Differentiating Between Kaposi Sarcoma and Pyogenic Granuloma
Kaposi sarcoma is an uncommon cancer in the foot, but a poster presented at the American College of Foot and Ankle Surgeons Scientific Conference details Kaposi sarcoma in a patient without human immunodeficiency (HIV), originally diagnosed as pyogenic granuloma.1
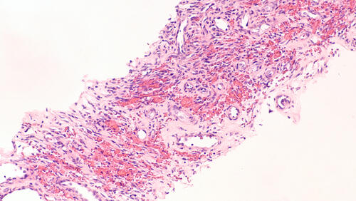
The patient, a 37-year-old HIV-negative man, presented with a painful 1.5 x 1.3 cm mass on the plantar second digit. The granuloma had increased in size and was resistant to antibiotics and wound care. The authors note the initial punch biopsy indicated pyogenic granuloma.
Due to the pain, the patient had the granuloma excised. Pathology of a tissue specimen later indicated the mass was Kaposi sarcoma, according to the poster. The authors emphasize that Kaposi sarcoma can be difficult to distinguish from pyoderma gangrenosum clinically and pathologically, and stress the importance of immunostaining and ascertain a thorough patient history.
Reference
1. Hoffler HL, LeSavage LK, Dial DM. Kaposi sarcoma misdiagnosed as a pyogenic granuloma of the foot in an HIV-negative patient: a case report. Presented at the American College of Foot and Ankle Surgeons Scientific Conference, Los Angeles, Feb. 9–12, 2023.


