Skip to main content

Volume 36 - Issue 8 - August 2023

Cover Feature
08/01/2023
John N. Evans, DPM, FACFAS, DABFAS
Peripheral arterial disease (PAD) is growing in prevalence and necessitates a lifetime of surveillance. This author discusses risk assessment, atherosclerotic vs. atherothrombotic disease, and treatment options including exercise.
Peripheral arterial disease (PAD) is growing in prevalence and necessitates a lifetime of surveillance. This author discusses risk assessment, atherosclerotic vs. atherothrombotic disease, and treatment options including exercise.
Peripheral arterial disease...
08/01/2023
Podiatry Today
Point-Counterpoint
08/01/2023
Anna Kakizadi, DPM; Michael H. Theodoulou, DPM, FACFAS; Brian Loder, DPM, CWS, FACFAS
Percutaneous or triplanar connection? DPMs debate the issue.
Percutaneous or triplanar connection? DPMs debate the issue.
Percutaneous or triplanar...
08/01/2023
Podiatry Today
Point-Counterpoint
08/01/2023
Anna Kakizadi, DPM; Michael H. Theodoulou, DPM, FACFAS; Brian Loder, DPM, CWS, FACFAS
Percutaneous or triplanar connection? DPMs debate the issue.
Percutaneous or triplanar connection? DPMs debate the issue.
Percutaneous or triplanar...
08/01/2023
Podiatry Today
Feature
08/01/2023
Windy E. Cole, DPM, CWSP, FACCWS
As artificial intelligence starts to pervade different industries and facets of life, can it help in diagnosing and treating wounds? This author explores the potential of AI in assessing wounds, coordinating with patient health information,...
As artificial intelligence starts to pervade different industries and facets of life, can it help in diagnosing and treating wounds? This author explores the potential of AI in assessing wounds, coordinating with patient health information,...
As artificial intelligence...
08/01/2023
Podiatry Today
Diabetes Watch
08/01/2023
Haywan Chiu, DPM, FACFAS; Allyssa Chiu, DPM, MS
The medial band plantar fasciotomy should be used with particular caution in patient populations with morbid obesity and flat feet, and also has potential to be a surgical treatment option to offload plantar hallux ulcerations in patients...
The medial band plantar fasciotomy should be used with particular caution in patient populations with morbid obesity and flat feet, and also has potential to be a surgical treatment option to offload plantar hallux ulcerations in patients...
The medial band plantar...
08/01/2023
Podiatry Today
Sports Medicine
08/01/2023
A. Douglas Spitalny, DPM, FACFAS
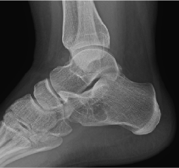
Bone cysts are rarely symptomatic but always problematic as they grow in size. Regardless of type, the potential for pathologic fracture is always present amongst our athletes and military. Evaluation and treatment are routinely an elective...
Bone cysts are rarely symptomatic but always problematic as they grow in size. Regardless of type, the potential for pathologic fracture is always present amongst our athletes and military. Evaluation and treatment are routinely an elective...
Bone cysts are rarely...
08/01/2023
Podiatry Today