Thirty Years Of Observations On Clubfeet In Athletes And The Military
For 30 years, my colleague Col. (Ret) Kathy McHale, MD (pediatric orthopedist and former Army Orthopedic Consultant to the Surgeon General), and I studied and collected data on active-duty military personnel with clubfeet. She presented our data at the POSNA (Pediatric Orthopedic Society of North America) and SOMOS (Society Of Military Orthopedic Surgeons) meetings, and I presented my data at state meetings, but the data is as of yet unpublished. Between the two of us, we collected data on over 250 active duty military seen early or later on in their military career with congenital clubfeet. I am always amazed in my experience to see, how few physicians, let alone radiologists, understand the difference between what a normal and congenital clubfoot looks like as an adult.
There is so little presented or published on clubfeet in athletes, let alone the military. Much of the literature regarding adults involves long-term follow-up, and it is frankly depressing that so many with congenital clubfeet grow up to have so many issues.1-3 Many of us who treat clubfeet in children and teenagers rarely see these kids progress to sports, let alone enter the military. For those who see adults with previous surgeries, we often see significant residual deformities and early arthritis; but again, not many are or were athletes. So, 250 cases may seem like a lot, but statistically, that is not a very large sampling of the millions of military that served during my 30 years of practice. We need to remember that clubfeet statistically occur in 1:1000 births.4-5 So, either these patients with clubfeet do not join the military, or many do far better than reported or expected. Based on the literature, the odds of adult clubfeet having successful outcomes long-term are remote.1-5
Many of my colleagues know that my wife had a clubfoot. Very few children had surgery for this in the 1960s. My wife overcame many of her issues playing sports in grade school and, as an adult, played competitive tennis during our years at Ft. Bragg. At one time, she ranked as high as the top five in the state of North Carolina in her division. As seen in our study, the rigors of sports, the military, and time eventually catch up with them. Like my wife, the stress of running caught up to her. She has since had multiple surgeries to address degenerative joint disease and chronic pain.
Svehlik and colleagues in 20176 concluded that those with surgically repaired clubfeet had more difficulty playing sports and experienced more pain as younger children and teenagers. I have only seen one patient who played college sports at a Division I level within our series, a soldier who played for a FCS-level football school. After college, he joined the Army, and I saw him a few years into his career, starting to have chronic pain associated with his clubfoot. Despite playing college football, he was unable to complete his military career and was medically discharged after six years of service.
Johnson and team from Washington University published a series7 involving 93 clubfeet that required revision surgery from 1999-2012 involving adolescents and young adults. They found the following trends among 72 patients: undercorrection; overcorrection; dorsal bunion; anterior ankle impingement; and hindfoot impingement. Pain and stiffness were the most common issues that these patients presented with. In 2010, Brodsky published his review involving just adults finding similar issues as Johnson did with his series, with many requiring arthrodesis procedures.1 Just as other series in adults concluded, salvage shifted towards arthrodesis for everything from the first MTPJ, midfoot, midtarsal, triple, and/or ankle.1,2,8
For those who underwent surgery, whether as a child or teenager, success depended on the type of surgery and the length and quality of follow-up. The longer the follow-up, the worse the outcomes shown in the literature.9 Many surgeons fail to comprehend that post-surgical follow-up has to be for life. Multiple studies all conclude that adherence with either bracing or simple routine follow-up was crucial to the surgical outcome.9
Unfortunately, regarding the the Ponseti technique, we have not yet seen widespread use of this method long enough to see 20-year-old recruits joining the military. To date, I still have not seen a recruit or active duty service member who received this treatment. However, that day is coming and we are finally starting to see follow-up studies more routinely in the literature.6,7,9-13
A handful of long-term studies exist on the posteromedial and Cincinnati releases, with some having as long as 30 years of follow-up. Those studies truly highlight what we see in our soldiers. The results are both better and worse based solely on follow-up. We see a combination of undercorrection, overcorrection, iatrogenic issues, and post-surgical arthritis. Many studies looked at using radiographic, cosmetic, patient satisfaction, and functional outcome scoring systems. It is not my intent to dwell on these scoring mechanisms but to focus on more extended follow-up. We continue to observe that the longer the follow-up, the more issues these patients seem to develop.
What Col (ret). McHale and I see with our series, is lots of Turco (posteromedial) and Cincinnati releases. I have never seen a non-operative clubfoot make it into the military. Not to say that it couldn’t happen, but surely someone has made it past entrance stations into the military, but I doubt too many were able to avoid surgery or discharge. The results are thoroughly mixed amongst post-surgical individuals with clubfeet that tried to serve in the military. Of note, numerous countries will not allow post-surgical clubfeet to serve, as I observed from personal correspondence as a Military Medicine reviewer over the years. In my experience, clubfeet are a disqualifying condition for all branches, but everything is waiverable. Thus, so many clubfeet are either waived or simply ignored until the serviceperson starts struggling to perform.
Unfortunately, I feel there is incredible bias amongst many authors within the clubfoot literature; it is tough to determine fact from fiction. I’ve observed well-known surgeons spreading non-evidence-based information online. One author stated that the Ponsetti could guarantee a 100 percent correction rate.10 Well, there are plenty of studies that disagree. Haft and colleagues in 2007 showed a recurrence rate of 41 percent with their series from New Zealand.11 Porecha and coworkers in 2011 showed in their study a relapse rate of 28 percent of those who responded to the Ponseti, and another 35 percent failed to respond to Ponseti casting at all.12
Moreover, a paper out of Malaysia in 2019 showed a recurrence rate of 27 percent with their series. Furthermore, all three series concluded that the culprit was non-adherence with bracing.13 Did they not consider that the Ponseti technique relies on casting to reduce triplane deformity?
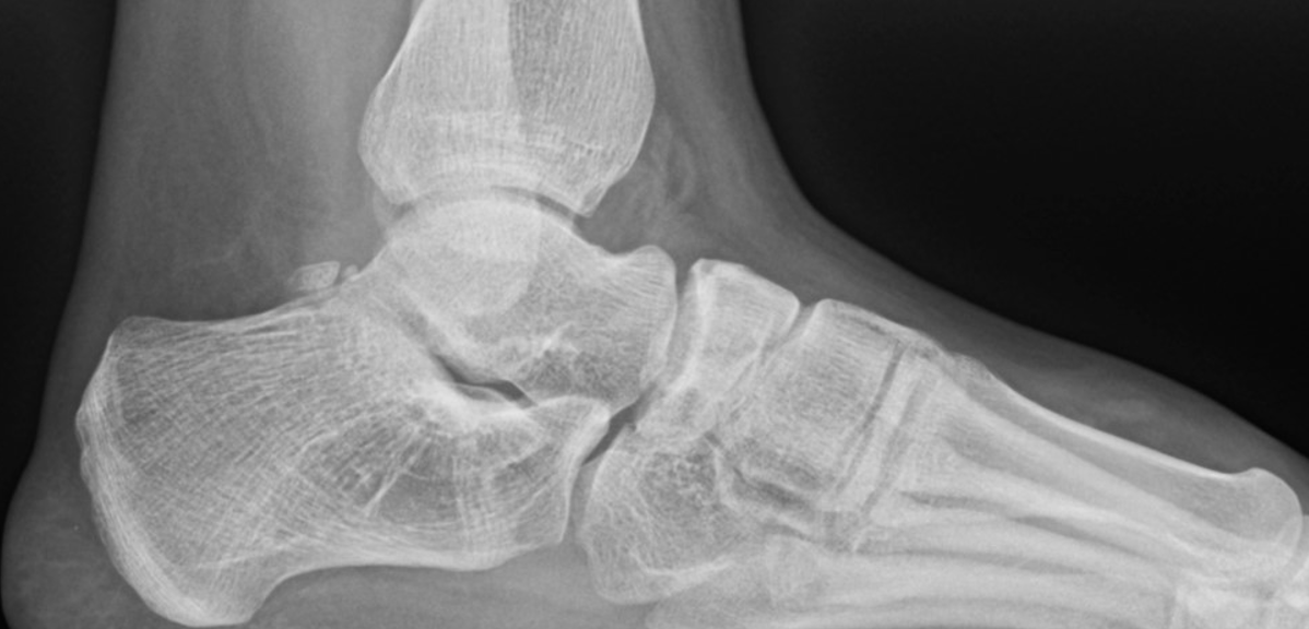
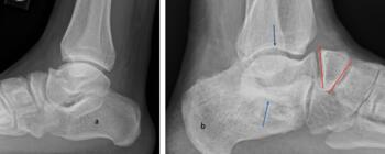
As the Ponseti grew in popularity, I noted significant discrediting of surgical options. Well long-term studies on the Ponsetti are starting to surface, and it is not without its own problems. Kids are lost to follow-up, not braced appropriately, and just like we saw in long-term studies with the posteromedial release, there is a lot of undercorrection. Casting cannot and will not ever achieve what the Cincinnati release can. Although the Ponseti may not have the complications of the Cincinnati, X-ray data reveals that the Ponseti cannot and does not correct everything, most critically, talocalcaneal angles. You can not solve a clubfoot with an Achilles tenotomy and an overly aggressive casting. As these kids develop, I see residual met adductus and calcaneal varus, along with casting complications like flat top talus and met primus elevatus. I then see that they will develop DJD just like posteriomedial and Cincinnati releases. Haasbeck and team in 1997 reported that the Cincinnatti required fewer procedures than the posteromedial release over the life of their study.14 Thomas performed a systematic review in 2019, concluding that the longer the study follow-up, the greater the relapse rate and the poorer the results of the Ponseti.15 For most of us who have done clubfeet surgery for many years, this is no surprise. Among the 46 studies meeting inclusion criteria, they saw as high as 67 percent required future surgeries to address relapse.15
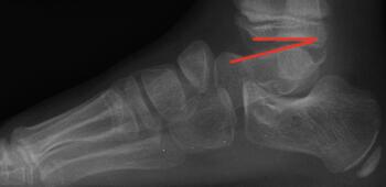
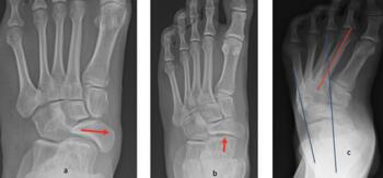
One of the most disturbing complications with any casting is the development of flat top talus. Overly aggressive attempts to dorsiflex the ankle often lead to met primus elevatus, but the flat top talus ruins the ankle joint during development. When I work with residents and students, I always stress the importance of avoiding dorsiflexion completely during the casting phase simply because I do not want to create a deformation of the talus. I reserve all of my sagittal plane correction for the Achilles lengthening and posterior capsule release. Unfortunately, I see more and more cases of flat top talus as a result of the Ponseti method. Khan and colleagues in 2021 reported a significant increase in their study and review of the literature, blaming it solely on overly aggressive casting and manipulation.16
Historical Progression In Clubfoot Treatment Paradigms
As a quick history lesson, in my experience, clubfoot casting was the norm up until the 1980s. Posteromedial releases dwindled in popularity in the early 1990s, when Cincinnati releases just became popular, during my training time. By the 2000s, providers championed the Ponseti technique. As I started to see more and more soldiers with clubfeet trying to join the military, I saw more cases that needed medical discharge or revision surgeries. Posteromedial release historically had residual met adductus and calcaneal varus or often already presented with early DJD.
We saw the Cincinnati release in the late 1980s with much better results early on, due to addressing the clubfoot in a much more compressive but complex technique. As with anything new, we saw some horrible results, simply because there is a tremendous learning curve. The timing of surgery became a significant factor. We had surgeons tackling four to six month olds, which might be too early, and some surgeons electing to wait until children were three to four years of age who had fixed deformities. Let’s be clear, casting clubfeet is labor-intensive and time-consuming. So naturally, some surgeons simply elect to avoid casting before surgery. Casting out as much of the deformities as possible prior to surgery has proven to be key to reducing complications like wound dehiscence, infection, and ultimately amputation. It may also reduce the amount of lengthening and shortening required.6 The Ponseti technique capitalized on the importance of casting, but, as previously stated, relies heavily on bracing. We all know how difficult it is to get a two- or three-year-old to wear a Denis-Browne brace. I gave up on them years ago. I prefer to use AFOs or UCBL-type inserts.
I believe the reason so many surgeons lost faith in the Cincinnati release is due to the multitude of cases that either overcorrected or lost correction. We see teenagers and even recruits showing up with severe calcaneovalgus deformities and even rocker bottom feet as a result of the subtalar and talonavicular releases. But as we studied this, it became very apparent in many cases that these overcorrections were more likely gradual and progressive loss of position as patients were lost to follow-up. Many of my kids looked great at three years of age, but then parents moved. Despite all my efforts to arrange follow-up at their next base or at civilian hospitals, kids were often lost to follow-up. On a few occasions, I was lucky enough to see some of my kids back at eight to 10 years of age. Those X-rays showed complete collapse into valgus. After serious inquiry, you find out that the child stopped wearing inserts after five years of age. Bracing is a necessity, I found, to prevent loss of correction. Although bracing has proven critical for all clubfeet, I find it is much more so for the Cincinnati releases. In reality, this procedure can and does do very well, but not often well enough to meet the rigors of the military or competitive sports.
In Summary
So, to summarize, true congenital clubfeet have abnormal talar bodies, which lead to abnormal ankle and subtalar joints with short Achilles and tight posterior tibial tendons. Regardless of treatment, there is nothing anyone can do to make the talus a normal bone. Many of these cases can and will develop additional deformities. Only the Cincinnati release can address every issue associated with the deformity, but it is NOT a cure. The Ponseti procedure is a total compromise, also NOT a cure. The sooner everyone treats the Ponseti as a compromise, I believe we will be far happier with the outcomes. I remember discussing this with others treating pediatric orthopedic issues during the rise of the Ponseti in the early 2000s. We all agreed, undercorrecting the deformity will lead to more surgeries and residual deformities. Until we all face the reality that clubfeet are a genetic deformity and not just a positional deformity, we will never make them perfect. Thus, athletes and the military will put any and all clubfeet patients to the test. There is no doubt that exceptions exist, but in time, at least based on our limited review of over 1000 clubfeet and 250 cases we saw in the military, no one is immune to complications, arthritis, and ultimately disability.
After 30 years of studying adult clubfeet, to date, we only know of one male who made it to elite status. I had a soldier in his late 20s in Special Forces that ruptured his Achilles on his clubfoot side. He had no issues running or doing Special Forces-type activities, but I honestly can’t say that he was able to complete his career in the Army. His X-rays were very typical. Of my 150 or so cases, I only saw two soldiers who were able to retire from the military. One was a staff sergeant whom I begged to have surgery. He couldn’t run, and limped permanently as a result of his subtalar DJD and valgus heel. The other was a general surgeon who retired as a Colonel who stopped running years ago. He needed surgery as well to address his hallux rigidus as a result of his met primus elevatus.
Additionally, many soldiers that I have see present with not just post-clubfoot issues but corresponding stress fractures, callouses, tendonitis, ankle instability, and/or plantar fasciitis. The majority of those we saw early on in their career were encouraged or escorted out of the military. Very few within the 250 ever were able to complete 20 years of service. When you combine that with all the clubfeet I have seen in family members or children, very few have ever gone on to play collegiate, let alone professional sports.
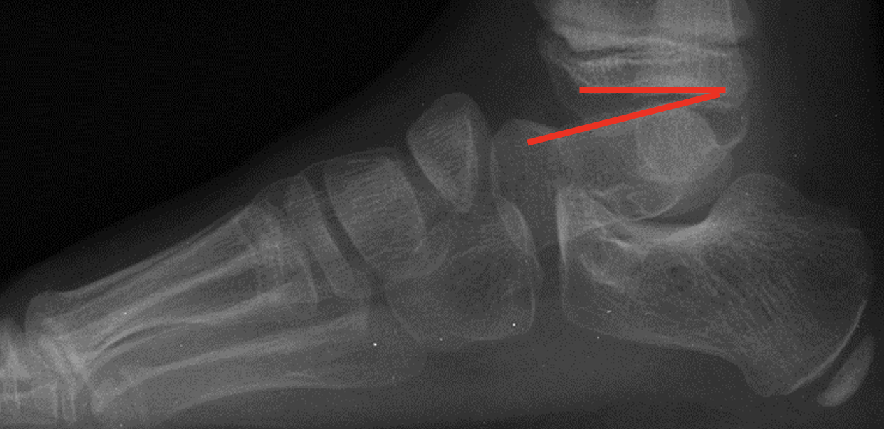
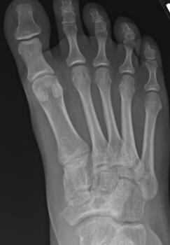
Here is a typical case presentation. A 21-year-old Marine at Ft. Leonard Wood for training underwent a Cincinnati release at one year old and had stellar follow-up. Her surgeon even wrote her medical waiver for entrance into the Marines. She ran track in high school. She finished boot camp and completed all of her Marine training, but now has chronic pain. She no longer can run. She hasn’t passed her physical training in over a year. She developed talonavicular DJD. By all accounts, her overall clubfoot should be rated an A+; no residual deformity, normal talocalcaneal angles on AP and lateral views, no equinus, no residual varus, only slight met primus elevatus, but no signs of a flattop talus. Clinically, she lacks subtalar range of motion, which I commonly find post-clubfoot release of any kind. So many in the military do very well for a while, but the demands of the military eventually catch up to them. We all root for clubfeet to make it, but the odds are stacked against them.
Dr. Spitalny is a staff podiatrist at General Leonard Wood Army Community Hospital and Adjunct Faculty of the SSM Depaul Podiatry Residency Program in St. Louis, Mo.
1. Brodsky JW. The adult sequelae of treated congenital clubfoot. Foot Ankle Clin. 2010;15(2):287-296.
2. Zhuang T, El-Banna G, Frick S. Arthrodesis of the Foot or Ankle in Adult Patients with Congenital Clubfoot. Cureus. 2019;11(12):e6505.
3. Wallander H, Saebo M, Jonsson K, Bjonness T, Hannson G. Low prevalence of osteoarthritis in patients with congenital clubfoot at more than 60 years' follow-up. J Bone Joint Surg Br. 2012;94(11):1522-1528.
4. Mai CT, Isenberg JL, Canfield MA, et al. National population-based estimates for major congenital disabilities, 2010-2014. Birth Defects Res. 2019;111(18):1420-1435.
5. Wang H, Barisic I, Loane M, et al. Congenital clubfoot in Europe: A population-based study. Am J Med Genet A. 2019;179(4):595-601.
6. Svehlik M, Floh U, Steinwender G, Sperl M, Novak M, Kraus T. Ponseti method is superior to surgical treatment in clubfoot - Long-term, randomized, prospective trial. Gait Posture. 2017;58:346-351.
7. Johnson JE, Fortney TA, Luk PC, et al. Late Effects of Clubfoot Deformity in Adolescent and Young Adult Patients Whose Initial Treatment Was an Extensive Soft-tissue Release: Topic Review and Clinical Case Series. J Am Acad Orthop Surg Glob Res Rev. 2020;4(5):e1900126.
8. Wei SY, Sullivan RJ, Davidson RS. Talo-navicular arthrodesis for residual midfoot deformities of a previously corrected clubfoot. Foot Ankle Int. 2000;21(6):482-485.
9. Seegmiller L, Burmeister R, Paulsen-Miller M, Morcuende J. Bracing in Ponseti Clubfoot Treatment: Improving Parental Adherence Through an Innovative Health Education Intervention. Orthop Nurs. 2016;35(2):92-97.
10. Radler C. The Ponseti method for the treatment of congenital club foot: review of the current literature and treatment recommendations. Int Orthop. 2013;37(9):1747-1453.
11. Haft GF, Walker CG, Crawford HA. Early clubfoot recurrence after use of the Ponseti method in a New Zealand population. J Bone Joint Surg Am. 2007;89(3):487-93.
12. Porecha MM, Parmar DS, Chavda HR. Mid-term results of Ponseti method for the treatment of congenital idiopathic clubfoot--(a study of 67 clubfeet with mean five year follow-up). J Orthop Surg Res. 2011;6:3.
13. Limpaphayom N, Sailohit P. Factors Related to Early Recurrence of Idiopathic Clubfoot Post the Ponseti Method. Malays Orthop J. 2019;13(3):28-33.
14. Haasbeek JF, Wright JG. A comparison of the long-term results of posterior and comprehensive release in the treatment of clubfoot. J Pediatr Orthop. 1997;17(1):29-35.
15. Thomas HM, Sangiorgio SN, Ebramzadeh E, Zionts LE. Relapse Rates in Patients with Clubfoot Treated Using the Ponseti Method Increase with Time: A Systematic Review. JBJS Rev. 2019;7(5):e6.
16. Khan Sr S, Khan MA, Chinoy MA, Ahmed S. Flat Top Talus: Complication of Ponseti Method or Overcorrection? Cureus. 2021;13(2):e13390.
17. Zhao D, Li H, Zhao L, Liu J, Wu Z, Jin F. Results of clubfoot management using the Ponseti method: do the details matter? A systematic review. Clin Orthop Relat Res. 2014 ;472(4):1329-1336.


