When A 65-Year-Old Female Presents With A Painful Protruding Forefoot Lesion
A 65-year-old female with a past history of melanoma and no other pertinent medical history presented to the clinic with a painful protruding lesion on her right forefoot. The lesion appeared approximately five years earlier, but had never caused pain or problems with weight-bearing until recently. There was no known history of trauma or inciting event. Six months before her visit to our clinic, she received a diagnosis of melanoma on her shoulder, treated with pembrolizumab (KEYTRUDA,® Merck) chemotherapy. Unfortunately, she did not tolerate the chemotherapy and had to discontinue it due to side effects. That same time is when she noticed pain and increased growth of the lesion on her forefoot. She did see another physician who referred her to our clinic without any prior treatment.
On physical exam, she had a two by one cm, verrucous, pink/flesh-colored, pedunculated lesion on the plantar forefoot under the fourth metatarsal head that was very tender to palpation. There was no erythema or other indication of infection. There was, however, a cup-shaped shallow depression at the base of the lesion. There was no drainage and no purulence or underlying bogginess. No puncture sign was evident, and there was no appreciable foreign body on palpation. Her pedal pulses were palpable with an immediate capillary refill time.
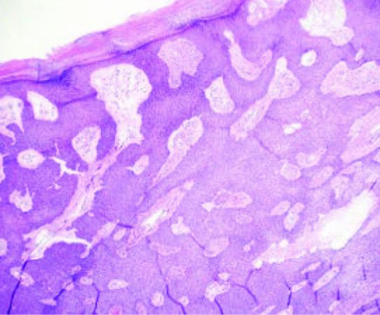
The initial working diagnosis was verruca, but we chose to perform a biopsy to rule out atypical malignancy. We administered local anesthesia to the dorsal aspect of the foot with three milliliters of 1% lidocaine plain before performing a shave biopsy of the lesion with a #15 blade. Upon removal of the lesion, there was significant bleeding, and the base appeared more erythematous, but there was still no indication of infection. The lesion was placed in formalin and sent for histological examination, which reported a “monomorphous proliferation of cuboidal, basophilic cells emanating from the undersurface of the epithelium.” It also demonstrated “small, duct-like laminae … within sheets of neoplastic cells.” The examination did not identify histologic features of melanoma.
Key Questions To Consider
1. What is the diagnosis?
2. What is the best way to diagnose this condition?
3. What is the treatment of choice for this condition?
4. What is the prognosis associated with this condtion?
Answering The Key Diagnostic Questions
1. The pathology examination confirmed a diagnosis of eccrine poroma.
2. Dermoscopy may be a helpful option, although the literature reveals wide variability in its characteristic dermoscopic features. As not all physicians have the tools or skill to perform accurate dermoscopy, biopsy (shave, punch, or other incisional technique) is frequently necessary for definitive diagnosis.
3. The treatment of choice for eccrine poroma is excision with or without electrodessication. Even subtotal excision via a biopsy frequently is enough to obtain resolution, and recurrence is rare.1
4. Prognosis for eccrine poroma is generally good given that resolution may occur with even subtotal excision and the infrequency of recurrence; however, 18 percent may transform to porocarcinoma.1 Chemotherapy and radiation therapy are also associated with the development of multiple poromas, a condition called “poromatosis.”3
What You Should Know About Eccrine Poroma
The pathology analysis confirmed that the lesion was an eccrine poroma. A poroma is a benign adnexal neoplasm originating from the intraepidermal portion of the sweat gland duct.1 Pinkus and colleagues first described this condition in 1956, and since then, multiple, small published case studies provide further characterization of this lesion due to its relatively rare occurrence. In fact, eccrine poroma only accounts for 0.0058 to one percent of all primary cutaneous lesions.1,2 It mainly affects middle-aged and elderly individuals but has no race or sex predilection.1 Although the exact etiology of this lesion is unknown, several correlations exist between poroma and long-term radiation exposure, chemotherapy, pregnancy, and other skin diseases (ie Bowen’s disease).1,2 There is no identified family predilection for this particular pathology.3
Eccrine poroma typically presents as a solitary, dome-shaped or pedunculated papule, plaque, or nodule.3 It can have a smooth, verrucous, or even ulcerated texture and is usually red; however, it can be flesh-colored, pink, white, or blue as well, making the diagnosis more complicated at times.3 A distinct feature is a cup-shaped shallow depression from which the tumor protrudes.4 Usually, one can find these lesions on the palmar or plantar surfaces; in fact, 65 to 68 percent of eccrine poromas occur in the feet.5 It is generally a slow-growing and usually asymptomatic lesion, but some patients may experience itching and pain, especially when the lesion of concern is present on a weight-bearing surface.1
Examining The Diagnostic Options
As the clinical appearance of eccrine poroma can be deceiving, diagnostic testing is advisable to prevent physicians from treating incorrectly, which could result in poor outcomes for the patient. Dermoscopy can be helpful for eccrine poroma, although there is wide variability in regards to its characteristic features.6 Many report a leaf-and-flower-like vascular pattern and interlacing white cords with a white-to-pink halo and milky-red globules.1,6
Marchetti and team quantified the likelihood of the diagnosis and found that any of the following features in a lesion have a sensitivity of 62.8 percent and a specificity of 82 percent for eccrine poroma:
• white interlacing areas around vessels;
• yellow structureless areas;
• milky-red globules; and
• poorly visualized vessels.6
Others report dermoscopic findings that can complicate the diagnosis. For example, some have found blue-gray ovoid nests with the arborizing vessels, which closely resemble basal cell carcinoma. One can also see the irregular vessels commonly found in eccrine poroma in amelanotic melanoma. Finally, one can confuse the perivascular whitish halos and lacuna-like vascular structures with angioma, which has a clinical appearance very similar to eccrine poroma.6
As dermoscopy can be unreliable and many physicians lack the necessary tools and skills to utilize it, a biopsy of the lesion is frequently helpful in obtaining a definitive diagnosis. Utilizing a shave, punch, or other incisional biopsy technique, one can send the lesion specimen in formalin for histological examination, which will show a well-circumscribed tumor composed of cuboidal keratinocytes (ie poroidal cells) that extend from the basal layer into the dermis.1 The cells have a non-palisading pattern despite being involved in the sweat gland duct, and the nuclei will be monomorphous and ovoid with discrete nucleoli. The cytoplasm is usually eosinophilic, and the cells usually stain positively with periodic acid-Schiff. Carcinoembryonic antigen (CEA) immunostaining can assist in confirmation of the ductal differentiation.3
Understanding Treatment Options And Prognosis
The treatment of choice for eccrine poroma is excision with or without electrodessication. Even subtotal excision via a biopsy frequently is enough to obtain resolution, and recurrence is rare.1 In my practice, I aim for total excision, but if one doesn’t eradicate the entire lesion with the first shave, or complete excision would cause a problem for closure, subtotal excision may be sufficient.
The prognosis of eccrine poroma is generally good given that resolution may occur with even subtotal excision and the infrequency of recurrence; however, 18 percent do go on to become porocarcinomas in a mean of 8.5 years.1,2 The incidence of porocarcinoma ranges from 0.005 to 0.01 percent of all epithelial cancers and usually occurs more in the head and neck (39.9 percent) compared to the lower extremity (33.9 percent).1,3 Predisposing factors contributing to the transformation to porocarcinoma include immunosuppression, exposure to chemical agents, and chronic light exposure.3 Chemotherapy and radiation therapy are also associated with the development of multiple poromas, a condition called “poromatosis.”3
Final Thoughts
In the case described above, a shave biopsy was a key factor in obtaining an accurate diagnosis for this patient. The time since onset of the lesion, recent growth and onset of pain, along with the patient’s past history of melanoma are among the circumstances that should prompt consideration of a biopsy. In this particular case, the patient achieved total resolution of her concern even with a small amount of remaining lesion left after biopsy.
Dr. Vella is a fellowship-trained podiatrist in practice in Gilbert and Sun City, Ariz.
1. Sawaya JL, Khachemoune A. Poroma: a review of eccrine, apocrine and malignant forms. Int J Dermatol. 2014;53(9):1053-1061.
2. Karpathiou G, Mobarki M, Corsini T, et al. Eccrine poroma of the vulva. Amer J Dermpath. 2019;41(2):162-164.
3. Ahmed JN, Masood S. Poroma. StatPearls. Treasure Island (FL): StatPearls Publishing; 2021.
4. Wankhade V, Singh R, Sadhwani V, et al. Eccrine poroma. Indian Dermatol Online J. 2015;6(4):304-305.
5. Lee HR, Jung GY, Shin HK, et al. Eccrine poroma of the postauricular area. Arch Craniofac Surg. 2017;18(1):44-45.
6. Conforti C, Giuffrida R, Seabra Resende FS, et al. Dermoscopic features of nonpigmented eccrine poroma. Clin Exp Dermatol. 2019;44(8):937-938.


