest radiation therapy (XRT) has been associated with a higher rate of mortality following surgical aortic valve replacement. We performed a single-center retrospective analysis of patients with severe AS who underwent TAVI from 01/01/2012...
Chest radiation therapy (XRT) has been associated with a higher rate of mortality following surgical aortic valve replacement. We performed a single-center retrospective analysis of patients with severe AS who underwent TAVI from 01/01/2012...
Chest radiation therapy (XRT)...
04/14/2023
Journal of Invasive Cardiology