Skip to main content

Volume 35 - Issue 7 - July 2022

Diabetes Watch
07/22/2022
Stephanie C. Wu, DPM, MSc, FACFAS; Timothy P. Cheung, DPM, PhD, CPT, AACFAS
The authors outline podiatrically relevant aspects of a recent American Diabetes Association compendium on diabetic peripheral neuropathy.
The authors outline podiatrically relevant aspects of a recent American Diabetes Association compendium on diabetic peripheral neuropathy.
The authors outline...
07/22/2022
Podiatry Today
Surgical Pearls
07/18/2022
Sue Y. Cole, PA-C; Marc Jones, DPM, FASPS, FACPM, FACFAOM
The authors share a unique case scenario of bilateral Achilles tendon ruptures after both fluoroquinolone and steroid use.
The authors share a unique case scenario of bilateral Achilles tendon ruptures after both fluoroquinolone and steroid use.
The authors share a unique case...
07/18/2022
Podiatry Today
Feature
07/15/2022
Sara Karamloo, DPM, MHA, FACFAS, DABPM
The author shares her experience and knowledge to help podiatrists learn more about succeeding in this challenging pursuit.
The author shares her experience and knowledge to help podiatrists learn more about succeeding in this challenging pursuit.
The author shares her experience...
07/15/2022
Podiatry Today
Feature
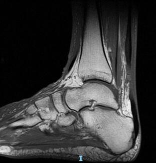
07/13/2022
Harry John Visser, DPM, FACFAS; Nicole Marie Smith, DPM
Early identification of, and treatment for, talar avascular necrosis is key to successful outcomes. However, when patients with diagnostic delay present to the office, treatment pathways are not always linear. Here the authors present a...
Early identification of, and treatment for, talar avascular necrosis is key to successful outcomes. However, when patients with diagnostic delay present to the office, treatment pathways are not always linear. Here the authors present a...
Early identification of, and...
07/13/2022
Podiatry Today
Feature
07/05/2022
Jennifer J. Spector, DPM, FACFAS
In our annual roundup of exciting innovations, the author talks with leading podiatrists, sharing their insights on emerging advances that you need to know.
In our annual roundup of exciting innovations, the author talks with leading podiatrists, sharing their insights on emerging advances that you need to know.
In our annual roundup of...
07/05/2022
Podiatry Today
News and Trends
07/05/2022
Maryellen Brucato, DPM, FACFAS
Learn more about a thought leader's insights on a recently published article.
Learn more about a thought leader's insights on a recently published article.
Learn more about a thought...
07/05/2022
Podiatry Today
Feature
07/05/2022
Joshua Wolfe, BS, DPM, MHA, AACFAS; Ryan T. Scott, DPM, FACFAS, AACFAS; Jamie L. Dermatis, DPM
In this article, the authors debate which approach to ankle fusion yields the best results, and in what types of scenarios.
In this article, the authors debate which approach to ankle fusion yields the best results, and in what types of scenarios.
In this article, the authors...
07/05/2022
Podiatry Today
Wound Care Q&A
07/05/2022
Kazu Suzuki, DPM, CWS
Read more about Dr. Suzuki's journey to his subspecialty and thoughts he has for future podiatrists.
Read more about Dr. Suzuki's journey to his subspecialty and thoughts he has for future podiatrists.
Read more about Dr. Suzuki's...
07/05/2022
Podiatry Today
Forum
07/05/2022
Kevin A. Kirby, DPM, MS
Dr. Kirby shares insights on the vital nature of the gait examination.
Dr. Kirby shares insights on the vital nature of the gait examination.
Dr. Kirby shares insights on the...
07/05/2022
Podiatry Today
07/04/2022
Ashim Wadehra, DPM, AACFAS
Successful hindfoot fusion for flat foot reconstruction requires attention to detail and a methodical approach. Here the author shares his step-by-step process in hopes of outlining, in his experience, a pathway to positive outcomes.
Successful hindfoot fusion for flat foot reconstruction requires attention to detail and a methodical approach. Here the author shares his step-by-step process in hopes of outlining, in his experience, a pathway to positive outcomes.
Successful hindfoot fusion for...
07/04/2022
Podiatry Today