A Guide To Postoperative Pain Management
In light of the ongoing prescription opioid epidemic, these authors offer a thorough review of current guidelines, pertinent insights from emerging literature and share what they have learned from their current post-op pain management protocol for patients.
There has been a lot of focus on the rise of opioid abuse and opioid-related deaths in recent years. This has become so problematic that the Centers for Disease Control and Prevention (CDC) has declared a prescription opioid epidemic. The number of opioid prescriptions in the United States has increased from 76 million in 1991 to 219 million prescriptions in 2011 and the CDC reported in July 2015 that people abusing opioid prescriptions are 40 times more likely to abuse or become dependent on heroin.1,2
Multiple factors have contributed to the current state of opioid prescribing. One significant factor was the American Pain Society describing pain as “the fifth vital sign” in 1996. The Veterans Health Administration later adopted this idea. The Joint Commission implemented pain as the fifth vital sign but removed pain in 2004 as the Institute for Safe Medication Practices expressed concern that there was a link between the more aggressive pain management guidelines and an increase in oversedation and fatal events of respiratory depression.3
In addition to newer guidelines, there was a shift toward surgeons performing traditional inpatient surgeries in the outpatient setting, requiring outpatient management of acute postoperative pain. There was also concern for undertreating pain and the effect this would have on patient satisfaction and quality of care models. In 2011, the Joint Commission added to its standards an emphasis on non-pharmacologic treatments in addition to pharmacologic modalities.3 The unfortunate consequence of these changes has been an increase in the number of opioids prescribed and a subsequent increase in opioid abuse.3
Cicero and colleages reported three out of four heroin users first started using prescription opioids prior to using heroin.4 Furthermore, from 2008 to 2013, the number of deaths due to opioid overdose exceeded the number of deaths caused by both motor vehicle accidents and firearms.4 This epidemic has resulted in an effort to target physicians, especially primary care physicians, in an attempt to regulate and decrease the amount of opioids they prescribe.
In 2017, the Joint Commission released updated pain standards to address the opioid epidemic.3 The focus was on identifying psychosocial risk factors, setting realistic expectations, focusing on how pain affects physical function, making non-pharmacologic treatments more accessible, establishing clinician access to prescription drug monitoring program (PDMP) databases and encouraging physicians to check the database prior to prescribing opioids. In addition to addressing the excess of opioid prescriptions, there has also been a lack of education regarding appropriate disposal of opioids, and education for patients and families on the safe use and storage of opioids.
Are We Overprescribing Pain Medication?
Multiple studies have demonstrated that patients do not use most of what surgeons prescribe postoperatively. Kumar and coworkers looked at pain management and the amount of unused pills following various outpatient shoulder surgeries.5 Ninety-eight percent of the patients received a peripheral nerve block and got a prescription for an average of 55.3 tabs of narcotic medication with 64 percent of the patients being prescribed oxycodone/acetaminophen 5/325 mg (Percocet, Endo Pharmaceuticals). Researchers found an average of 20.1 tabs of each prescription went unconsumed. Bates and colleagues reported on patients who had urological surgery and found that 67 percent of patients had surplus medications, 92 percent received no disposal instructions for surplus medication, and 91 percent kept excess medications at home.6
There is limited literature regarding opioid prescribing during the acute orthopedic postoperative period but research has found that orthopedic surgeons are the third highest prescribers of opioids, accounting for 7.7 percent of opioid prescriptions worldwide.7 Multiple studies have demonstrated the efficacy of other non-narcotic analgesics such as nonsteroidal anti-inflammatory drugs (NSAIDs) and acetaminophen either alone or in conjunction with a lower dose opioid. Researchers have shown the use of NSAIDs is an effective option for managing pain in patients undergoing orthopedic procedures, especially in combination with acetaminophen.8
However, the use of NSAIDs in orthopedic surgery remains controversial with the majority of studies focusing on bone healing in animal models. There has yet to be a level I, high quality human study demonstrating evidence of negative effects on bone healing.9–11
Sivaganesan and coworkers performed a systematic review on the effect of NSAIDs on spinal fusion and concluded that the literature in the early 2000s had demonstrated NSAIDs increased the rate of non-union.10 However, almost all of the human studies published after 2005 suggest that a short postoperative NSAID course of less than two weeks has no effect. The authors also reported that there is an associated dose dependency seen with NSAIDs that is not present when patients use NSAIDs for only 48 hours post-op.
Overall, the data regarding NSAIDs and bone healing remains inconclusive and withholding NSAIDs may lead to an increase in opioid consumption requirements to adequately manage postoperative pain. Borgeat and colleagues reached similar conclusions in looking at NSAIDs and the postoperative healing of spinal fractures and fusions.11 In fact, much of the recent spine surgery literature agrees that there continues to be a lack of strong evidence regarding NSAIDs and spinal fusion nonunion rate, and advocates that short exposure to NSAIDs to assist in pain control would not significantly impair bone healing.12 Additional adjunctive methods such as local anesthetics or peripheral nerve blocks can also greatly contribute to the management of postoperative pain.12 With numerous options and differing opinions regarding the management of acute postoperative pain, there can be significant variation in pain management among providers and hospital systems.
However, the strength and effectiveness of opioids alone for pain management has led to an increase in use over recent years. Furthermore, there is a significant variation in pain management among providers and hospital systems for the acute postoperative period.
A Closer Look At The Authors’ Post-Op Pain Prescription Protocol
Our foot and ankle surgery department worked closely with interventional pain specialists to develop a postoperative pain protocol focused primarily on a multimodal approach to pain control in the outpatient setting. We use the protocol for patients who are 18 years of age or older, who are not currently using opioids and/or are not being managed by an interventional pain specialist. Through our health system, we had collected opioid prescribing data from both the general surgery department and orthopedic surgery department in 2016. The data demonstrated that on average, patients took 30 percent of what physicians prescribed, 80 percent took less than 50 percent of the prescribed amount and 22 percent took none of the opioids prescribed. There was also substantial variation among surgeons in terms of how many tabs of opioid pain medication they prescribed for the same procedure.
For postoperative analgesia in the outpatient setting, our department typically had prescribed either 40 tabs of hydrocodone/acetaminophen 5/325 mg (Norco, Allergan) or oxycodone/acetaminophen 5/325 mg (Percocet/Endo Pharmaceuticals) with patients taking one or two tabs every four hours as needed for pain. We have also used hydroxyzine (Vistaril, Pfizer) as an adjunctive medication for patients to take as needed. Researchers have shown that hydroxyzine has intrinsic analgesic properties and it may also enhance the analgesia produced by morphine and other opioids.13 Physicians should exercise caution when prescribing hydroxyzine to patients over 65 years of age or those with preexisting urinary retention.
Our new approach to pain management focuses on scheduled non-narcotic medications with opioids on an as-needed basis for breakthrough postoperative pain. The protocol consists of scheduled acetaminophen 1,000 mg every eight hours for the first five days postoperatively, scheduled ibuprofen 600 mg every six hours for the first three days and hydroxyzine 25-50 mg every four hours as needed for pain. We selected ibuprofen due to its low cost and easy access for patients in comparison to other NSAIDs. Patients having soft tissue procedures or forefoot procedures get a prescription for 20 tabs of oxycodone (Roxicodone, Mallinckrodt Pharmaceuticals), taking one to two tabs every four to six hours as needed for severe pain or breakthrough pain. Patients having multiple forefoot procedures or more extensive rearfoot and ankle surgery get a prescription for 30 tabs of oxycodone.
This protocol emphasizes the importance of thorough chart review and history taking. We avoid scheduling acetaminophen for patients with liver disease or scheduling ibuprofen for those with a history of renal disease, ulcers/gastrointestinal bleeds or cardiovascular contraindications. If there are no contraindications, patients also receive a 30 mg intravenous dose of ketorolac (Toradol, Boehringer Ingelheim) at the end of surgery when we are closing. In addition, we provide patients an opioid education document on the effects of opioids, appropriate use and proper disposal with listed pharmacy and clinic locations available to take back unused medications.
It is also crucial to review charts to screen for patients who may be at higher risk for opioid abuse or difficulty with postoperative pain control. This includes patients with a personal or family history of substance abuse or misuse, patients with chronic opioid use, and preexisting psychiatric conditions including but not limited to bipolar disorder, anxiety, depression, schizophrenia, obsessive compulsive disorder and attention deficit disorder.14 Our new patients as well as patients at the preoperative planning stage take a questionnaire to identify these factors early on so we can discuss a plan for pain management in detail with the patient prior to surgery. The patients whom we considered to be at higher risk often get a referral to the interventional pain clinic for evaluation and planning of perioperative pain management.
Case Study One: When A Patient Has A History Of Difficult Postoperative Pain Control
A 30-year-old woman presents with a past medical history significant for anxiety and a painful bilateral tailor’s bunion deformity with bursitis that cortisone injections did not relieve. She had a tailor’s bunionectomy with a metatarsal osteotomy on her left foot in March 2017. This surgery took place before we implemented the standardized pain protocol.
While her osteotomy and surgical incision went on to heal uneventfully, she had great difficulty with pain control postoperatively. She had expressed preoperatively that NSAIDs work well for pain but it was not our practice to prescribe NSAIDs postoperatively following an osteotomy. She received a local block of 20 mL of 0.5% bupivacaine plain at the start of the procedure. We prescribed 40 tabs of hydrocodone/acetaminophen 5/325 mg (Norco), and she took one to two tabs every four hours as needed. The patient also used 40 tabs of 25 mg hydroxyzine, taking one tab every eight hours as needed for postoperative pain.
The patient was weightbearing in a removable cast boot. For this type of procedure, we routinely have postoperative visits at two and six weeks. She complained of inadequate pain relief on postoperative day one and continued to struggle with pain control for the first week, which resulted in multiple calls to the office. By her first postoperative visit at two weeks, she rated her pain a 2/10 on the Visual Analogue Scale (VAS). She ultimately was very satisfied with her surgical outcome.
The patient returned for surgery on the right foot, which resulted in concerns by the patient and surgeon regarding how we would manage her postoperative pain. She had the same tailor’s bunionectomy with a metatarsal osteotomy on her right foot in September 2017. She again received a local block of 20 mL of 0.5% bupivacaine plain at the start of the procedure. We implemented our forefoot surgery pain protocol involving scheduled acetaminophen for five days and ibuprofen for three days with as needed hydroxyzine and oxycodone. At her first postoperative visit, she reported very minimal pain following surgery. We had prescribed 20 tabs of oxycodone per our protocol. She only used eight tabs and did not require any oxycodone after postoperative day two. Overall, she was very pleased with her recovery.
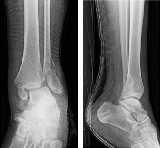
Case Study Two: Facilitating A Smooth Post-Op Recovery In A Patient Who Had A Bimalleolar Ankle Fracture
The patient is a 38-year-old opioid-naïve woman with no other significant past medical history who suffered a closed, left bimalleolar fracture with syndesmotic disruption in December 2017 when she slipped on ice and fell. She had no other injuries at the time. The patient went to the emergency department on the day of injury and was close reduced and splinted. She had open reduction internal fixation (ORIF) of the distal fibula with a lateral locking plate, cannulated screw fixation of the medial malleolar fracture and syndesmotic screw fixation eight days after injury when her swelling was improved.
The patient was non-weightbearing in a splint postoperatively. She received a popliteal and saphenous block by anesthesia preoperatively. We utilized our aforementioned protocol to manage her postoperative pain, again emphasizing scheduled non-narcotic medications and incorporating opioids only as necessary for breakthrough postoperative pain. At her first postoperative visit 13 days later, she reported adherence with her postoperative medication instructions. We had prescribed 30 tabs of oxycodone per our rearfoot and ankle protocol, and she used 18 tabs. The patient reported that she did not need oxycodone beyond postoperative day four. She went on to heal her fracture uneventfully and transitioned to pain-free weightbearing in regular shoe gear at 12 weeks post-op.
Further Insights On Optimal Pain Management And Opioid Use
Scully and coworkers assessed the optimal length of opioid use postoperatively for common surgical procedures.15 The authors identified 215,140 opioid-naïve patients (107,588 women and 107,552 men) through the Department of Defense Military Health System Data Repository. All patients received and filled one prescription of pain medication, and 19.1 percent received at least one refill prescription. The authors determined that the optimal length of an opioid prescription for acute postoperative pain for musculoskeletal procedures was six to 15 days.
The transition to scheduled non-narcotic medications with opioid medication used for breakthrough pain during the immediate postoperative period has worked well for our patients due to the more consistent acetaminophen intake. Valentine and colleagues studied the effects of scheduled acetaminophen 650 mg every six hours with as needed opioids in comparison to an as needed combination of acetaminophen-opioid administration for the first 48 hours postoperatively in patients undergoing Cesarean delivery.16 Both groups also received scheduled ibuprofen 600 mg every six hours for the first 48 hours. The authors found that patients who used scheduled acetaminophen and ibuprofen with as needed use of oxycodone for breakthrough pain had a decreased use of opioids without compromising pain control.
Kim and colleagues performed a prospective study to determine the opioid consumption patterns during the immediate postoperative period for upper extremity surgical procedures.17 The study included 1,416 patients. Physicians prescribed an average of 24 tabs of opioid medication but patients reported only using an average of 8.1 pills or 34 percent of their prescriptions, which is consistent with other literature.18 The authors also found soft tissue procedures required fewer pills (5.1 pills for 2.2 days) in comparison to fracture repair (13 pills for 4.5 days) or joint procedures (14.5 pills for five days).17
In Conclusion
We created our postoperative pain protocol with a multimodal approach to postoperative analgesia involving various medications used in the perioperative setting to tackle different pain pathways. This has allowed for a standardized approach to prescribing among providers. This protocol has been in practice for about one year and the goal is to collect data to further tailor the amount of tabs prescribed based on specific procedures. Our department has reduced the amount of tabs prescribed by roughly 30 percent and with the addition of NSAIDs, we have not seen any pattern of increased incidence of delayed union or non-union. We have also experienced a significant decrease in the amount of requests for refills since implementing this protocol.
The early success we have seen with this approach advocates the use of a multimodal approach to management of acute postoperative pain by foot and ankle surgeons. The switch to scheduled non-narcotic medications with narcotics reserved for breakthrough pain seems to provide better pain control despite a decreased use of narcotics.
Dr. Boffeli is a board-certified foot and ankle surgeon practicing at HealthPartners Specialty Center in St. Paul, Minn. He is a Fellow of the American College of Foot and Ankle Surgeons, and the Director of the Foot and Ankle Surgical Program at Regions Hospital/HealthPartners Institute for Education and Research.
Dr. Gorman is the Chief Resident at Regions Hospital/HealthPartners Institute for Education and Research in St. Paul, Minn.
References
1. Dart RC, Severtson SG, Bucher-Bartelson B. Trends in opioid analgesic abuse and mortality in the United States. N Engl J Med. 2015;372(16):1573-1574.
2. Centers for Disease Control and Prevention. CDC Vital Signs: Today’s heroin epidemic. Available at https://www.cdc.gov/vitalsigns/pdf/2015-07-vitalsigns.pdf . Published July 2015. Accessed October 9, 2017.
3. The Joint Commission. Pain management. Available at https://www.jointcommission.org/topics/pain_management.aspx . Accessed October 9, 2017.
4. Cicero TJ, Ellis MS, Harney J. Shifting patterns of prescription opioid and heroin abuse in the United States. N Engl J Med. 2015;373(18):1789-90.
5. Kumar K, Gulotta LV, Dines JS, et al. Unused opioid pills after outpatient shoulder surgeries given current perioperative prescribing habits. Am J Sports Med. 2017;45(3):636-641.
6. Bates C, Laciak R, Southwick A, Bishoff J. Overprescription of postoperative narcotics: a look at postoperative pain medication delivery, consumption and disposal in urological practice. J Urol. 2011;185(2):551-5.
7. Morris BJ, Sciascia AD, Jacobs CA, Edwards TB. Preoperative opioid use associated with worse outcomes after anatomic shoulder arthroplasty. J Shoulder Elbow Surg. 2016 Apr;25(4):619-23
8. Kohring JM, Orgain NG. Multimodal analgesia in foot and ankle surgery. Orthop Clin North Am. 2017;48(4):495-505.
9. Marquez-Lara A, Hutchinson ID, Nuñez F Jr, et al. Nonsteroidal anti-inflammatory drugs and bone-healing: a systematic review of research quality. JBJS Rev. 2016;4(3).
10. Sivaganesan A, Chotai S, White-Dzuro G, et al. The effect of NSAIDs on spinal fusion: a cross-disciplinary review of biochemical, animal, and human studies. Eur Spine J. 2017;26(11):2719-2728.
11. Borgeat A, Ofner C, Saporito A, et al. The effect of nonsteroidal anti-inflammatory drugs on bone healing in humans: A qualitative, systematic review. J Clin Anesth. 2018;49:92-100
12. Kumar K, Kirksey MA, Duong S, Wu CL. A review of opioid-sparing modalities in perioperative pain management: methods to decrease opioid use postoperatively. Anesth Analg. 2017;125(5):1749-1760.
13. Hupert C, Yacoub M, Turgeon LR. Effect of hydroxyzine on morphine analgesia for the treatment of postoperative pain. Anesth Analg. 1980;59(9):690-6.
14. Sharma M, Lee C, Kantorovich S, et al. Validation study of a predictive algorithm to evaluate opioid use disorder in a primary care setting. Health Serv Res Manag Epidemiol. 2017; (4):1-9.
15. Scully RE, Schoenfeld AJ, Jiang W, et al. Defining optimal length of opioid pain medication prescription after common surgical procedures. JAMA Surg. 2018;153(1):37-43.
16. Valentine AR, Carvalho B, Lazo TA, Riley ET. Scheduled acetaminophen with as-needed opioids compared to as-needed acetaminophen plus opioids for post-cesarean pain management. Int J Obstet Anesth. 2015;24(3):210-6.
17. Kim N, Matzon JL, Abboudi J, et al. A prospective evaluation of opioid utilization after upper-extremity surgical procedures: identifying consumption patterns and determining prescribing guidelines. J Bone Joint Surg Am. 2016;98(20)e89.
18. Fujii MH, Hodges AC, Russell RL, et al. Post-discharge opioid prescribing and use after common surgical procedure. J Am Coll Surg. 2018;226(6):1004-1012.


