When A Patient Presents With Chronic, Non-Resolving Pedal Plaques
A 64-year-old male presented to the office with a chief concern of a painful, itchy rash on his right foot, which he had been dealing with for several years. The patient was originally diagnosed with tinea pedis in January 2021. by his primary care physician. Treatment at that time included prescription antifungal and corticosteroid creams, which did seem to help initially; however, after a couple of months, the pain and discomfort returned and worsened to the point that he experienced difficulty with walking. The patient recalled no trauma or specific inciting event.
His past medical history was significant for intermittent claudication and an inguinal hernia. His current medications included cilostazol, multivitamins and aspirin. The patient’s surgical history includes hernia repair, wisdom tooth extraction, tonsillectomy and a colonoscopy. The patient had no known drug allergies. His father and mother were both deceased from natural causes. He was a non-smoker and did not consume alcohol or use illicit substances. Review of systems was unremarkable other than a body mass index of 30.28 (obese).
Physical exam revealed yellow-brown, hyperkeratotic, thickened “cobblestoned” plaques at the glabrous junction of the medial and posterior aspect of the right heel. There was no evidence of exudate, odor, edema or ecchymosis. There were no other notable lesions on the lower extremity. The patient ambulated with an antalgic gait. Pedal pulses were palpable at +2/4 and gross sensation was intact bilaterally. The patient had a rectus foot type both seated and upon weight bearing. Due to the recalcitrant nature of this condition, I proceeded with a four-mm punch biopsy performed at the medial heel.
Key Questions To Consider
1. What factors associated with this case would lead one to perform a biopsy?
2. Which type of biopsy (punch versus shave) do you feel would serve this case best diagnostically?
3. What might the differential diagnosis for this case include?
4. Once arriving upon the diagnosis, what treatment options exist for this condition?
Answering The Key Diagnostic Questions
1. This patient related a long duration of symptoms and was unresponsive to previous empiric treatment, leading to biopsy by the podiatrist.
2. In this case, the author performed a punch biopsy, but a shave biopsy would have also led to the proper diagnosis. Punch biopsies may not be ideal in patients with peripheral arterial disease or other conditions that pose risks to healing. In these instances a shave biopsy can serve as relatively non-invasive first-line option with less risk of non-healing and ulceration.
3. Tinea pedis, inflammatory dermatitis, verruca vulgaris, persistent microtrauma reaction and spongiotic dermatitis, possibly chronic, with superimposed lichen simplex chronicus.
4. Although there are many over-the-counter and home remedies in existence, two common treatments that podiatrists use are cryotherapy and salicylic acid.4,7 Surgical excision, along with other topical and destructive methods is also among the multitude of treatment options. At least one study found no significant differences between cryotherapy and salicylic acid therapy in after 12 weeks.7
What The Diagnostic Testing Revealed
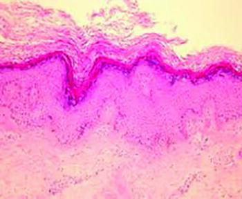
After performing the biopsy, microscopic evaluation of the biopsy specimen demonstrated epidermal acanthosis and digitated hyperplasia with slight accentuation of the granular cell layer. Also, the papillary dermis exhibited focal presence of minimally dilated capillaries. Periodic Acid-Schiff (PAS) reaction failed to demonstrate fungal elements.
Based on the presence of verrucous hyperplasia, I favored a diagnosis of verruca vulgaris; however, from a purely histopathologic vantage point, a reactive phenomenon secondary to persistent localized trauma or pressure was not entirely out of the question. Chronic spongiotic dermatitis, with superimposed lichen simplex chronicus was also a part of the differential diagnosis.
At this time, I proceeded with treatment consisting of sharp debridement with a #15 blade and three quick bursts of liquid nitrogen, followed by roll gauze and coban. I advised the patient to keep the area covered until his next visit. It is standard protocol at this clinic to advise home application of over-the-counter salicylic acid daily to the affected area daily until follow up two weeks later. The patient continued on this treatment course for four weeks with nearly full resolution in this time frame.
What You Should Know About Verruca Vulgaris
Verruca vulgaris is caused by the human papilloma virus (HPV).1,2 There are over 118 identified strands of the papillloma virus. Different HPV types show a preference for either uncornified mucous membranes or cornified stratified squamous epithelium. The HPV types that most commonly cause warts on the hands and feet are types 1, 2, 4, 27 and 57, with HPV 1 and HPV 2 being the most common causes of such pedal lesions.1,2
Histopathologic features include acanthosis, digitated epidermal hyperplasia, papillomatosis, compact orthokeratosis, hypergranulosis, tortuous capillaries within the dermal papillae and vertical tiers of parakeratotic cells with red blood cells entrapped above the tips of the digitations. Elongated rete ridges may point radially toward the center of the lesion. In the granular layer, cells infected with HPV have coarse keratohyalin granules and vacuoles surrounding wrinkled-appearing nuclei. Koilocytic cells are pathognomonic.3-5
Clinically, verruca vulgaris presents as cauliflower-like papules with a rough papillomatous and hyperkeratotic surface ranging in size from one mm to one cm or more.3-5 They may be solitary or multiple and clustered (mosaic), as was the case with this patient.6 The lesions typically elicit pain with direct palpation or with lateral compression. Pinpoint bleeding post-debridement and disruption of dermatoglyphic skin lines are pathognomonic for verruca.
Verruca vulgaris is a self-limiting condition, which generally resolves with time. but usually warrants treatment due to concern for spread or enlargement of the lesions and possible pain. There are a multitude of home remedies and over the counter medications available for wart removal. Clinically, debridement followed by application of cryotherapy or salicylic acid are two of the most common methods employed by podiatrists in the treatment of verruca vulgaris.4,7 In a randomized controlled trial conducted by Cockayne and colleagues, there was no significant difference between these two modalities of treatment for eradication of plantar warts over a 12-week course.7 Surgical excision of warts is a viable treatment option for recalcitrant cases and other topical treatments and modalities exist as well.
In Conclusion
This patient presented with a hyperkeratotic, pruritic plaque, present for several years and unresponsive to previously prescribed treatment. It is not unreasonable to prescribe a topical antifungal and corticosteroid initially, as the primary care physician did in this case. If there is no resolution in symptoms within a few weeks, a biopsy is warranted. In this case, I chose a punch biopsy, but a shave biopsy would have also led to the proper diagnosis. Many of our patients have diabetes or questionable blood flow, posing risks to healing of a punch biopsy. Shave biopsies are relatively non-invasive with minimal risk of non-healing and ulceration. With the pathology report nudging one in the proper direction, one is able to formulate a definitive treatment plan. Within one month, this condition was nearly clinically healed.
Dr. Stas is an Associate of the American College of Foot and Ankle Surgeons and is fellowship-trained in Podiatric Dermatology. He is in practice in with NOMS Ankle and Foot Care Centers in Ohio.
1. Witchey DJ, Witchey NB, Roth-Kauffman MM, Kauffman MK. Plantar warts: epidemiology, pathophysiology, and clinical management. J Am Osteopath Assoc. 2018;118(2):92- 105.
2. Vlahovic TC, Khan MT. The human papillomavirus and its role in plantar warts: a comprehensive review of diagnosis and management. Clin Podiatr Med Surg. 2016;33(3):337-353.
3. D’Souza GF, Zins JE. Severe plantar warts in an immunocompromised patient. N Engl J Med. 2017;377(3):267.
4. Lipke MM. An armamentarium of wart treatments. Clin Med Res. 2006;4(4):273- 293.
5. Al Aboud AM, Nigam PK. Wart. 2020 In: StatPearls [Internet]. Treasure Island (FL): StatPearls Publishing; 2021. PMID: 28613701.
6. Laurent R, Kienzler JL, Croissant O, Orth G. Two anatomoclinical types of warts with plantar localization: specific cytopathogenic effects of papillomavirus. Type I (HPV- 1) and type 2 (HPV-2). Arch Dermatol Res. 1982;274(1-2):101-111.
7. Cockayne S, Hewitt C, Hicks K, et al. Cryotherapy versus salicylic acid for the treatment of plantar warts (verrucae): a randomised controlled trial. BMJ. 2011;342:d3271. doi: 10.1136/bmj.d3271.
Additional Reference
8. Kempf W, Kutzner H, Feit J, Karai L. Atlas of Dermatopathology. West Sussex, UK:Wiley Blackwell:2015.


