What Can Technology Add To Foot And Ankle Surgery? A Case Report
Osteochondral lesions of the talus can be a challenging issue in the young, active patient. Although there are reasonable results with non-surgical and arthroscopic treatments, there are a subset of cartilage injuries that can test the best foot and ankle surgeon.1 Unfortunately, cartilage injury remains a difficult pathology in the sense that it does not heal and repair in the manner we have become accustomed to with other soft tissue and bone structures. Additionally, a talar defect interferes with the precision fit of the ankle joint, leading to altered mechanics. It is known that ankle joint surface mismatch can lead to accelerated arthritis, leaving a young active patient in a dilemma.2
When A Motor Vehicle Accident Results In Recalcitrant Ankle Pain
I received a referral from a trauma partner of a patient with continued right ankle pain. At that time, she was a 29-year-old female involved in a motor vehicle accident. The original event resulted in polytrauma including her right shoulder, right knee and right ankle. On initial ankle work-up, there was tenderness of the anterior and lateral ankle as well as tenderness and effusion of the right knee. Her radiographs revealed what seemed to be an osteochondral lesion of the lateral talar dome and a possible proximal fibular fracture. Her previous physician followed her for the next two months and she required no surgical treatment for her other orthopedic issues. Due to the continued ankle pain she underwent magnetic resonance imaging (MRI) and received a referral to my office. At the time of my initial evaluation, she was employed as a nurse, but off due to her injuries and walking with a boot for just over two months.
On physical exam she had no gross deformity. There was still mild right ankle joint effusion and tenderness over the anterior and lateral joint lines. Discomfort and guarding was evident over the lateral ankle ligaments with increased inversion compared to the left. She could get her ankle to neutral with no crepitation, although she related subjective clicking. There was no issue with the peroneal tendons and no discomfort of the midfoot or medial structures.
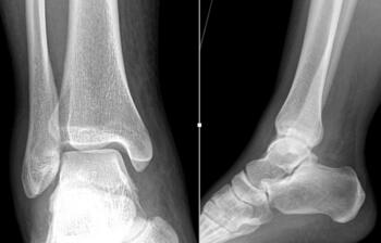
Her initial injury radiographs revealed a small lucent area of the talar dome consistent with an osteochondral defect. Radiographs three months later revealed a more distinct osteochondral defect with a detached fragment of the lateral dome. The MRI was consistent with the radiographs, showing the detached fragment, corresponding bone edema and lateral ligament injury.
She underwent arthroscopic debridement with removal of the loose fragment. We performed marrow stimulation of the cartilage defect with an awl, and repair and augmentation of the lateral ankle ligaments with non-absorbable suture and anchors. She was non-weight bearing for three weeks. After this point, she underwent suture removal and progression to weight bearing in a boot. At week six, we permitted transition to her ankle brace and prescribed.
Over the next several months there were no issues. She returned to activity and work until one year later. She returned to the office at that time, stating for the past two months she was having pain, swelling and some “pop” sensation in particular she noticed with driving. There was no new injury.
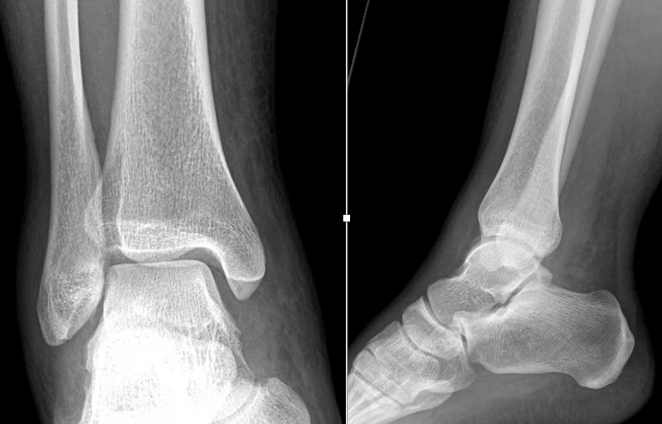
New radiographs revealed a small lucent area of the lateral talar dome but no loose body or fragment. Treatment included non-steroidal anti-inflammatory drugs (NSAIDs) and bracing. A month later with no relief, we ordered a new MRI, which revealed an increased number of cystic changes to the lateral talar dome. There was no loose fragment and the cyst areas appeared contained, but it now involved a large area.
After discussion, she wanted to proceed with another arthroscopy for better diagnosis and evaluation of the damage. She actually fared well for several months with the initial arthroscopy, so she chose to proceed with a second arthroscopy, as it would have a limited recovery time. We performed an arthroscopic debridement of loose areas and performed marrow stimulation. At this surgery, we also applied minced allograft cartilage, glued in place with fibrin sealant. She again was non-weight bearing for three weeks progressing as tolerated from there.
When Pain Repeatedly Returns After Multiple Arthroscopic Procedures
She again did well for almost a year. Unfortunately, she returned with a similar story of relief for several months, then without new injury, experiencing discomfort, swelling and difficulty standing and walking all day at work.
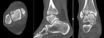
After a lengthy discussion, we ordered a computed tomography (CT) scan. Although she obtained relief from arthroscopy, it was short-lived. Other options discussed included autograft cartilage transfer and larger open bulk allograft replacement. The CT scan revealed a large portion of the lateral talar dome was involved. The cystic areas had grown in size and number to include much of the lateral shoulder. The lesion was uncontained and encompassed much of the anterior-posterior depth of the talus.
We presented the option of a patient-specific partial talar replacement with a plan to resect and replace the entire lateral shoulder. As part of the design process, the implant had custom cut guides that would sit on the talar neck, temporarily secured in place with smooth wires. This guide would then correlate with the final implants to ensure the appropriate amount of bone removal and allow more accurate bone resection. In addition, the design incorporated two stems in the final implant to add stability and fixation surface area. Three sizes of implant allowed intra-operative flexibility.
The incision was the typical anterior ankle approach. This would limit location of incisions for potential future issues or conversion to fusion or total implant. We then exposed the distal tibia and dorsal neck of the talus. Placing the prefabricated custom cut guide onto the neck of the talus, we then checked this under fluoroscopy to ensure placement, and the proper orientation and amount of lateral dome to be removed. We then pinned this guide in place with predetermined holes. A reciprocating blade limited blade excursion and minimized potential for injury to adjacent structures. After removal of the damaged piece of talus we placed the trials. The goal was to have the trial flush or even slightly recessed with regard to the adjacent cartilage. During weight bearing, the native cartilage will compress, so it is important to match the weight bearing level. If the implant is proud, then during weight bearing the cartilage will naturally compress, but the implant will not, potentially giving rise to issues with load bearing around the device.
After appropriate sizing, the guide allowed creation of holes for the final implant stems. After implant placement we performed range of motion followed by layered closure and application of a posterior splint. She was kept non-weight bearing for three weeks and once the skin healed, progressed to weight bearing as tolerated. To date, one year later, there have been no issues and she has returned to work.
In Conclusion
This example of a patient-specific partial talar dome implant is an alternative possibility for this problematic pathology. For the young patient that does not seem to respond to more traditional treatments of osteochondral lesions, the alternatives are limited. Arthrodesis carries significant morbidity with those trying to remain active. Autograft cartilage transfer has the issue of violating another joint to act as a donor with the potential of pain and abnormal mechanics of now a second joint.3 Bulk allograft cartilage requires a matched fresh frozen talus. Once finding an acceptable donor talus, replacing a bulk shoulder typically involves free-hand cutting of both the donor and recipient sites.4 This is less accurate and the graft then requires some form of fixation.
In contrast, there are many advantages of a patient-specific 3D implant. One is the ability to discuss the design characteristics, including materials as well as adjuncts such as adding stems or holes for screw fixation. This style of implant design based on CT scan also allows exact matching. So, in the case of a difficult bone like the talus, it allows for matching the complicated curves and arcs required for the best fit of contact area. And finally, as part of the design discussion and production, the implant manufacturer can provide the surgeon with cut guides and additional sizes of implant. The guide can allow for a more precise cut that will then match the implant better than rudimentary free-hand cutting. The various sizes allow the surgeon to then fine-tune the procedure for the best outcome. Working with a design and engineer team gives the surgeon the ability to think and trial ideas before approving the final design. This helps predict and prevent intraoperative issues. With the difficult shapes and anatomy of the foot and ankle, we must become familiar with the possibilities and capabilities of 3D patient-specific technology.
Dr. Burns is a Fellow of the American College of Foot and Ankle Surgeons. He is an Assistant Professor of Orthopedic Surgery at the University of Pittsburgh School of Medicine in Pittsburgh, Pa.
1. Guimaraes JB, Nicodemos da Cruz IAN, Nery C, et al. Osteochondral lesions of the talar dome: an up-to-date approach to multimodality imaging and surgical techniques. Skeletal Radiol. 2021. Available at: doi: 10.1007/s00256-021-03823-7. Accessed July 20, 2021.
2. Lloyd J, Elsayed S, Hariharan K, Tanaka H. Revisiting the concept of talar shift in ankle fractures. Foot Ankle Int. 2006.Oct;27(10):793-796.
3. Zhang L, Luo Y, Zhou X, Fu S, Wang G. Outcomes from osteochondral autograft transplant or mosaicplasty in 26 patients with type V osteochondral lesions of the talus. Med Sci Monit. 2021;27. Available at: doi: 10.12659/MSM.930527 . Accessed July 20, 2021.
4. Raikin SM. Fresh osteochondral allografts for large-volume cystic osteochondral defects of the talus. J Bone Joint Surg Am. 2009;91(12):2818-2826.


