Skip to main content

Volume 30 - Issue 11 - November 2022

Case Report
11/22/2022
Ninad Nadkarni, MD; Fouad Khalil, MBBCh; Tomasz P. Stys, MD, FACC, FSCAI; Naveen Rajpurohit, MD; Adam T. Stys, MD, FACC
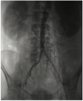
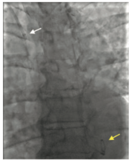
An 80-year-old female with a history of heart failure with reduced ejection fraction, hypertension, and chronic kidney disease presented with worsening dyspnea and fatigue for 6 months despite being on optimal guideline-directed medical...
An 80-year-old female with a history of heart failure with reduced ejection fraction, hypertension, and chronic kidney disease presented with worsening dyspnea and fatigue for 6 months despite being on optimal guideline-directed medical...
An 80-year-old female with a...
11/22/2022
Cath Lab Digest
Case Series
10/28/2022
Sharan Rufus, MD, FSCAI
The R2P™ DESTINATION SLENDER™ Guiding Sheath is a dedicated radial sheath developed by Terumo. We present a series of challenging radial cases with the use of the R2P™ DESTINATION SLENDER™ Guiding Sheath.
The R2P™ DESTINATION SLENDER™ Guiding Sheath is a dedicated radial sheath developed by Terumo. We present a series of challenging radial cases with the use of the R2P™ DESTINATION SLENDER™ Guiding Sheath.
The R2P™ DESTINATION SLENDER™...
10/28/2022
Cath Lab Digest
Case Report
10/28/2022
Charles J. Gbur, Jr., MD, FACC, FSCAI
In complex cases such as this one, there are three overarching considerations that must be evaluated and supported with clinical data to achieve best outcomes in a real-world setting: patient safety, patient outcomes, and financial viability.
In complex cases such as this one, there are three overarching considerations that must be evaluated and supported with clinical data to achieve best outcomes in a real-world setting: patient safety, patient outcomes, and financial viability.
In complex cases such as this...
10/28/2022
Cath Lab Digest
Clinical Editor's Corner
10/27/2022
Morton J. Kern, MD, MSCAI, FACC, FAHA
The story of the Langston catheter’s recall and reintroduction is a real demonstration of our industry partner’s concern for patient safety and good management.
The story of the Langston catheter’s recall and reintroduction is a real demonstration of our industry partner’s concern for patient safety and good management.
The story of the Langston...
10/27/2022
Cath Lab Digest
Letter to the Editor
10/26/2022
My name is Elizabeth Crom Rainer. My husband, Dr. Joel H. Rainer, was an interventional cardiologist with a cardiology group in Northwest Alabama from 1984 until an oligodendroglioma brain tumor in his left parietal lobe forced him to stop...
My name is Elizabeth Crom Rainer. My husband, Dr. Joel H. Rainer, was an interventional cardiologist with a cardiology group in Northwest Alabama from 1984 until an oligodendroglioma brain tumor in his left parietal lobe forced him to stop...
My name is Elizabeth Crom...
10/26/2022
Cath Lab Digest