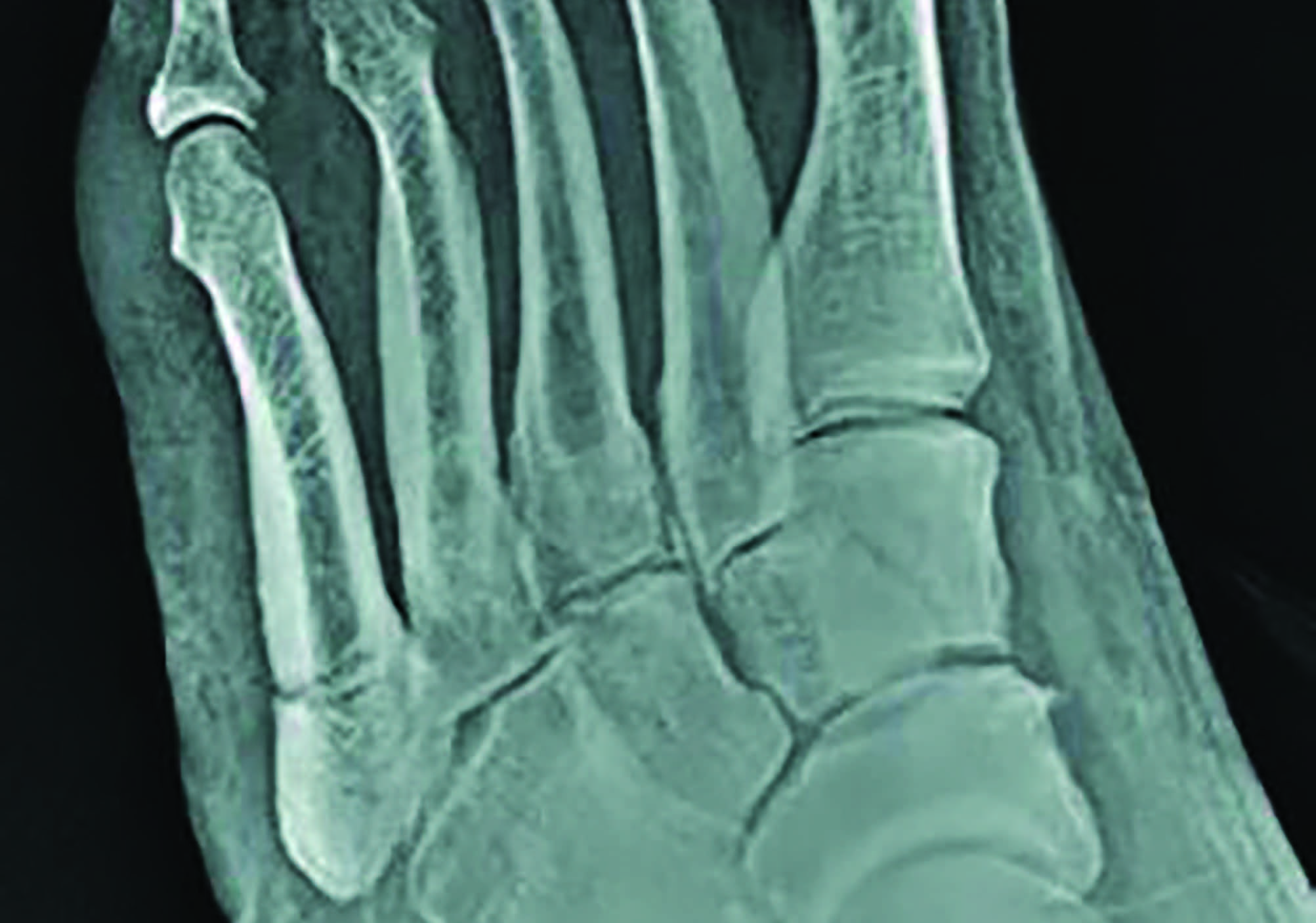
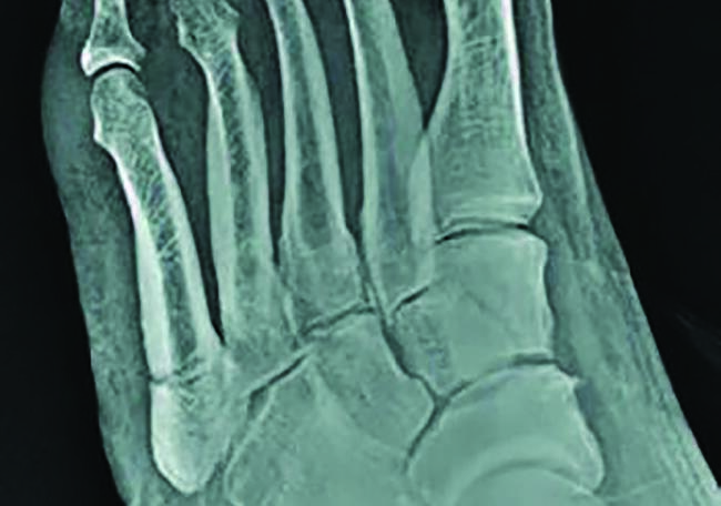
What Role Does Weight-Bearing Play in Fifth Metatarsal Fracture Healing?
Authors of a recent study in Foot and Ankle International analyzed a database of 834 patients with proximal fifth metatarsal fractures to see if fracture zone (according to Lawrence and Botte’s classification) and weight-bearing status had an impact on time to fracture union in nonoperatively treated cases.
Of the fractures studied, 61.2 percent were zone 1, 18.8 percent zone 2, and 20.0 percent zone 3. Time to fracture union for zones 1, 2, and 3 was 7.5, 7.7, and 9.2 weeks, respectively. There was no time difference in fracture union between weight-bearing as tolerated and non-weight bearing pathways. Future surgery due to nonunion and/or delayed union occurred in 2.7, 3.2 and 3.8 percent of zone 1, 2, and 3 fractures, respectively. Refracture during the follow-up period occurred in 0.6 percent of zone 1 fractures and 8.9 percent of zone 3 fractures.
Kristine Hoffman, DPM, FACFAS says she typically treats zone 1 fractures conservatively and treating zone 2 and 3 fractures surgically in active and low-risk patients.
“The main factors that I consider in determining operative and nonoperative treatment are anatomic location, activity level and comorbidities/risk factors for perioperative complications,” she says.
Zachary Flynn, DPM, FACFAS agrees that the zone of injury, comorbidities and patient activity level also determines his treatment protocol.
“Zone 1 injuries I typically treat weight-bearing as tolerated in a pneumatic walking boot,” he says. “This treatment algorithm is consistent across all patients and medical comorbidities. Zone 2 has a slightly higher operative management prevalence. I use the fourth tarsometatarsal articulation as my cutoff zone, as well as medical comorbidities, level of activity, and fracture pattern.”
He says that he manages an even higher rate of zone 3 fractures surgically, nearly always with intramedullary screw fixation.
In general, Dr. Hoffman relates she sees union rates similar to that reported in the study. However, she says she sees higher non-union rates in weight-bearing patients immobilized in surgical shoes or short walking cast boots.
“I suspect this is largely due to muscle activity of peroneus brevis, decreased with the use of below-the-knee immobilization devices,” she explains.
Dr. Flynn’s experience is similar to the study findings, with a subtle difference in timeline to healing.
“I typically see clinical symptoms of zone 1 and proximal zone 2 fractures decrease post-injury weeks 6 to 8,” he says. “Complete radiographic union typically lingers longer, more towards week 10 to 12. All these fractures will get treated with a pneumatic walking boot and allow early mobilization.”
He adds that he finds fractures in zones 2 and 3 can take longer to heal conservatively, more often require bone stimulator therapy, and that refracture is very rare.
This study provides useful information that nonoperative treatment is a viable option for these fractures, says Dr. Hoffman, an Assistant Professor in the Department of Orthopedics at the University of Colorado School of Medicine. Podiatrists can also advise patients on expected time to healing.
Dr. Flynn, a fellowship-trained foot and ankle surgeon in Phoenix, says that readers can discern from the study is that it is safe to allow patients to weight-bear in a pneumatic walking boot, due to no difference in time to fracture healing or rate of fracture union. He adds that this study also supports the zone of injury being a key factor in determining when surgical intervention may be necessary.
Dr. Hoffman encourages podiatrists to consider immobilization options to minimize the pull of peroneus brevis tendons when treating these injuries, along with other factors such as smoking and vitamin D levels.
Could Nares Swabs Predict MRSA in Lower Extremity Wounds?
Jennifer Spector, DPM, FACFAS, Managing Editor
A recent in-press article in the Journal of Foot and Ankle Surgery retrospectively examined records of 440 patients with wounds distal to the tibial tuberosity with sterile intraoperative tissue and nares cultures from the same encounter. Diabetes, chronic kidney disease and PAD co-existed with the wound in 66.82, 30.68, and 32.27 percent of those studied, respectively. Sensitivity and specificity were 53.13 and 96.13 percent, respectively.
The authors found MRSA-positive wound cultures in 14.9 percent with overall accuracy of nasal cultures being 90.04 percent. They further reviewed 30 false negatives, and using select exclusion criteria, found that the negative predictive value of MRSA nares colonization was 99.51 percent. The researchers concluded that nares swabs provide significant diagnostic data to rule out MRSA in foot and ankle wounds using the gold standard culture reference.
Ramez Sakkab, DPM, lead author, shares his institution’s high volume of inpatient diabetic foot surgery afforded the team a strong data set from which to conduct this study.
Tyler MacRae, DPM, a co-author,did find one data point particularly interesting.
“The ability of nares swabs to predict MRSA in lower extremity wounds hovers around 50 percent in the existing literature,” he says.1 “Our positive predictive value, however (using intraoperative cultures), was nearly 70 percent.
Dr. Sakkab point out the importance of the strength of the negative predictive value.
“After doing a secondary analysis using risk factors from Infectious Disease Society of America (IDSA) guidelines, our negative predictive value approached 99.5 percent,” he says. “If a patient had a negative nares surveillance culture with no MRSA risk factors, the likelihood of them having an MRSA-positive deep foot infection was less than one percent.”
Drs. Sakkab and MacRae, both second-year residents at Scripps Mercy Hospital in San Diego, feel that this data has broad implications in practice and for future studies. They point out that future research is necessary and might lead to the proposal of a standardized treatment algorithm, hopefully leading to avoidance of iatrogenic injury and resistance patterns.
Reference
1. Mergenhagen KA, Croix M, Starr KE, Sellick JA, Lesse AJ. Utility of methicillin-resistant Staphylococcus aureus nares screening for patients with a diabetic foot infection. Antimicrob Agents Chemother. 2020;64(4):e02213-19
How Do Podiatrists Manage Pain After Limb Preservation Surgery?
Jennifer Spector, DPM, FACFAS, Managing Editor
Is there an association between podiatrist characteristics and postoperative narcotic prescribing practices after limb preservation surgery? A poster presented at the recent 2022 American College of Foot and Ankle Surgeons Annual Scientific Conference in Austin, Texas, examined this very question. Researchers analyzed 115 DPM responses to a survey that collected demographic data along with responses to questions about postoperative medications for five different limb preservation patient scenarios. Across all scenarios, respondents indicated they would prescribe narcotics 43 to 67 percent of the time.
Hydrocodone was most common among four scenarios and oxycodone was most common in the remaining scenario. Respondents proposed regional nerve blocks 70 to 88 percent of the time, but did not prescribe non-steroidal anti-inflammatories more than opioids. The mean dosage units (number of pills) the respondents would prescribed ranged from 21.9 to 26.4 across the scenarios. The authors did find variation in prescribing practices, however they state that how much of this variation is unwarranted is as of yet unknown.
Brandon M. Brooks, DPM, MPH, lead author on the poster, shares that his capstone project as the APMA’s sixth Public Health Fellow inspired this particular study, which specifically looked at the diabetic patient population. He says that regional variation in prescribing practices was one surprising finding.
“Where podiatric physicians physically practiced was a more important factor than age, board certification, or even the size of their practice in terms of opioid prescribing,” he explains. “For example, following transmetatarsal amputations, podiatric physicians in the Northeast had reduced odds of prescribing any opioids; the ones that did prescribe tended to prescribe 9 to 10 less opioids at the time of surgery compared to podiatric physicians elsewhere in the country. While state laws can explain some of this variation, they alone cannot explain the decision not to prescribe any opioids.”
Dr. Brooks relates that podiatric physicians stand at the intersection of, and can have a major impact on, two public health crises; the diabetes pandemic and the US opioid epidemic.
“We need to recognize that many patients with type 2 diabetes mellitus may not require as many postoperative opioids as patients undergoing elective foot and ankle surgery,” he says. “For patients with diabetes, more podiatric physicians reported utilizing regional nerve blocks than prescribing opioids. Using multimodal analgesia can reduce the need for opioids. Postoperative analgesic prescribing practice should be ‘patient-centric and procedure-focused.’ Finally, preventative foot care can make a big difference in reducing both amputations and excess opioids.”
When Do Surgeons Overcome the “Learning Curve” Associated With Certain MIS Procedures?
Jennifer Spector, DPM, FACFAS, Managing Editor
How many procedures does it take for a surgeon to be adequately proficient in the minimally invasive, modified Bösch osteotomy combined with percutaneous adductor tendon release for hallux valgus? A study recently published in Foot & Ankle Specialist sought to determine when surgeons overcome the often-discussed learning curve associated with minimally invasive (MIS) techniques. The authors looked at 46 consecutive patients over nearly 3 ½ years and determined that after the first 30 cases, radiographic, clinical, and functional outcomes substantially improved, as did the rates of perioperative complications.
To come to this conclusion, researchers also evaluated age, body mass index, operative time, the hallux valgus angle, the first intermetatarsal angle, the American Orthopedic Foot and Ankle Society (AOFAS) forefoot scale, the Foot and Ankle Ability Measure activities of daily living (FAAM ADL) subscale, and the visual analog scale (VAS).
Brian G. Loder, DPM, CWS shares that, in his experience, the learning curve reported in this paper is accurate for the steps required for this procedure.
“I have found when training residents, the average resident requires about 25 to 30 cases to be able to perform a percutaneous hallux valgus on their own successfully,” he explains.
He goes on to say that the most challenging part of the percutaneous hallux valgus correction is the placement of the percutaneous wires for fixation of the capital fragment. Performing this requires the understanding of special orientation while utilizing both hands to work independently of each other, he details.
“Novice surgeons have difficulty keeping the wire parallel to the long axis of the first metatarsal while controlling the correction and rotation of the capital fragment with the contralateral hand,” he says.
The most important thing for the surgeon to have is patience, says Dr. Loder, an Assistant Professor at Michigan State University College of Osteopathic Medicine. He says that initially, this procedure should not be considered a quicker and easier approach and recommends that novice surgeons strictly follow the steps outlined by more experienced surgeons.
“When keeping to these steps, the novice surgeon will develop muscle memory that will assist them through the rough parts early on,” he says. “Currently, most of the systems produced have developed a surgical jig that may ultimately lower the learning curve. New studies on these jigs are necessary to prove their benefit.”
Poster Aims To Explore Parameters of Bone Mineral Density in the Foot
Jennifer Spector, DPM, FACFAS, Managing Editor
A poster at the recent American College of Foot and Ankle Surgeons Annual Scientific Conference aimed to use computed tomography (CT) scans to measure bone mineral density in the foot using Hounsfield Units (HU). They evaluated 137 lower extremity CT scans and found significant differences in BMD among 9 anatomic locations. Age had a statistically significant inverse relationship to HU, but the authors found no differences between sexes at any location except the talar head.
Jered M. Stowers, DPM, AACFAS, DABPM, lead author, says the team sought to establish normal physiologic ranges in specific bones of the foot and determine any differences in density within different regions.
Karla De La Mata, DPM, another author of the poster, shares that the differences between each of the bones with respect to BMD, and the consistency of those differences, was a suprising finding.
“For instance, the talar body is considerably more dense than the calcaneus,” she says. “While some of these findings are intuitive and very evident in practice, this is a great way to quantify the density. We also found it surprising during the evolution of this study to learn that many practitioners do not know what the HU scale is, or how they can easily measure these findings on their own imaging systems using a simple region of interest tool in most cases.”
Dr. Stowers, a current Fellow at the Foot and Ankle Institute in Indianapolis, encourages readers to familiarize themselves with normal physiological ranges of bone density and to learn how to measure the region of interest of each lower extremity bone using a CT scan, which, he says, can require practice.
“This data can be used in conjunction with other published reports to determine patient bone health, guide surgical approach and technique, and establish relationships with pathology and bone density,” he adds.1,2
Dr. De La Mata, a second-year resident at Lenox Hill Hospital in New York, hopes a future published manuscript will formally establish normal values for various foot bones in a population generalizable to the public.
“We hope to use this data as the backbone of many new projects that compare bone density in different pathologies to the established normal density,” she says.
References
1. Stowers JM, Black AT, Kavanagh AM, et al. Predicting nonunions in ankle fractures using quantitative tibial hounsfield samples from preoperative computed tomography: a multicenter matched case control study. J Foot Ankle Surg. 2021. doi: 10.1053/j.jfas.2021.10.007.
2. Cody EA, Lachman JR, Gausden EB, Nunley JA 2nd, Easley ME. Lower bone density on preoperative computed tomography predicts periprosthetic fracture risk in total ankle arthroplasty. Foot Ankle Int. 2019;40(1):1–8.


