Treating Calcaneal Stress Fractures in Athletes
As we finish another school year and start the grueling summer schedule, I expect we will see an increase in stress-related injuries amongst our teenagers as they embark on additional sports, trainees show up for Basic Training across the country for the annual “Summer Surge,” and adults start warming up for a summer of pickleball, 5Ks, and extended hiking trips. Either way, as I previously covered in my column on teenage athletes from June 2022 and column on occult stress fractures from August 2017, changes in intensity and duration of an activity or simply starting a new activity often sets people up for stress reactions/fractures.1,2
On a positive note, after 30-plus years with the military, I have only seen 1 calcaneal stress fracture progress to the point of requiring surgery. That is great news, but calcaneal stress fractures can take significant time to recover, averaging 4 months to resume sports or training, in my experience. The one positive attribute is that I find calcaneal stress fractures do not require prolonged periods of immobilization or even crutches—stop the sports, stop running, and the pain subsides.
In my experience, edema is a hallmark of calcaneal stress fractures, especially occult fractures. In my community, trainees can hardly wear their Army boots as a result of the swelling. Additionally, I find that the chronic edema after calcaneal stress fractures compares to that after a calcaneal osteotomy.
Calcaneal stress fractures are really not that common compared to hip, metatarsal or tibia.3 In my observation, bone edema changes on either bone scans or magnetic resonance images (MRIs) result in overreads of stress fractures. For me, I must see an occult fracture line on computed tomography (CT) scan or MRI, or a sclerotic line on a X-ray, to count them. Over the past 6 years at Ft. Leonard Wood, we have only diagnosed 85 occult calcaneal stress fractures.
Are Less Fit Patients More Susceptible to Calcaneal Stress Fractures?
As we review previous historical data, calcaneal stress fractures were once far more common. I attribute some of that to running in boots and running shoes being less supportive. Pester and Smith in 1992 provided data from Ft. Dix, NJ involving over 109,000 trainees, which showed 20% of all stress fractures were calcaneal over a 4-year period.4 Today, the calcaneus constitutes fewer than 2% of all our stress fractures here at Ft. Leonard Wood, and we now see far fewer foot and tibial stress fractures than previously reported at Ft. Dix.
Rauh and colleagues in 2006 reported Marine Corps female recruits were twice as likely to develop lower extremity stress fractures compared to male recruits, with the most telling predictor being the recruit’s fitness level at the start of training.5
A recent study from West Point looked at all stress injuries amongst the class of 2022 cadets.6 The authors found no association between body mass index (BMI) and injury amongst men or women; however, previous injury was highly predictive of developing stress injury in general, with much higher tendency in female cadets.6
Numerous studies performed amongst militaries around the world suggest that stress fractures are much more prevalent in females and overweight and/or out-of-shape trainees.5,6 Anecdotally, within our patients at Ft. Leonard Wood, I found 47 male and 38 female calcaneal stress fractures over the past 6 years. The average male was 25 (oldest 36) and the average female was 22 (oldest 33) at our facility. We only identified 2 bilateral cases.
A Closer Look at Bone Density and Vitamin D
In my observation, stress fracture research has had a significant impact on current thinking when it comes to bone density and vitamin D. A 2004 study looked at bone density testing amongst Naval Academy cadets.7 They found significant correlation of DEXA scan changes and risk of development of stress fractures with acute and significant weight loss.4 So, if a cadet or trainee loses significant weight with regular physical training, they could be at far greater risk for stress fracture (of any kind) than one who isn’t losing weight.
Regarding vitamin D levels, Griffis and colleagues in 2022 quoted literature within their series that 33–90% of collegiate and professional athletes have deficiencies in vitamin D.8 That seems highly subjective and unscientific in my opinion especially since we aren’t hearing of collegiate and professional athletes missing seasons at an alarming rate. Griffis and colleagues’ study looked at Naval recruits at Great Lakes Naval in Chicago from 2009–2015 retrospectively. Of the recruits who sustained stress fractures that underwent vitamin D levels, 95% were found to have low levels. Their recommendation was to encourage vitamin D testing prior to training, recommending that it would be far less expensive compared to the financial cost of missed training or military separation.
Even cheaper would be to simply hand out vitamin D if we are simply going to assume everyone is deficient today. My recommendation is simple—show up in shape. Primary care is leading the charge for vitamin D, not podiatry/orthopedics or even PT. So if the assumption is low vitamin D, then give it to everyone and not waste money testing. Handfuls of vitamin D is far cheaper than the testing.
How BMI and Training Periods Factor In
To complicate the situation, researchers have seen that recruits are showing up with higher BMIs than ever.9–13 So the assumption is that trainees and athletes who are overweight, especially females, have a much higher rates for stress fractures. Krauss and colleagues in 2017 tracked trainees prior to starting training with a pre-accession fitness test and BMI measurement.9 Unfit females with high BMIs were much higher risk for stress fractures. Unfit females with low BMIs were at higher risk for stress fractures—no surprise. To complicate matters, the authors concluded that overweight fit females were just as likely to have a stress fractures. Whether this was a fact or an assertion, the military has continued to refine training. As a result of these pre-accession fitness testing, the military is utilizing pre-training prior to starting the real training. We literally have trainees showing up months before they can even start Basic Training just so they can lose weight and get fit prior to even starting Basic Training. Predictably, we are seeing pre-training injuries, all because trainees are not in shape.
Lennox and colleagues in 2014 stressed the importance of extending training periods, such as slowing down the pace of activity, especially for older or overweight trainees.10 This study further supports the idea of pre-training prior to training. The problem is, how do we address trainees with higher BMIs and/or lower levels of fitness or athleticism? We can’t ignore the risk factors, but firsthand, I have observed lower extremity stress fractures decrease over the last 30 years with the Army. I think there is a limit to how protective and slow we can go. The risk for calcaneal stress fractures is simply not the same as it is for femoral neck stress fractures, thankfully.
Insights on the Author’s Experience
Within my previously unpublished series, 85 patients really isn’t that many over a 6-year period (Table 1). Statistically, as we see increases in some stress fractures, the incidence of calcaneal stress fractures, in my opinion, is trending down since we are doing a better job in outfitting trainees with insoles. We don’t run in boots, and I feel the quality of running shoes has improved over the past 30 years. What is disturbing is how many of these trainees developed concomitant stress fractures of the tibia or worse, the femoral neck. A high percentage of these 85 individuals never completed training because of the other injuries.
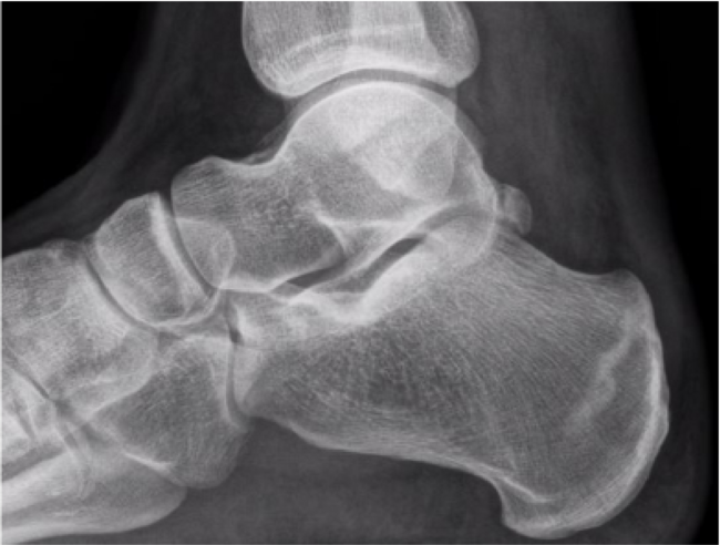
Within this series, 44 were diagnosed solely on X-ray. Those findings are very consistent with sclerosis about the calcaneal body, as shown in Figure 1. More often when you see sclerosis, I find the stress fractures are 3–4 weeks old. Forty-one were diagnosed with MRI after normal X-rays. MRI findings were very consistent, as shown in Figure 2 and Figure 3. Typically, the fracture started along the superior aspect of the calcaneus and propagated plantarly. Only one case started plantarly and propagated dorsally, as shown in Figure 4.
Unfortunately, many of the trainees within my series did not have standing foot X-rays, so I was unable to categorize patients as having normal, flat, or cavus-type feet. The one thing that I can say, for the 41 patients with MRIs, not one patient had any arthritis, coalitions, or open apophyses.
Realistically, do we really need to order MRIs to diagnose a calcaneal stress fracture? Absolutely not. For an athlete in the civilian world, with a negative X-ray and symptoms like edema, why not order the MRI? For a collegiate or professional athlete, of course we will order the MRI. For the weekend warrior, rest, NSAIDs, and a follow up X-ray in 2 weeks may be sufficient. For my trainees, I feel it is really unnecessary, but primary care orders MRIs routinely.
In Conclusion
The moral of the story is that if you suspect a stress fracture, treat it as if patients do have one. I will recommend the patient stop activity, and have the patient use ice, ibuprofen, acetaminophen and your shoe of choice. I find it is rare that crutches are needed for any protracted time.
Within the civilian world, it seems the focus is always on plantar fasciitis, not on calcaneal stress fractures. The activity level will dictate your differential. For a patient with a weekend of playing pickleball, a stress fracture may be more likely than plantar fasciitis. Again, heel edema is your hallmark sign for fracture. Some patients will often present with pitting edema. One would rarely see that with plantar fasciitis.
Let’s not forget in our younger teenagers with an open apophysis. Sever’s disease is a consideration, especially amongst our soccer, softball, and baseball players (cleat sports). One will see calcaneal stress fractures are far less commonly, but radiographically, they are always impressive. Either way, calcaneal stress fractures are only one of the differential diagnoses amongst our athletes this summer.
A. Douglas Spitalny, DPM is a Staff Podiatrist at General Leonard Wood Army Hospital in Ft. Leonard Wood, MO.
References
1. Spitalny AD. Key considerations in treating teenage athletes. Podiatry Today. 2022; 35(6):20–22.
2. Spitalny AD. Treating occult stress fractures in athletes. Podiatry Today. 2017; 30(8):57–59.
3. Waterman BR, Gun B, Bader JO, Orr JD, Belmont PJ Jr. Epidemiology of lower extremity stress fractures in the United States military. Military Med. 2016; 181(10):1308–13.
4. Pester S, Smith PC. Stress fractures in the lower extremities of soldiers in basic training. Orthop Rev. 1992 Mar;21(3):297-303.
5. Rauh MJ, Macera CA, Trone DW, Shaffer RA, Brodine SK. Epidemiology of stress fracture and lower-extremity overuse injury in female recruits. Med Sci Sports Exerc. 2006 Sep;38(9):1571-7.
6. Hearn DW, Kerr ZY, Wikstrom EA, et al. Lower extremity musculoskeletal injury in US military academy cadet basic training: a survival analysis evaluating sex, history of injury, and body mass index. Orthop J Sports Med. 2021 Oct 11;9(10):23259671211039841.
7. Armstrong DW 3d, Rue JP, Wilckens JH, Frassica FJ, Stress fracture injury in young military men and women. Bone. 2004 Sep;35(3):806-16.
8. Griffis CE, Pletta AM, Mutschler C, Ahmed AE, Lorimer SD. Proportion of Navy recruits diagnosed with symptomatic stress fractures during training and monetary impact of these injuries. Clin Orthop Relat Res. 2022 Nov 1;480(11):2111-2119.
9. Krauss MR, Garvin NU, Boivin MR, Cowan DM. Excess stress fractures, musculoskeletal injuries, and health care utilization among unfit and overweight female Army trainees. Am J Sports Med. 2017 Feb;45(2):311-316.
10. Lennox GM, Wood PM, Schram B, et al. Non-modifiable risk factors for stress fractures in military personnel undergoing training: a systematic review. Int J Environ Res Public Health. 2021 Dec 31;19(1):422.
Additional References
11. Fredericson M, Jennings F, Beaulieu C, Matheson GO. Stress fractures in athletes. Top Magn Reson Imaging. 2006 Oct;17(5):309-25.
12. Knapik J, Montain SJ, McGraw S, Grier T, Ely M, Jones BH. Stress fracture risk factors in basic combat training. Int J Sports Med. 2012 Nov;33(11):940-6.
10. Jacobs JM, Cameron KL, Bojescul JA. Lower extremity stress fractures in the military. Clin Sports Med. 2014 Oct;33(4):591-613.
11. Dao D, Sodhi S, Tabasinejad R, et al. Serum 25-hydroxyvitamin d levels and stress fractures in military personnel: a systematic review and meta-analysis. Am J Sports Med. 2015 Aug;43(8):2064-72.
12. Abbott A, Wang C, Stamm M, Mulcahey MK. Part II: risk factors for stress fractures in female military recruits. Mil Med. 2023 Jan 4;188(1-2):93-99.


