Skip to main content

Volume 29 - Issue 4 - April 2021

Featured Article

CLI & Atherectomy
04/04/2021
James F. Foster, III, MD; Miles McKee, DO
I truly believe in the value of prepping the vessel with directional atherectomy. I have seen better clinical outcomes since I began using directional atherectomy followed by drug-coated balloon angioplasty.
I truly believe in the value of prepping the vessel with directional atherectomy. I have seen better clinical outcomes since I began using directional atherectomy followed by drug-coated balloon angioplasty.
I truly believe in the value of...
04/04/2021
Cath Lab Digest
04/04/2021
Allayne Mendys, MBA, BSN, RN, BC; Stacey Cayer, BSN, RN; Deidre Goad; Ann Marie Jussaume; Laura Pruyn, BSN, RN, BC
Our cath lab is part of a 390-bed community hospital located in Lowell, Massachusetts. Our mission aligns with that of the hospital: we put “Patients First in Everything We Do”.
Our cath lab is part of a 390-bed community hospital located in Lowell, Massachusetts. Our mission aligns with that of the hospital: we put “Patients First in Everything We Do”.
Our cath lab is part of a...
04/04/2021
Cath Lab Digest
04/04/2021
Ziad A. Ali, MD, DPhil; Allen Jeremias, MD, MSc
Doing an iFR pullback identifies the physiologic impact of the distribution pattern of atherosclerosis in a particular vessel. We have a road map so we know where the lesions are. It is not adding a lot of time, but it adds accuracy to the...
Doing an iFR pullback identifies the physiologic impact of the distribution pattern of atherosclerosis in a particular vessel. We have a road map so we know where the lesions are. It is not adding a lot of time, but it adds accuracy to the...
Doing an iFR pullback identifies...
04/04/2021
Cath Lab Digest
Case Report
04/04/2021
Syed M. Ahmed, MD
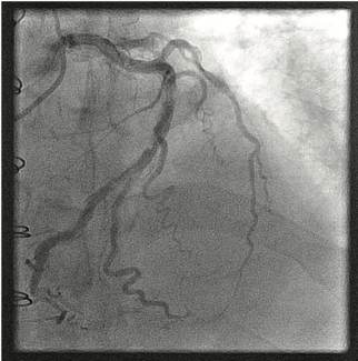
Herein, we present the case of a patient with no previous cardiovascular disease who presented with COVID-19 infection.
Herein, we present the case of a patient with no previous cardiovascular disease who presented with COVID-19 infection.
Herein, we present the case of a...
04/04/2021
Cath Lab Digest
Case Report
04/04/2021
Rajesh Sachdeva, MD; Gautam Kumar, MD, FSCAI
Knowledge of vessel tortuosities and vigilance during the procedure, along with use of the right tools, can make the procedure seamless and successful. 
Knowledge of vessel tortuosities and vigilance during the procedure, along with use of the right tools, can make the procedure seamless and successful. 
Knowledge of vessel tortuosities...
04/04/2021
Cath Lab Digest
04/04/2021
Pradnya Brijmohan Bhattad, MD; Vinay Jain, MD; Mohit Bhasin, MD
A 57-year-old male with a history of hypertension, end-stage renal disease on hemodialysis, and diabetes mellitus type 2 was found to have an anomalous left coronary artery on coronary angiography that was initially performed for the...
A 57-year-old male with a history of hypertension, end-stage renal disease on hemodialysis, and diabetes mellitus type 2 was found to have an anomalous left coronary artery on coronary angiography that was initially performed for the...
A 57-year-old male with a...
04/04/2021
Cath Lab Digest
Case Report
04/04/2021
Henil Patel, MD; Shay Awasti; Radhika-Alicia P. Patel, RA, MPH; Ashish Awasti, MD, FACC; Pratik B. Patel, MD, FACC; Monarch Shah, MD
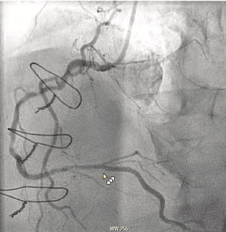
We describe a case of a right coronary artery (RCA) perforation that was successfully treated using a polyurethane-coated (PK Papyrus) stent (Biotronik).
We describe a case of a right coronary artery (RCA) perforation that was successfully treated using a polyurethane-coated (PK Papyrus) stent (Biotronik).
We describe a case of a right...
04/04/2021
Cath Lab Digest
Clinical Editor's Corner
04/04/2021
Stephen R. Ramee, MD; Nils P. Johnson, MD, MS; John W. Hirshfeld, Jr.; Ted Feldman, MD, FSCAI, FACC, FESC; David J. Moliterno, MD; George W. Vetrovec, MD; Morton J. Kern, MD, MSCAI, FACC, FAHA; Michael Ragosta, MD
As our old stock of Langstons is gone, I compiled a list of what I believe to be all the methods for aortic stenosis gradient assessment that involve only one arterial access and asked our expert colleagues about their alternative to the dual...
As our old stock of Langstons is gone, I compiled a list of what I believe to be all the methods for aortic stenosis gradient assessment that involve only one arterial access and asked our expert colleagues about their alternative to the dual...
As our old stock of Langstons is...
04/04/2021
Cath Lab Digest
04/03/2021
Christopher E. Buller, MD, FRCPC, FACC
The Clinical Editor’s Corner in this issue of Cath Lab Digest highlights two important themes.
The Clinical Editor’s Corner in this issue of Cath Lab Digest highlights two important themes.
The Clinical Editor’s Corner in...
04/03/2021
Cath Lab Digest
News
04/03/2021
People with periodontitis are at higher risk of experiencing major cardiovascular events, according to new research from Forsyth Institute and Harvard University scientists and colleagues.
People with periodontitis are at higher risk of experiencing major cardiovascular events, according to new research from Forsyth Institute and Harvard University scientists and colleagues.
People with periodontitis are at...
04/03/2021
Cath Lab Digest
News
04/03/2021
Serious complications due to blood clots, such as heart attacks and strokes, that are experienced by some COVID-19 survivors may be caused by a lingering immune response in the blood vessels after recovery, suggests a study published in...
Serious complications due to blood clots, such as heart attacks and strokes, that are experienced by some COVID-19 survivors may be caused by a lingering immune response in the blood vessels after recovery, suggests a study published in...
Serious complications due to...
04/03/2021
Cath Lab Digest
News
04/03/2021
Since early in the pandemic, COVID-19 has been associated with heart problems, including reduced ability to pump blood and abnormal heart rhythms. But it’s been an open question whether these problems are caused by the virus infecting the...
Since early in the pandemic, COVID-19 has been associated with heart problems, including reduced ability to pump blood and abnormal heart rhythms. But it’s been an open question whether these problems are caused by the virus infecting the...
Since early in the pandemic,...
04/03/2021
Cath Lab Digest