One Surgeon’s Experience With a Unique Bunion Fixation Option
Hallux valgus surgery has been and will continue to be a large part of all of our practices. The options for surgery are endless, as are the types of surgery.
However, in my experience, the type of fixation and the materials used have only recently advanced in any shape or form. For years, surgical fixation options were limited to metal. Pins, wires, screws, and plates were all made from metal material, either stainless steel, or titanium, or some mixture of the two materials. Metal fixation is not a problem and is not a bad choice in shape or form. In some cases, it is still the only option, but is there a better choice?
Over the past 5 years I have been involved in the design and progress of what I believe is a better option, worthy of sharing with other surgeons.
What the Past Has Taught Us About Bunion Fixation
Over the past 20 years that I have been involved in foot and ankle surgery, fixation options have progressed. As a resident, I observed many surgeons using cerclage wire and K-wire fixation for osteotomy-type bunion surgeries. There was no issue with the surgery, the type of osteotomy performed, and the recovery, but I felt this type of fixation was always a little bit of an issue. Cerclage wiring resulted in a small knob of material, twisted to compress the wire. This spot became a common source of pain and resulted in removal of the wire more often than not, in my observation. Cerclage wiring also didn’t truly allow compression and therefore micro-motion and pain could occur.
K-wire fixation had its own issues. The wire did not allow for compression, and often would come loose or move around, causing pain. When the wire was buried, it often necessitated removal due to irritation. When the K-wire was proud, it did not allow for showering during the postoperative period and sometimes resulted in skin irritation and infection.
I was lucky enough to have many instructors who upgraded to rigid internal fixation in the form of screws. The original screw fixation process was guided by true AO fixation. Drill, over-drill, countersink, measure, tap, and place the screw. This process was time-consuming, and the screws were large and also often necessitated removal due to irritation. True AO technique suggested all metal be removed as it could be an irritant or cause pain and problems.1 Over the course of my residency, screw fixation advanced to better materials that did not cause a heavy metal signal on imaging, including titanium. The screws also became cannulated, which reduced the difficulty of screw drilling and placement. Cannulated screws also advanced to be self-drilling and self-tapping, which helped reduce the time for placement. It was so much better but I still often found it necessary to remove the hardware due to irritation or pain.
As I entered practice, I noticed that screws got smaller and easier to use. Multiple companies improved fixation techniques and materials. The only problem was some patients would still have pain. Why did they hurt when the fixation looked solid and the bone was perfectly aligned? When I would go in to remove the screw as a source of pain, often it was spinning and not grabbing bone. There was some synovitis around the screw head and some scar formation around the screw region. Could the screws and metal actually be an irritant? Why was the screw not solid and “floating” in the bone?
Developing a New Fixation Tool
About 5 years ago, a friend introduced me to a very smart biomedical engineer who had produced a material that could be made into screws, pins, nails, plates, and anchors that was biointegrative and didn’t absorb into the bone, but actually blended with it. Over the course of a year, we started working on using this material to create screws and nails. The material, a combination of an all-natural fiber and calcium phosphate, a naturally occurring material in bone, I found was super solid, easy to work with and could be made to be stronger than bone or metal. Over time, in my experience, the material would integrate into bone and be replaced naturally by the body with bone.
What was most interesting was the material would slowly weaken based on the ratio of fiber to calcium phosphate used and how dense the material was pressed. In my observation, the weakening could be controlled according to the time at which we wanted the material to hold less stress and the bone could handle more stress.
What was as important as the quality of the fixation was making sure the material actually incorporated and became bone. The material couldn’t cause an adverse reaction or cystic changes that had been seen with bioabsorbable materials and it needed to become stronger over time not weaker like a spinning screw. Was that possible? Over 3 years, the company worked to do animal studies that showed minimal to no reaction from the material, complete incorporation and replacement with bone and actual increase in strength as the material incorporated into the surrounding bone resulting in added stability.2
The ideal product needed to be easy to work with, strong, simple to insert, and not require removal other than under unusual circumstances. The fixation needed to be solid and it needed not to cause an inflammatory reaction. I think we had a winning material, and now it was time to design the ideal fixation style.
A Closer Look at the Fixation Device
Although I grew up on screw fixation, I realize that screws are not the only fixation system possible. I had begun to use compression Nitnol staples and loved them. If fixation could be compressive, stable, and grow into the surrounding bone, adding stability, did it need to be a screw? Over a period of 6 months, I began to work with the company on designing a technique to make a hexagonal nail that felt as easy to place as a pin, had the rigidity and solidness of a screw, and allowed for solid fixation.
The Bio-Integrative OSSIOfiber Trimmable Fixation Nail (OSSIO) was made to be as rigid as a screw, trimmable to be flush with the bone, and offer a form of compression unlike a screw but just as stable in my hands. What was more the nail needed to require very few steps to place. Place a pin, drill over the pin, and place the nail. The nail could be placed and trimmed flush if only one cortex was drilled or it could be measured like a screw, trimmed, and inserted according to the right length for bicortical fixation options.
My Personal Experience and Thoughts
First of all, I don’t want to say screws are bad. Screws are amazing addition to orthopedics and advanced the field immensely. That being said, my goal during my entire career has been to advance the field of podiatry and foot and ankle surgery as much as I can, and I find this new nail to be an ideal material and fixation system. In my experience, it is as solid as a screw on insertion, it is trimmable to the exact bone edges, and it incorporates and becomes bone, which also allows additional strength and stability as it integrates. This nail causes little to no inflammatory reaction on insertion or integration, does not loosen over time and does not cause any form of a burst reaction or cystic changes, in my observation.
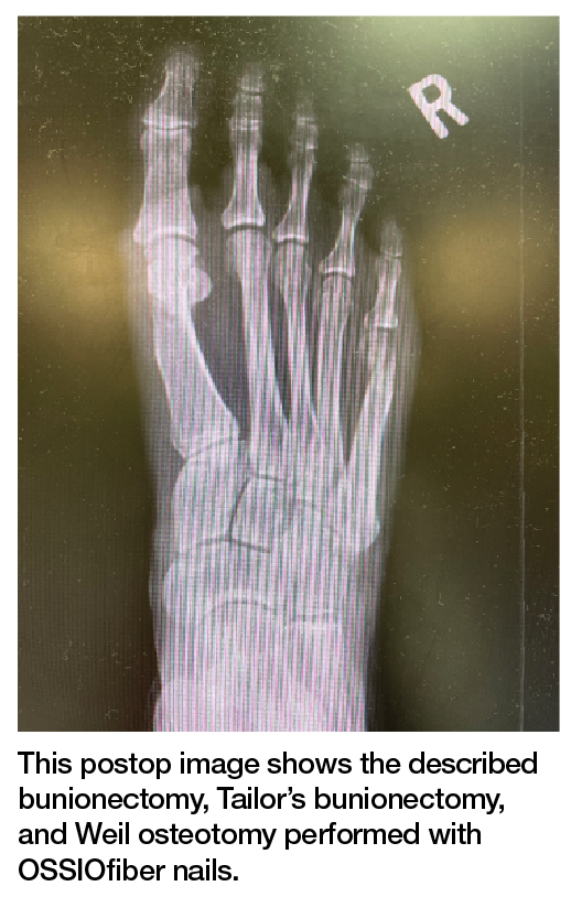
So now what? What type of procedure is ideal for this nail? I have come down to 3 types of osteotomies that I prefer to perform with this system. The first and workhorse for me is a long-arm offset V osteotomy. Perform the osteotomy with a longer dorsal arm, which allows two points of fixation and bicortical fixation. The shift of the eminence can also be pushed a bit further lateral due to the long arm’s increased surface area and contact surface. Achieve fixation by placing two K-wires into the osteotomy bicortically from dorsal to plantar. I find that the depth of the pin is not important. Make a single drill hole with a cannulated drill over the first wire. Measure the length of the drill hole, trim the pin to length with a saw, place the pin into the drill hole, and press fit. Repeat the process with the second pin. What I have found is that the barbs on the nail and the hexagonal shape allow for compression during placement and the compression holds. The osteotomy is inherently stable, and the nails allow stability in multiple planes which, in my experience, allows for immediate weight-bearing.
The second type of osteotomy is an L-style osteotomy for decompression, plantarflexion, and cartilage angulation correction needs. This type of osteotomy is again inherently stable but the intermetatarsal angle correction cannot be pushed as far. However, I find it is easier to correct cartilage rotation and plantarflex an elevated metatarsal. Fixation is done through one dorsal-to-plantar and proximal-to-distal pin, much like a screw. I place a second pin from medial-to-lateral and proximal-to-distal to reduce rotation and angulation. The placement is slightly different in that the two pins are placed, drilling is unicortical, not bicortical, and measuring is not necessary. Place the pins until they hit the distal cortex and the cut flush to the bone.
A third type of osteotomy is new for me, a work in progress and is minimally invasive. Perform the osteotomy through a small keyhole incision under fluoroscopic guidance. After making and shifting the osteotomy, I achieve fixation with one 4.0 mm OSSIO screw and one nail. This allows for solid fixation and stability, but is still a work in progress in my practice. I believe this system will be outstanding for minimally invasive fixation but in my opinion, needs some work to make it foolproof. Stay tuned.
Over the course of about 3 years, I have performed hundreds of osteotomies and fixated them with this innovative nail system. I have had one failure to date on a patient with severely osteoporotic bone who removed her boot immediately after surgery—only one failure. I have had zero inflammatory reactions, zero hardware removals or irritations and zero reactions to the material. What is of further interest is that I find the bone seems to heal faster than with metal fixation. At around 4 weeks, the bone looks solid and fully healed on radiographs. I don’t know why or how, but anecdotally, it does. That was not the case with screws for me. The bone looks compressed and stable and fast-healing.
In Conclusion
Bunion surgery has evolved and advanced over time. I believe the time for biointegrative fixation is now, and the described nail may be the perfect fixation system for foot and ankle surgery. Over time, I expect this company will introduce more screws, nails, plates, staples, and soft tissue fixation options. I find the material to be incredible, and I believe it has the potential to transform orthopedic fixation. For now, we will continue to work towards advancing this osteotomy fixation system with further fixation options.
Dr. Baravarian is an Assistant Clinical Professor at the UCLA School of Medicine. He is the Director and Fellowship Director at the University Foot and Ankle Institute in Los Angeles.
References
1. Vos D, Hanson B, Verhofstad M. Implant removal of osteosynthesis: the Dutch practice. Results of a survey. J Trauma Manag Outcomes. 2012;6:6.
2. Pre-clinical animal studies (in-bone implantation of OSSIOfiber™ and PLDLA control in rabbit femurs). Data on File at OSSIO.


