Impact of Nanocrystalline Hydroxyapatite Bone Graft Substitute on Lower Extremity Osseous Union Rates
Arthrodesis procedures are more common in the foot and ankle than anywhere else in the body. Historical nonunion rates range between 0 and 23% and can vary based on target joint and risk factors.1–3 Using bone graft and bone graft substitutes to decrease nonunion rates has become popular for arthrodesis, bone void, and fracture, especially in the foot and ankle. An ideal bone graft would contain osteoinductive, osteoconductive, and osteogenic properties. Although traditionally effective and exhibiting all of the bone healing properties, autologous bone graft can still come with its own complications, such as donor site defects, pain, iatrogenic fracture, nerve irritation, and infection, among others.4-6 Additionally, patients with large bone defects such as in avascular necrosis (AVN) or trauma that would require large structural bone grafts may not be good candidates for autologous bone harvest. Subsequently, this very challenge has led to the advent of several different forms of bone graft substitutes and adjuvants that surgeons can use with or without autologous or allogenic bone graft.7–10
Many bone graft substitutes serve as a scaffold and contain osteoconductive properties to allow natural bony ingrowth. Several different types of these substitutes have a basis in components found in the body’s natural extracellular matrix (ECM) such as hydroxyapatite, calcium phosphate, and collagen. Since the ECM substitutes typically only contain osteoinductive properties, we’ve seen surgeons commonly combine them with adjuvants such as bone marrow aspirate, platelet rich plasma, bone morphogenic proteins to incorporate osteoconduction.
Recent investigations have centered around methods to extend the life and local presence of the bone graft substitute at intended surgical sites.11–12 Research exists on several different media, with silica gel–based formulations having excellent results with retaining both structure and longevity of the ECM bone graft substitutes at the surgical site.13–14 Periodontal applications of silica-based hydroxyapatite graft are wide, with excellent results and low complication rates.15 However, the evidence as it pertains to foot and ankle procedures is sparse.
Nonunion, delayed union, and bone voids present potential challenging complications for foot and ankle surgeons. As such, arthrodesis and osteotomies have benefited from bone autograft and allograft to augment bone healing and fusion, especially in compromised hosts such as those with diabetes or smoking histories. This study highlights the utilization and impact of a nanocrystalline hydroxyapatite bone graft substitute (NHBGS) on union rates across several surgically treated foot and ankle osteotomies, fractures, bone voids, and arthrodesis procedures.
Study Methods and Analysis
Ethical approval for this study was obtained from WCG IRB (20202032). Enrollment consisted of 217 patients; however, final inclusion resulted in a cohort of 108 patients (71 female, 37 male) after accounting for loss to follow-up or no data collection. The patients averaged an age of 55.7 years, with the range being 19 to 80 years. Of the patients studied, diagnoses included:
• Primary or secondary osteoarthritis with or without deformity (80 patients)
• Fracture (17 patients)
• Bone voids related to hardware removal, bone cysts, osteochondral lesions, or avascular necrosis (11 patients)
Comorbidities found in these patients studied included:
• Hypertension (22 patients)
• Diabetes mellitus (15 patients)
• Active tobacco use (18 patients)
• No comorbidities (53 patients)
Primary outcome measures included progression of osseous union and/or void filling noted radiographically on serial imaging at 3- and 6-month intervals, as well as pre- and postoperative visual analog score (VAS), Foot and Ankle Ability Measure (FAAM), and FAAM current level of function scores. Secondary outcome measures included pain medication use and level of physical activity. Preoperative and postoperative VAS, FAAM, and FAAM current function level scores were calculated using unpaired t-test (Microsoft Office 2018, Microsoft Corporation).
A Closer Look at the Surgical Technique
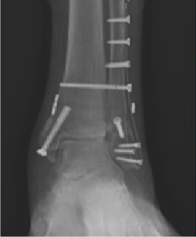
Surgical technique in these cases varied based on surgeon, pathology, approach, and procedures performed. This variation includes joint preparation technique for arthrodesis procedures, type of internal or external hardware, and fixation methods. However, NHBGS was the only adjunctive material used for all patients in the study with no additional grafts, graft substitutes, or any other biologics added. Available quantities of the NHBGS included 5mL or 10mL, with two different delivery methods (Figure 1), quick delivery (QD) and superior bone matrix (SBX) (Figures 2A-B). One advantage of the silica-based medium is the ease of handling. Surgeons can mold, shape, and contour the material while maintaining structure (Figure 3). Some examples of the NHBGS application included tibiotalocalcaneal fusion using a custom-printed metal scaffold (Figure 4A-B), tarsometatarsal arthrodesis (Figures 5A-B), and ankle fracture open reduction with internal fixation (Figure 6).
What Did the Analysis Reveal?
Primary Outcomes. There was a statistically significant improvement (P<0.05) in postoperative VAS (1.8 +/- 2.3 (range 0–10)), FAAM (74.0 +/- 19.3 (range 20-99)), and FAAM Function (85.7 +/- 19.1 (range 25–100)) scores when compared to preoperative values of VAS (6.1 +/- 2.8 (Range 1–10)), FAAM (50.4 +/- 20.6 (Range 1–90)), and FAAM Function (49.5 +/- 25.1 (Range 4-90)) at 6 months after surgery (Table 1). Overall union rate at final 6 month follow-up in those studied was 99.1%, with 107 of the 108 patients achieving bony union. The single patient with nonunion did have several comorbidities including uncontrolled diabetes, active tobacco use, and Charcot arthropathy. There was no statistically significant difference noted when comparing the demographic data or patient comorbidities as it pertained to the primary outcome measures.
Secondary Outcomes. Secondary outcome measures evaluated included pain medication use and level of physical activity. The patients reported decreased usage of narcotic and non-narcotic analgesics, and increased levels of physical activity at 6 months; however, this did not reach statistical significance (Table 2). There were no complications reported regarding the use and application of the graft itself.
What Can Surgeons Learn From These Cases?
As it pertains to bony surgery of the foot and ankle, achieving union while limiting complications is of the utmost importance. The data in this study shows a union rate of 99.1% at 6-month follow-up without the risk of donor site complications. To our knowledge, this is the first study to investigate the use of NHBGS in foot and ankle arthrodesis and osteotomies.
Union rates in foot and ankle surgery have increased over time, and surgeons benefit from use of autografts. However, autografts can come with the aforementioned complications, such as donor site infection and pain. A large logistic regression study from 2015 included 159 papers in foot and ankle surgery on the use of bone autograft.16
They found a trend towards higher fusion rates when using autograft; however, this did not reach statistical significance. They found the highest rate of union with cancellous structural autografts, with a rate of 96.3%. In contrast, they only found a union rate of 76% for structural allograft.16
aid healing.
A 2016 study looked at the process of tissue engineering scaffolds and how to extend their structural integrity and lifespan at the target sites.6 They found that combining hydroxyapatite with silica-based mediums increased the hydroxyapatite’s porosity, biocompatibility, water retention, protein adsorption, mechanical strength, and biomineralization (Figure 7).
Authors have conducted studies with NHBGS in the past, but mainly investigated the filling of bone defects created by bone tumors or trauma.17,18 These previous studies found no complications with use of the NHBGS, and found healing/union rates comparable to traditional autograft.
A Closer Look at Study Limitations
While the study was a multicenter and prospective in nature, there were several limitations. Patients had a wide range of comorbidities, some of which were modifiable and some non-modifiable. There was a relatively short follow up with data,being collected at only 3 and 6 months. With the short follow-up, the long-term effects of the graft are unknown. Bony union was based on radiographs and clinical alone, very few patients had a computed tomography (CT) correlation. All patients enrolled in the study received the graft, so there was no control group to compare. The study included several different surgeons with different methods of fixation, joint prep, and surgical techniques. Future studies could include larger sample size, comparison groups, or CT confirmation of union.
In Conclusion
Our data demonstrates excellent clinical and radiographic healing when using NHBGS without any apparent complications or contraindications. We also observed statistically significant improvements in multiple functional outcomes scores.
Drs. Cottom and Badell practice at Florida Orthopedic Foot and Ankle Center in Sarasota, FL.
Disclosures: The author(s) received no financial support for the research, authorship, and/or publication of this article. Dr. Cottom reports consulting fees and payment or honoraria for lectures, presentations, speaker’s bureaus, or educational events from Artoss. Artoss had no involvement with the preparation or development of this paper.
Acknowledgements: The authors express their gratitude to the generosity of Joe Mathew George DPM (Illinois Orthopedic Institute, Joliet, IL), Jeffrey E. McAlister DPM FACFAS, Ryan R. Reinking DPM (Orthopaedic Associates of Duluth, Duluth, MN), Eric Temple, DPM (The Iowa Clinic, W. Des Moines, IA), James T. Vestile DPM (Hoosier Foot and Ankle, Franklin, IN) and David A. Yeager DPM (Morrison Community Hospital, Morrison, IL)
References
1. Myers TG, Lowery NJ, Frykberg RG, Wukich DK. Ankle and hindfoot fusions: comparison of outcomes in patients with and without diabetes. Foot Ankle Int. 2012;33(1):20-8.
2 Thevendran G, Younger A, Pinney S. Current concepts review: risk factors for nonunions in foot and ankle arthrodeses. Foot Ankle Int. 2012;33(11):1031-40.
3. Yeoh JC, Taylor BA. Osseous healing in foot and ankle surgery with autograft, allograft, and other orthobiologics. Orthop Clin North Am. 2017;48(3):359-369.
4. Baumhauer JF, Glazebrook M, Younger A, et al. Long-term autograft harvest site pain after ankle and hindfoot arthrodesis. Foot Ankle Int. 2020;41(8):911-15.
5. Grambart ST, Anderson DS, Anderson TD. Bone grafting options. Clin Podiatr Med Surg. 2020;37(3):593-600.
6. Myeroff C, Archdeacon M. Autogenous bone graft: donor sites and techniques. J Bone Joint Surg Am. 2011;93(23):2227-36.
7. Arner JW, Santrock RD. A historical review of common bone graft materials in foot and ankle surgery. Foot Ankle Spec. 2014;7(2):143-51.
8. Cook EA, Cook JJ. Bone graft substitutes and allografts for reconstruction of the foot and ankle. Clin Podiatr Med Surg. 2009;26(4):589-605.
9. DiDomenico LA, Thomas ZM. Osteobiologics in foot and ankle surgery. Clin Podiatr Med Surg. 2015;32(1):1-19.
10. Rush SM. Bone graft substitutes: osteobiologics. Clin Podiatr Med Surg. 2005;22(4):619-30, viii.
11. Abedi A, Formanek B, Russell N, et al. Examination of the role of cells in commercially available cellular allografts in spine fusion: An in vivo animal study. J Bone Joint Surg Am. 2020;102(24):e135.
12. Wang W, Yeung KWK. Bone grafts and biomaterials substitutes for bone defect repair: A review. Bioact Mater. 2017;2(4):224-247.
13. Garibay-Alvarado JA, Herrera-Ríos EB, Vargas-Requena CL, de Jesús Ruíz-Baltazar Á, Reyes-López SY. Cell behavior on silica-hydroxyapatite coaxial composite. PLoS One. 2021;16(5):e0246256.
14. Heinemann S, Heinemann C, Jäger M, Neunzehn J, Wiesmann HP, Hanke T. Effect of silica and hydroxyapatite mineralization on the mechanical properties and the biocompatibility of nanocomposite collagen scaffolds. ACS Appl Mater Interfaces. 2011;3(11):4323-31.
15. Shaheen MY. Nanocrystalline hydroxyapatite in periodontal bone regeneration: A systematic review. Saudi Dent J. 2022;34(8):647-660.
16. Lareau CR, Deren ME, Fantry A, Donahue RM, DiGiovanni CW. Does autogenous bone graft work? A logistic regression analysis of data from 159 papers in the foot and ankle literature. Foot Ankle Surg. 2015;21(3):150-9.
17. Kienast B, Neumann H, Bruning-Wolter F, Wendlandt R, Kasch R, Schulz AP. Nanostructured synthetic bone substitute material for treatment of bone defects. Results of an observational study. Trauma Occupational Disease. 2016;18(4):308-318.
18. Rosenthal H. Evaluating a nanocrystalline hydroxyapatite bone graft substitute for the treatment of benign bone tumors. Internet J Orthoped Surg. 2022;30(1).


