An Unusual Congenital Aorto-pulmonary Shunt in Tetralogy of Fallot: Anomalous Left Innominate Artery off the Pulmonary Artery
Macken Yrun-Duffy, DO1; Danielle D. Strah, MD1; Kenneth Fox, MD2; Scott E. Klewer, MD3; Michael D. Seckeler, MD, MSc3
J INVASIVE CARDIOL 2023;35(6):E325-E326. doi: 10.25270/jic/22.00323
Key words: Aorto-pulmonary shunt; tetralogy of Fallot; stent
A 3-year-old female presented to our hospital with CHARGE association, tracheoesophageal fistula, neonatal hemorrhagic stroke, and tetralogy of Fallot with a right aortic arch and an anomalous origin of the left innominate artery arising from the pulmonary artery. Surgical intervention had never been considered to be a viable option due to her comorbidities and balanced circulation with retrograde flow through the circle of Willis acting as an aorto-pulmonary shunt providing additional pulmonary blood flow. She developed intractable seizures due to worsening cyanosis and underwent urgent catheterization to augment pulmonary blood flow.
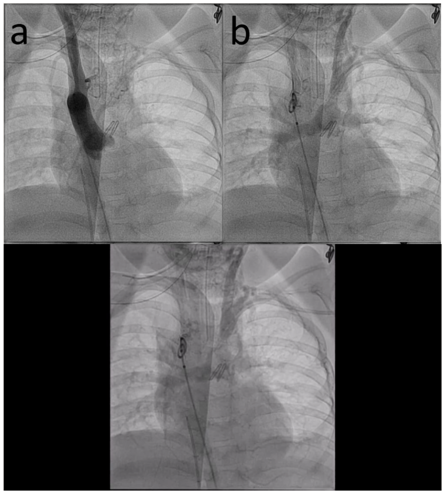
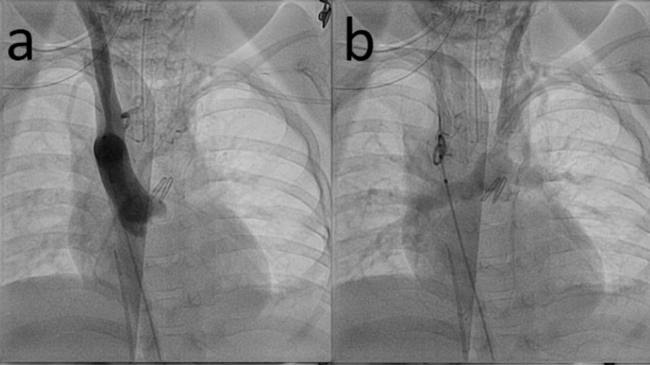
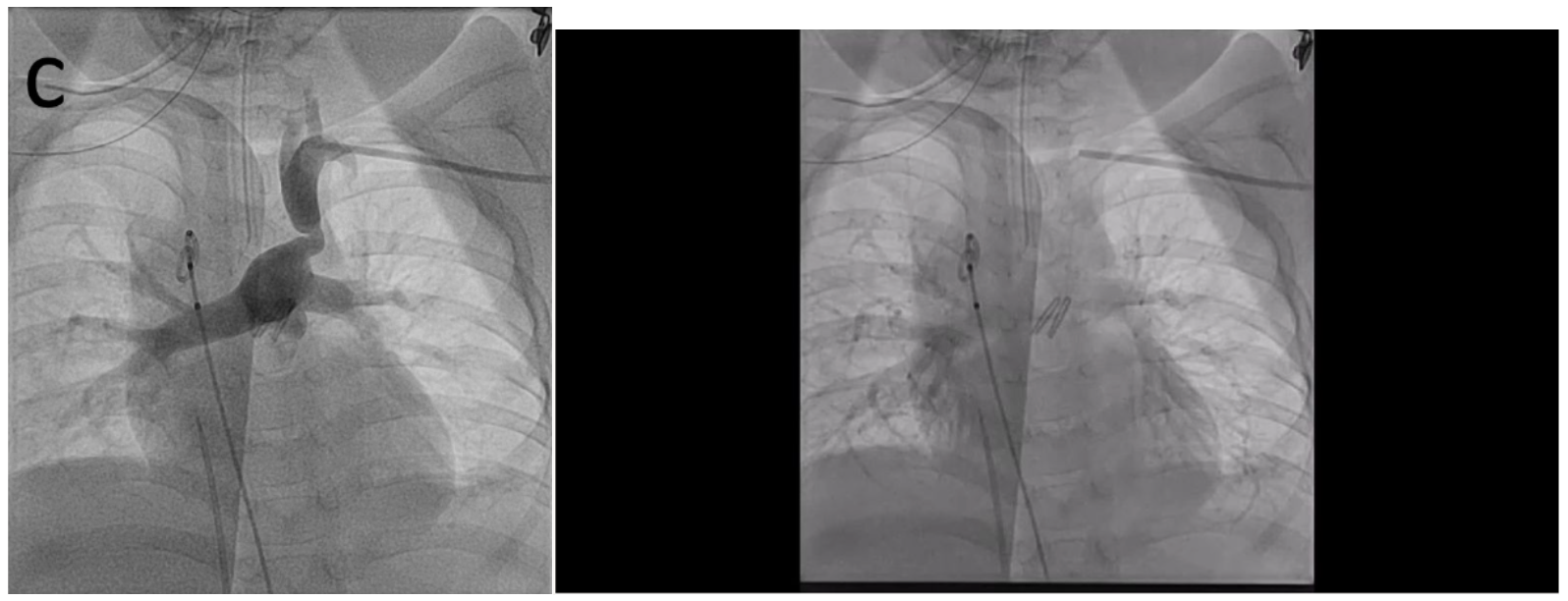
Aortic angiography showed a right aortic arch with only right carotid and right subclavian arteries and retrograde filling of the left carotid, left subclavian artery, and pulmonary arteries (Figure A/B, Video 1). Angiography of the left subclavian artery showed the tortuous, stenotic arterial connection between the pulmonary arteries and left subclavian artery (Figure C, Video 2). After stent placement, there was marked improvement in the caliber of the vessel and systemic saturations (Figure 1D, Video 3). Cerebral NIRS monitoring was used during the procedure with no change after stent placement. She has maintained reasonable saturations and has been seizure-free for over 3 years without neurologic deterioration or further cardiac intervention.
Affiliations and Disclosures
From the 1Department of Pediatrics, 2Department of Surgery, Section of Congenital Heart Surgery, 3Department of Pediatrics, (Cardiology), University of Arizona, Tucson, Arizona.
Disclosure: The authors report no financial relationships or conflicts of interest regarding the content herein.
The authors report that patient consent was received for the publication of the images herein.
Manuscript accepted December 8, 2022.
Address for correspondence: Michael D. Seckeler, University of Arizona, Department of Pediatrics, 1501 N. Campbell Ave, PO Box 245073, Tucson AZ, 85724, Email: mseckeler@peds.arizona.edu


