Skip to main content

Volume 37 - Issue 2 - February 2024

Case Report
02/13/2024
Michael L. Cooper, MD; Jean V. Archer, DPM, FACPM, CWS, FACCWS, FASPS, FAPWHc
The authors present a case report of a street food vendor with uncontrolled diabetes mellitus who suffered a hot oil scald foot burn requiring skin grafting, providing insight into the mechanism of this particular burn injury and an...
The authors present a case report of a street food vendor with uncontrolled diabetes mellitus who suffered a hot oil scald foot burn requiring skin grafting, providing insight into the mechanism of this particular burn injury and an...
The authors present a case...
02/13/2024
Podiatry Today
Cover Feature
02/03/2024
Betsy H. Grunch, MD, FACS; Bradley P. Abicht, DPM, FACFAS; Ebonie Vincent-Sleet, DPM, MBMS; Brian Loder, DPM, CWS, FACFAS; Jacqueline Donovan, DPM, FACFAS; Tea Nguyen, DPM
In this roundtable, the panelists share their goals and activities on social media, how it has impacted their practice, and how other medical professionals may find benefit for their practices.
In this roundtable, the panelists share their goals and activities on social media, how it has impacted their practice, and how other medical professionals may find benefit for their practices.
In this roundtable, the...
02/03/2024
Podiatry Today
Feature
02/03/2024
Ramez Sakkab, DPM, AACFAS; Jeffrey E. McAlister, DPM, FACFAS
Global ankle instability, which combines the medial and lateral aspects of this concern, should be a consideration in patients with acute ankle sprains or chronic ankle instability. These authors review assessment and evaluation of this...
Global ankle instability, which combines the medial and lateral aspects of this concern, should be a consideration in patients with acute ankle sprains or chronic ankle instability. These authors review assessment and evaluation of this...
Global ankle instability, which...
02/03/2024
Podiatry Today
Feature
02/03/2024
Christopher R. Hood, Jr., DPM, FACFAS, AACFAS
For those starting at a new podiatry practice, this author notes the importance of having a firm grasp on the specifics of your contract, including compensation, benefits, partnership, and other aspects.
For those starting at a new podiatry practice, this author notes the importance of having a firm grasp on the specifics of your contract, including compensation, benefits, partnership, and other aspects.
For those starting at a new...
02/03/2024
Podiatry Today
Practice Builders
02/03/2024
Andrew Schneider, DPM
Frequently, you will find that sensitive current events may intersect with your role as a healthcare provider, challenging you to maintain professionalism while showing empathy. Whether it’s a global pandemic, political unrest, or societal...
Frequently, you will find that sensitive current events may intersect with your role as a healthcare provider, challenging you to maintain professionalism while showing empathy. Whether it’s a global pandemic, political unrest, or societal...
Frequently, you will find that...
02/03/2024
Podiatry Today
Sports Medicine
02/03/2024
A. Douglas Spitalny, DPM, FACFAS
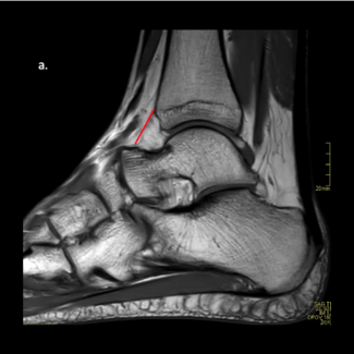
My focus is simple: I want to highlight commonly missed MRI pathology. This educates not just our patients but ourselves on the benefits of surgery.
My focus is simple: I want to highlight commonly missed MRI pathology. This educates not just our patients but ourselves on the benefits of surgery.
My focus is simple: I want to...
02/03/2024
Podiatry Today
Diabetes Watch
02/03/2024
Desmond P. Bell, Jr., DPM, CWS, FFPM, RCPS(Glasg), FCCWS, FAPWCA
This author offers examples of how to include the JW/JZ modifiers in a skin substitute claim submission.
This author offers examples of how to include the JW/JZ modifiers in a skin substitute claim submission.
This author offers examples of...
02/03/2024
Podiatry Today