Ankle Deformities in Athletes: Looking Beyond Arthritis
Although it may seem odd to discuss deformities in athletes, let us not forget that many of our athletes overcome tremendous physical challenges like pes planus or limb length discrepancies to compete at the highest levels. However, it seems like no one wants to discuss ankle deformities outside of ankle arthritis and total ankle replacement. Just do a literature search—the majority of the initial citations on ankle deformities focus on arthritis. Well, in my practice, and in many others, this is a concern, because we are not discussing 60-year-old athletes; instead, we deal with 25-year-old soldiers.
We have discussed various chronic conditions in these columns, including stress fractures, tendonitis, and ankle sprains. Now I’d like to start focusing on many of the etiologies of these conditions, including deformities. Sure, we all love to focus on pes planus, but let us not forget the cavus foot or, in this case, ankle deformities.
Over my 30 years of practice, I have seen just about every combination of lower extremity deformities from coxa vara and genu valgum to ankle deformities, many of which present with foot issues. Despite the deep focus on surgical intervention of late, performing a thorough gait analysis is genuinely essential for spotting deformities. Clinicians often focus so much on linking a particular condition with a foot type, they rarely look past the foot X-rays. We cannot ignore the ankle, especially if pondering surgery. It is not an absolute, but I find maybe one in every five cases will have a proximal deformity that the foot attempts to compensate for. A long time ago, a pediatric orthopedic colleague warned me that knee and hip examination was vital to pediatric foot surgery. Even as podiatrists, we have to be able to spot deformities like Blount’s disease, tibial varum, or an abnormal Q-angle. Treating a flat foot that is truly compensation for a genu varum deformity could lead to newer and worse conditions than what the athlete already has. We have previously stressed that isolated peroneal tears are rare without some varus component. Generally, the same is true for posterior tibial conditions.
Insights From Years of Study of Ankle X-rays
Throughout the years, I have performed an extensive radiographic analysis of ankle X-rays. I find that the literature focuses heavily on treatment versus morphologic-type studies. The age-old question is, what is “normal”? Anatomically, we start with talocrural angles, fibular length, and center of rotation angulation (CORA). We all know that no patient is truly normal. If everyone were perfect, then no one would have deformities. If no one has deformities, we would all be out of a job. Since the advent of digital radiology, I have been able to review every single foot, ankle, and leg X-ray in my institutions and track the exhibited deformities. Since I focus on a pediatric and essentially younger adult practice with the military, it is not difficult to see the natural progression of deformities to chronic conditions. As a result, I see ankle deformities far more commonly than reported in the literature. As previously mentioned, much of the total ankle replacement literature focuses on deformities and the link with arthritis, but, if deformities are as rare as textbooks would have us believe, why is there so much focus on ankle deformities being the root cause of ankle arthritis?
Furthermore, we all know that ankle arthritis is very common. Not a single total ankle replacement system ignores the so-called limits of what the system can correct: the varus/valgus perspective. However, no one wants to focus on our athletes with chronic shin splints. Everyone was so focused on the equinus or the calcaneovalgus that they missed the need for ankle and tibial X-rays. Failing to recognize these proximal deformities could lead to incorrect surgical options.
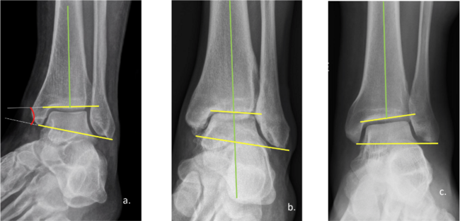
Let’s start with the fundamental congenital or acquired ankle deformities that we will encounter: ankle varus, valgus, procurvatum or recurvatum. These are structural deformities involving the CORA at the ankle joint level involving either the frontal or sagittal plane (click here for Figure 1 and here for Figure 2). We do see transverse plane deformities, which involve either a rotational component of the tibia (ie, internal tibial torsion), or at the ankle level with malleolar torsion. Do not forget that in-toeing and out-toeing are not just at the foot, ankle, or leg but often occur at the hip with femoral anteversion. We will see deformities with CORAs above the ankle joint within the metaphysis or in the tibial diaphysis. We will, of course, will see proximal deformities, which will impact the foot and ankle. Whether it be at the knee or hip, we see patients with genu varum/valgum and coxa vara valgum. We will see compensatory mechanisms in play at the subtalar and talonavicular joints regardless of deformities. Let us not forget Newton’s Third Law—there is an equal and opposite reaction. If the leg is in varus, the foot must pronate into valgus.
We need to start with the talocrural angle, often used to look at fibular length. I reviewed over 30,000 ankle X-rays while I was Ft. Bragg in North Carolina. I measured the talocrural angle on 1000 perfect ankle mortise views in uninjured ankles. What I found was just as I have encountered throughout my career: No one is normal. The accepted value is 12 degrees, but my review showed that the average was 8 degrees, ranging between 3 and 18 degrees. The variation between contralateral sides was off by 3 degrees on average but could be off as much 6 degrees. So ultimately, I found it a worthless measurement.
As I have continued to review over 70,000 ankle X-rays during my career, the number and variety of ankle deformities continued to rise. I stopped measuring every mortise and focused solely on deformities with 5 degrees or greater. The number of 3-degree ankle deformities is pretty significant considering the number of ankle procedures I have performed over the years. Clinically, deformities greater than 5 degrees seem far more likely to be symptomatic in my experience, especially in athletes and soldiers. In most cases, the ankle joint was far less symptomatic than the foot or the leg. Only if there was cartilage pathology, ligamentous laxity, or early degenerative joint disease present was the ankle joint actually symptomatic. More often than not, the foot or the shin presents with the resultant compensatory pain.
Upon review of the past 5 years here at Ft. Leonard Wood, I have encountered 268 ankle varus and 134 ankle valgus deformities. The degree of deformity varied from 5 to 20 degrees. Regardless of the presentation, many cases that remained symptomatic needed surgical correction, including tibial osteotomies.
Procurvatum and recurvatum deformities are far less common. Both deformities are more likely post-traumatic and often occur due to malunion of distal tibial fractures or malunited ankle fusions versus a true congenital deformity. But, it is critical to be aware of these deformities since they will affect the ankle range of motion and can often lead to Achilles tendon issues.
Regardless of the deformity, the solution to ankle deformities is routinely a tibial osteotomy. As we dwell on correctional osteotomies for the tibia, we must be cognizant that we often cannot ignore the fibula. We must also address an abnormally long or short fibula. Do not forget that we cannot fix the tibia without affecting ankle and leg mechanics. We must remember, especially in larger deformities, that it will have consequences if we shorten or lengthen the tibia. So do not forget scanograms to rule out any inherent limb length discrepancy. Such planning is crucial for assessing the need for an opening, closing, or dome-style osteotomy.
Many of us encounter the age-old debate when we contemplate tibial osteotomies: What degree of deformity do we treat? I have worked with surgeons who learned you don’t mess with anything below 10 degrees. That may work for the non-athlete, but for athletes, I feel the threshold is more realistically 5 degrees for first-time surgery and as low as 3 degrees for revision cases. I have gone as low as 3 degrees, especially with cases of multiple surgical failures like cartilage repair and failed ankle stabilizations. I do not think there is any doubt that a normal foot should be capable of accommodating for a 3 to 5 degree deformity, but athletes often push those limits. We all have seen the patient who has had multiple peroneal tendon repairs but continues to have pain. Alternatively, in a patient with multiple tarsal tunnel releases but with an ankle varus deformity of 8 degrees, you have to address the tension issues created by pronation.
Key Case Examples Showcasing the Influence of Ankle Deformities
Case #1. A 33-year-old female former soldier presented with chronic right knee pain and failed left ankle stabilization, with now chronic tarsal tunnel symptoms. Despite having seen multiple surgeons over the years and been medically discharged from the Army, no one ever assessed her deformities or even watched her walk. Imaging was very illuminating in this case. Her scanogram clearly shows her genu valgum deformity. But as you look closer at her tibial X-rays (click here for Figure 3), she has an additional valgus deformity of her tibia shown by the CORA. The left ankle films show the drill hole in the tibia and fibula from a previous syndesmosis screw and a failed ankle stabilization. No one figured out that she had a significant ankle varus deformity. Ultimately, her compensatory pronation was the source of her tarsal tunnel symptoms. The surgical plan is to address her tibial deformities via proximal and supramalleolar osteotomies and she will also undergo a tarsal tunnel release.
Case #2. In this case, a 35-year-old male soldier presented with chronic ankle instability and a previous Haglund’s deformity. X-rays clearly show an ankle in significant valgus, but his weight-bearing foot X-rays show a foot inverting to compensate for the ankle valgus (click here for Figure 4). Ultimately, I find that one can’t just address the instability without a tibial osteotomy (click here for Figure 5). In this case we performed a closing tibial osteotomy, secured the osteotomy with a single, 6.5mm cannulated screw. One can also choose to utilize a medial plate (click here for Figure 6).
Case #3. A 24-year-old male Marine presented with chronic ankle instability. I addressed this case with a Brostrom procedure and an opening wedge tibial osteotomy (click here for Figure 7), utilizing a trabecular metal wedge. One can also utilize a medial plate for additional stability (click here for Figure 8).
In Conclusion
I encourage everyone to review Paley’s Principles of Deformity Correction textbook.1 Over the years, I have stressed to all my residents and young podiatrists that they need to attend the Baltimore Limb Deformity Course, which is currently scheduled for August 24–28, 2022. This course is crucial for understanding pediatric and adult deformities of the lower extremity.
Dr. Spitalny is a staff podiatrist at General Leonard Wood Army Community Hospital and Adjunct Faculty of the SSM Depaul Podiatry Residency Program in St. Louis, Mo.
References
1. Paley D. Ankle and Foot Considerations. In: Principles of Deformity Correction. Springer;2002:571-645. Available at: https:doi.org10.1007978-3-642-59373-4_18.


