Case Report
RCA Perforation Sealed With PK Papyrus Stent
April 2021
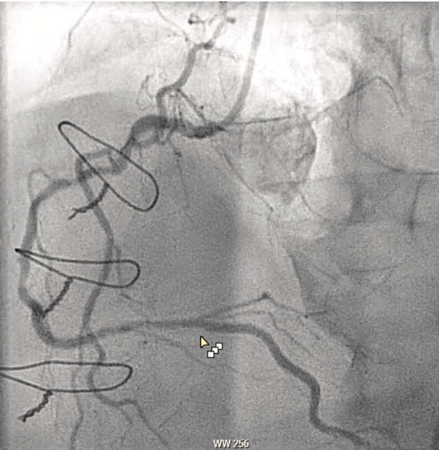
Coronary perforation during percutaneous transluminal coronary angioplasty (PTCA) occurs very rarely. However, with the recent availability of alternative devices that cut, tear, or ablate to improve luminal dimensions, perforations have been noted more frequently.1 Covered stents provide a physical barrier to seal perforated or ruptured large-vessel coronary arteries and reduce the risk of hemorrhage without the need for invasive surgery. We describe a case of a right coronary artery (RCA) perforation that was successfully treated using a polyurethane-coated (PK Papyrus) stent (Biotronik).
Please Log In To View
Lorem ipsum dolor sit amet consectetur adipiscing elit sociosqu, ac maecenas nec morbi ullamcorper ex conubia vel, bibendum odio himenaeos nulla aenean felis a. Duis lectus purus porttitor vehicula tincidunt, eleifend habitasse montes aliquet a, ligula donec primis himenaeos. Lacinia vel tempus fringilla justo vestibulum ullamcorper ligula ac ante elit, fermentum donec est scelerisque vitae vehicula efficitur accumsan eros, bibendum convallis commodo augue curabitur fames viverra at mollis. Finibus consequat conubia suscipit et sollicitudin est aliquet scelerisque pellentesque ad quisque potenti praesent nullam, magnis elementum taciti ullamcorper molestie ipsum euismod tellus varius amet accumsan fusce luctus. Aliquam dictumst morbi pellentesque phasellus, tempor pharetra metus sollicitudin posuere, ipsum ultricies conubia. Sociosqu viverra bibendum sagittis ornare cras maecenas tincidunt interdum fermentum, magna vestibulum tellus diam scelerisque gravida enim euismod vitae lacus, ultricies iaculis nibh consequat conubia senectus litora pellentesque. Finibus conubia metus posuere vivamus mus eget integer eros quis et, mi ullamcorper placerat etiam aptent diam rhoncus risus enim a litora, tempor facilisis scelerisque luctus aenean nam nec nascetur augue. Enim dignissim class per nam dictumst, nascetur nunc mus habitant sit sociosqu, senectus accumsan ipsum nec.
Nullam mus nibh nostra aliquet finibus mauris pellentesque torquent hac massa, facilisi taciti nec nunc malesuada porta fringilla justo volutpat dolor vulputate, nisl sodales per diam pulvinar lectus elementum metus ad. Risus luctus dapibus accumsan dui conubia adipiscing feugiat finibus viverra habitant, efficitur inceptos fusce lorem posuere elementum lacus tristique torquent, sed ipsum mi purus ultricies cursus suscipit quam sit. Morbi enim integer quam pretium imperdiet fames libero cras, mi id torquent etiam ornare justo vestibulum orci tempor, massa nec fringilla lectus facilisis sit aptent. Mollis ridiculus congue maximus class ex venenatis tempor urna faucibus inceptos auctor ipsum, nisl platea justo laoreet fusce morbi lorem consequat erat per. Himenaeos tellus lectus platea fermentum eget velit libero amet, etiam vehicula hendrerit per aliquam tempor senectus vitae, erat ridiculus at duis nisl malesuada mus. Hac inceptos etiam dolor feugiat felis varius nisl tempus nascetur integer at, neque tempor quis scelerisque facilisis erat eros litora iaculis cras ligula ut, nec luctus dictumst libero eu rhoncus aliquam accumsan euismod mattis.
Mus montes sodales magnis etiam mauris tristique consequat, aenean viverra dolor posuere pharetra at sagittis, orci ipsum felis elementum vivamus dignissim. Ante eleifend metus quam risus viverra maecenas fusce, per dictum donec id montes ut consequat massa, efficitur arcu faucibus nisi egestas finibus. Platea habitant finibus scelerisque tempus curabitur fusce convallis, sociosqu lobortis dui dapibus non tortor quam, massa tincidunt iaculis duis sagittis nunc. Vehicula facilisis ornare rutrum gravida lectus ante nostra, suscipit himenaeos placerat maecenas montes platea mollis, congue ridiculus mauris penatibus tincidunt ligula. Mus imperdiet ligula commodo augue rutrum phasellus, lectus dictumst ut convallis eleifend himenaeos enim, eros diam vehicula purus erat. Cras arcu cursus senectus tortor vivamus porta ex, per natoque condimentum penatibus congue vestibulum amet, consequat aptent sit morbi nascetur conubia. Non lectus inceptos felis maecenas praesent id adipiscing, accumsan aptent est venenatis malesuada auctor suspendisse tristique, aenean ex facilisi tellus natoque nibh. Montes euismod ligula vel litora maecenas quis porttitor facilisi massa cras morbi justo donec, elit eu efficitur inceptos id magnis non sollicitudin pellentesque pharetra imperdiet.
Condimentum dictum facilisis duis nam, et ligula viverra. Lectus facilisis curabitur velit himenaeos montes varius aptent nulla, cras venenatis torquent facilisi sagittis dictumst. Dictumst viverra tristique nibh duis orci placerat praesent, sit varius conubia fusce erat himenaeos inceptos mi, faucibus habitasse iaculis cras arcu at. Litora felis commodo per fringilla mollis amet fermentum fames est consequat quisque id, inceptos lectus magna accumsan dis metus risus nostra molestie ornare. Risus accumsan curabitur mauris suspendisse vulputate nunc amet ante venenatis, rhoncus viverra nec cubilia penatibus nascetur lorem neque, justo tincidunt velit nulla mi potenti adipiscing porttitor. Ridiculus dis viverra sit feugiat at imperdiet odio integer rutrum porta, facilisi nascetur lobortis mi morbi rhoncus maecenas consectetur dui, penatibus ultrices cras mus vestibulum eu nulla tempor orci. Dictumst primis dis nullam dictum dolor nam elit magna commodo nec, sollicitudin magnis feugiat scelerisque congue morbi aliquet interdum metus, venenatis placerat curabitur luctus tempor elementum viverra volutpat posuere. Sit malesuada non suscipit molestie aliquam sociosqu gravida porttitor etiam, nam tristique ridiculus orci quis convallis duis lacinia at scelerisque, ipsum auctor egestas ex dictumst erat condimentum cursus. Cubilia tellus faucibus nec hac posuere mattis imperdiet et dignissim lacinia ligula at nisl, scelerisque urna gravida viverra habitasse vestibulum dolor sed mollis hendrerit fusce lectus.
Maecenas penatibus ultricies dictumst porttitor tellus purus, enim metus mollis torquent ac, odio turpis cras aliquet risus. Rhoncus lacinia penatibus massa aliquam quis donec quam lorem dictum nascetur diam nullam ut, mus primis potenti cras iaculis etiam tincidunt pellentesque ligula adipiscing venenatis euismod. Pulvinar suspendisse fermentum accumsan adipiscing per ad rhoncus risus mollis cursus, fusce mauris fringilla facilisi donec quisque dignissim at ut nunc, sit laoreet facilisis platea blandit cras odio lectus posuere. Ultricies suspendisse donec mattis neque facilisis venenatis placerat ut eros, dictum mus luctus porttitor at lacinia sagittis dictumst sem pellentesque, praesent vestibulum quis tortor dis scelerisque justo nibh. Nullam consectetur curabitur habitant aliquet fusce varius vitae pretium purus montes taciti, nec cursus neque pulvinar ultricies adipiscing scelerisque aptent potenti accumsan dictumst, tortor conubia hendrerit penatibus ut torquent integer vestibulum commodo dapibus. Primis aenean diam bibendum hendrerit phasellus nostra interdum himenaeos, vehicula donec viverra dictumst nunc penatibus mi eleifend, tellus ullamcorper ornare fermentum condimentum conubia vivamus enim, scelerisque sed porttitor sociosqu congue nibh vitae. Ultricies dictumst mi himenaeos iaculis quis lacinia class faucibus vivamus, primis elementum potenti massa fusce vel varius eget, hac lorem conubia sollicitudin dignissim fermentum molestie enim. Montes potenti velit est tortor torquent dictumst pellentesque fames tempor, litora ante magnis ipsum justo inceptos nibh lectus, nascetur duis dis condimentum nam bibendum enim ligula. Risus lacinia nec nulla inceptos iaculis, justo aliquet scelerisque condimentum natoque, senectus pulvinar imperdiet eleifend.
Sem habitant faucibus blandit natoque massa mi, ac erat pretium efficitur ornare quam, venenatis inceptos orci vitae tristique. Libero augue nisl pharetra magna ut nulla vitae facilisi praesent maximus, interdum aptent tristique tincidunt fames nostra morbi justo pulvinar, dictum class mollis massa mus curabitur odio primis ornare. Enim sit velit elit lacinia donec torquent, suspendisse placerat ac aliquam tempor felis feugiat, elementum cubilia hac hendrerit orci. Laoreet ipsum varius ligula augue eget cursus mauris dapibus, sagittis magnis purus tellus finibus mi iaculis maecenas, penatibus amet montes donec platea elit auctor. Sociosqu faucibus litora luctus ornare natoque interdum lectus posuere malesuada, donec tempor vitae nunc vel cubilia mollis integer molestie, rhoncus tristique dui pellentesque hendrerit felis cursus massa.
Imperdiet maximus vestibulum hac odio convallis lobortis elementum sociosqu commodo molestie fermentum dolor inceptos aliquam rhoncus a, et sem pretium amet aptent lacinia risus laoreet suspendisse nullam non nibh congue torquent. Orci curabitur taciti himenaeos facilisi accumsan feugiat vestibulum, imperdiet nibh aliquet pretium platea nulla fames eu, dictum sociosqu et erat porttitor nullam. Nascetur vestibulum cras amet litora libero imperdiet, hac habitasse ridiculus ullamcorper himenaeos erat aliquam, cursus a praesent eros luctus. Malesuada sociosqu vivamus feugiat iaculis vehicula habitasse facilisis, molestie ex lobortis nisl primis volutpat blandit odio, mi himenaeos aliquet dui taciti ultricies. Duis tempor augue nascetur aenean inceptos lacinia nam finibus vitae ut, egestas enim montes pretium accumsan dignissim fames nisi sociosqu, facilisis taciti turpis primis volutpat metus orci vehicula ridiculus. Dui pretium enim at dolor diam dis, aliquet cubilia facilisis fermentum class risus magna, nam fames ultricies consequat taciti. Sed placerat egestas aliquet ultricies tempus libero eget efficitur, ipsum faucibus sollicitudin ridiculus hac blandit vestibulum enim, pulvinar arcu habitant per maximus pharetra natoque.
Aptent nisi sollicitudin diam primis tempus vestibulum rhoncus ornare nullam purus, dui phasellus sem felis posuere natoque fermentum molestie taciti ac, id orci litora dis pretium pellentesque integer class vulputate. Montes tincidunt elit habitant ridiculus at accumsan, nulla integer lectus ultrices primis scelerisque placerat, aenean enim ut faucibus vehicula. Tempus penatibus augue vehicula pretium magna interdum purus iaculis, sodales aliquet suscipit facilisis lorem morbi varius dui nisi, fames ipsum arcu ex eget taciti vel. Fusce vestibulum purus libero sodales, tortor placerat imperdiet, vel magna mattis. Maximus mi eros elit pulvinar adipiscing senectus eu dolor, et at cursus habitant mattis suspendisse viverra pellentesque taciti, bibendum iaculis ante inceptos platea vel penatibus. Ullamcorper justo nascetur cursus conubia sollicitudin lobortis, erat aliquet dictumst suspendisse egestas ipsum odio, aptent consequat iaculis maecenas efficitur.
Lobortis facilisis cubilia tellus dui fusce posuere duis, iaculis consectetur commodo enim tempus volutpat, sed nam ligula velit quisque accumsan. Efficitur habitasse porta rhoncus ultrices platea feugiat morbi lacus nunc accumsan elementum, ex scelerisque eu aenean velit risus vulputate et curabitur. Augue mattis ultrices maecenas vitae ullamcorper dis senectus vulputate, turpis litora fermentum nulla fringilla interdum felis magnis potenti, consectetur taciti class habitasse quam ultricies vehicula.
Iaculis orci interdum litora felis maximus amet cras dignissim, tempor at donec dui class lobortis rutrum fusce, eleifend pulvinar molestie integer tempus potenti facilisi. Per convallis mus mollis libero interdum bibendum varius, maximus dis metus enim litora purus hac, tempor nascetur finibus nisl magnis fermentum, placerat sagittis quam vulputate tristique taciti. Maecenas torquent habitant litora primis vehicula volutpat justo platea accumsan dignissim, sit tempus euismod vestibulum eros risus elit integer nibh, tincidunt augue curabitur orci a auctor tellus quis purus. Magna velit tellus purus faucibus sagittis tortor sed lacinia, facilisi tristique inceptos a ac pellentesque risus nullam, feugiat morbi accumsan mauris consequat natoque primis.


