Study Assesses Minimally Invasive Osteotomy For Hallux Valgus
By Brian McCurdy, Managing Editor
For years, surgeons have used minimally invasive techniques for various types of surgery. A recent study in International Orthopaedics says a third-generation minimally invasive technique shows good results for hallux valgus.
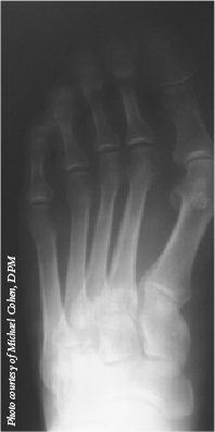
In a study involving 45 feet of patients with hallux valgus, the authors assessed a third-generation minimally invasive chevron osteotomy procedure that incorporated first- and second-generation techniques plus a distal chevron osteotomy and screw. This technique facilitated improved control and metatarsal head stabilization, according to the study. At a minimum six-month follow-up, patients’ mean hallux valgus angle had decreased from 30.54 degrees to 10.41 degrees. The study authors noted that shortening the first metatarsal did not affect clinical outcomes and patients had a low complication rate.
Stephen Barrett, DPM, FACFAS, says the study’s “sophisticated” procedure seems valid as it incorporates a distal metaphyseal osteotomy performed with a minimally invasive incision in combination with the SERI Surgical Scaffold technique, and the use of an internal fixation screw to stabilize the first metatarsal osteotomy.
In contrast, Noman Siddiqui, DPM, feels the study’s surgical technique does not have any added advantage to the method that he and several other researchers have described. (See “Emerging Insights On Minimally Invasive Hallux Valgus Correction” in the September 2014 issue of Podiatry Today.)
In regard to a learning curve, Dr. Siddiqui says surgeons must overcome their bias against the minimally invasive procedure and be comfortable with percutaneous dissection, anatomy and fixation techniques. Dr. Siddiqui also emphasizes that patient selection is critical. He adds that following the minimally invasive technique described by various authors and resisting modification/variation when first starting to perform the procedure will reduce the time and increase the comfort for surgeons in selecting minimally invasive techniques in hallux valgus correction.
“These types of procedures have an extremely steep learning curve and require additional training after implementation of the fundamental minimally invasive surgery technique,” notes Dr. Barrett, an Adjunct Professor in the Arizona Podiatric Medical Program at the Midwestern University College of Health Sciences.
Dr. Barrett says there are patients who could have this type of minimally invasive surgery as open surgery may not be indicated. As with any surgery, if there is any vascular compromise, vocational demands that would prohibit ideal postoperative management or any other normal complication, he cautions this procedure would not be indicated.
Dr. Barrett notes that patients do very well in the long term with minimally invasive surgery and when rotating in Europe, he had seen patients do well up to five years post-op.
Dr. Siddiqui, the Medical Director of Diabetic Limb Preservation at LifeBridge Health in Baltimore and the Division Chief of Podiatry at Northwest Hospital in Baltimore, would not recommend the study technique as a revisional hallux valgus operation. He also would not perform this procedure on rigid arthritic joints, advises caution with smokers and would be cautious in performing the minimally invasive operation in individuals whose great toe cannot have passive intraoperative reduction.
Although the technique in the study appears sound, Dr. Siddiqui is concerned about the authors’ advocated adductor release. As he notes, recent studies do not recommend an adductor or any additional soft tissue release. Dr. Siddiqui feels an additional soft tissue release could destabilize the joint and possibly increase the likelihood of hallux varus.
Do Medicaid Cuts In Arizona Raise Hospitalization Costs For DFUs?
By Brian McCurdy, Managing Editor
In an effort to cut down on healthcare costs, Arizona ended Medicaid reimbursement to podiatrists in 2010. A research report in Diabetes Care suggests such budget cuts may actually be leading to increased healthcare costs overall as more patients end up in the hospital with diabetic foot infections.
The report focuses on in-patient discharge records from 2006 to 2011 that were associated with Arizona Medicaid patients with diabetic foot ulcers. Researchers note that in 2010, the state canceled Medicaid coverage to podiatrists to save an estimated $351,000. The report concludes that for every $1 saved by eliminating reimbursement to DPMs, there was a $48 increase in hospitalization charges, adding up to $16.7 million more annually in hospitalizations.
Since the changes to Medicaid, William Fishco, DPM, FACFAS, notes a delay in treatments leading to more urgent interventions such as incision and drainage procedures and amputations. Dr. Fishco says has had phone calls from longtime patients in the hospital and he cannot treat them because of insurance exclusion for podiatry services.
“The typical phone call is a frantic patient telling me that the hospital doctors want to remove my foot and what should I do?” recalls Dr. Fishco, who is in private practice in Phoenix.
There are other reasons for delays in treatment. For example, a primary care physician may refer a Medicaid patient to Dr. Fishco for ulcer care. As he says, patients call and his office tells them that their insurance company will not pay the practice to see them. The patient then gets a referral to orthopedics and he notes orthopedics tells patients they need to see a podiatrist, not knowing about the exclusion of services. “So the frustrated patient gets bounced around until things are so bad, they wind up in the emergency room,” says Dr. Fishco.
David G. Armstrong, DPM, MD, PhD, a co-author of the research report, suggests that to change the law in Arizona, podiatrists and other physicians or specialists can work with their state legislatures just like those in California have. He believes if DPMs can just be classified as surgeons as under Medicare law (Title 19), then Medicaid costs would be a moot point as it would no longer be an “optional” service.
Dr. Fishco speculates that greater emphasis on primary care and prevention is the ultimate key to reducing Medicaid costs to treating complications of diabetes. He notes one can prevent diabetic foot wounds with proper screenings and patient education, saying all patients with diabetes need a PCP to examine their feet regularly and every patient with diabetes should have a podiatrist. Personally, Dr. Fishco sees his patients with diabetes who are at low risk for foot-related complications annually for an examination and high-risk patients present every two to three months. Prevention of complications is the only way to save money in the healthcare system over the long run, notes Dr. Fishco, a faculty member of the Podiatry Institute.
“Unfortunately, I think this is a very difficult time in the state of Arizona,” says Dr. Armstrong, a Professor of Surgery at the University of Arizona College of Medicine and the Director of the Southern Arizona Limb Salvage Alliance (SALSA). “The best that we can do on our end is continue reporting on these data in the best manner possible and keep up the good fight on the part of our patients because when people say their feet are killing them, in this case, they may be right.”
Hospital Data Shows Decrease In Diabetic Foot Infections
By Brian McCurdy, Managing Editor
Although the prevalence of diabetes continues to rise in the United States, a study abstract recently presented at the Interscience Conference on Antimicrobial Agents and Chemotherapy says diabetic foot infections have declined in recent years.
The authors surveyed the U.S. National Hospital Discharge Surveys from 1996 to 2010 with a total of 1,059,552 diabetic foot infection discharges. The abstract notes the incidence of diabetic foot infection decreased steadily from 1996 (2.3 infections per 100 diabetes discharges) to 2010 (1.1 infections per 100 diabetes discharges) while the total number of infection-related discharges per year also decreased by 11 percent from 1996 to 2010.
At his tertiary referral center, Paul Kim, DPM, MS, says if anything, he is seeing an increase in bacterial species that he had not seen before. He says this includes various types of antibiotic resistant Pseudomonas. Cautioning that the study abstract has not been vetted through the peer review process, Dr. Kim speculates that an increased awareness of preventative care/screening for at-risk patients could contribute to declining numbers. Therefore, the pre-ulceration or relatively uncomplicated superficial ulcer does not advance to an infection that leads to hospitalization, according to Dr. Kim, an Associate Professor at the Georgetown University School of Medicine.
What should clinicians focus on to further decrease the incidence of diabetic foot infection? Dr. Kim supports early identification and aggressive management of the at-risk diabetic foot. He also suggests that further research should entail interventional outcomes research focused on surrogate endpoints such as how to improve the quality of life rather than wound measurements.


