Having the Right Equipment for Solving Complex Radial to Peripheral Procedures
The R2P™ DESTINATION SLENDER™ Guiding Sheath is a dedicated radial sheath developed by Terumo. We present a series of challenging radial cases with the use of the R2P™ DESTINATION SLENDER™ Guiding Sheath.
The R2P™ DESTINATION SLENDER™ Guiding Sheath uses the Terumo slender technology and reduces the outer diameter while maintaining an equivalent larger inner diameter. These sheaths have a full hydrophilic coating designed to minimize vessel spasm at access site and increase tracking ability. Device lengths are designed to support coronary, carotid, visceral, and peripheral procedures.
Clinical Case #1
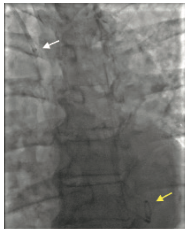
An 82-year-old female presented with New York Heart Association (NYHA) Class III dyspnea and Canadian Cardiovascular Society (CCS) Class III angina. Other comorbidities include severe cardiomyopathy with reduced ejection fraction (EF) of 25%-30%, severe functional mitral regurgitation, chronic kidney disease stage III, and severe frailty. A diagnostic coronary angiogram revealed severe multivessel disease involving the right coronary artery (RCA) and left anterior descending (LAD) artery. More importantly, the patient had a tortuous brachiocephalic artery with a 360-degree loop (Figure 1). She was evaluated by a heart team and found to be at high risk for surgery with a Society of Thoracic Surgeons (STS) score of >8%. A decision was made to perform percutaneous coronary intervention (PCI) followed by percutaneous valve repair in a staged fashion.
Procedure
Access site selection was paramount in our frail, elderly female to reduce vascular complications. Despite radial access being our preferred first access, there were some concerns, given a severely tortuous brachycephalic artery. The ascending aorta was accessed with a stiff angled Glidewire (Terumo) followed by an Amplatz Super Stiff™ guidewire (Boston Scientific) in an effort to straighten the brachiocephalic loop, but with no success. We accessed the ascending aorta with a 6 French (F) 75 cm R2P™ DESTINATION SLENDER™ Guiding Sheath. Image-guided RCA PCI was completed uneventfully, despite the presence of a 360-degree right brachiocephalic loop (Figure 1A-D).
Clinical Case #2
A 59-year-old morbidly obese female presented to our emergency department with recent onset chest pain concerning for angina. Other comorbidities include dyslipidemia and tobacco use. Given high pre test probability of coronary artery disease, a decision was made to proceed with a coronary angiogram to define the coronary anatomy.
Procedure
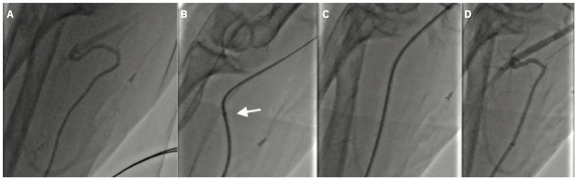
Ultrasound-guided right radial access was obtained and a 6F radial sheath was placed. There was difficulty passing an .035-inch guidewire and hence a radial angiogram was performed (Figure 2A), revealing a tortuous radial loop. We accessed the ascending aorta via the radial loop with a stiff angled Glidewire. The loop, however, did not straighten. We anticipated a lack of torque with diagnostic coronary catheters, and potential for severe spasm and or pain with the presence of the radial loop. We proceeded to cross the radial loop with a 6F 75 cm R2P™ DESTINATION SLENDER™ Guiding Sheath without any difficulties. The radial loop straightened with placement of the R2P™ DESTINATION SLENDER™ Guiding Sheath (Figure 2B-2C). A diagnostic coronary angiogram was performed without any difficulty and showed no obstructive coronary artery disease. The R2P™ DESTINATION SLENDER™ Guiding Sheath was pulled back proximal to the radial loop over the Glidewire and a final radial angiogram confirmed no trauma to the radial artery (Figure 2D).
Clinical Case #3
An 82-year-old gentleman with NYHA Class III dyspnea was referred for evaluation of a possible severe aortic stenosis (AS). An echocardiogram demonstrated possible severe AS with a mean gradient of 32 mmHg and an aortic valve area of 1.0 cm2 by continuity equation. The patient presented for elective cardiac catheterization to define his coronary anatomy and also for an invasive evaluation of the aortic stenosis severity. Prior to recent FDA recall, the Langston® Dual Lumen Catheter (Teleflex) had been our default to obtain simultaneous left ventricular and aortic pressures for assessment of aortic stenosis. Currently, a mother-and-child sheath and catheter arrangement using an 75 cm 6F R2P™ DESTINATION SLENDER™ Guiding Sheath and 4F pigtail catheter is the go-to technique for assessment of aortic stenosis via single arterial (radial) access in our lab.
Procedure
Right radial access was obtained with a dedicated radial sheath. This was exchanged out for a 6F 75 cm R2P™ DESTINATION SLENDER™ Guiding Sheath to access the ascending aorta. The aortic valve was crossed with an .035-inch straight wire and a 4F pigtail catheter was placed. Dual lumen simultaneous pressure tracings were obtained from the 4F pigtail catheter in the left ventricle and 6F R2P™ DESTINATION SLENDER™ Guiding Sheath in the ascending aorta (Figure 3). This confirmed severe aortic stenosis with a mean gradient of 44 mmHg and an aortic valve area of 0.8 cm2.
Discussion
The 2021 American College of Cardiology/American Heart Association/Society for Cardiovascular Angiography and Interventions guidelines emphasized a radial-first approach for acute coronary syndrome (ACS) and stable ischemic heart disease patients undergoing PCI. Radial access is a class 1 indication (level of evidence A) to reduce the risk death in the case of ACS patients, and to reduce the risk of bleeding and vascular complications in all patients. Despite the increasing use of radial-first access, there are still practical challenges in clinical practice, as demonstrated in our above patients. In the past, some of these patients would have been converted to left radial or transfemoral access in order to complete the procedures. However, with newer technology and equipment such as R2P™ DESTINATION SLENDER™ Guiding Sheath, most of these complex scenarios can be solved without a need for change in the access site.
Conclusion
In our experience, the R2P™ DESTINATION SLENDER™ Guiding Sheath is an important tool to solve challenging radial anatomies encountered in clinical practice and has decreased the need for transfemoral access. It has increased our confidence in completing these complex procedures and solving challenging clinical scenarios via transradial access.
This case series is supported by Terumo Interventional Systems.
Related Reading
- Crossing a Severe Complex Lesion With a Rapid Exchange Low-Profile Angioplasty Balloon After Crossing Failure of Two Microcatheters
- Pushing Boundaries: Transradial Access for Complex PCI
- Proper Support: Right Coronary Artery Chronic Total Occlusion Treated Via a Bi-Radial Approach


