Diagnosing A Pruritic Skin Lesion In A Patient With Diabetes And Edema
A 56-year-old man presented to our institution with the chief complaint of a scaly, pruritic lesion on the lateral aspect of his left lower leg. He would notice some mild bleeding when scratching the area. He denied having any other lesions on his body and there was no previous treatment.
The patient’s past medical history included type 2 diabetes with Charcot arthropathy and neuropathy, hypertension, atrial fibrillation, and deep venous thrombosis. His past surgical history was remarkable for cardiac ablation. The patient is married and does not use tobacco products. He admitted to rare consumption of alcohol.
The patient’s physical exam revealed a man who appeared healthy. The pedal pulses were palpable with capillary refill in less than two seconds to the digits. Mild edema and varicosities were present at the ankle region bilaterally. The neurologic exam with the 10-gram Semmes-Weinstein monofilament showed decreased sensation to the dorsal and plantar aspects of both feet.
The dermatologic exam revealed a pruritic, scaly, violaceous, slightly erythematous plaque with lichenification and crusts on the lateral aspect of the left ankle region. There was no weeping present.
1. What are the differential diagnoses?
2. What is the diagnosis?
3. How can one make a definitive diagnosis?
4. What is the proper treatment and follow-up?
Answering The Key Diagnostic Questions
1. The differential diagnoses include stasis dermatitis, lichen planus, eczematous dermatitis and necrobiosis lipoidica diabeticorum.
2. The diagnosis is chronic psoriasiform and spongiotic dermatitis with advanced stasis-related changes.
3. A punch biopsy can aid in making the diagnosis.
4. Treat the acute symptoms with topical anti-inflammatory agents such as corticosteroid cream. Maintenance treatment of stasis dermatitis can consist of supportive stockings.
A Closer Look At The Differential Diagnosis
Stasis dermatitis. Stasis dermatitis may occur as a consequence of venous insufficiency. The resulting venous hypertension causes the cutaneous inflammation of stasis dermatitis.
Lichen planus. Lichen planus may present on the skin surounding the ankle and leg with flat, purplish, pruritic papules and vesicles. Blisters may break and form crusts. Lichen planus can occur when the body’s immune system mistakenly attacks cells of the skin or mucous membranes. Certain factors such as hepatitis C infection, flu vaccine, certain pigments, metals and chemicals as well as some nonsteroidal anti-inflamatory medications may trigger lichen planus.
Eczematous dermatitis. Eczematous dermatitis may occur in different forms. The skin is pruritic and may include erythema, scaling, blisters and cracking.
Atopic dermatitis occurs when the immune system reacts to an allergen or irritant. It usually begins in childhood and there appears to be a genetic predisposition to the condition.
Contact dermatitis occurs when the skin touches an irritating substance, allergen or irritant. The resulting inflamation causes erythema, itching and burning.
Dyshidrotic eczema is a condition that yields small, pruritic blisters. Stress, allergies and moist hands and feet may be predisposing factors of dyshidrotic eczema. It affects women twice as often as men.
Nummular dermatitis presents as round, coin-shaped spots on the skin that are extremely pruritic. It is a common type of eczema that can occur at any age.
Neurodermatitis is a condition that develops when the skin is irritated in response to frequent, habitual scratching. The treatment is to stop the scratching. Topical steroids may help the symptoms.
Necrobiosis lipoidica. Necrobiosis lipoidica is a disorder of collagen degeneration. There is a granulomatous response with thickening of blood vessel walls and fat deposition. The main complication is ulceration, which usually occurs after trauma. The condition may be present in patients with and without diabetes mellitus.
Pertinent Insights On The Diagnosis
Stasis dermatitis is a chronic inflammatory condition of the skin of the lower extremities. It may be the earliest manifestation of chronic venous insufficiency.1
Stasis dermatitis occurs as a direct consequence of venous insufficiency. The resulting increase in venous hydrostatic pressure leads to the permeability of dermal capillaries. This enables fibrinogen to leak into the pericapillary tissue, which then forms a barrier to oxygen diffusion. The results are tissue hypoxia and cell damage.
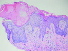
I obtained two 2.0 mm punch biopsies and submitted them to a dermatopathology lab. Two 2.0 mm punch biopsies are preferable to one 4.0 mm punch.2 This results in a more thorough representation of the lesion. Unlike a 4.0 mm punch biopsy, there is no need to use sutures to close a 2.0 mm punch biopsy. The granulation and epitheliazation are rapid. One may submit the two punches in one specimen container.
The biopsy specimen of this lesion demonstrates a sparse superficial perivascular lymphocytic infiltrate composed of lymphocytes and scattered histiocytes. Abundant hemosiderin is visible around the vessels of the mid- and upper dermis. There is an increased number of thin-walled vessels within the superficial dermis, some of which are angulated. The overlying epidermis is spongiotic and exhibits slight acanthosis with compact orthokeratotic and parakeratotic hyperkeratosis. Some epidermal degeneration is evident. The findings are most suggestive of severe hypoxemia. The overall picture closely approaches that of the end-stage condition, acroangiodermatitis.
Acroangiodermatitis is a rare vasoproliferative disorder that usually involves the lower extremity.3 It is associated with the number of congenital and acquired vascular conditions, including chronic venous insufficiency. However, only a small percentage of patients develop acroangiodermatitis. Possible etiologies are proliferation of fibroblasts and small vessels secondary to high perfusion rate in tissues. Also, a prostaglandin E1 (PGE1) or heparin-like factor, which has angiotension-promoting activity, may be responsible for this lesion. Samad and Dodds have suggested a possible role of microtrauma.3
The lesion resolved after three weeks of treatment with topical corticosteroid cream. There were no recurrences. Nine years after the initial presentation, the patient is in much better control of his leg edema. There is stasis pigmentation present with mild xerosis.
In Conclusion
Having an awareness of the consequences of lower extremity venous disease is important for treatment of this disorder as well as patient education and prevention. If one can minimize edema, the cutaneous sequelae of dematitis and ulceration are less likely.
Dr. Mariash is in private practice at St. Cloud Orthopedic Associates in St. Cloud, Minn. He is a Fellow of the American College of Foot and Ankle Surgeons.
References
1. Kelley LC. Stasis dematitis. In Arndt KA, Wintroub BU, Robinson JK, LeBoit PE (eds): Primary Care Dermatology. WB Saunders, St. Louis, 1997, pp. 198-201.
2. Todd P. Evaluation of the 2-mm punch biopsy in dermatological diagnosis. Clin Exp Dermatol. 1996; 21(1):11-12.
3. Samad A, Dodds S. Acroangiodermatitis: review of the literature and report of a case associated with symmetrical foot ulcers. Eur J Vasc Endovasc Surg. 2002; 24: 558-560.



