Reviewing 30 Years of Cases of Idiopathic Hallux Varus
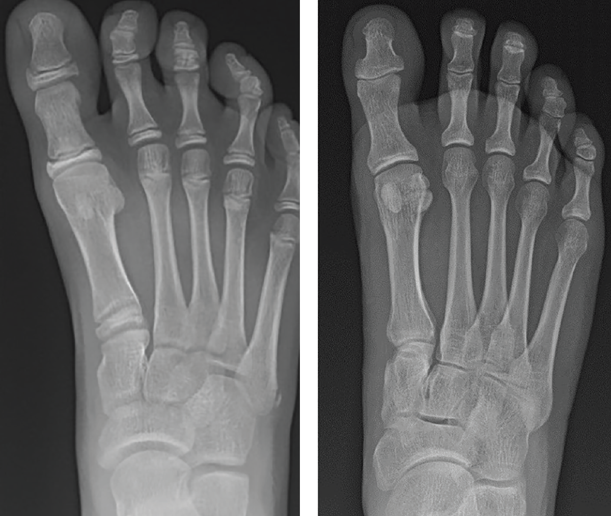
The literature traditionally presents idiopathic hallux varus as a rare clinical entity.1,2 Unfortunately, there is currently a paucity of literature related to idiopathic hallux varus, with iatrogenic hallux varus appearing more frequently in publications. Over 30 years of tracking clinical and radiographic cases, I have amassed encounters of over 700 cases of idiopathic hallux varus. We have catalogued 153 cases within our radiographic database at Ft. Leonard Wood in the last 5 years. Many would think hallux varus to be a severe deformity (see left two images below), but in reality, most of what we all tend to see is less extreme (see right image below).
Hallux varus clinically appears at the first metatarsophalangeal joint (MTPJ), with the hallux deviated medially on the first metatarsal head. A varus rotational component may also be present, along with flexion at the interphalangeal joint. The condition can lead to degenerative arthrosis and loss of motion at the first MTPJ. This can be due to muscle-tendon imbalance, where the pull of the abductor hallucis favors the medial head of the flexor hallucis brevis, creating a varus deforming force.3 Other non-iatrogenic factors contributing to its occurrence include a long or short first metatarsal segment, a rounded first metatarsal head, an abnormally low first-second intermetatarsal angle, and ligamentous laxity.
This malalignment can occur purely in the transverse plane, with adduction of the hallux. It can also occur in combination with deformity in the frontal and/or sagittal planes. Vanore and colleagues stated that progressive adduction of the great toe influences the lesser toes, which may also develop severe adductus deformities.4 Ironically, within our database, very few cases revealed significant metadductus or negative intermetatarsal angles that we so often associate with iatrogenic hallux varus. I would also refer readers to a recent Treatment Dilemmas column by Bob Baravarian, DPM, FACFAS in the January 2021 issue of Podiatry Today.5
Forefoot deformity may result in compensatory rearfoot supination with lateral metatarsal overload.4 Ultimately, as a result of the compensation, I have seen 500+ cases of hallux varus in adults over the years that present with plantar fasciitis. Very few patients with hallux varus that I see ever present with first MTPJ pain unless they have hallux limitus/rigidus, often linked to elevated first rays, medial column instability, or naviculo-cuneiform instability.
Understanding Etiology and Comorbid Conditions
Upon reviewing the cases within my personal collection, the one theme that we almost always see is that these cases have concomitant pes cavus and/or calcaneal varus. In our experience, it is an extreme rarity to see a collapsed flatfoot deformity associated with hallux varus. Calcaneal valgus instead tended to present with a skewfoot or severe metadductus and hallux valgus with medial column collapse and always involved a geriatric patient. We see hallux varus in all ages and races, however, from a demographics standpoint. Since our database involves military beneficiaries, most were children, teenagers, or soldiers.
Hallux varus is rarely congenital. Flexible hallux varus may be present in newborns and reflects their intrauterine positioning. It usually corrects to valgus in early childhood when walking begins.4 Congenital hallux varus is usually due to connective tissue disorders. It can also have an association with Down syndrome and neuromuscular disorders, and divides into primary and secondary pathologic deformities. Primary hallux varus is rare and related to an overactive abductor hallucis, which we often see associated with metadductus and often remains post casting. Those cases are straightforward to spot; stroke the abductor muscle and the hallux will adduct. Many of those cases with the so-called “spastic” abductor will require a simple abductor release.
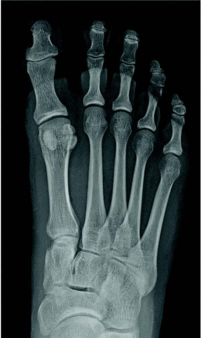
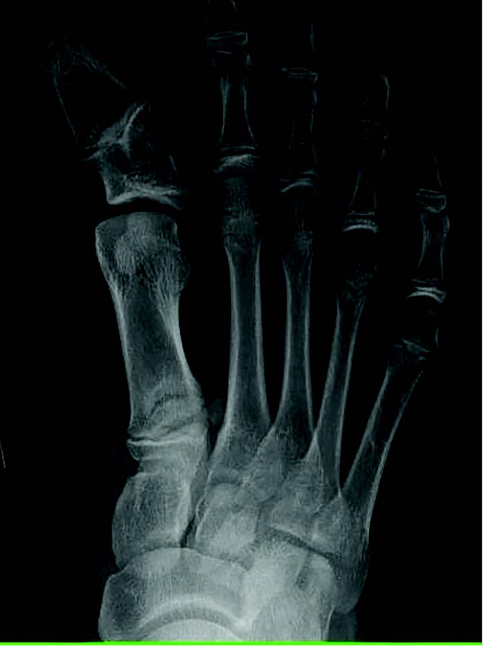
Secondary hallux varus typically relates to great toe polydactyly, a delta phalanx, longitudinal epiphyseal bracket syndrome, and metatarsus adductus (see images above).6 Historically, there is also mention of a tertiary type, associated with severe skeletal abnormalities such as diastrophic dwarfism.7 Unfortunately, the literature is sparse regarding pediatric hallux varus, but within my pediatric population we see kids developing hallux varus who do not have a history of metadductus or even a spastic abductor (see images below).
Cho and team noted that non-iatrogenic adult-acquired hallux varus usually occurs with an inflammatory arthropathy, such as psoriatic or rheumatoid arthritis.8 Everyone has seen a patient with rheumatoid arthritis and a significant hallux valgus deformity, but in our experience, it is not infrequent to see hallux varus develop, especially when avascular necrosis of the first metatarsal head is present. More often, the medial head of the first metatarsal dies, leading to the hallux drifting into varus.This causes distension of the joint capsule, destroying the articular surface due to laxity of the collateral ligaments, intrinsic muscular contracture, and pannus. Spontaneous hallux varus is usually an incidental finding. The cause is not usually demonstrable and has links to sesamoid injuries. The incidence rates of idiopathic, congenital/infantile, traumatic, and otherwise acquired hallux varus is unknown.8
A Closer Look at the Clinical Findings of Hallux Varus
Typically, the hallux valgus angle is 5-15 degrees. In hallux varus, the angle is less than 5 degrees, and is most notably seen when less than 0 degrees. There is also a reduced intermetatarsal angle between the first and second metatarsals. Medial subluxation of the tibial sesamoid are also possible, as are degenerative changes at the MTPJ or IPJ. According to a 1997 article published by Alfred Philips, DPM, a negative PASA (proximal articular set angle) is present in untreated congenital hallux varus cases. This is occurs secondary to osseous adaptation to the tight abductor hallucis tendon.7
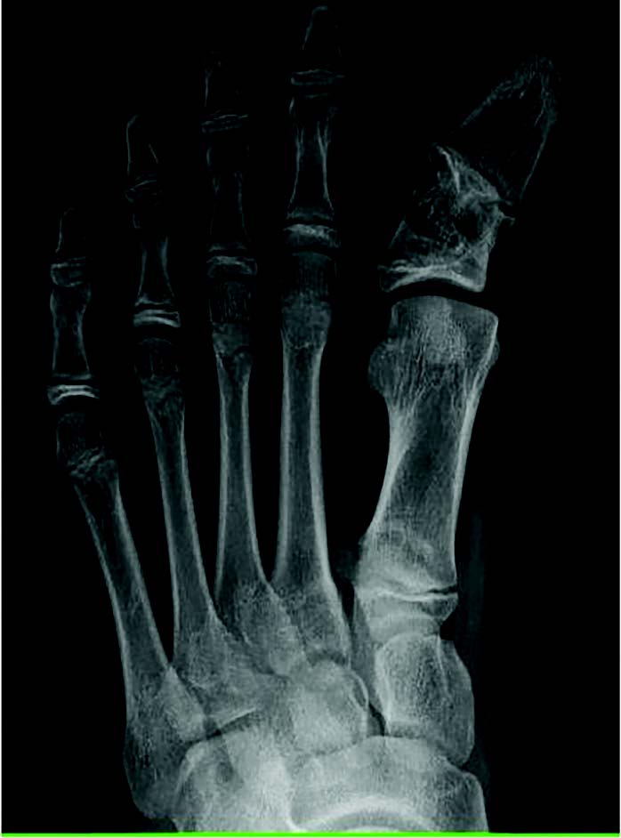
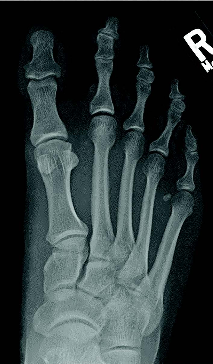
Within our database, to date, we have not seen a negative intermetatarsal angle in any idiopathic hallux varus case. We routinely see normal intermetatarsal angles and often see some greater than 10 degrees. We routinely see normal sesamoid positions. In our experience, the deformity is almost always a negative PASA deformity. For iatrogenic, it seems like everyone focuses on the sesamoids, but there can be multiple permutations of sesamoid shape, position, or even lack of sesamoids. I then wondered if metatarsal length played a role, but my archives show multiple cases with short and long first metatarsals (see images below). All have the same etiology, incongruent first MTPJ, and negative PASA.
Through the years of reviewing X-rays, we first look at the hallux abduction angle. When I see a rectus or adducted hallux, I will then use a digital measuring tool to measure, PASA, DASA, hallux abductus, and IM angles. Over the years, cataloging these deformities has become easier thanks to the Agfa Healthcare IMPAX DICOM system that we can use at Ft. Bragg and Ft. Leonard Wood.
Patients with hallux varus are often asymptomatic. In our experience, the pain usually indicates underlying joint arthritis or trauma. The patient may also complain of decreased range of motion, instability, or push-off weakness. The deformity may become poorly tolerated when it interferes with shoe gear fit or causes pain. Shoe pressure on the adducted great toe may result in an ingrown toenail.4 If left untreated, the condition can lead to motion loss and degenerative arthrosis of the first MTPJ.2 A majority of patients seen by myself over the years presented with plantar fasciitis. Those who actually presented with first MTPJ pain had elevated medial columns and essentially functional hallux limitus/rigidus.
Examining the Surgical Approach to Cases of Hallux Varus
For cases symptomatic enough to warrant surgery, deformity correction should address the primary deformity. If the metatarsal is long, it needs to be shortened. If the metatarsal is elevated, then lower it. If the column is unstable, make it stable. If the PASA is negative, then perform a reverse Reverdin. I rarely needed to do a metatarsal osteotomy to increase the intermetatarsal angle, to perform a phalangeal osteotomy to correct DASA, or address metadductus deformity.
The hardest foot to deal with is when all the toes follow the hallux into adduction. More times than not, those cases with significant metadductus and calcaneal varus will require a Dwyer calcaneal osteotomy and could even require a Mosca (opening medial cuneiform and closing cuboid osteotomy) to address the severe metadductus. However, addressing the deviated toes at all the MTPJs is not the most fun thing for the patient or surgeon, as there is no clear best approach. Do we need to release the medial capsule or tighten the lateral capsule? Do we need to do a plantar plate-style repair or a rotating Weil osteotomy to address the abnormal metatarsal head deviation? Regardless, results will vary and it is somewhat unpredictable as to which option will solve the adduction. There is no perfect treatment option, thus we will all likely see failures over time. It may stay straight for a year, but I personally blame the rearfoot for pushing the toes back into adduction. Thus, it is vital to address the midfoot and rearfoot when indicated.
In Closing
Ultimately, if you feel you do not see hallux varus, I assure you it is walking into your office and is often not visible until one looks at weight-bearing X-rays. It may be subtle, but it is far more frequent than current reports suggest. More often, the patient presents with another condition, like plantar fasciitis, that should now raise our index of suspicion.
Dr. Spitalny is Adjunct Faculty at SSM DePaul Podiatry Residency in St. Louis, MO and Staff at GLWACH in Ft. Leonard Wood, MO.
Dr. Mehta is a third-year resident at SSM DePaul Podiatry Residency in St. Louis, MO.
1. Lui TH. Correction of idiopathic adult hallux varus by tendon transfer. J Foot Ankle Surg. 2015;54(6):1197–1201. https://doi.org/10.1053/j.jfas.2015.06.012
2. Plovanich EJ, Donnenwerth MP, Abicht, BP, Borkosky S, Jacobs PM, Roukis TS. Failure after soft-tissue release with tendon transfer for flexible iatrogenic hallux varus: a systematic review. J Foot Ankle Surg. 2012;51(2):195–197. https://doi.org/10.1053/j.jfas.2011.11.006
3. Judge M. Hallux Varus. In: McGlamrys Comprehensive Textbook of Foot and Ankle Surgery (4th ed) Lippincott, Williams & Wilkins;2013:461-470.
4. Vanore JV, Christensen JC, Kravitz SR, et al. Diagnosis and treatment of first metatarsophalangeal joint disorders. section 3: hallux varus. J Foot Ankle Surg. 2003;42(3):137–142. https://doi.org/10.1016/s1067-2516(03)70016-7
5.Baravarian B. Hallux varus: thoughts from one surgeon on a preferred pathway. Podiatry Today. 2022:35(1). Available at: https://www.hmpgloballearningnetwork.com/site/podiatry/treatment-dilemmas/hallux-varus-thoughts-one-surgeon-preferred-pathway . Accessed February 8, 2022.
6. Munir U, Mabrouk A, Morgan S. Hallux Varus. In: StatPearls [Internet]. StatPearls Publishing;2021. Available at: https://www.ncbi.nlm.nih.gov/books/NBK470261/ . Accessed February 3, 2022.
7. Phillips AJ. Hallux varus: congenital vs. acquired. Podiatry Institute 1997 Update. Available at: http://www.podiatryinstitute.com/pdfs/Update_1997/1997_10.pdf. Accessed February 3, 2022.
8. Cho SY, Kim YC, Choi JW. Epidemiology and bone-related comorbidities of ingrown nail: a nationwide population-based study. J Dermatol. 2018;45(12):1418–1424. https://doi.org/10.1111/1346-8138.14659
9. Zirngibl B, Grifka J, Baier C, Götz J. [Hallux valgus : Etiology, diagnosis, and therapeutic principles]. Orthopade. 2017;46(3):283-296.


