How Might Screw Configuration Impact Outcomes in Subtalar Arthrodesis?
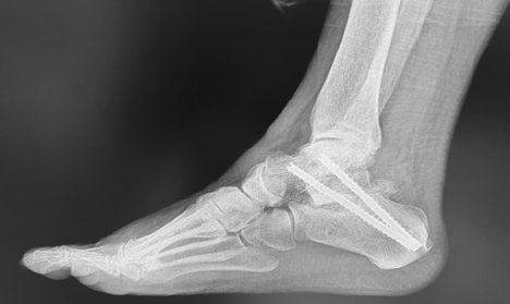
Subtalar arthrodesis (SA) is a common surgical procedure for patients with posttraumatic subtalar joint arthritis resulting from a fractured calcaneus. When performing subtalar arthrodesis, the surgeon aims to stabilize the subtalar joint to alleviate pain and restore function. While SA is an effective option, complications such as nonunion can occur. The reported nonunion rates in the literature can vary widely due to factors like patient characteristics and surgical techniques. Screw fixation is the standard approach for SA, but debate exists over the optimal number and configuration of screws used.1 An angulated screw configuration (SC) has been proposed as potentially superior than the traditional parallel SC, offering greater stability and resistance to rotational forces. The authors of a recent study note that historically, angulated SC shows promising results, but comparative research in clinical settings is limited.1
An emerging study aimed to compare the outcomes of SA using parallel and angulated SCs for posttraumatic subtalar joint arthritis. It involved 140 cases, with 80 using parallel SC and 60 using angulated SC.1 The nonunion rate was significantly lower in the angulated SC group (5.0%) compared to the parallel SC group (17.5%). Patients in the angulated SC group also reported better functional outcomes and lower pain scores. Although both groups had similar demographics and surgical characteristics, the angulated SC group showed superior results.
Despite its limitations acknowledged by the authors, including its retrospective nature and small sample size, this study suggests that the angulated SC may offer advantages over the parallel SC in terms of reducing nonunion rates and improving clinical outcomes in posttraumatic SA. Further research, including prospective studies with larger sample sizes, is needed to validate these findings and explore other factors influencing SA outcomes.1
Reference
1. Woo SH. Parallel versus angulated screw configuration in subtalar arthrodesis for posttraumatic arthritis. Clin Orthop Surg. 2024 Jun;16(3):477-484. doi: 10.4055/cios23342. Epub 2024 May 13. PMID: 38827769; PMCID: PMC11130629.


