An Unusual Angiogram Finding in a Patient With Rheumatic Heart Disease
© 2024 HMP Global. All Rights Reserved.
Any views and opinions expressed are those of the author(s) and/or participants and do not necessarily reflect the views, policy, or position of the Journal of Invasive Cardiology or HMP Global, their employees, and affiliates.
A woman in her early fifties with a known case of severe rheumatic mitral stenosis presented to the outpatient department with increasing breathlessness. She was advised surgical valve replacement, as the valve was deemed unsuitable for percutaneous valvotomy. She underwent an invasive coronary angiogram as part of pre-operative workup.
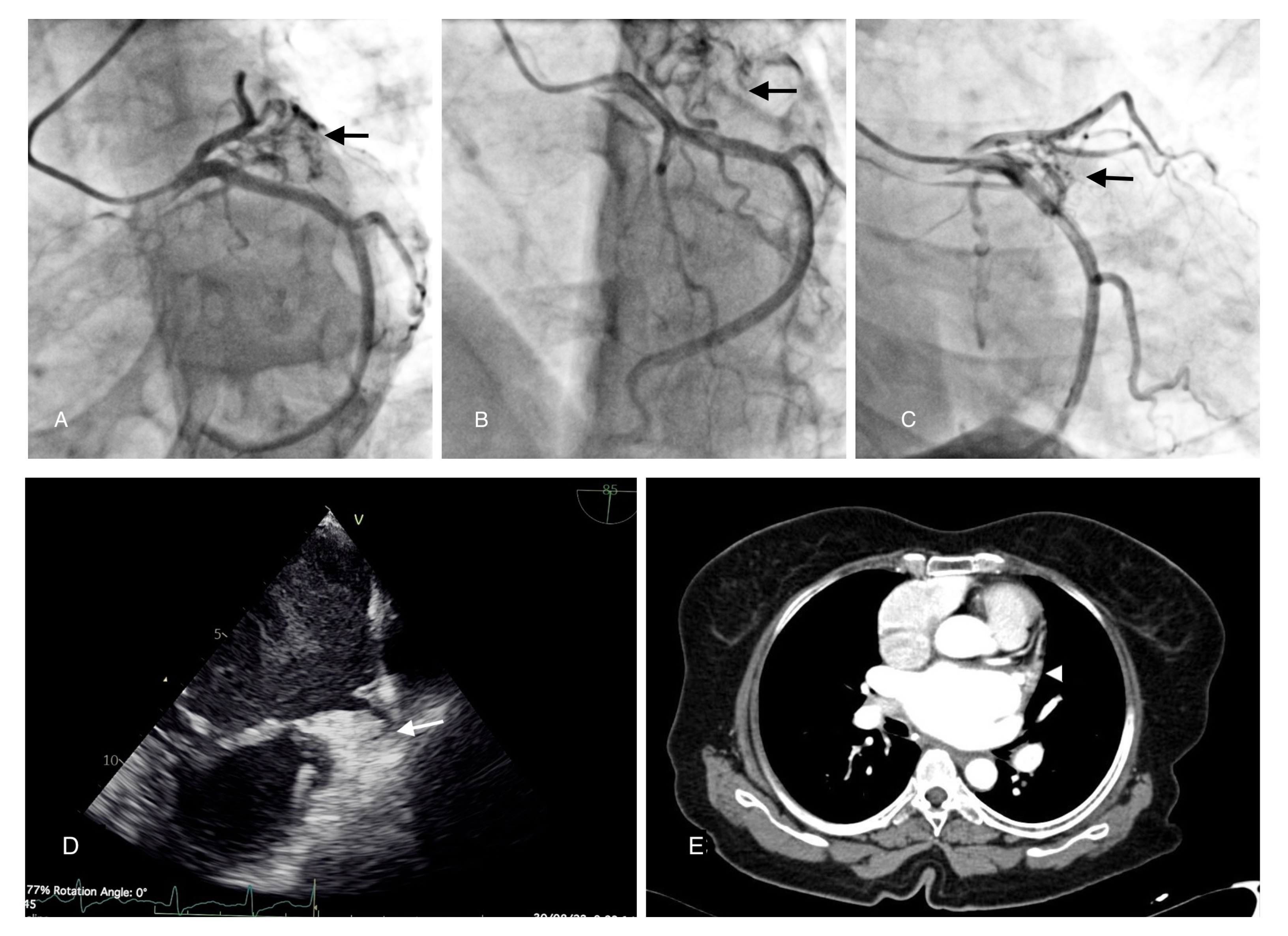
The left coronary angiogram taken in the left anterior oblique (LAO) caudal (Figure, A), LAO cranial (Figure, B), and right anterior oblique (RAO) caudal (Figure, C; Videos 1-3) projections showed small arterial channels arising from the left circumflex and terminating in an irregular collection of contrast medium (black arrows) in the region of the left atrial appendage (LAA). A transesophageal echocardiogram (TEE) (Figure, D [white arrow]) and computed tomography (Figure, E [white arrowhead]) then confirmed an organized clot in the LAA.
LAA clots frequently present with neovascularity and coronary-left atrial fistula. Feeder channels frequently arise from the left circumflex artery but may also arise from the right coronary artery.1 One of the differentials for this angiographic finding is LA myxoma.2,3 Myxoma, however, has a characteristic pattern: the “sea anemone” appearance (a central basal vascular network giving rise to a vascular stem that diverges into smaller vessels). Delayed enhancement and clearance of contrast in myxomas may also help differentiate it from the LAA clot.
Affiliations and Disclosures
From the Department of Cardiology, Jawaharlal Institute of Post-Graduate Medical Education and Research, Puducherry, India.
Disclosures: The authors report no financial relationships or conflicts of interest regarding the content herein.
Address for correspondence: A Shaheer Ahmed, Department of Cardiology, Jawaharlal Institute of Post-graduate Medical Education and Research, Jipmer Campus Rd, Jipmer Campus, Puducherry 605006, India. Email: drshaheerjipmer@gmail.com; X: @KaranRKalani
References
- Sakamoto I, Hayashi K, Matsunaga N, et al. Coronary angiographic finding of thrombus in the left atrial appendage. Acta Radiol. 1996;37(5):749-753. doi: 10.1177/02841851960373P264
- Velasco CE, Suarez NP, Roullard CP, McCullough PA, Roberts WC. Usefulness of coronary angiography in patients with left atrial myxoma. Proc (Bayl Univ Med Cent). 2020;33(4):529-531. doi: 10.1080/08998280.2020.1776024
- Huang CY, Yu WC, Chen KC, Lin SJ. Coronary angiography of cardiac myxoma. Clin Cardiol. 2005; 28(11):505-509. doi: 10.1002/clc.4960281104


