Getting Patients Back to Activity Following Tibialis Anterior Tendon Rupture
Although rupture of the tibialis anterior tendon (TAT) is an uncommon pathology encountered by foot and ankle surgeons, if left untreated these ruptures can lead to chronic pain, gait abnormalities, drop foot, flatfoot deformities, and digital deformities due to the recruitment of extensor tendons.1
Ruptures of the TAT are quite rare, accounting in one study for only 10 of every 1014 foot and ankle tendon ruptures.2 Mechanisms of injury to TAT include both traumatic and atraumatic etiologies. Traumatic injuries are much more frequent, according to the literature, and are often due to direct injury such as acute lacerations or blunt trauma.3 Spontaneous, atraumatic injuries are far less common and can be challenging to diagnose as patients can present with vague symptoms, usually several weeks to months after the actual rupture. Markarian noted an average delay of 71 days from initial symptoms to final diagnosis of TAT ruptures.4
Spontaneous ruptures are often linked to predisposing factors that slowly result in tendon failure. Some of these factors include diabetes mellitus, history of steroid injection, use of fluoroquinolones, or inflammatory arthropathies.5 The most common area of rupture is within the avascular zone, which correlates to the anterior half of the tendon found between the superior and inferior retinaculum.6
The literature reveals good outcomes for most patients following surgical intervention. The main goal of surgical intervention is restoring the physiologic function of the tibialis anterior tendon, which acts as a major foot and ankle dorsiflexor and invertor in order to achieve a more normal gait. A report of two individual cases that utilized an extensor hallucis longus (EHL) and extensor hallucis brevis (EHB) tenodesis and plantaris autograft to repair the TAT deficit resulted in both patients being able to return to previous functional status with no long-term sequela.7 Another case report of direct repair technique described in the literature involves TAT with augmentation of EHL. This study demonstrated an improvement of the AOFAS hindfoot score by 39 points.8 The Zancolli technique or “tendon turndown flap” is another published technique that showed promising results.9 In a case report, the authors reported an increase in patient final AOFAS scores of 58 points, along with achieving 5/5 muscle strength one-year postop.9
Regarding surgical treatment options for the treatment of atraumatic TAT ruptures, there is currently no gold standard for optimal treatment due to the rarity of injury and lack of prospective randomized trials. Here, we describe our clinical work-up and preferred surgical technique which involves tenodesis of the EHL tendon to the rupture TAT and transfer into the medial cuneiform and EHL-to-EHB tenodesis distally over the first metatarsophalangeal joint (MPJ).
A Guide to the Clinical Work-Up and Exam
Patients presenting with TAT ruptures due an acute or traumatic incident are typically younger and have a clinical story of a penetrating injury with or without an associated fracture of the distal tibia or talus.10 Patients with a more atraumatic rupture, in the setting of a degenerative TAT are seen more in the older population.10 In these patients, their presenting symptoms typically include anterior ankle pain or soft tissue mass, increased swelling, pain with ambulation, difficulty clearing the foot during the gait cycle leading to a steppage gait or even history of a mild injury or overuse event.
The musculoskeletal exam in patients with an atraumatic rupture commonly demonstrate compensatory recruitment of the EHL and extensor digitorum longus (EDL) with active ankle dorsiflexion. There is also often a palpable mass at the anterior ankle at the level of the retracted proximal tendon stump along with a loss of normal TAT contour compared to the contralateral ankle. Muscle strength testing reveals weakened dorsiflexion, and/or evidence of extensor tendon recruitment with excessive toe hyperextension.
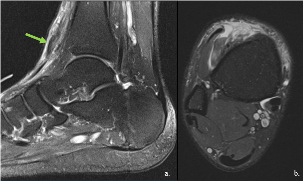
It is our common practice for the patient to initially receive weight-bearing radiographs of the foot and ankle to rule out underlying osseous involvement. Magnetic resonance imaging (MRI) of the ankle without contrast is our preferred imaging modality, especially in the chronic setting, as it is diagnostic and gives detail of the characteristics of the ruptured tendon (Click here for Figure 1).
Our discussion with our patients regarding treatment options always involves both nonsurgical and surgical repair unless the patient’s medical comorbidities prevent them from being a surgical candidate. Non-operative management includes patient education regarding longstanding gait abnormality and likely the lifelong use of a custom, dynamic ankle-foot orthosis (AFO). Additionally, physical therapy and activity modifications are needed. In our practice, surgical repair of atraumatic TAT ruptures involves EHL-to-TAT tenodesis with subsequent transfer of the EHL/TAT complex to the medial cuneiform and EHL-to-EHB tenodesis over the first MPJ. Patient education regarding postoperative expectation is important with this procedure, as the resting position of the hallux will be “droopy” in comparison to the lesser digits in the unsupported foot. Discussion regarding expectations with the patient is important as this surgery has no functional impact once the patient is wearing shoes.
What You Should Know About Operative Technique
Place the patient supine on the operating room table with use of a thigh tourniquet. Direct attention to the dorsal first MPJ and make a linear incision lateral to the EHL tendon (Click here for Figure 2a). Visualize and isolate the EHL and EHB tendons, and prepare the tendons for side-to-side anastomosis using a non-absorbable braided suture (Click here for Figure 2b,c). Following the tenodesis, transect the EHL tendon proximal to the tendon transfer/tenodesis site.
Then direct attention to the dorsal midfoot. Make an incision coursing over the tibialis anterior tendon extending proximal to the TAT rupture stump over the anterior ankle (Click here for Figure 3a). Carry dissection along the medial aspect of the EHL tendon sheath in order to localize and mobilized the tendon (Click here for Figure 3b). Hold the tendons under tension with the hallux dorsiflexed while performing a side-to-side anastomosis with non-absorbable braided suture.
Utilize intraoperative fluoroscopy to guide pin position in the middle of the medial cuneiform for placement of the interference screw (Click here for Figure 4). Then whip-stitch the distal aspect of the free end of the EHL tendon utilizing a non-absorbable braided suture loop and then measure for interference screw sizing. After reaming to the appropriate tendon size, pull the free end of the whip-stitched tendon through the drill hole and through the bottom of the foot (Click here for Figure 5a). Then dorsiflex the patient's foot into a slightly more than neutral position to achieve desired anatomical tension of the tendon as it is secured into the medial cuneiform (Click here for Figure 5b). Perform standard layered closure.
Postoperative Protocol and Rehabilitation
Postoperatively, patients wear a well-padded posterior splint in a slightly dorsiflexed position. One week postoperatively patients transition out of the splint into a removable fracture boot. The patients remain non-weight-bearing for six weeks and then they begin protected weight-bearing in a boot and physical therapy. Patients typically transition out of the boot and into supportive shoes by 10 weeks postoperatively (Click here for Figure 6).
In Conclusion
Although TAT ruptures are relatively rare, treatment options are largely directed by the patient’s surgical candidacy and rupture characteristics (such as etiology, location, etc.). While conservative management may benefit those who are poor surgical candidates (ie, poor soft tissue, inadequate vascularity, tobacco use, etc.) surgical reconstruction is an option to provide the patient with an opportunity for a more functional outcome. Although several techniques have been described in the literature, there is no consensus on the gold standard reconstructive technique. We present a surgical technique that we have found to be reproducible in terms of allowing patients to regain dorsiflexory strength at the ankle joint and avoid postoperative AFOs (see video below).
To date, all patients we have treated with this technique have been able to return to normal ambulation without the use of a brace and without gait issues.
Dr. Abben is a fellowship-trained foot and ankle surgeon and attending of the Regions Hospital/HealthPartners Institute Foot & Ankle Surgical Residency program. He practices in the Minneapolis/St. Paul area with Park Nicollet Clinic and TRIA Orthopaedics.
Dr. Brett is a chief resident of the Regions Hospital/HealthPartners Institute Foot & Ankle Surgical Residency program.
Dr. Nack is a first year resident of the Regions Hospital/HealthPartners Institute Foot & Ankle Surgical Residency program.
References
1. Tickner A, Thorng S, Martin M, Marmolejo V. Management of isolated anterior tibial tendon rupture: a systematic review and meta-analysis. J Foot Ankle Surg. 2019 Mar;58(2):213–220.
2. Anzel SH, Covery KW, Weiner AD, Lipscomb PR. Disruption of muscles and tendons: an analysis of 1,014 cases. J Foot Ankle Surg. 1959; 45(3):406–414.
3. Vosoughi AR, Heyes G, Molloy AP, Mason LW, Hoveidaei AH. Management of tibialis anterior tendon rupture: Recommendations based on the literature review. Foot Ankle Surg. 2020 Jul;26(5):487–493.
4. Markarian GG, Kelikian AS, Brage M, Trainor T, Dias L. Anterior tibialis tendon ruptures: an outcome analysis of operative versus nonoperative treatment. Foot Ankle Int. 1998; 19(12):792–802.
5. DiDomenico LA, Williams K, Petrolla AF. Spontaneous rupture of the anterior tibial tendon in a diabetic patient: results of operative treatment. J Foot Ankle Surg. 2008; 47(5):463–467.
6. Petersen W, Stein V, Tillmann B. Blood supply of the tibialis anterior tendon. Arch Orthop Trauma Surg. 1999;119(7–8):371–5.
7. Patel R, Fallat L. Surgical techniques for repair of atraumatic tibialis anterior tendon ruptures: A report of two cases. J Foot Ankle Surg. 2017 Nov–Dec;56(6):1343–1349.
8. Fraissler L, Horas K, Bölch S, Raab P, Rudert M, Walcher M. Extensor hallucis longus-transfer for tibialis anterior tendon rupture repair. Oper Orthop Traumatol. 2019 Apr;31(2):143–148.
9. Valisena S, Petri GJ, Ferrero A. Zancolli Technique for delayed repair of tibialis anterior tendon rupture: A case report and literature review. Foot Ankle Spec. 2018 Aug;11(4):372–377.
10. Chen J, Kadakia R, Akoh CC, Schweitzer KM. Management of anterior tibialis tendon ruptures. J Am Acad Orthop Surg. 2021; 29(16):691–701.


