A Closer Look at the “Goalpost” Technique for Distal Chevron Osteotomy Provisional Fixation
Hallux abducto valgus (HAV) is a very common and challenging-to-treat foot deformity. Much research exists on the variety of osteotomies and fixation for the first ray, including the commonly performed distal chevron osteotomy (DCO). In this paper, we present a novel technique for temporary fixation for the DCO. This temporary fixation utilizes two, 0.045-inch Kirschner wires (K-wires) to temporarily stabilize the osteotomy while creating a centralized area within the metatarsal head, neck, and shaft, not containing the temporary fixation, forming the appearance of uprights of an American football goal post. This provisional fixation can reduce the likelihood of interference with definitive fixation placement for this style of osteotomy. The authors theorize that using the "goalpost" technique for provisional fixation of a distal chevron osteotomy produces a simple, stable, and reproducible outcome that minimizes operative time. We also feel that this technique is especially valuable in an educational environment for those initially learning the distal chevron osteotomy in hallux abducto valgus surgery.
Establishing a Historical Perspective
Hallux abducto valgus (HAV) is the most treated deformity of the first ray.1 There are numerous surgical procedures and osteotomies proposed to treat this deformity.2 Goals of bunion surgery are primarily to reduce pain with an acceptable cosmetic result. Additional goals include restoring congruency of the first metatarsophalangeal joint and eliminating the medial eminence by restoring the radiographic osseous angles without shortening or elevatus of the first ray.2,3 In patients with mild-to-moderate HAV deformity, the distal chevron osteotomy is among the most utilized surgical methods. For those patients with a more severe deformity, the literature recommends diaphyseal or proximal osteotomies.3,4
The distal chevron osteotomy has excellent intrinsic stability, as Dale Austin originally described this procedure without fixation.4 Since its inception, the traditional 60-degree arms have undergone modification to further increase healing and stability.5,6 Additionally, there are several different fixation methods described, including: K-wire-only fixation, single-screw fixation, two-screw fixation, and plate and screw fixation.7-12 Temporary fixation with K-wires is a popular option to hold the alignment of the first ray while confirming via radiography and during placement of permanent screw fixation. One pitfall of traditional provisional K-wire fixation at the first MTPJ includes issues of interference between the temporary and permanent fixation. The temporary fixation technique described here could theoretically reduce this concern.
Key Components of the Perioperative Planning
Preoperatively, clinical and radiographic findings contribute to determining the correct treatment pathway for the bunion deformity. Clinically, the exam includes , but is not limited to, assessing the flexibility of the deformity, associated toe deformities, and tightness of the gastroc-soleal complex. Three weight-bearing views of foot radiographs determine data such as the metatarsophalangeal and intermetatarsal angles. The senior surgeon's general radiographic criteria for DCO include first intermetatarsal angles less than 15 degrees and hallux abducto valgus angles less than 25 degrees.
Absolute contraindications for DCO include first metatarsophalangeal joint arthritis or damage to the first metatarsal head articular surface. Relative contraindications include a history of nonadherence to treatment, smoking, obesity, peripheral vascular disease, and preexisting infection. Additional relative contraindications include high first intermetatarsal angles (greater than 12 degrees) and large hallux abducto valgus angles (greater than 25 degrees).3-5
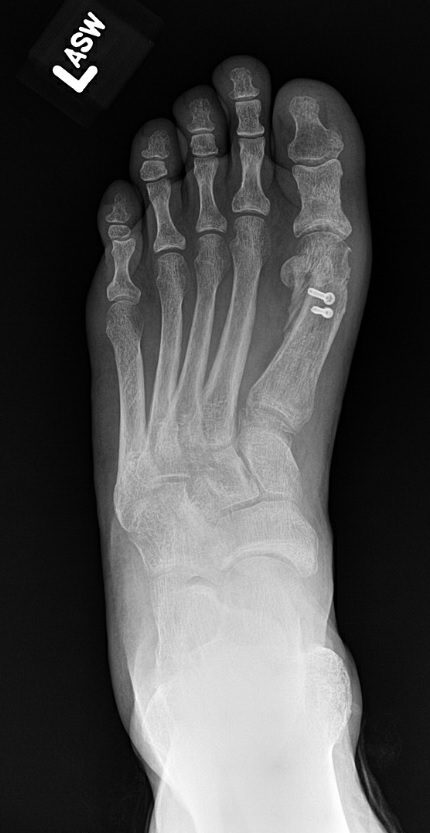
Bunion deformities are most common in older females but can occur in both genders and at all ages. As described by Austin, indications for DCO include mild-to-moderate hallux abducto valgus without osteoarthritis of the first metatarsophalangeal joint.4 Patient history is essential to identify factors contributing to the deformity, such as a familial history of bunions, arthridities, shoe gear, and activity. Clinical examination should take place with the patient in sitting, standing, and walking positions. Range of motion examination can assess first MTPJ joint functionality. Tracking and trackbound status is also important, as well as assessment of concurrent deformities such as hammertoes, to assess for compensatory mechanisms. Radiographs help assess the severity of the bunion deformity (see first photo). Both the clinical exam and imaging contribute to procedure choice, usually after a patient undergoes conservative treatment for several months or more. After failure of nonoperative therapy such as orthotics, wider shoes, padding, and taping, the physician may recommend surgical treatment.
Pearls Essential to the Goalpost Temporary Fixation Technique
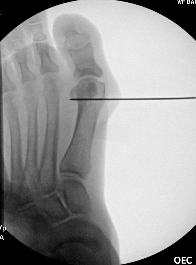
Anesthesia is often a combination of IV sedation and a local Mayo block. The surgeon applies an ankle tourniquet on a well-padded extremity before making a longitudinal skin incision overlying the first MTPJ just medial to the extensor tendon. The surgeon carries the incision down through the subcutaneous tissues, protecting neurovascular structures in the standard fashion. Next, one deepens the incision longitudinally through the capsule down to bone, and exposes the first metatarsophalangeal joint before freeing the medial and lateral capsular attachments. The surgeon resects the medial eminence of the first metatarsal head, carefully preserving the sagittal groove. Then, one drives a K-wire from medial-to-
lateral in the center of the metatarsal head perpendicular to the long axis of the first metatarsal (see second photo). Then, osteotomy creation takes place in the metatarsal head in a distal chevron style with the dorsal arm perpendicular to the weight-bearing surface, and the plantar arm approximately parallel with the weight-bearing surface. Translation of the metatarsal head is approximately 3 to 6 mm laterally at the surgeon's discretion. After obtaining the appropriate translation, one applies manual compression through the osteotomy site.
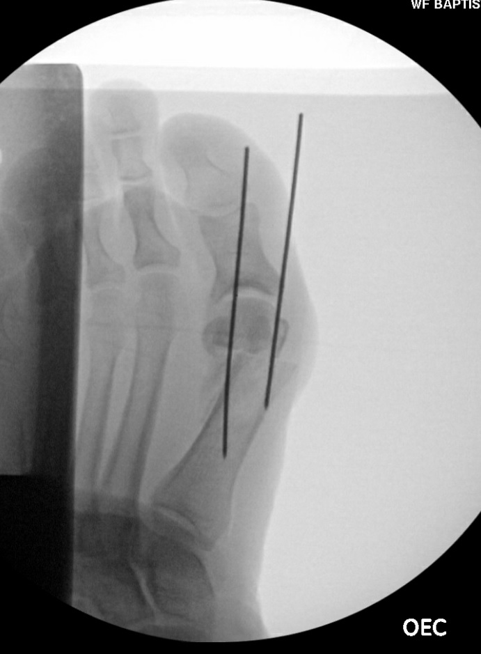
To create the temporary fixation, the surgeon introduces a 0.045-inch K-wire through the dorsal medial cartilage of the metatarsal head and advances it through the proximal dorsomedial metatarsal neck crossing the osteotomy site (see third photo). Next, one introduces a second K-wire parallel to the previous wire from the dorsal lateral cartilage of the metatarsal head and advancing through the proximal dorsal
lateral metatarsal neck crossing the osteotomy site (see fourth photo from top). After confirming satisfactory osteotomy position under fluoroscopy, a guidewire then bisects the "goalpost" created by the temporary fixation. This guidewire traverses from the metatarsal neck dorsal proximal to plantar distal through the osteotomy site and the crista of the metatarsal head.
Then a properly sized cannulated screw placed over this guidewire effects compression at the osteotomy (see fifth photo). At surgeon discretion, a second cannulated screw
proximal to the previous screw may reduce the risk of rotation of the capital fragment (see sixth photo). One removes the provisional K-wires, and again tests the screw compression before confirming osseous alignment on fluoroscopy.. After incision irrigation, the surgeon performs a medial capsulorrhaphy if necessary, then closing in layers using the surgeon’s preferred technique. Immediate postoperative radiographs are obtained to assure proper alignment.
What is the Typical Postoperative Course?
The surgical team places a well-padded soft dressing and surgical shoe to the operative foot and advises non-weight-bearing to the forefoot for four to six weeks postoperatively. At two weeks, sutures removal takes place. Radiographs at two and six weeks postop evaluate for maintenance of deformity correction, bony incorporation of the osteotomies, and viability of fixation. In the specific case presented here, there is demonstration of improved correction compared to the
preoperative films (Fig. 7). At four to six weeks postoperatively, the patient may initiate weight-bearing to the forefoot. After the six-week visit, patient-directed physical therapy begins, and the patient performs passive range of motion exercises of the first metatarsophalangeal joint as directed. At around 8 weeks, patients can wear regular shoes and perform activities as tolerated.
Consideration of Potential Complications
Described complications with distal chevron osteotomies include: displacement of the capital fragment, malunion, intra-articular penetration of fixation, hallux varus, avascular necrosis, recurrence, and wound healing complications.14 In our experience, the major risk with the proposed "goalpost" technique compared with traditional temporary fixation methods for the DCO is cartilage damage. Due to the temporary K-wires violating the dorsal-most articular cartilage of the dorsal metatarsal head, there is a theoretical increased risk for post-traumatic arthritis of the first MTPJ. This is likely a minor risk given the small nature of the 0.045 inch Kirschner wires. In our experience, there has been no increase in post-traumatic arthritis from this procedure as compared with traditional techniques for provisional fixation of DCO.
Concluding Thoughts
Temporary fixation of distal bunion osteotomies is a crucial part of the procedure that allows adequate space for placement of the screw fixation in the corrected position. While the technique does require a Kirschner wire to violate the cartilage surface of the first metatarsal head, our experience has not shown this to increase the patient's likelihood of development of post-traumatic arthritis. The "goalpost technique" of provisional fixation is a reproducible, simple technique that allows for a clear pathway for stable internal fixation of a chevron osteotomy.
An advantage of using k wires for provisional fixation is that they are smaller and cheaper than other fixation such as screws.15 Future research into this technique would include determining if there were any deleterious effects from the violation of the cartilage. Additional research would compare the outcomes of the single screw fixation of this technique for chevron osteotomy to double K-wire or two screw techniques.
Drs. Hoffler and Brackney are third-year residents, at the Podiatric Medicine and Surgery Residency Program in the Department of Orthopaedic Surgery at Wake Forest Baptist Medical Center in Winston-Salem, NC.
Drs. Powers, Blazek, and Dial are Assistant Professors in the Department of Orthopaedic Surgery at Wake Forest Baptist Medical Center in Winston-Salem, NC.
Dr. Burns is an Assistant Professor of the Podiatric Medicine and Surgery Residency, in the Department of Orthopaedic Surgery at University of Pittsburgh School of Medicine in Pittsburgh, PA.
1. Coughlin MJ, Saltzman CL, Nunley JA. Angular measurements in the evaluation of hallux valgus deformities: a report of the ad hoc committee of the American Orthopaedic Foot & Ankle Society on angular measurements. Foot Ankle Int. 2002;23:68–74.
2. Sanhudo JA, Gomes JE, Rabello MC, et al. Interobserver and intraobserver reproducibility of hallux valgus angular measurements and the study of a linear measurement. Foot Ankle Spec. 2012;5:374–377.
3. Ravenell RA, Kihm CA, Lin AS, Garing FX. The offset V osteotomy versus the modified Austin with a longer plantar arm: a comparison of mechanical stability. J Foot Ankle Surg. 2011;50(2):201-206.
4. Austin DW, Leventen EO. A new osteotomy for hallux valgus. Clin Orthop Relat Res. 1981;157:25-30.
5. Kalish SR, Spector JE. The Kalish osteotomy. A review and retrospective analysis of 265 cases. J Am Podiatr Med Assoc. 1994;84(5):237-242.
6. Peterson, DA, Zilberfarb, JL, Greene, MA. Avascular necrosis of the first metatarsal head: incidence in distal osteotomy combined with lateral soft tissue release. Foot Ankle Int. 1994;15(2):59–63.
7. Trost M, Bredow J, Boese CK, et al. Biomechanical comparison of fixation with a single screw versus two Kirschner wires in distal chevron osteotomies of the first metatarsal: a cadaver study. J Foot Ankle Surg. 2018;57(1):95-99.
8. Murphy RM, Fallat LM, Kish JP. Axial loading screw fixation for chevron type osteotomies of the distal first metatarsal: a retrospective outcomes analysis. J Foot Ankle Surg. 2014;53(1):52-54.
9. Abidi, NA. Distal chevron osteotomy for correction of hallux valgus deformity. Tech Foot Ankle Surg. 2003;2(1):2–10.
10. Shereff MJ, Sobel MA, Kummer FJ. The stability of fixation of first metatarsal osteotomies. Foot Ankle. 1991;11(4):208-211.
11. Koken M, Basat HC, Kara AH, Us AK, Guclu B. Stabilization of chevron osteotomy with a capsuloperiosteal flap: Results in 15 years of follow-up. J Orthop Surg. 2019. doi: 10.11772309499019833059
12. Armstrong DG, Pupp GR, Harkless LB. Our fixation with fixation: are screws clinically superior to external wires in distal first metatarsal osteotomies? J Foot Ankle Surg. 1997;36(5):353-355.
13. Trnka, HJ, Zembsch, A, Easley, ME, et al. The chevron osteotomy for correction of hallux valgus. Comparison of findings after two and five years of follow-up. J Bone Joint Surg. 2000;82-A:1373 – 1378.
14. Viehe R, Haupt DJ, Heaslet MW, Walston S. Complications of screw-fixated chevron osteotomies for the correction of hallux abducto valgus. J Am Podiatr Med Assoc. 2003;93(6):499-502.
15. Baig MN, Baig U, Tariq A, Din R. A prospective study of distal metatarsal chevron osteotomies with K-wire fixations to treat hallux valgus deformities. Cureus. 2017;9(9): e1704.


