Multivessel Complex Procedure With a Single Treatment Solution
This case is a high risk, complex, multivessel intervention, performed at McLaren St. Luke’s Hospital in Maumee, Ohio. In complex cases such as this one, there are three overarching considerations that must be evaluated and supported with clinical data to achieve best outcomes in a real-world setting: patient safety, patient outcomes, and financial viability. These three elements are continuously being assessed and evaluated to support a healthcare system’s cardiology quality matrix. The highly favorable patient clinical outcome in an individual with complex calcified multivessel coronary disease and the subsequent intervention will be reviewed in light of these quality guidelines.
Case Presentation
A 54-year-old white male presented to an outlying facility with a non ST-elevation myocardial infarction in the setting of anemia. He was hypertensive and during the evaluation received intravenous beta-blockers. He became hypotensive and had seizure-like activity. The patient was intubated and medically stabilized, and was transferred to our facility. There was a concern for active gastrointestinal bleeding with an initial hemoglobin of 8.6 (units). His other medical problems included severe chronic obstructive pulmonary disease, hypertension, alcohol and tobacco dependence, and severe peripheral artery disease. He was medically stabilized and extubated. An echocardiogram demonstrated moderate to severely reduced left ventricular (LV) systolic function with an estimated ejection fraction of 35% to 40%. He also had mild-to-moderate mitral regurgitation.
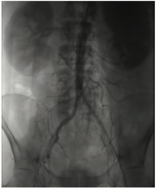
He clinically improved and on the second hospital day, underwent diagnostic cardiac catheterization. He did not have palpable radial pulses bilaterally; therefore, a femoral approach was used. His right external iliac artery and right common femoral artery were occluded. His distal aorta was heavily calcified with a high-grade eccentric stenosis. He also had a proximal 70%-80% left common iliac artery stenosis. Diagnostic coronary angiographic findings demonstrated a heavily calcified ostial 99% lesion in the right coronary artery (RCA) with significant calcium accumulation throughout the mid RCA. The left main coronary artery appeared heavily calcified, with a wedge-shaped filling defect suggesting a high-grade eccentric stenosis. The proximal left anterior descending (LAD) artery was very tortuous with a heavily calcified lesion at the first diagonal that extended into the ostium of the diagonal vessel. The circumflex artery was totally occluded. The patient’s ejection fraction based on ventriculography was 35% to 40%, with the posterior lateral wall being akinetic. He was extubated following the cardiac catheterization. Cardiothoracic surgery was consulted to provide an opinion regarding surgical revascularization. Due to his multiple comorbidities, he was felt to be high risk and not a surgical candidate. A plan for percutaneous revascularization was discussed with the patient. The nature and purpose of the procedure along with expected outcomes, together with the reasonably known risks were explained. He acknowledged that such disclosure of information had been made and that all questions asked about the procedure had been answered. He demonstrated understanding and legal capacity to consent and therefore, the written consent was obtained by his signature. The intervention was performed on hospital day 5. The patient was discharged home on hospital day 7.
Treatment Planning and Considerations
Access: The patient had significant peripheral vascular disease with only one available access point in the left femoral artery. Both radial and right femoral arteries were significantly diseased, leaving only the left femoral artery available for access. The distal aorta was also moderately to severely stenosed and extended into the left common iliac, which was significantly stenosed (~70%) at the ostium of the vessel, yet patent enough to pass a wire and a diagnostic catheter. For this reason, hemodynamic support with an Impella (Abiomed) was not a practical option and not a part of the initial treatment planning. An intra-aortic balloon pump was made available and ready as a backup strategy if hemodynamic instability occurred.
With the left femoral artery being the only viable access, it was determined best not to stage the procedure. The plan was to treat all three vessels in one encounter using a 7 French (Fr) x 35 cm Brite Tip sheath (Cordis) in the left femoral artery, placing the sheath tip beyond the lesion into the abdominal aorta. Treatment of the stenosed common iliac would be considered for another day when patients recovery from the current procedure was complete.
Imaging: Although the diagnostic radiographic imaging demonstrated a calcified lesion in the left main (LM) coronary artery, the type of lesion and the degree of stenosis were very hard to determine angiographically. Intravascular ultrasound (IVUS) performed within the LM artery showed that the lesion was nodular in nature and was as much as 70% stenosed.
Additional therapy: A 5 Fr pacemaker was inserted as a backup to support rhythm changes that might occur because of the complexity of the interventional procedure and the patient’s low 35%-40% ejection fraction. The pacemaker was set at a backup rate of 50 beats per minute but was not needed throughout the procedure. Once access was obtained, the patient was anticoagulated with bivalirudin.
Treatment Strategy
For the following reasons, coronary orbital atherectomy followed by balloon angioplasty and stenting were performed.
1. Heavily calcified coronary tree would need adjunct treatment in addition to balloon angioplasty and stenting to optimize vessel compliance and stent opposition while reducing likelihood of significant coronary dissection.
2. Multiple lesion sites and multiple vessel sizes were going to be treated. This could be done with a single crown. Treated coronary vessel sizes ranged from 2.5 mm to 5.0 mm.
3. Nodular calcium in the left main could be treated with the 360-degree mechanism of action of the orbital atherectomy crown.
4. Preserving continuous arterial flow in the LM. Because the Impella was not an option with patient’s known peripheral vascular disease, hemodynamic support was not available. Maintaining continuous flow through the LM during treatment was critical.
5. The LAD had significant tortuosity and could be traversed using orbital atherectomy GlideAssist (CSI) if needed. Orbital atherectomy is very low profile and is able to traverse tortuosity with relative ease.
6. Diagonal branch adjacent to the LAD mid lesion was stenosed at the ostium and the diagonal ostial stenosis could be reduced while treating the LAD, reducing probability of snowplowing into the diagonal when LAD ballooning was performed.
7. Orbital atherectomy provides intimal sanding to debulk the lesion, while creating “controlled” micro fractures in the media of the vessel, making the vessel more compliant and reducing the probability for a significant dissection to be created during balloon inflations.
8. The patient had only one viable yet compromised access vessel, so treatment of all three lesions in one intervention was to be performed.
a. Access was through the left femoral artery. The common iliac into the aorta was significantly stenosed (>70%)
Treatment
The right coronary artery was cannulated with a 6 French (Fr) Judkins right (JR)4 guiding catheter (Cordis). An .014-inch x 300 cm Hi-Torque Whisper MS guidewire (Abbott Vascular) was used to cross the lesion. A 2.0 Fr x 135 cm Teleport Microcatheter (CSI) was advanced over the wire and the Whisper was exchanged for an .014 x 335 cm ViperWire Advance (CSI).
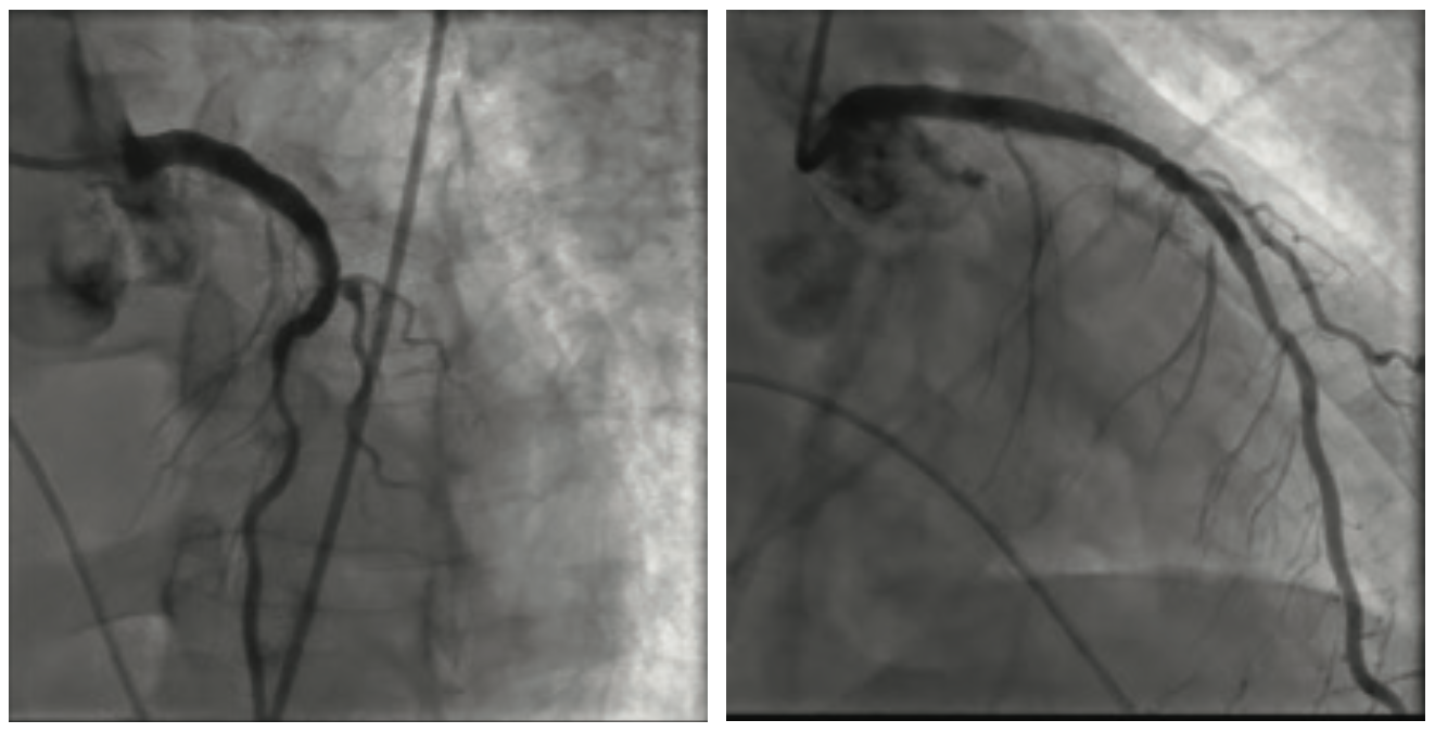
The RCA was initially treated with orbital atherectomy. The 1.25 mm x 145 cm Diamondback 360˚ orbital atherectomy system (CSI) was advanced over the wire. Multiple passes at low speed were performed to reduce the ostial RCA lesion. Treatment was performed from proximal to distal, with the tip of the catheter crown just within the ostium prior to spinning. After multiple passes, luminal gain was observed angiographically in the ostial portion of the vessel. The crown was then traversed on low speed through the mid RCA just proximal to the distal portion of the vessel. Balloon angioplasty was performed prior to deploying two drug-eluting stents to cover the orbital atherectomy treatment zone from the distal RCA retrograde to cover the RCA ostium. No slow flow or dissections were noted angiographically and the patient remained hemodynamically stable throughout the RCA intervention. A Xience Skypoint 2.75 mm x 33 mm stent (Abbott Vascular) was advanced into the distal RCA and deployed at 12 atmospheres (atm). This was followed by a 3.0 mm x 33 mm Xience Skypoint stent, deployed in the mid RCA, and finally, a 3.5 mm x 28 mm Xience Skypoint stent was deployed proximally. The stents were post dilated with a 3.0 mm x 20 mm, 3.5 mm x 20 mm, and 4.0 mm x 20 mm NC Trex RX balloon (Abbott Vascular) at 20 atm. Completion angiography was performed. We chose to proceed to treating the left coronary tree.
The left main artery was cannulated with a 6 Fr XBLAD 3.5 guiding catheter (Cordis). The Whisper wire was used to cross the stenosis. IVUS was performed using an .014 Eagle Eye Platinum ultrasound catheter (Philips Volcano). In the same fashion as the RCA, the Whisper wire was exchanged for the ViperWire. The LM was subsequently treated with orbital atherectomy. Multiple passes were performed in opposition to the 70% nodular, calcified lesion that was fully identified on IVUS imaging. Once luminal gain was identified angiographically in the LM, the atherectomy crown was traversed distally into the calcified lesion in the proximal LAD. After two passes in the proximal LAD, the crown was traversed into the mid LAD lesion at the level of the first diagonal branch. Orbital atherectomy was again performed, reducing the calcium burden in both the LAD and the ostium of the diagonal branch. Balloon angioplasty was performed from mid LAD retrograde to the LM using a 3.0 mm x 20 mm NC Trek balloon. Following the balloon angioplasty, drug-eluting stents (3.0 mm x 15 mm Xience Skypoint, 3.5 mm x 38 mm Xience Skypoint, and a 5.0 mm x 30 mm Resolute Onyx drug-eluting stent [Medtronic], placed distal to proximal) were deployed from the mid LAD proximally to the LM, covering the orbital atherectomy-treated zone. The patient remained hemodynamically stable throughout the procedure. A completion angiogram was obtained. No slow flow or dissections were noted.
Cardiovascular Lab Team Note
Before concluding, we would like to recognize the cardiovascular staff at St Luke’s Hospital. This was a very complex case, and their full engagement was essential to the procedure’s success. Everyone had to play their part throughout this longer than usual procedure, and everyone did. They remained focused on the patient’s care and the procedural outcome. It is important to note that playing their part started well before the beginning of this case. The team is ever ready for these complex cases because of their diligence in training and personal excellence. They came to this case ready to execute on behalf of the patient. Inservices are taken seriously and opportunities to provide safe and exceptional outcomes are clearly defined.
Conclusion
In assessing this procedure against the measures of patient safety, patient outcomes, and financial viability, these three elements were favorable in support of the healthcare system’s cardiology quality matrix, even with the complexity of this procedure.
Patient Safety
Patient safety started with training. The cardiovascular team members are all fully trained and ready for the care of patients with complex coronary disease in an acute setting.
Orbital atherectomy provides a controlled treatment opportunity. The differential sanding within the intima of the vessel allows calcium to be treated and reduced, while allowing healthy tissue to be left unaffected as it flexes away from the crown. The physics of the orbiting crown creates “controlled” microfractures in the media of the vessel. These microfractures make the vessel more compliant; reducing probability for significant dissections to occur while allowing optimal stent deployment through better stent opposition.
Orbital atherectomy allows continuous blood flow to occur during treatment. This is especially important in the treatment of the left main coronary artery. It became highly important in this patient with multivessel disease and an ejection fraction of 35%-40%, because supporting therapy, such as an Impella, could not have safely been utilized in the treatment plan as a result of the severe peripheral vascular disease.
Orbital atherectomy can save a lot of interventional time in the cath lab. In our opinion, the longer a procedure proceeds, the higher the likelihood of a complication. Setup for atherectomy takes only a minute or two. In a heavily calcified artery, this minimal setup time can result in a reduction in overall procedure time. Prepping of the vessel with atherectomy prior to balloon and stent deployment can eliminate a lot of procedural regret when the lesion doesn’t yield, when dissection occurs, and/or stents won’t cross the lesion for deployment.
Patient Outcome
This patient was not a candidate for coronary artery bypass graft surgery. Multivessel disease, such as in this case, should receive an open-heart consult from cardiovascular surgeons. Patient outcomes data support this treatment methodology, especially in the diabetic patient. In the absence of a surgical option, we must proceed to the next best opportunity for a successful patient outcome. For the many procedural reasons listed above and the long-term durable data represented by ORBIT II, a superior long-term outcome can be expected in the patients who have heavily calcified coronary arteries when atherectomy is used as an adjunct with drug-eluting stents. With orbital atherectomy treatment prior to stenting in heavily calcified lesions, better stent opposition can also lead to an optimization of stent drug penetration.
Growing evidence demonstrates orbital atherectomy as a favored solution in the treatment of nodular calcium. Because the crown orbits 360 degrees within the vessel, nodular calcium can be safely sanded away with slow but steady traverse speeds of 1 mm per second.
Financial Viability
Orbital atherectomy allows a single device to be used when treating multiple vessels, or vessels with differing diameters from proximal to distal. This can create a significant cost reduction in the treatment of complex calcified lesions.
In the case presented, one device was used to support the case with the following coronary vessels and the differing vessel sizes.
• One crown treated all three vessels:
o Left main – 5.0 mm in diameter
o RCA – 4.0 mm in diameter
o LAD Prox – 3.5 mm in diameter
o LAD Mid – 2.5 mm in diameter
Final Note
Through careful planning and device selection and utilization, we were able to optimally care for this complex coronary artery disease patient while optimizing the financial opportunities afforded by the orbital atherectomy device.
Disclosures: Dr. Gbur reports no conflicts of interest regarding the content herein.
Dr. Charles Gbur can be contacted at chuck.gbur@stlukeshospital.com
Keep Reading:
Maintaining Wire Position With a Single-Operator Technique Utilizing Glide Assist™ With Orbital Atherectomy During Advancement Through the Coronary Guide Catheter
Utilizing Single Transpedal Access and Novel Use of Coronary Wires, Support Catheter and Balloons for Navigating Acute Angles During Complex Multivessel Revascularization of Infrapopliteal Vessels
Pushing Boundaries: Transradial Access for Complex PCI


