Study: Dual Crossed Screws Effective For First MPJ Arthrodesis
A new study in the Journal of Foot and Ankle Surgery concludes that fixation with dual crossed screws can lead to successful arthrodesis for the first metatarsophalangeal joint (MPJ).
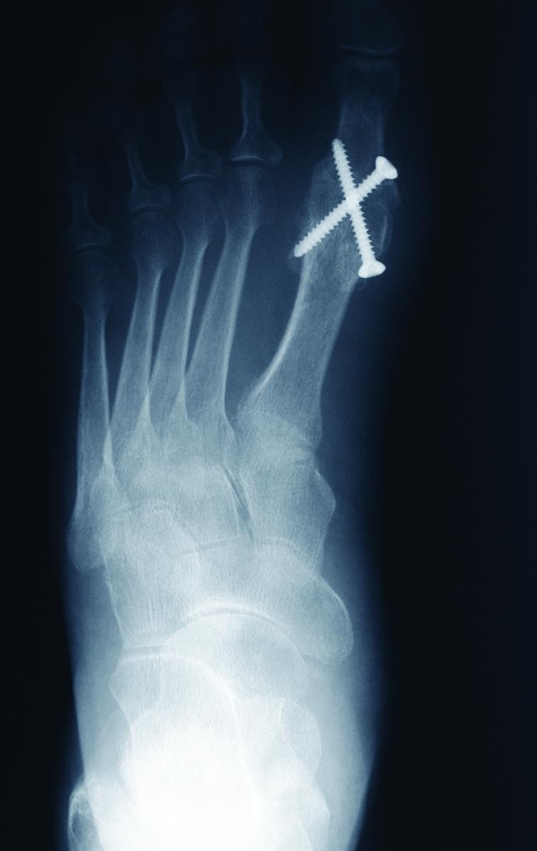
Researchers focused on 262 feet in 228 patients who had first MPJ fusion fixated with dual crossed 3.0 mm screws. The study authors achieved successful arthrodesis in 252 feet and noted that the mean time to radiographic evidence of arthrodesis was seven weeks. Two hundred patients reported little to no pain with 173 reporting that they were able to wear any type of shoe after surgery, according to the study.
Study co-author Peter Blume, DPM, FACFAS, cites several advantages of dual crossed screw fixation over other methods, including that dual crossed screws allow for uniform compression across the first MPJ. He also notes a few pros of using screws without a plate, such as a reduction of surgical time and that patients can typically walk two weeks after surgery in a controlled ankle motion boot due to the rigid fixation of the dual screw method.
Furthermore, fixation with a plate can become a source of skin irritation, necessitating its removal, according to Dr. Blume, an Assistant Clinical Professor of Surgery in the Department of Surgery and an Assistant Clinical Professor of Orthopaedics and Rehabilitation in the Department of Orthopaedics, Section of Podiatric Surgery at the Yale University School of Medicine in New Haven, Ct. He also notes that with dual crossed screws, surgeons place wires across the joint and then advance a cannulated screw over the wire in position and confirm placement with intraoperative fluoroscopic guidance.
As Patrick DeHeer, DPM, FACFAS, notes, crossed screws are less expensive than procedure-specific plates and locking screws, and are more stable and less expensive than staples.
Although the literature shows mixed results, generally, crossed screws are less stable than locking plates with compression screws, notes Dr. DeHeer, a Diplomate of the American Board of Podiatric Surgery, who is in private practice in Indianapolis. Additionally, he says research has shown crossed screws to have higher non-union rates than locking plates with compression screws.
However, Dr. DeHeer adds that crossed screws can be an effective method of fixation for numerous hindfoot and midfoot arthrodesis procedures.
Dual crossed screw fixation is most effective in patients with deformities of the first MPJ with enough bone stock to allow for compression with two screw fixation, maintains Dr. Blume. In addition, he says the two screw fixation can be effective for Lapidus-type procedures, calcaneocuboid joint arthrodesis and midfoot fusions. However, Dr. Blume notes that if the patient has very osteoporotic bone or large bone cysts, a plate would provide a stronger construct than dual crossed screws.
Editor’s note: For further reading, see “Point-Counterpoint: Locking Plates Or Staples: What Is The Best Fixation For First MPJ Arthrodesis?” in the May 2017 issue of Podiatry Today or “First MPJ Arthrodesis: What The Evidence Reveals” in the September 2013 issue.
Founding Dean Harkless To Retire From Western University
By Brian McCurdy, Managing Editor
After a career that includes being Founding Dean of the Western University of Health Sciences College of Podiatric Medicine, Lawrence B. Harkless, DPM, FACFAS, MAPWCA, will retire on June 30.
Dr. Harkless arrived at the Pomona, Calif., school in 2007 after being the Podiatry Chair and Residency Director at the University of Texas Health Science Center in San Antonio. Western University notes that he has trained over 1,000 students and 200 residents during his career.
Dr. Harkless says he is proud that he has been able to establish a new school with an innovative curriculum, a school that has now graduated five classes of podiatrists. He notes the Western University studies are more case-based rather than lecture-based, saying students learn more when they can apply their skills.
“People who like to learn are always going to be leaders at what they do,” says Dr. Harkless.
Graduating students should acknowledge what’s expected of them, pay attention, pursue mastery and claim ownership, advises Dr. Harkless. At the school, he would convene monthly town hall meetings, where he would address the concerns of students and faculty. Dr. Harkless notes students appreciated the town halls and also appreciated that he was accessible and willing to talk to them.
“I think that immortality can have a proxy. It’s what you instill in others that defines your legacy,” says David G. Armstrong, DPM, MD, PhD, the Director of the Southern Arizona Limb Salvage Alliance and a University Distinguished Outreach Professor of Surgery at the University of Arizona Medical Center in Tucson, Ariz. “In that way, I can think of no one in the history of our specialty who has done more than Dean Harkless. This is a great and good man who will continue to do great things. I can’t wait to find out what’s next.”
What’s next? Dr. Harkless will now be working on residency development and supporting the podiatry profession, supporting the recruiting of more podiatry students and emphasizing the importance of passion for the profession.
“Dr. Harkless leads by example,” says Alexander Reyzelman, DPM, an Associate Professor at the California School of Podiatric Medicine at Samuel Merritt University. “Unlike most administrators, he loves to get his hands wet. He practices what he preaches. He gets up early and leaves late. He loves podiatry and works tirelessly to elevate our profession. He’s one of the most motivational individuals I have ever met. He infects students with his passion and drives them to be the best they can be.”
Dr. Harkless recalls that he left practice in 1993 to go into academia, following his heart to serve.
“Service is the price we pay for the space we occupy,” says Dr. Harkless. “I’ve had a great career and I’ve done everything I needed to do.”
Weighing Steroid Injections Versus PRP For Heel Pain
By Brian McCurdy, Managing Editor
For patients with heel pain, how effective are steroid injections and how effective is platelet rich plasma (PRP)?
As Brian Fullem, DPM, notes, steroids will work almost immediately and evidence-based medicine shows that corticosteroids are a good short-term treatment for plantar fasciitis. He has found more success in using steroids early in the treatment course and finds injectable steroids more effective. For pain present for longer than three months, corticosteroids appear to have a less dramatic effect, according to Dr. Fullem, a Fellow of the American Academy of Podiatric Sports Medicine, who is in private practice in Clearwater, Fla.
Bob Baravarian, DPM, also usually uses steroids in early cases of heel pain that have been present for less than a month. He will first try physical therapy but if it is not working, he adds one steroid injection. Dr. Baravarian says more than one steroid injection makes no sense as the first injection will eliminate the inflammation. Steroids are more effective early in the course of plantar fasciitis and not for those with chronic heel pain, notes Dr. Baravarian, an Assistant Clinical Professor at the UCLA School of Medicine, and the Director and Fellowship Director of University Foot and Ankle Institute in Los Angeles.
Platelet rich plasma increases the body’s own response to injury and allows true healing, not just a decrease of inflammation, notes Dr. Baravarian. He has started using PRP earlier and earlier in the course of heel pain treatment. In contrast, Dr. Fullem does not use PRP for heel pain, saying no study yet shows that platelet rich plasma is better than placebo.
For plantar fasciitis, Dr. Baravarian will initially try insoles or orthotics and home exercises. If patients have pain after a month, he will try steroid injections. If patients still have pain for many months to years, Dr. Baravarian will use PRP.
“The medical evidence about the effectiveness of extracorporeal shockwave therapy for heel pain is overwhelming and that is my go-to treatment for heel pain,” says Dr. Fullem.
Editor’s note: “PRP vs. Steroids for Heel Pain,” a point-counterpoint debate, is on the agenda for the inaugural Advance by Podiatry Today conference October 13 to 15 in Chicago. To register for Advance by Podiatry Today, visit www.podiatrytoday.com/advance .


