Skip to main content

Volume 34 - Issue 11 - November 2021

Diabetes Watch
11/19/2021
Jeremy Marchand, DPM; Amit Raj, DPM; Anthony Nguyen, DPM; Zenat Hussaini; Joe Yeo, DPM; Corey Czarnecki, DPM; Mary Hickner, DPM; Jason Kalk, DPM, DABFAS
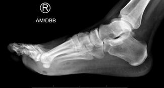
Diabetes increases patient mortality rates by two- to four-fold compared to those without diabetes. These rates increase another two-fold in patients with a diabetic foot ulceration (DFU).
Diabetes increases patient mortality rates by two- to four-fold compared to those without diabetes. These rates increase another two-fold in patients with a diabetic foot ulceration (DFU).
Diabetes increases patient...
11/19/2021
Podiatry Today
News and Trends
11/17/2021
Jennifer J. Spector, DPM, FACFAS
Highlights of the latest research, events and notable happenings in the field of podiatry.
Highlights of the latest research, events and notable happenings in the field of podiatry.
Highlights of the latest...
11/17/2021
Podiatry Today
11/12/2021
Allison Rottman, DPM; Piroska Schlesinger, DPM
Here the authors present a unique etiology of a deep diabetic foot abscess and outline key components of the diagnosis and treatment.
Here the authors present a unique etiology of a deep diabetic foot abscess and outline key components of the diagnosis and treatment.
Here the authors present a...
11/12/2021
Podiatry Today
11/10/2021
Edgardo R. Rodriguez-Collazo, DPM; Lauren Lindsay Schnack, DPM, MS, AACFAS, FACPM, DABPM; Stephanie Oexeman, DPM, AACFAS, DABPM
Nerve pathology can become chronic and debilitating, necessitating evaluation by a reconstructive peripheral nerve surgeon and neurophysiologist. Ultrasound-guided nerve blocks, nerve conduction studies, and electromyograms may all aid in the...
Nerve pathology can become chronic and debilitating, necessitating evaluation by a reconstructive peripheral nerve surgeon and neurophysiologist. Ultrasound-guided nerve blocks, nerve conduction studies, and electromyograms may all aid in the...
Nerve pathology can become...
11/10/2021
Podiatry Today
Feature
11/08/2021
Suna Panah, DPM; NIcholas Pagano, DPM, FACFAS, FACFAP; James Allred, MD, DPM
Athletic seasons may bring an influx of children with heel pain into podiatric offices. However, the sedentary results of the COVID-19 pandemic may also cause symptoms in need of evaluation. Here the author outlines appropriate history...
Athletic seasons may bring an influx of children with heel pain into podiatric offices. However, the sedentary results of the COVID-19 pandemic may also cause symptoms in need of evaluation. Here the author outlines appropriate history...
Athletic seasons may bring an...
11/08/2021
Podiatry Today
Feature
11/04/2021
Morgan Jerabek, DPM; Melissa 'Missy' Thompson, PhD; Kristine M. Hoffman, DPM, FACFAS; Matthew Gorski, DPM
Shoe gear has the potential to play a significant role in the treatment and prevention of lower extremity injuries. Heel pain is a prevalent complaint resulting from several pathologies, including plantar fasciitis and Achilles tendonitis.
Shoe gear has the potential to play a significant role in the treatment and prevention of lower extremity injuries. Heel pain is a prevalent complaint resulting from several pathologies, including plantar fasciitis and Achilles tendonitis.
Shoe gear has the potential to...
11/04/2021
Podiatry Today
Feature
11/02/2021
Darren Woodruff, DPM, CWSP; Sanjay Sharma, MS, DPM; Koji Kawamata, BSc; Benn Boshell, MSc, BSc(Hons); Steven R. Edwards, MSc(Oxon), BSc
Podiatry Today invited foot and ankle practitioners from around the globe to share their experiences with heel pain in their respective countries, whether changes due to the COVID-19 pandemic, challenges due to a lack of understanding of the...
Podiatry Today invited foot and ankle practitioners from around the globe to share their experiences with heel pain in their respective countries, whether changes due to the COVID-19 pandemic, challenges due to a lack of understanding of the...
Podiatry Today invited foot and...
11/02/2021
Podiatry Today
Wound Care Q&A
10/27/2021
Babajide Ogunlana, DPM, FACFAS; Kazu Suzuki, DPM, CWS; James E. Fullwood, Jr., DPM, FACFAS, FACPM
Here the panelists comment on health inequities and how they may affect wound care, including steps clinicians can take to recognize and combat these issues.
Here the panelists comment on health inequities and how they may affect wound care, including steps clinicians can take to recognize and combat these issues.
Here the panelists comment on...
10/27/2021
Podiatry Today
Surgical Pearls
10/26/2021
Harry John Visser, DPM, FACFAS; Kalen Farr, BS
Podiatric surgeons commonly perform procedures for hallux abducto valgus, and capital osteotomies of the first metatarsal are often part of this armamentarium. The technicality of these procedures is relatively straightforward, but...
Podiatric surgeons commonly perform procedures for hallux abducto valgus, and capital osteotomies of the first metatarsal are often part of this armamentarium. The technicality of these procedures is relatively straightforward, but...
Podiatric surgeons commonly...
10/26/2021
Podiatry Today
Treatment Dilemmas
10/25/2021
Bob Baravarian, DPM, FACFAS
Over the past decade or so, I have written several articles regarding bunions, their treatment options, including the best surgical option for each type of hallux valgus, and why. The overall solution in my hands for hallux valgus deformity...
Over the past decade or so, I have written several articles regarding bunions, their treatment options, including the best surgical option for each type of hallux valgus, and why. The overall solution in my hands for hallux valgus deformity...
Over the past decade or so, I...
10/25/2021
Podiatry Today
Feature
10/25/2021
James Allred, MD, DPM; Suna Panah, DPM; NIcholas Pagano, DPM, FACFAS, FACFAP
Athletic seasons may bring an influx of children with heel pain into podiatric offices. However, the sedentary results of the COVID-19 pandemic may also cause symptoms in need of evaluation. Here the author outlines appropriate history...
Athletic seasons may bring an influx of children with heel pain into podiatric offices. However, the sedentary results of the COVID-19 pandemic may also cause symptoms in need of evaluation. Here the author outlines appropriate history...
Athletic seasons may bring an...
10/25/2021
Podiatry Today
Clinical Solutions in Practice
10/25/2021
Jennifer J. Spector, DPM, FACFAS
Could an alternative fixation options for digital deformities facilitate a personalized and versatile approach to each case?
Could an alternative fixation options for digital deformities facilitate a personalized and versatile approach to each case?
Could an alternative fixation...
10/25/2021
Podiatry Today
Forum
10/25/2021
Kevin A. Kirby, DPM, MS
Recently, I have noticed much discussion on the lack of knowledge in foot and lower extremity biomechanics and custom foot orthosis therapy in newly trained podiatrists within our country. Although this seems like a serious matter to many...
Recently, I have noticed much discussion on the lack of knowledge in foot and lower extremity biomechanics and custom foot orthosis therapy in newly trained podiatrists within our country. Although this seems like a serious matter to many...
Recently, I have noticed much...
10/25/2021
Podiatry Today