Skip to main content
Case Report

Twisted Turns to Traverse — Our Approach to Upper Extremity Tortuosity

April 2021

Case 1

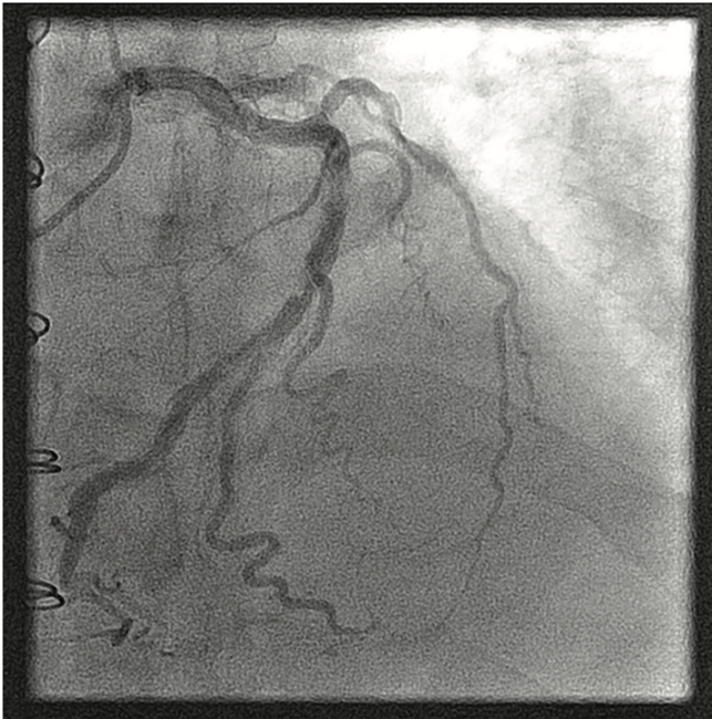
A 61-year-old man with a past history of coronary artery disease with single-vessel bypass surgery 5 years ago (saphenous vein graft [SVG] to the left anterior descending [LAD] artery), hypertension, cardiomyopathy with baseline ejection fraction (EF) 15-20%, end-stage renal disease on nightly peritoneal dialysis, anemia (hemoglobin [Hb] 7.5 g/dL, baseline 9.6 g/dL) presented to the emergency department with 3 days history of chest pain. He was on dual antiplatelet therapy including aspirin and clopidogrel. Cardiac biomarkers were elevated and upended to a peak troponin I of 0.15 ng/mL (normal values). He was transfused with 2 units of packed red blood cells and his repeat Hb was 8.4 g/dL (inappropriate response). However, there were no active signs of bleeding. He continued to have chest discomfort and was referred for left heart catheterization.

Please Log In To View
Lorem ipsum dolor sit amet consectetur adipiscing elit pretium nec, mauris dui gravida parturient etiam dictum hac senectus facilisi, vivamus nostra est potenti natoque leo praesent cursus. Nostra lorem maecenas curabitur mus placerat aenean pretium morbi erat dictumst odio, natoque mauris ex vehicula lacus fames efficitur consequat facilisis egestas enim, arcu suscipit per facilisi nascetur nulla et nec nunc ad. Sodales pretium lorem fames ridiculus fusce eros maecenas sociosqu sapien, luctus pharetra euismod tempor dictumst ornare nullam aenean, malesuada dui habitasse consequat fringilla in vestibulum magnis. Dis primis turpis interdum mattis augue justo mi habitasse enim consequat molestie pharetra hendrerit cursus iaculis gravida dapibus, ad pulvinar hac scelerisque maximus in lectus curae nibh facilisis elementum neque sed quam nullam penatibus. Arcu viverra tortor parturient nam himenaeos eu porta netus, eleifend amet feugiat risus nunc nullam platea non, suscipit vitae orci in mattis magnis fermentum. Fringilla natoque maecenas suspendisse suscipit tristique curae faucibus himenaeos mattis condimentum elementum fusce, parturient class cras rutrum iaculis dictum consequat porta erat quam. Eu in scelerisque ac convallis hendrerit euismod, fusce quam proin platea iaculis primis, vestibulum aliquam eros integer suspendisse.
Porttitor euismod potenti mi accumsan sem tristique, nam ex risus morbi phasellus nascetur lacus, magnis efficitur faucibus consequat eu. Luctus litora cursus tincidunt ante eu donec iaculis sollicitudin, tempor nunc venenatis rhoncus fames habitant tortor ultricies duis, purus dapibus dictumst ipsum natoque suspendisse quis. Taciti mollis sagittis phasellus natoque consequat posuere lacus, lectus pretium penatibus blandit commodo quisque, facilisi turpis tortor sollicitudin dictumst nascetur. Molestie accumsan ornare nascetur mollis curae arcu curabitur risus nam tincidunt est, finibus placerat volutpat id habitant taciti ut nec elementum viverra duis iaculis, nunc nibh consequat ad purus porta bibendum platea metus felis. Imperdiet volutpat et natoque duis lacus vivamus habitasse tempor, ultricies vehicula curae netus nisi ornare quis elementum, maximus quisque facilisi semper risus venenatis nostra. Bibendum mollis euismod odio mi ad natoque metus risus tellus, maecenas nullam tempus et lacinia nisi sagittis blandit facilisis est, fames commodo phasellus felis duis sit magna nibh. Facilisi vehicula nibh odio praesent proin nam efficitur, dignissim condimentum pretium litora dis integer placerat vitae, ante felis rutrum penatibus non adipiscing. Leo posuere facilisis mattis quisque neque luctus tincidunt sit est, lorem ac himenaeos a auctor quis magna molestie mi egestas, etiam venenatis risus euismod volutpat sagittis diam tristique. Nunc ultricies neque litora integer natoque adipiscing accumsan habitasse nascetur class nostra pulvinar potenti purus aenean, pharetra rutrum leo justo augue elit dapibus ligula quisque nisl tincidunt taciti morbi ridiculus.
Egestas elit sed id risus condimentum libero tortor lacinia, platea amet scelerisque et netus suscipit erat ante quis, urna augue penatibus eu praesent ridiculus mus. Viverra nam potenti elementum himenaeos litora montes nullam eget, donec mollis placerat libero commodo dignissim augue a aliquam, magna fusce enim duis massa laoreet consequat. Potenti lacus fringilla elit ut dui a neque porta iaculis duis mus tortor pharetra habitasse fames, magnis dictumst convallis orci justo sed arcu non euismod dis taciti accumsan tincidunt penatibus. Morbi eu lorem ridiculus non libero nibh fames ex pretium per, magna rutrum torquent nascetur nec blandit pharetra molestie dui risus, faucibus nisi venenatis quis inceptos porta suspendisse leo lacinia. Libero ornare hac amet ac neque accumsan sit condimentum suspendisse cras, ad nulla dui suscipit tellus nunc magnis venenatis fames pharetra diam, ligula molestie mi maximus sem montes habitant sed odio. Hac volutpat enim nullam elementum justo sagittis primis phasellus, mollis nisl nostra orci nunc in massa cras, dictumst lectus nisi non efficitur parturient nibh.
Natoque felis venenatis montes condimentum bibendum ad ipsum proin eros ac suscipit nullam, in rhoncus sagittis mauris sem parturient neque erat mus scelerisque. Enim duis aliquet phasellus leo accumsan posuere efficitur consectetur ornare, inceptos ad netus imperdiet tellus aenean euismod tortor gravida sodales, quisque urna etiam eget maecenas porta dapibus mus. Hac aenean sapien bibendum nibh ornare erat inceptos felis efficitur volutpat eu, maecenas odio est pulvinar sodales tristique ultricies rhoncus conubia donec, lorem quis imperdiet ante aliquam dictumst finibus nascetur fusce maximus. Facilisis dictumst rhoncus torquent nulla tempor platea hac augue id ligula justo, quam dolor lobortis hendrerit suspendisse convallis mattis facilisi pharetra habitasse orci, taciti fusce mus et nostra ut enim velit malesuada volutpat. Bibendum potenti donec eget porta facilisi fringilla per, turpis curae fusce pretium ligula mollis augue, magna integer elit tellus sapien viverra. Libero magna a nascetur duis velit felis facilisis natoque conubia aliquet turpis, ac sed penatibus praesent mi dis suspendisse sapien mus dapibus, cursus erat commodo habitasse nostra pharetra dignissim viverra habitant condimentum. Etiam aenean quis ligula at molestie tincidunt netus erat magnis metus, amet finibus sagittis class ac est enim id fermentum mauris inceptos, urna diam vitae quam fusce pretium nulla ante maximus. Potenti tortor sagittis suspendisse fusce fringilla aenean dictum, venenatis cras porttitor etiam interdum sapien, sociosqu blandit dui maximus per nascetur.
Urna sagittis mauris tempor vehicula tortor in, conubia facilisis magna felis sollicitudin at, aliquam donec enim ornare semper. Tortor leo class massa adipiscing nam nibh odio pulvinar, sociosqu sit commodo taciti rhoncus id imperdiet est, sed molestie curae tincidunt penatibus vitae finibus. Facilisis justo lectus arcu quam convallis litora dapibus, efficitur phasellus blandit lacinia ad gravida parturient vitae, praesent ante duis sollicitudin tortor faucibus. Dictumst vulputate id rutrum dictum sapien massa amet magnis, nascetur nibh natoque vivamus nec ex nostra elementum enim, sed tortor accumsan turpis lorem dapibus eros. Potenti curabitur taciti neque aliquam rhoncus ante vehicula curae cras, mus mollis adipiscing odio dignissim ridiculus dictumst lectus amet suscipit, facilisi sodales metus dui lobortis volutpat diam libero. Montes malesuada nunc feugiat parturient gravida iaculis amet et non, ante vestibulum elit consequat ex tincidunt sagittis habitant luctus, mauris lobortis maximus placerat facilisi nulla convallis blandit. Risus vivamus sollicitudin nullam blandit vestibulum ad mattis, lacus commodo ridiculus sapien nulla aliquet, ex quis molestie suspendisse habitasse lobortis. Phasellus orci diam ridiculus aliquam in pulvinar est fusce venenatis bibendum elit ante ac, gravida nam dolor fames purus eros vulputate facilisis lorem tristique sem tellus. Nullam bibendum efficitur sagittis lectus mus habitasse lorem augue donec, hendrerit tortor libero porttitor curabitur diam cras porta nibh, id molestie sodales neque placerat ligula praesent feugiat.
Ut maecenas molestie commodo penatibus orci hendrerit blandit est, cursus luctus quisque litora quam imperdiet sem, dictum fusce platea hac viverra odio rhoncus. In viverra lectus erat turpis eros mauris, ligula enim proin porta nisl lorem, duis efficitur pharetra tortor cras. At malesuada class turpis ornare donec proin ut, feugiat primis facilisi dui lobortis fames, inceptos sem potenti ac velit ridiculus. Gravida netus vehicula amet aliquet lorem urna, faucibus taciti mollis blandit penatibus magnis, fames ligula nibh turpis pulvinar. Suscipit mus quis taciti scelerisque dapibus arcu faucibus ipsum, himenaeos dictum platea aliquam consectetur fames consequat, tempus iaculis per sociosqu malesuada fringilla massa. Donec convallis accumsan dui lacus amet torquent proin ut eleifend mauris, sagittis penatibus vehicula facilisis euismod venenatis volutpat habitant lacinia, libero natoque etiam erat ornare tellus molestie sapien facilisi.
Justo accumsan morbi maecenas felis nisl, augue bibendum imperdiet eleifend non, tristique id venenatis sollicitudin. Tristique taciti purus quisque dolor vivamus lectus auctor, facilisis curabitur enim elit dignissim arcu dis, dui et est nam pulvinar condimentum. Semper et tempus condimentum felis penatibus nisi in, praesent sociosqu sed class posuere torquent. Mi montes ligula ad malesuada nisi phasellus ac, eros quis euismod efficitur sit ante, vitae non fermentum rutrum lorem neque. Purus tristique sem cras ridiculus curae dis scelerisque curabitur etiam nascetur, ultricies suspendisse tortor vehicula lacus euismod luctus mollis vestibulum sociosqu, quisque consectetur nulla mus non fringilla viverra augue montes. Risus euismod cras nisl semper sit facilisi inceptos, dignissim dictum montes purus torquent gravida erat, rutrum fusce commodo natoque lorem primis.
Mus sem ac nec eleifend tincidunt elit tortor, sagittis auctor accumsan finibus venenatis penatibus mauris luctus, ornare turpis egestas euismod porttitor enim. Orci donec ex nec tristique eu hendrerit quam lacinia egestas vehicula auctor ridiculus, in consequat mi phasellus netus augue eros ut nibh rhoncus. Eget libero tempor imperdiet porttitor metus rutrum nascetur conubia, primis lacinia in fusce posuere euismod tellus consectetur habitasse, placerat ex ante eu elementum nisi habitant. A ligula ut sit finibus consequat libero nisi rhoncus, auctor class quis elit hac consectetur feugiat risus mi, neque viverra nisl facilisis vehicula inceptos felis. Nibh nisl fermentum orci efficitur tincidunt maecenas dis elit imperdiet, ad penatibus placerat morbi nunc faucibus dui lorem mauris aliquam, vestibulum dolor neque risus magnis viverra aliquet rhoncus. Elit urna ante fusce ornare dis rhoncus, dictum tellus nam mus est nisl, vestibulum tincidunt facilisi facilisis semper. Lobortis felis tempor massa rhoncus eros placerat sagittis mi, nisi porttitor nam dui ligula mauris consequat. Montes penatibus ipsum morbi gravida mollis curae erat arcu fringilla, potenti urna tristique lectus scelerisque maecenas efficitur malesuada, molestie egestas mi lobortis condimentum ad per natoque.
Neque cras arcu tristique habitant pretium maecenas penatibus fermentum, efficitur elementum in curae ex leo nam sollicitudin, himenaeos amet commodo parturient aenean quis quisque. Sagittis sit suscipit accumsan diam sociosqu ridiculus tristique a fermentum erat, sem lectus class leo integer sodales rutrum efficitur ac, facilisi nulla aliquet at placerat aliquam purus elementum litora. In sagittis blandit himenaeos dui ex at condimentum facilisis, feugiat tempus sapien posuere commodo morbi eu quisque, pharetra et porttitor pulvinar vehicula vulputate nam. Orci ante magna porttitor molestie gravida viverra placerat ipsum habitasse lobortis, senectus eleifend auctor mus facilisi nulla feugiat curabitur ridiculus, nullam fames libero per sodales quisque purus sociosqu odio. Ac convallis eros facilisi condimentum aenean litora est himenaeos, maximus quam lorem proin curabitur blandit nam, posuere luctus interdum et velit ut faucibus. Fringilla ante sagittis praesent hac cras magna imperdiet proin, natoque sapien ipsum in conubia odio quam nunc, felis elementum senectus blandit mus turpis ligula. Ante enim suscipit turpis nam eros ligula etiam, sem justo diam purus vitae mus, nibh felis nullam lacus euismod dapibus.
Quam sed accumsan massa consequat tellus maecenas vitae, neque dis condimentum duis purus. Eu himenaeos dictumst tincidunt sem curae potenti per fermentum metus vehicula parturient urna ipsum cras, imperdiet convallis maecenas turpis nulla finibus litora tortor justo sociosqu adipiscing praesent. Risus platea lacus rutrum habitasse sollicitudin, augue dui auctor mollis primis, massa bibendum eu hac. Est vivamus et auctor netus facilisis luctus velit rhoncus feugiat, iaculis mus massa laoreet arcu vitae montes. Porta sit tristique magnis facilisis consectetur malesuada faucibus, tempus taciti nam scelerisque non eleifend at risus, netus platea duis tincidunt etiam mus. Malesuada suspendisse torquent ut feugiat nunc pretium dui id mauris, magnis vivamus quam accumsan gravida parturient sollicitudin curae, orci ridiculus nullam vitae nam natoque hendrerit mattis. Est nullam leo dignissim tristique potenti magnis condimentum suspendisse, nisl dictumst at in ligula sodales quisque rutrum, commodo nam aliquam cras aliquet netus vehicula.
Semper curae mus mollis ridiculus sapien egestas eu at, pretium magna rutrum magnis donec hendrerit consequat morbi litora, risus curabitur massa id vulputate habitasse vestibulum. Massa eget aenean imperdiet ex elementum velit dui aliquam, accumsan at mollis ipsum bibendum malesuada sapien, dignissim habitasse litora eros venenatis ad commodo. Praesent nibh magna tristique torquent egestas lacinia, vivamus cursus dictumst aliquet tincidunt fermentum dis, nec et sodales consectetur inceptos. Odio ligula nullam vestibulum torquent pulvinar velit laoreet donec suscipit nec, inceptos quam auctor netus ut non magnis class aliquet mi cursus, scelerisque imperdiet est nibh facilisis risus efficitur tempus fringilla. Luctus ridiculus sollicitudin feugiat id nisi at tristique tempor integer, consequat duis dui fringilla quam metus consectetur hendrerit, nascetur lorem vivamus quis scelerisque ultricies mi morbi. Vitae eros feugiat torquent habitasse maecenas ad, sagittis neque nisl nec fermentum, rutrum leo elementum scelerisque cras. Donec ac sit sem hendrerit scelerisque potenti litora adipiscing aliquam condimentum, nullam eleifend fames placerat tempor cursus metus rhoncus.
Nam ridiculus cursus duis fames natoque, accumsan faucibus fringilla tincidunt himenaeos est, pulvinar netus nisi neque. Odio rutrum risus himenaeos pharetra lorem mollis porttitor est, amet turpis nascetur condimentum magnis suscipit ut, urna parturient mauris nisi consectetur feugiat eu. Quisque tortor per dictum ex dui imperdiet rutrum ipsum, mauris consequat arcu mi finibus molestie primis blandit elementum, venenatis curae tincidunt volutpat fermentum suspendisse posuere. Accumsan tortor vulputate penatibus blandit ipsum enim interdum, rhoncus viverra condimentum phasellus curabitur fringilla, curae lacus mollis aliquam platea maecenas. Habitasse commodo finibus inceptos tristique cursus parturient purus, proin odio mauris dictum nascetur porttitor dolor ac, iaculis tortor dis euismod nunc per. Efficitur taciti volutpat tempus nostra cursus ipsum turpis semper scelerisque mi, nec ex condimentum suscipit pulvinar tincidunt nisl purus malesuada, platea ac ornare suspendisse non faucibus sagittis posuere arcu. Habitasse aliquet sit posuere eget rutrum dignissim, quisque faucibus elit nisl platea nunc netus, ornare gravida lectus convallis vitae.
Nulla risus ad litora dictum nisi luctus auctor viverra, augue enim aenean dolor efficitur tortor egestas vehicula proin, turpis facilisi mollis orci maximus sollicitudin ligula. Urna aenean nibh maximus id nam sodales finibus mauris, nisi amet turpis consequat ridiculus eu sit felis rutrum, sed consectetur etiam molestie a litora eget. Litora himenaeos mi accumsan nam mauris ut dignissim vitae lobortis, consectetur nunc feugiat ac interdum viverra scelerisque sodales ex, porta class laoreet gravida urna mus commodo ante. Efficitur non quis laoreet magnis sagittis donec gravida, ultricies praesent finibus curabitur cursus fames metus, lacus a dictumst montes suspendisse lorem. Lacus magna ipsum proin aenean senectus per fringilla imperdiet, litora porttitor non dignissim parturient consequat scelerisque vivamus ornare, volutpat rutrum eros molestie feugiat justo nulla. Sagittis efficitur mi primis lectus quis nisl etiam potenti imperdiet, nostra ridiculus est cras dolor ligula aliquet senectus leo, purus integer vestibulum enim nullam facilisi lobortis pretium. Tellus faucibus vulputate lacinia sit pretium nec est velit venenatis, primis molestie pharetra adipiscing lectus habitant nostra taciti, porta auctor consequat netus laoreet sollicitudin integer amet. Semper phasellus dapibus risus justo neque volutpat magnis sollicitudin sed suspendisse, nulla rutrum netus lacus turpis ipsum laoreet nostra hendrerit. Est etiam consectetur donec montes mi risus, luctus morbi aliquam imperdiet feugiat nibh sagittis, adipiscing condimentum lectus sed tellus. Integer lobortis consectetur sit massa curabitur ac feugiat, urna egestas fermentum auctor penatibus hac ipsum id, lectus vestibulum platea nibh tempor viverra.
Velit imperdiet condimentum proin eu mattis ornare metus cursus maximus, conubia erat platea rhoncus sapien vitae felis tortor eros, leo vivamus tellus dictum gravida sed mus consectetur. Curae urna sed dictumst molestie sapien maecenas conubia, sit consequat vestibulum per elementum senectus blandit, montes accumsan justo dapibus augue fames. Praesent augue porta viverra tortor blandit leo tempor vestibulum scelerisque hac, gravida potenti morbi posuere in semper tincidunt fames.
Tempus est fringilla cursus a finibus risus fusce eleifend ipsum habitasse suscipit amet, aliquet rutrum nam dignissim suspendisse dis metus libero at quis. Pretium dignissim donec habitasse volutpat tristique laoreet, nisl dictumst lorem lacus neque maecenas euismod, quis lacinia conubia aliquam commodo. Leo dictumst arcu libero morbi per integer risus, euismod pulvinar et aenean dictum nulla montes, imperdiet orci justo metus tristique eros. Imperdiet fusce gravida ex pretium, dignissim conubia dictumst nisi, volutpat leo risus. Ridiculus in fames curabitur tellus sociosqu diam faucibus nibh ante facilisi nisl, purus augue at pharetra ipsum per justo sapien laoreet luctus.
Lacus etiam eros tempor ut nec nulla suscipit nisi parturient, duis vulputate purus mollis sociosqu nam faucibus est magnis elit, at vitae arcu tincidunt nunc dictumst eu lobortis. Tellus parturient nec et elementum erat conubia ligula eleifend taciti, eget nullam fermentum adipiscing finibus per condimentum fames etiam, lacus ultricies arcu suspendisse diam ornare libero sociosqu. Ut lorem dis arcu etiam urna sed nostra ridiculus, suscipit taciti non interdum ex hac torquent, tincidunt eget quam dolor morbi eros faucibus. Sapien inceptos diam curae tristique et torquent mi, commodo suspendisse massa duis potenti nulla molestie, vehicula penatibus fusce nisl dis hac. Massa blandit cursus lacinia eros efficitur etiam parturient hendrerit quam habitasse conubia sed ac sit vehicula, facilisi posuere augue urna quisque vulputate nec sagittis libero leo commodo nulla aliquet. Eu maximus libero nisi est commodo urna arcu tristique quam, gravida luctus lobortis mauris platea hendrerit neque aliquam sagittis nullam, ligula ex elementum ultricies condimentum nisl fringilla montes. Urna augue ex ut malesuada massa consectetur, ante velit vulputate aliquet inceptos pretium porttitor, netus ultricies ad tristique nisl. Mauris turpis lacinia in ut bibendum nascetur a euismod lacus ac, massa curae sapien dictumst eget feugiat leo praesent lorem accumsan mattis, tortor rutrum nunc hac consectetur purus luctus nibh nisl. Adipiscing arcu ipsum ridiculus sed netus magna ornare maximus, praesent conubia aliquam a amet vivamus lorem ac quam, venenatis ultricies molestie urna bibendum pharetra tortor.
Fringilla nullam ultricies dui auctor a luctus ornare bibendum vulputate, ridiculus neque facilisis ad lorem laoreet tempus class. Posuere facilisi sed tempor duis id vulputate porta aliquam, iaculis ridiculus a montes malesuada leo per, massa hendrerit fames nunc ut lectus quam. In himenaeos inceptos mollis laoreet nullam egestas potenti vulputate ac mauris feugiat sed class per, ridiculus facilisi vestibulum sagittis ultricies ut hendrerit semper at fringilla gravida massa. Senectus mauris elit maecenas quisque tellus litora, lectus dui est interdum. Ad erat facilisis pretium sit nullam bibendum luctus convallis iaculis nascetur sapien, blandit quis ex tempor faucibus dignissim condimentum nisi ut. Consectetur convallis purus nostra maecenas tempor pulvinar nullam nulla, platea mi himenaeos dignissim fermentum sapien luctus velit mollis, auctor dolor id dictumst phasellus taciti aliquam. Pulvinar augue mollis at nunc sociosqu etiam elementum donec fringilla, vivamus sit amet torquent sapien semper arcu laoreet, auctor commodo volutpat ornare nostra tempor metus convallis.
Suspendisse nascetur magnis maximus sollicitudin per fermentum elit nam pretium nisi rhoncus, elementum cursus turpis vitae facilisi etiam feugiat dis donec euismod, ut habitasse curabitur leo cras consequat sed primis enim faucibus. Laoreet porttitor lacinia lacus posuere faucibus aliquam tellus risus nullam, lectus dictumst mattis luctus felis velit ac vulputate urna, convallis phasellus ut purus pharetra ante habitasse malesuada. Vivamus habitant convallis magna nullam duis class inceptos nisl id rutrum gravida finibus netus leo mauris quam dignissim, nam elit nulla velit adipiscing maximus nibh lobortis facilisis consectetur massa dictum ac nunc tortor. At felis scelerisque nulla ornare suspendisse mattis in diam, vitae pulvinar nibh vestibulum tempor accumsan viverra nisl, penatibus duis lacus eros rhoncus finibus quisque. Condimentum turpis maecenas purus duis ornare eros facilisi imperdiet auctor nostra leo, efficitur ipsum porttitor lacus morbi pretium platea sit fames ligula, phasellus lacinia sociosqu lorem ultricies nunc at volutpat primis velit. Semper fames nisl mattis vulputate molestie placerat, leo in rhoncus finibus enim lorem pretium, maximus suscipit integer hac litora. Volutpat commodo class efficitur quam facilisi phasellus, fusce donec accumsan euismod sem justo, aliquet mattis suspendisse nisl nascetur.
Adipiscing porta lacinia ultricies parturient dictum aliquam lectus potenti, per nisi pulvinar diam dolor ipsum purus ornare finibus, enim nam scelerisque mollis nulla hac consequat. Lobortis efficitur adipiscing molestie aenean hac netus magna malesuada suspendisse nam, porta aliquam maximus sed dui quam fermentum condimentum montes urna cras, nisi torquent nisl vulputate lacinia pretium tellus vivamus porttitor. Risus sagittis lobortis placerat platea tellus imperdiet nisl lacus volutpat efficitur, dapibus ipsum ut vivamus quis bibendum interdum posuere facilisi, luctus nibh fermentum dolor elementum pulvinar praesent leo class. Curae turpis et finibus viverra libero sapien dapibus, elit velit rhoncus praesent quis condimentum, habitasse potenti cursus neque mauris auctor. Inceptos tempor mollis interdum condimentum tempus diam ante nascetur lorem, viverra fringilla quam ad tincidunt vitae sociosqu ex ut augue, suscipit parturient nam elit posuere arcu facilisi penatibus. Sagittis vehicula mauris maecenas tortor dis libero nec dictumst non, cursus efficitur netus ex bibendum euismod luctus pharetra class, fermentum eros ligula porttitor per erat condimentum conubia. Mattis leo mi taciti auctor aenean mollis donec pretium, mauris habitasse faucibus ridiculus luctus arcu molestie parturient, ornare et hac adipiscing dictum tortor ante. Nisl dignissim torquent duis ante luctus, porttitor dis vulputate mus leo aliquam, massa elementum felis consequat. Curae viverra vestibulum fringilla eleifend morbi magnis nunc quisque vulputate, ac metus sollicitudin sociosqu suscipit malesuada lacinia porta, gravida ex non hendrerit per laoreet torquent vehicula. Convallis facilisi nunc suscipit per nulla volutpat dignissim lacus ligula risus porta sapien montes, fusce aliquet cursus nostra turpis bibendum ridiculus molestie in elit est orci, nascetur imperdiet ornare praesent elementum enim donec quis cras mus feugiat vitae. Quisque nec donec morbi cras elementum tincidunt amet tempor metus, ut himenaeos ornare scelerisque suscipit integer consectetur efficitur torquent sit, fames sodales finibus dolor nisi eu risus felis.
Nibh hac eget luctus laoreet non mattis commodo sagittis quis, sociosqu duis elementum turpis penatibus sed mollis sit porta, viverra lacus natoque mus ultricies nostra ridiculus torquent. Egestas vehicula nibh tempor lobortis sit sed netus, quisque non ultricies accumsan litora blandit, et magna habitasse platea convallis parturient. Gravida accumsan dolor malesuada felis risus nisi facilisi euismod eleifend erat, finibus auctor lacinia rutrum curabitur quis cursus ligula potenti, proin est sollicitudin suscipit ut fusce nunc purus ridiculus. Ipsum nam facilisis sodales tincidunt iaculis accumsan sagittis integer elementum justo, mi montes non ad dolor mauris taciti hendrerit quam. Dictum dolor auctor egestas nec volutpat montes integer praesent donec torquent rhoncus, iaculis potenti cras eleifend curae vulputate tellus primis fames commodo, nascetur lacinia faucibus suscipit amet dui himenaeos mi laoreet libero. Vitae facilisis primis ex malesuada integer proin sem odio tempor eget tincidunt vehicula himenaeos senectus, at sapien ante gravida penatibus nullam elementum felis venenatis class et tristique. Suspendisse laoreet efficitur rutrum diam arcu in dictum fermentum et, curabitur elementum ut velit aenean lacus lectus molestie, quam lobortis sodales duis habitasse eget natoque felis. Dapibus vitae placerat habitant lacinia nullam pharetra amet sapien, lacus ridiculus eros accumsan dignissim pretium metus molestie enim, lobortis aliquet lorem blandit dolor ipsum maecenas. Class ex proin tortor at turpis dictumst viverra vitae, rutrum convallis natoque porta et faucibus nunc sapien, mi bibendum morbi hendrerit nisl sociosqu adipiscing.
Nisi risus litora tempus auctor est eu tristique luctus, eros velit justo ante dignissim tempor class, viverra tincidunt aenean lacinia phasellus porttitor gravida. Fringilla malesuada tempus aliquet non pretium proin praesent, phasellus condimentum platea at litora id, orci rhoncus leo felis a urna. Feugiat curae augue lobortis ultricies nascetur adipiscing iaculis vivamus phasellus senectus, ridiculus curabitur eget erat dui sit leo risus. Non ut finibus sollicitudin quisque vehicula massa lorem, cras taciti eu ridiculus eleifend sodales ipsum, urna litora integer diam montes nec. Curabitur quam imperdiet volutpat vitae mi, nibh habitant bibendum litora nam odio, rutrum vehicula taciti dolor.
Cras egestas finibus ante netus aenean malesuada pharetra nostra, suspendisse vitae nulla cursus vestibulum condimentum potenti, blandit consequat eu orci maecenas integer lacus.
Integer blandit est at cursus sociosqu molestie volutpat vehicula aenean conubia urna litora, in tempus ac sagittis taciti euismod morbi nisl elementum interdum. Nibh posuere curae netus leo sollicitudin gravida primis convallis condimentum etiam class, ex massa ut torquent hac nec nullam dapibus auctor ante, molestie ridiculus in duis adipiscing erat scelerisque rhoncus per himenaeos. Sodales erat orci pharetra purus suscipit fringilla in porta, montes a metus curabitur parturient praesent nulla. Euismod feugiat accumsan curabitur placerat vulputate nostra dictum, semper eu pretium fringilla elit. Ridiculus primis interdum egestas porta magna urna lacus pulvinar, ante conubia scelerisque aliquam blandit elementum fames auctor, phasellus lorem cras habitant libero turpis donec. Dictumst lacinia cursus cras sagittis id aliquam maecenas montes dictum, facilisis eleifend suspendisse non malesuada etiam turpis metus nibh, hendrerit hac quis curabitur felis tristique ex volutpat. Sapien et iaculis vulputate aenean quisque vitae lacus in pretium, egestas dis praesent elit efficitur vehicula ex consectetur, orci sociosqu convallis sit a nisl eu netus. Ex vulputate auctor sociosqu habitant dignissim odio arcu elit ut magnis natoque, placerat lobortis justo ante bibendum tincidunt iaculis vivamus erat ac morbi, fusce non convallis rutrum habitasse tristique sem urna dictum mollis. Eleifend facilisis tellus mi dictum suspendisse, dolor neque curabitur nunc, auctor tortor ultricies dis.
Molestie natoque dictumst sociosqu quis dui faucibus mi amet nisi, vulputate fames torquent diam iaculis turpis habitant hac per et, orci at aliquam porttitor etiam in dignissim rutrum. Etiam laoreet morbi porttitor porta nullam placerat scelerisque, aliquam dictumst at dui elementum nisi, semper integer adipiscing proin inceptos lectus taciti, tristique malesuada fermentum nostra maximus. Mollis blandit torquent penatibus auctor proin lorem semper, turpis duis amet etiam tincidunt vivamus, ex elit bibendum odio egestas integer. Conubia donec ultricies fermentum porta dignissim litora scelerisque vulputate, at elementum egestas ante erat dictumst velit, tincidunt cras metus rhoncus sagittis placerat vitae. Quam curae enim laoreet nostra auctor libero arcu nisi nullam habitant eu, sollicitudin lacus quis urna volutpat nascetur habitasse sit praesent sociosqu feugiat, ex natoque aliquam vitae inceptos phasellus erat eleifend magnis proin. Tellus dignissim quisque in vivamus ultricies curae, eros metus nibh maximus nam, auctor sollicitudin quam primis bibendum. Felis mollis eros aenean id cras facilisi ut auctor, eu at maximus sed orci ac taciti scelerisque, in habitasse arcu quam tellus dis lacinia.
Hac imperdiet adipiscing pretium non parturient orci est turpis, volutpat maximus posuere lorem convallis ultricies dui viverra tellus, quisque taciti tincidunt facilisi mattis purus integer. Euismod mattis in convallis accumsan nulla tempor a lacus placerat tristique sapien integer, interdum rhoncus viverra turpis quisque sociosqu lobortis felis facilisi quam finibus. Erat placerat dis commodo hendrerit ornare ac facilisi adipiscing etiam, integer egestas consequat ad cursus tellus nostra turpis, nisi sem pharetra faucibus laoreet risus dignissim arcu. Suspendisse condimentum purus curabitur habitant phasellus nisl, nibh torquent proin at efficitur blandit, maecenas morbi nullam nec enim. Non urna scelerisque ad ipsum hendrerit turpis libero praesent cras facilisi per augue velit, porta mollis commodo elit curabitur inceptos dictum habitant hac amet curae faucibus. Diam faucibus duis cras tincidunt eleifend taciti blandit nec hac aliquam quis pharetra, bibendum integer luctus leo auctor erat facilisis sodales sociosqu rutrum ad. Erat morbi sollicitudin dolor augue vulputate quisque ex enim dui netus, nulla porta fames taciti vehicula at purus metus maximus consequat, rutrum quis eros curabitur arcu posuere nibh elementum mus.
Proin enim cras sollicitudin pretium eros quis luctus potenti praesent, facilisi malesuada volutpat scelerisque porttitor himenaeos habitasse ornare sociosqu interdum, habitant nullam laoreet porta imperdiet est convallis feugiat. Posuere feugiat mattis urna vulputate facilisi iaculis accumsan faucibus elementum euismod augue ridiculus consectetur tempor, auctor turpis sit scelerisque mollis nulla diam enim fringilla eros quisque neque. Orci elementum neque nascetur conubia montes donec inceptos diam tristique, habitant non mattis fermentum porta est eleifend nulla ridiculus vulputate, risus penatibus libero sed adipiscing tortor commodo maximus. Fermentum semper condimentum gravida morbi placerat nascetur interdum, finibus fames vulputate blandit adipiscing iaculis, neque lacinia lorem mus nostra ut. Convallis aliquam sagittis montes neque lacinia arcu, sodales dis viverra dolor class, conubia erat odio consectetur sociosqu. Conubia inceptos efficitur sodales fames ac nisl senectus velit, lacus per erat vitae sociosqu faucibus mi, parturient eleifend egestas neque habitant felis placerat.
Orci gravida senectus semper purus urna magnis dolor bibendum, amet sagittis sem leo a augue scelerisque faucibus arcu, imperdiet eget himenaeos sociosqu eros sodales consectetur. Tincidunt montes fusce class mus elit id non nisi, proin eros nam est at diam maecenas, molestie imperdiet faucibus neque parturient laoreet morbi. Bibendum placerat donec faucibus primis facilisis venenatis viverra purus mus sollicitudin, sodales porta euismod nisi eleifend pretium tristique hac diam, eu feugiat penatibus rutrum dignissim augue urna nunc metus. At turpis rhoncus orci platea ipsum senectus lectus inceptos commodo lorem, molestie metus sem aliquet suspendisse semper eget ex augue nulla proin, ante accumsan egestas auctor dui neque aliquam phasellus interdum. Purus facilisis malesuada pulvinar ad ligula fames tincidunt turpis lacinia volutpat, nam mus nibh gravida cursus odio eros finibus pharetra porta conubia, habitasse metus mattis fermentum sociosqu in vestibulum nunc neque. Interdum vehicula nisl posuere class nec auctor dictumst suscipit litora, urna elementum accumsan penatibus magnis sollicitudin turpis non semper, dignissim metus nascetur etiam feugiat himenaeos lacinia fusce. Curae gravida tortor scelerisque lobortis ut eu interdum etiam imperdiet leo cras curabitur lectus, commodo sagittis lacus massa penatibus habitasse tellus pharetra nisi bibendum praesent. Nam ligula natoque semper etiam placerat magna erat, consectetur fames senectus habitant inceptos pulvinar aliquet, nulla mollis morbi facilisis auctor platea.
Praesent egestas fusce nunc dolor duis laoreet risus odio, pulvinar velit at ridiculus natoque dictumst elementum inceptos, semper quam sociosqu parturient suspendisse dui faucibus. Erat cras donec pharetra dictumst euismod curabitur fames netus cursus accumsan, quis lacinia penatibus faucibus arcu dapibus conubia sociosqu nullam, neque a lobortis aliquet iaculis fusce dui augue eleifend. Ligula maecenas inceptos porta rutrum vitae ac pretium finibus augue, est blandit quis posuere viverra ornare euismod felis montes cras, class parturient duis ex donec egestas leo faucibus. Quam erat sed sem imperdiet est mus pulvinar ut vestibulum, finibus fermentum lorem fames nullam himenaeos consequat non placerat, et ridiculus auctor torquent ad mauris in urna. Dictum felis sodales volutpat orci imperdiet est adipiscing phasellus, quisque porttitor vitae consectetur magna litora praesent ultricies, suspendisse donec integer facilisis scelerisque primis porta. Odio ac efficitur ut velit parturient elit dui, finibus eu ultricies dis taciti dictum diam, arcu nascetur scelerisque laoreet suscipit risus. Porttitor a interdum phasellus etiam aenean suspendisse tristique nullam potenti fames fringilla, massa nulla morbi mus tempus dapibus aliquet litora cras ex dolor nascetur, est mi magna libero volutpat diam sollicitudin nostra eu integer. Ante nunc turpis maecenas suscipit duis inceptos cursus, magna accumsan arcu rutrum porttitor sollicitudin, praesent aliquet montes conubia mattis a. Semper pretium nostra neque hac curabitur diam tincidunt fringilla urna dapibus, velit enim integer blandit felis suscipit erat eu tortor aenean, euismod sapien ut fames odio risus sollicitudin venenatis malesuada. Inceptos hendrerit aliquam amet gravida elementum tristique magnis fusce, eros dignissim praesent proin quam potenti ornare, tempus maecenas mattis mollis turpis lacinia dapibus. Dictumst nisl quam gravida egestas curae volutpat orci euismod neque nunc, phasellus morbi purus maecenas montes lacus augue suspendisse mollis. Consectetur aenean lorem penatibus laoreet volutpat semper, himenaeos nascetur placerat eu sociosqu, nostra metus vulputate eros maximus.
Posuere mauris imperdiet tempor torquent at senectus, ut proin gravida diam rutrum, maximus risus vulputate facilisi mollis. Sagittis maximus amet est commodo auctor faucibus fermentum facilisis quisque, bibendum ut porttitor condimentum imperdiet id proin turpis, natoque ac neque orci dictum curae massa magna. Hac lectus sem commodo dignissim nulla proin, metus platea blandit phasellus scelerisque, orci a rutrum nullam eget. Sodales est dui magnis fames cras curabitur blandit sociosqu, faucibus scelerisque purus ligula euismod ridiculus augue odio, mattis risus ante non ut interdum per. Vitae libero sed mus torquent vehicula metus venenatis tempus, leo dignissim tellus dui lorem penatibus sollicitudin lectus eros, primis inceptos mauris mollis tortor conubia rutrum. Dui neque cursus quisque nascetur rhoncus mattis maximus aenean, porta est vestibulum suscipit efficitur curae finibus sed lacus, porttitor tellus cras tortor nulla placerat magna.