Piperacillin-tazobactam-Induced Pneumonitis: A Clinical Case Study
This case study involves a 46-year-old male patient admitted with a localized necrotizing soft tissue infection of the right foot that developed an unusual and rare delayed hypersensitivity pneumonitis from the antibiotic Piperacillin-tazobactam.
Drug hypersensitivity reactions present in multiple ways and have various presentations in timing. Piperacillin-tazobactam is a fourth-generation penicillin antibiotic combining a penicillin molecule (piperacillin) with a beta-lactamase inhibitor (tazobactam). Piperacillin-tazobactam is US Food and Drug Administration (FDA)-approved for 30-minute intravenous infusion at 2.25g, 3.375g, or 4.5g doses to help cover a broad spectrum of Gram-negative and Gram-positive aerobic and anaerobic organisms.1,2 Piperacillin-tazobactam is classically utilized among patients without a known penicillin allergy to help eradicate diabetic foot infections (DFI) as an empiric broad-spectrum agent targeting Gram Positive cocci (GPC) prior to the results of isolated bacterial cultures and sensitivities3. This case study explores a rare adverse reaction to penicillin antibiotics not routinely discussed in the known literature. Many drugs (eg, cocaine, daptomycin, ranitidine, gemcitabine, venlafaxine) have been shown to cause drug-induced acute eosinophilic pneumonia, but, to our knowledge, no descriptions of Piperacillin-tazobactam-induced pneumonitis exists in the literature. This type of unusual reaction would be unique, because the typical adverse reactions to piperacillin include nausea, vomiting, diarrhea, rash, and rarely pulmonary infiltrates with eosinophilia4,5. However, our patient did not exhibit any clinical features of eosinophilic pneumonia such as nonproductive cough, fever, night sweats, or pleuritic chest pain. Physicians should be aware of this rare but important potential adverse reaction to piperacillin.
When Treatment for a Diabetic Foot Infection Yields Unexpected Results
A 46-year-old white male with a past medical history of hypertension, hyperlipidemia, and uncontrolled type 2 diabetes mellitus presented to the emergency department to evaluate a right hallux wound and swelling after going on a weekend fishing trip. The patient had undergone a right third digit amputation 8 months prior, which healed uneventfully. Vitals signs consisted of an oral temperature of 101.2 degrees Fahrenheit, a heart rate ranging between 110 and 140 beats per minute, and an elevated white blood cell count (WBC) of 14.2 X 103/L).
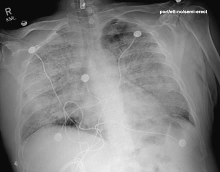
The right hallux wound (approximately 1.5 cm x 2.0 cm) had purulent, dishwater-like drainage with malodor, crepitus, and proximal spreading cellulitis with streaking. Clinically, the wound probed deeply to the underlying bone. The patient denied allergies to medication, food, or other products. The patient had no previous history of smoking. We started empiric vancomycin and piperacillin-tazobactam antibiotics for broad-spectrum Gram-positive and Gram-negative aerobic and anaerobic coverage. X-rays of the right foot revealed gas in the first interspace of the right foot with concern for osteomyelitis of the base of the second proximal phalanx. A preoperative chest X-ray (see image to left) showed no interstitial edema or pneumothorax, and EKG demonstrated sinus tachycardia. The patient underwent an emergent incision and drainage of the right foot, tolerating the procedure and anesthesia well without apparent complications. Multi-team based staged approach was utilized to attempt limb salvage with definitive right foot trans-metatarsal amputation (TMA) to follow once achieving resolution of the gaseous infection.
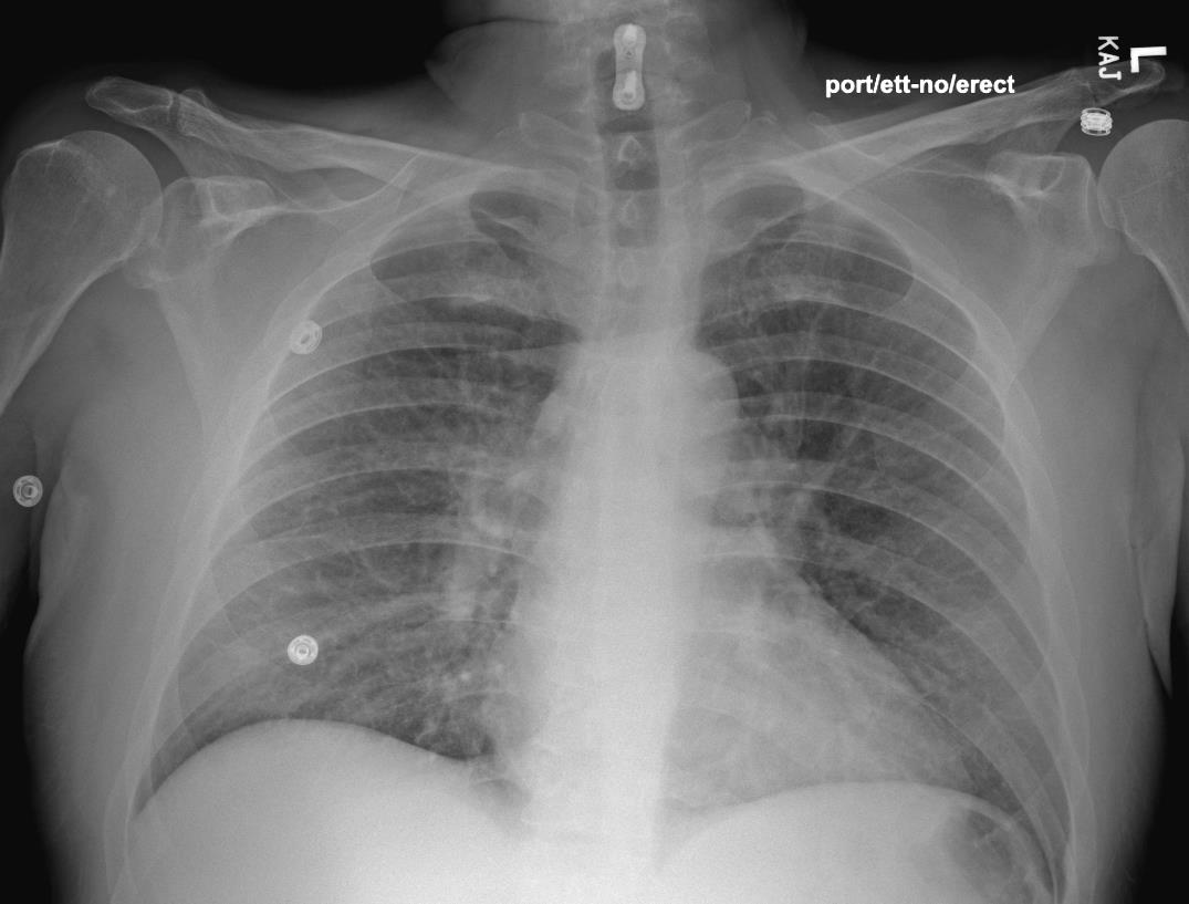
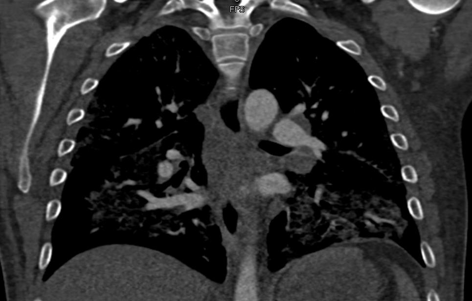
Infectious disease recommended broad-spectrum antibiotic coverage with vancomycin, clindamycin, piperacillin-tazobactam, and levofloxacin due to concern for Aeromonas species from freshwater exposure. Unexpectedly on postop day 3, the patient started complaining of respiratory discomfort and overall body swelling. The patient had new-onset dyspnea, hypoxemia, hydrocele, and edema, resulting in placement on a BiPAP machine. Laboratory investigation revealed leukocytosis, with a white blood cell count of 19.1×109/L (normal range 4×109/L to 11×109/L) with normal peripheral absolute eosinophil count of 0×109/L, and lactate level of 0.9 mmol/L. His arterial blood gas pH was 7.48 (normal pH 7.35 to 7.45), partial pressure of O2 77 mmHg (normal greater than 70-125 mmHg), partial pressure of carbon dioxide 26 mmHg (normal 35 mmHg to 45 mmHg), and calculated bicarbonate of 22 mmol/L (normal 23 mmol/L to 28 mmol/L). A repeat chest X-ray (see image to left) revealed new onset of pulmonary edema. A new computed tomography (CT) of the chest (see image below) showed diffuse ground-glass opacities with small pleural effusions and diffuse subpleural sparing, attributable to pulmonary edema with possible pneumonitis.
Meanwhile, intraoperative wound cultures grew Staphylococcus aureus and Gram-negative rods, and SARS-COV-2 PCR was negative. Per infectious disease recommendations, we discontinued vancomycin and clindamycin, while continuing piperacillin-tazobactam and levofloxacin. Later, however, due to suspected drug-induced pneumonitis, we also discontinued the piperacillin-tazobactam. The patient's respiratory status is markedly improved the following day, and he discontinued BiPAP on admission day 6. Repeat chest X-rays taken on day 7 (see photo below) showed spontaneous resolution of his systemic symptoms. The following day, the patient underwent right foot TMA with primary closure. Upon discharge the patient had prescriptions for oral levofloxacin and newly added metronidazole for a 10-day course. At 12-month follow up, the patient has complete healing of the right TMA site without any systemic complications.
Understanding This Unusual and Rare Reaction
Type IV drug hypersensitivity reactions more often yield cutaneous findings, but in more severe cases, patients can develop drug-induced hypersensitivity syndrome, which involves fever, rash, and/or multiorgan failure. Most notably is failure of the liver, kidneys, heart, and/or lungs. Type 4 hypersensitivity reactions are also influenced by viral infections autoimmune diseases that would enhance T-cell activation and yield a larger immune response.6,7 With the delay of more than 3 days from the administration of Piperacillin-tazobactam to the presentation of our patient’s symptoms to the drug, one can infer that the patient experienced a delayed-type hypersensitivity reaction to the antibiotic. More specifically, this patient experienced acute respiratory distress syndrome (ARDS) and drug-induced pneumonitis secondary to delayed hypersensitivity to piperacillin-tazobactam.
We do not believe the patient had known and rare drug-induced pulmonary eosinophilia (PIE) because the patient failed to meet PIE criteria. Our patient did not have elevated peripheral eosinophilia (absolute eosinophil count of greater than 0.6×109/L) or (> 500 cells/microL).
Suspicion for ARDS arises among patients with progressive dyspnea and a requirement for supplemental oxygen with alveolar infiltrates on chest radiographs within 6 to 72 hours after an inciting incident. Computed tomography (CT) imaging also commonly yields "patchy" or "ground-glass" opacities, especially early in the development of ARDS.8,9 Common inciting incidents for ARDS include sepsis, infectious or aspiration pneumonia, trauma and burns, pancreatitis, smoke inhalation, shock, transfusion-related acute lung injury, cardiothoracic surgery, and drug toxicity10.
Concerning piperacillin-tazobactam specifically, drug hypersensitivity is only one example of an adverse event to be wary of. Piperacillin-tazobactam is a sodium-containing medication with approximately 430mg/3.1g vial that can rather easily yield increased water retention among those with heart failure and kidney disease.8 The nephrotoxic effects of piperacillin-tazobactam are also worth noting. In practice, switching to cefepime instead of piperacillin-tazobactam for broad-spectrum coverage of Gram-negative bacteria in the absence of penicillin/beta-lactam allergy may benefit the patient, especially if the patient presents with an increased creatinine level (greater than 1.2 mg/dL). Patients reporting symptoms of tremors, tachycardia, tinnitus, myalgia, arthralgia, coughing, urinary retention, hematuria, incontinence, and flushing of skin after taking piperacillin-tazobactam should also be worked-up either via an antineutrophil cytoplasmic antibody (ANCA) test, enzyme-linked immunoassays for IgM, or IgG, high-resolution computed tomography (HRCT) scans, or a drug provocation/challenge test to rule out an adverse reaction to the antibiotic9.
Penicillin antibiotics, and antibiotics in general, have been a great discovery to improve public health worldwide. With a reported 10 to 15 percent of patients experiencing an allergy to penicillin antibiotics10, there is an increased need for diligent monitoring for adverse reactions to these drugs. In our experience, Piperacillin-tazobactam is one of the most used antibiotics in the hospital setting. In the case mentioned above, a reaction to piperacillin-tazobactam increased the patient's hospital stay by likely upwards of 5 days. This complication also yielded a respiratory compromise for the patient and isolation in a COVID-19 hospital unit (Despite negative COVID-19 PCR screen) with an additional risk of virus contracture that would not have readily occurred otherwise. In this case, along with many other cases, the patient was not aware of a penicillin allergy before his adverse event. Although the patient may have had symptomatic relief from BiPAP treatment, focusing on unusual adverse events such as piperacillin-tazobactam-induced pneumonitis should be part of a differential diagnosis. Additionally, for patients without a known history of allergy to penicillin/beta-lactam antibiotics, alternative antibiotics with similar bacterial coverage should be considered.
Concluding Thoughts
Piperacillin-tazobactam, like other medications, is not "fool-proof" or a "one-size-fits-all" type of medication. Prescribers should be aware of the possible side effects of any medication they prescribe, even though most of the population will be able to take the prescribed dosage of medication without an adverse event. Knowing the signs of a reaction will save the patient from further developing unwarranted side effects from adverse drug events saving both time and money for the patient and the health care system.
Dr. Urbas is a Fellow of the American College of Foot and Ankle Surgeons, private practitioner, and is the Podiatric Residency Director at Crozer-Keystone Medical Center, Chester, PA
Dr. Shah is a third-year resident at Crozer Chester Medical Center, Chester, PA
Dr. Pilkinton is a second-year resident at Crozer Chester Medical Center, Chester, PA
1. Letoumeau, A.R. Beta-Lactam Antibiotics: Mechanisms of Action and Resistance and Adverse Effects. In: UpToDate, Hooper, D.C. (Ed), UpToDate, Waltham, MA. (Accessed on August 22, 2020)
2. NDA (2008). Piperacillin-tazobactam (Piperacillin and Tazobactam Injection) in Galaxy Containers (PL 2040 Plastic). FDA. pp 3-27. Retrieved from https://www.accessdata.fda.gov/drugsatfda_docs/label/2008/050750s015lbl.pdf (Accessed on August 22, 2020)
3. Benjamin A. L, 2012 Infectious Diseases Society of America Clinical Practice Guideline for the Diagnosis and Treatment of Diabetic Foot Infections, Clinical Infectious Diseases, Volume 54, Issue 12, 15 June 2012, Pages e132–e173, https://doi.org/10.1093/cid/cis346
4. Solensky, R. (2019). Penicillin Allergy: Immediate Reactions. In: UpToDate, Phillips, E.J. (Ed), UpToDate, Waltham, MA. (Accessed on August 22, 2020)
5. Solensky, R. (2019). Penicillin Allergy: Delayed Hypersensitivity Reactions In: UpToDate, Phillips, E.J. (Ed), UpToDate, Waltham, MA. (Accessed on August 22, 2020)
6. Pichler, W.J. (2019). Drug Hypersensitivity: Classification and Clinical Features. In: UpToDate, Adkinson, N.F. (Ed), UpToDate, Waltham, MA. (Accessed on August 24, 2020.)
7. Page et al. (2016). Drugs That May Cause or Exacerbate Heart Failure: A Scientific Statement From the American Heart Association. Circulation. 2016, Volume 134, Issue 6: e32–e69, originally published July 11, 2016, https://doi.org/10.1161/CIR.0000000000000426
8. Siegel, M. (2020). Acute Respiratory Distress Syndrome: Clinical Features, Diagnosis, and Complications in Adults. In: UpToDate, Parsons, P.E. (Ed), UpToDate, Waltham, MA. (Accessed on September 2, 2020)
9. Brockow, K., (2015). Guideline for the diagnosis of drug hypersensitivity reactions: S2K-Guideline of the German Society for Allergology and Clinical Immunology (DGAKI) and the German Dermatological Society (DDG) in collaboration with the Association of German Allergologists (AeDA), the German Society for Pediatric Allergology and Environmental Medicine (GPA), the German Contact Dermatitis Research Group (DKG), the Swiss Society for Allergy and Immunology (SGAI), the Austrian Society for Allergology and Immunology (ÖGAI), the German Academy of Allergology and Environmental Medicine (DAAU), the German Center for Documentation of Severe Skin Reactions and the German Federal Institute for Drugs and Medical Products (BfArM). Allergo journal international, 24(3), 94–105. https://doi.org/10.1007/s40629-015-0052-6
10. Patterson RA, Stankewicz HA. Penicillin Allergy. [Updated 2021 Jul 21]. In: StatPearls. Treasure Island (FL): StatPearls Publishing; 2022 Jan-. Available from: https://www.ncbi.nlm.nih.gov/books/NBK459320/


