Treating Hallux Limitus in Athletes
Over the years, our thinking regarding hallux limitus has certainly evolved. Far too often we focused so much on the condition that we ignored how we got there. I surely know a lot more now than I did as a student or as a resident. Hallux limitus in athletes is not only common, but can overwhelm a sports-oriented practice, just as it has done in my 30-year career with the military.1 We not only see patients with symptoms in the first metatarsophalangeal joint (MTPJ), but many present with everything from plantar fasciitis to posterior tibial tendonitis, metatarsalgia, ankle pain, and more.
Hallux limitus is not just a condition—it is a functional problem that can and often does lead to a cascade of compensatory issues. It is impossible to discuss this topic without including thoughts on biomechanics. Regardless of the patient and their pain, the minute the first MTPJ starts to lose range of motion, the foot will need to adapt and compensate. Unfortunately, compensation is what leads to secondary conditions and problems.
We spend so much time running in circles trying to fix a runner’s plantar fascial pain that I feel we might completely ignore a possible etiology—hallux limitus created by naviculocuneiform instability. I have seen countless soldiers present with years of failed prior plantar fascial treatments: injections, platelet-rich plasma, shockwave, and plantar fascial releases. Believe me, I pursued these same treatments at the time.
Then a colleague gave a lecture on functional hallux limitus, and everything began to make sense. I was doing it all wrong. I wasn’t putting it all together. I had failed to make the link. In almost every case where I saw repeated failures, I found evidence of hallux limitus. The problem seemed to reside within the fact that I found so few of these patients with functional hallux limitus ever complained of first MTPJ pain.2 Thus, we are easily fooled.
The focus for this column is 3-fold: functional hallux limitus, symptomatic hallux limitus, and traditional surgical outcomes.
What You Should Know About Functional Hallux Limitus
Lichniak and colleagues in 1997 characterized hallux limitus by a progressive decrease in the dorsiflexion range of motion at the first metatarsophalangeal joint.1 Durrant and colleagues in 2009 defined functional hallux limitus as a functional inability of the proximal phalanx of the hallux to extend on the first metatarsal head during gait, which leads to the altered gait characteristics.2 It is the compensatory mechanisms that we must recognize and ultimately fix.
Dealing with functional hallux limitus is not a difficult diagnosis to make once we look, but convincing athletes that their first MTPJ is the source of all their problems can be a very difficult concept for them to grasp. It is like when the car repair shop tells you your car needs a front-end alignment when all you wanted was for them to fix a flat tire. So justifying treatment can be a challenge because the average athlete your proposal of treatment or surgery in an area that is pain-free. Undoubtedly, the athlete will request additional opinions, or may even proceed with an unsuccessful surgery or treatment course elsewhere and still end up with an unresolved problem or a complication.
To assist in diagnosis, it is critical to examine the patient both sitting and standing. Halstead and Redmond showed in their 2006 study that there was no association be-tween dorsiflexion while sitting, standing, or walking.3 So we have to watch the patient walk, and in some cases, you may have to watch them run. For many, I often perform the exam under C-arm fluoroscopy to document medial column instability or to prove any jamming with dorsiflexion of the joint(s). Lastly, diagnostic injections can prove very helpful, especially in cases for which we have no obvious evidence to support a functional hallux limitus diagnosis.
When Athletes Have Symptomatic Hallux Limitus
Once we can establish first MTPJ symptoms, then we have to start looking at the various structures. Find out if you are dealing with sesamoiditis, sesamoid alignment issues, synovitis, chondromalacia, loose bodies, osteophytes, avascular necrosis of the sesamoids, or arthritis of the crista, as shown in Ross’s Podiatry Today article in April 2015.4 This is where magnetic resonance imaging (MRI) comes in and is very helpful, just as we discussed in my articles on first MTPJ arthroscopy in August 2019 and turf toe injuries in May 2011.5,6
Either way, the point I want to stress the most is the fact that despite all of the classification systems and radiographic staging of hallux limitus, in my experience, staging rarely matches what we see in athletes. I note that intraarticular findings are always worse from a cartilage perspective. Nixon and colleagues concluded in their 2017 review that classification systems failed to correspond with radiographic findings and symptoms.7 Dillard and colleagues performed an intra- and interobserver comparison of three classification systems in 2018, finding that the Roukis system was most reliable from a radiographic perspective and an improvement in the most widely utilized radiographic classification by Coughlin in 1999 as shown in Table 1 above.8 The majority of the grading systems were not helpful.8 Just as I have encountered, imaging may show one thing, but open or arthroscopic inspection will show something far worse.
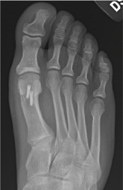
There have been several review papers that looked at staging and various classifica-tion systems, and none ever takes into account chondromalacia. I have shown many cases over the years where systems would classify patients as Stage I, but in reality, they had significant full-thickness defects of the metatarsal head, as shown in Figure 1. Despite little to no osteophytes, many athletes will have adequate dorsiflexion without pain. Pain only existed with activity and weightbearing. None of the classification systems takes into account sesamoid position, which is crucial for predicting potential crista damage.
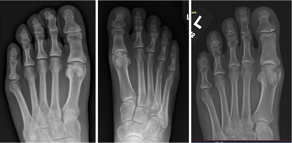
Either way, the multiple classification systems available should not be utilized alone to determine surgical treatment. More often I find that these systems ignore instability, elevation, or metatarsal length. As some studies concluded, classification failed to correlate with every patient.7,8 Roukis and colleagues in 2002 presented his four-stage radiographic analysis—which finally incorporated some radiographic measurements to include metatarsal protrusion, intermetatarsal angle, and talo-first metatarsal angles—which looks at elevatus, as shown in Figure 2 above and Figure 3 below.9 He then followed that up with an article on metatarsus primus elevatus in 2005.10 Then Elliott and colleagues’ 2016 follow-up review11 on Roukis’s 2002 study9 concluded that regardless of the etiology or surgery performed, patients were happier; however, their ROM never improved.
long history of plantar fasciitis. B. The below X-ray shows elevation, with the first metatarsal head not even touching the floor.
What You Should Know About Traditional Surgical Outcomes
We must remember that athletes are unique. The most difficult concept for anyone to understand is what works for a 50-year-old couch potato will not work for an Army Ranger. We must understand that the cheilectomy has been a go-to procedure for hallux limitus cases forever, but in my observation, the long-term outcomes in athletes, especially in the military, are horrible. I hear it, I read it, and we all have repeated it daily—in my experience, cheilectomies can get 5 years. Well, I am lucky if I see 6 months to a year of relief in athletes. Roukis in 2010 published his review of multiple cheilectomy series finding a very high success rate in non-athletes.12 Saxena and colleagues in 2019 showed a very high success rate of return to sport post–Valenti procedure in 8 weeks with an average follow-up of 47 months.13 There are not many studies that can show that type of results, thus why I think so many surgeons try the Valenti. Just like cheilectomies, I see poor results in the military post-Valenti. Of note, Saxena made no mention of any adjunct procedures in their series.13
As I observe surgeons using every imaginable osteotomy, joint resurfacing, implant and/or biologic, I continue to see similar failure rates in athletes. If anything, in my practice, hallux limitus truly mirrors what I see in ankle arthritis.
Just as I outlined in my first MTPJ arthroscopy article in August 2019, I see far better results long-term by not violating the joint capsule.5 Other series14-15 have shown similar success; however, just as I stressed, Carreira wrote in 2009 that first MTPJ arthroscopy has a significant learning curve and has little value for addressing advanced stages of hallux rigidus.16 The limiting factor is osteophytes and loose bodies. So, if we can avoid a capsulotomy, we can preserve first MTPJ range of motion better than with an open capsulotomy. We all know and have seen our bunionectomy cases lose (by my estimation) 30–50% of their preoperative dorsiflexion simply as a result of the scarring and repair of the capsular structures and disruption of the extensor hallucis longus tendon complex.
The most important aspect of surgical outcomes is addressing the source of the limitus. It may require a cheilectomy, but it may require a Cotton. It may require an Achilles tendon lengthening. It may require shortening of the first metatarsal when it is too long. It may require a first metatarsocuneiform fusion. We must tailor our surgical approach to the athlete’s individual needs. For too long we have tried Band-Aid fixes. Fix what needs to be fixed.
I’ve observed surgeons and discussions that try to address cartilage issues with everything from cartilage grafts, spacers, and implants. Very few are successful, and they will ultimately speed up the degradation process which always leads us back to a first MTPJ fusion. Let’s not forget the article that Ross published in June 2021 asking the titular question: “Can Patients with Hallux Rigidus Still Run?”17 The answer is “yes.” Can athletes run with a first MTPJ fusion? The answer is “yes!”
For my patients, I try not to do anything heroic. Severe chondromalacia is simply not repairable in an athlete with any scientifically proven method. We must not forget that we are attempting to apply a graft product to a vertical surface that is subject to both distraction and compressive forces on top of gravity during range of motion. The odds of long-term success in an athlete are simply worse than in a non-athlete. If we can’t even agree on cartilage repairs for talar dome lesions, I wonder how surgeons can claim that cartilage repairs for a first metatarsal head defect can be successful long-term? This is why assessing the cartilage is so critical in athletes.
Athletes aren’t looking for better. They aren’t looking for just OK. They need and want perfection, which frankly, I feel is feasible only in early hallux limitus cases. It is crucial that we assess the first MTPJ each and every time an athlete presents regardless of symptoms. Identifying hallux limitus and functional hallux limitus early is crucial for sustaining an athlete’s performance and career. Far too often, they are presenting with compensatory pains. And by the time they present with first MTPJ pain, it is too late.
A. Douglas Spitalny, DPM, is a Staff Podiatrist at Ft. Leonard Wood, MO.
References
1. Lichniak JE. Hallux limitus in the athlete. Clin Podiatr Med Surg. 1997 Jul;14(3):407-26.
2. Durrant B, Chockalingam N. Functional hallux limitus: a review. J Am Podiatr Med Assoc. 2009;99(3):236-243. doi:10.7547/0980236
3. Halstead J, Redmond AC. Weight-bearing passive dorsiflexion of the hallux in standing is not related to hallux dorsiflexion during walking. J Orthop Sports Phys Ther. 2006;36(8):550-556. doi:10.2519/jospt.2006.2136
4. Ross J. A comprehensive guide to reviving the sick sesamoid. Podiatry Today. 2016; 29(4):68–71.
5. Spitalny AD, Staples B, McKee T, Joseph LT. Current perspectives on first MPJ arthroscopy in athletes. Podiatry Today. 2019; 32(8):58–61.
6. Spitalny AD. Pertinent pearls on treating first MPJ injuries in athletes. Podiatry Today. 2011; 24(6):58–64.
7. Nixon DC, Lorbeer KF, McCormick JJ, Klein SE, Johnson JE. Hallux rigidus grade does not correlate with foot and ankle ability measure score. J Am Acad Orthop Surg. 2017;25(9):648-653. doi:10.5435/JAAOS-D-16-00878
8. Dillard S, Schilero C, Chiang S, Pham P. Intra- and interobserver reliability of three classification systems for hallux rigidus. J Am Podiatr Med Assoc. Published online April 18, 2018. doi:10.7547/16-126
9. Roukis TS, Jacobs PM, Dawson DM, Erdmann BB, Ringstrom JB. A prospective comparison of clinical, radiographic, and intraoperative features of hallux rigidus: short-term follow-up and analysis. J Foot Ankle Surg. 2002;41(3):158-165. doi:10.1016/s1067-2516(02)80065-5
10. Roukis TS. Metatarsus primus elevatus in hallux rigidus: fact or fiction? J Am Podiatr Med Assoc. 2005;95(3):221-228. doi:10.7547/0950221
11. Elliott AD, Borgert AJ, Roukis TS. A Prospective comparison of clinical, radiographic, and intraoperative features of hallux rigidus: long-term follow-up and analysis. J Foot Ankle Surg. 2016;55(3):547-561. doi:10.1053/j.jfas.2016.01.040
12. Roukis TS. The need for surgical revision after isolated cheilectomy for hallux rigidus: a systematic review. J Foot Ankle Surg. 2010 Sep-Oct;49(5):465-70.
13. Saxena A, Valerio DL, Behan SA, Hofer D. Modified Valenti arthroplasty in running and jumping athletes with hallux limitus/rigidus: analysis of one hundred procedures. J Foot Ankle Surg. 2019;58(4):609-616. doi:10.1053/j.jfas.2018.07.009
14. Davies MS, Saxby TS. Arthroscopy of the first metatarsophalangeal joint. J Bone Joint Surg Br. 1999;81(2):203-206. doi:10.1302/0301-620x.81b2.9084
15. Casciato D, Zulauf E, Steginsky B. Use of small joint arthroscopy for diagnosis and treatment of a first metatarsal head osteochondral defect: a case report. JBJS Case Connect. 2022;12(4):e22.00276. Published 2022 Oct 14. doi:10.2106/JBJS.CC.22.00276
16. Carreira DS. Arthroscopy of the hallux. Foot Ankle Clin. 2009;14(1):105-114. doi:10.1016/j.fcl.2008.11.004
17. Ross J. Can patients with hallux rigidus still run? Podiatry Today. 2021; 34(6):20–25.
Additional References
18. MJ Coughlin and PS Shurnas. Hallux rigidus. Grading and long-term results of operative treatment. JBJS. 2003: 85(11).
19. Franson J, Baravarian B. Key insights on treating hallux limitus. Podiatry Today. 2007; 20(3):108–112.
20. Beeson P, Phillips C, Corr S, Ribbans W. Classification systems for hallux rigidus: a review of the literature. Foot Ankle Int. 2008;29(4):407-414. doi:10.3113/FAI.2008.0407
21. Trégouët P. An assessment of hallux limitus in university basketball players compared with noncompetitive individuals. J Am Podiatr Med Assoc. 2014;104(5):468-472. doi:10.7547/0003-0538-104.5.468


