Surgical Options For Second Metatarsophalangeal Degenerative Joint Disease
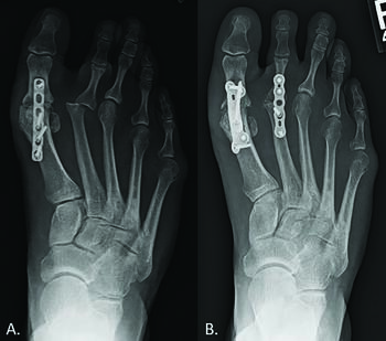
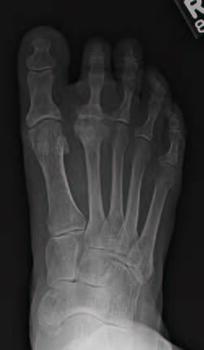
Degenerative joint disease (DJD) can be debilitating and result in functional deficits and low quality of life for the patient. DJD in the metatarsophalangeal joints (MPJ) of the foot has various treatment options, depending on the joint affected. Unfortunately, there are limited treatment options when specifically looking at DJD involving the less common second MPJ (see first photo above). Procedures to address arthritic pain at the second MPJ typically fall into two categories, either joint sparing or joint destructive. Treatment options vary depending on the preoperative pathology as well as patient-specific characteristics.
Anatomically, the second MPJ consists of soft tissue and bony structures which allow articulation between the second metatarsal head and base of the proximal phalanx. Damage or injury to the surrounding soft tissue structures may result in instability and can progress to subsequent degenerative changes. Pathologies that may develop due to prolonged second MPJ instability include predislocation syndrome, plantar plate dysfunction, synovitis, capsulitis, metatarsalgia, degenerative arthritis, and crossover toe deformity.1 Long-standing malalignment with, or without, additional soft tissue pathology may result in damage to the second metatarsal head, predisposing patients to degenerative joint disease. Other causes of second MPJ pain have been described, including iatrogenic injury, systemic arthritis, congenital abnormalities, or vascular infractions.1 The underlying cause of second MPJ arthritic pain is often multifactorial, requiring a thorough workup to guide treatment moving forward.
Key Clinical And Imaging Findings
Evaluation of a patient’s past medical history and demographics allows for evaluating metabolic, autoimmune, or vascular causes contributing to their underlying pathology. Patient-reported injury or history of multiple injections to the joint also provides important information regarding contributing factors to the cause of recurrent pain or deformity. The presence of a callus or a pre-ulcerative submetatarsal lesion is evidence of overloading of the metatarsal and is especially worrisome in the diabetic, neuropathic patient population. Palpation and manipulation of the second MPJ and digit provides information regarding the location of pain and the flexibility of the contracture if present. Vertical stress exam of the digit/MPJ can assess for capsular instability of the joint. Range of motion examination demonstrating joint crepitus or impingement of periarticular bone spurs indicates a more advanced joint degeneration.
Weight-bearing radiographs allow for evaluation of biomechanical relationships of the foot, including the metatarsal parabola and concomitant hallux abductovalgus deformity. In our practice, we find that weight-bearing radiographs of the whole foot are more advantageous than isolated digital radiographs, as it allows us to better understand foot structure, deformities, and adjacent pathology. One can visualize joint space narrowing and periarticular osteophytes on radiographs in addition to congenital abnormalities involving the second metatarsal or surrounding structures. Advancing imaging including magnetic resonance imaging (MRI), arthrogram, and MR arthrogram may be required when concern for avascular necrosis is present. The authors find that an arthrogram is extremely useful to evaluate capsular integrity.
Conservative Treatment Options
Conservative treatment options often depend on the severity of the patient’s pain and concomitant deformity. Custom orthotics, toe spacers, topical and oral over-the-counter pain medications, taping, and shoe gear modifications are best for patients with mild to moderate pain. One can use joint injections as a therapeutic and diagnostic tool to isolate the source of pain. There are limited conservative treatment options for patients suffering intractable second MPJ pain, and as a result, a variety of surgical treatments aim to repair, restore, and realign the second MPJ. The authors recognize that additional procedures may be required to address the associated first ray or foot pathology in some instances.
Joint Sparing Surgical Options For DJD Of The Second MPJ
Plantar Plate Repair And Soft Tissue Realignment. Patients may present with clinical and imaging findings consistent with plantar plate pathology resulting in subsequent joint degeneration. Plantar plate repair with or without extensor tendon lengthening, capsular repair, or tendon transfers can be performed in addition to any osseous procedure, often not in isolation. A dorsal or plantar approach for plantar plate repair provides adequate visualization of the damaged structures.2 The surgical approach is dictated depending on concomitant procedures planned. Plantar plate repair with or without soft tissue realignment provides an adjunctive procedure that addresses a portion of the multifactorial cause of patients’ second MPJ pain. Surgeons commonly perform joint synovectomy alongside soft tissue reconstruction. Any minor, articular, cartilaginous defects are curetted back to firm margins, and subchondral bone drilling takes place with a small K-wire under a saline drip.
Arthroplasty And Cheilectomy. One of the most common approaches to addressing DJD of the second MPJ is joint debridement, including arthroplasty combined with a cheilectomy. This approach is best for limited involvement of the joint articular surface and should be considered, especially in patients suffering from early stages of DJD.1 Additionally, a plantar condylectomy can aid in offloading plantar joint pain or if the patient has a callus or pre-ulcerative lesion in the sub-metatarsal region. Patients with end-stage joint disease are unlikely to have significant pain relief with these procedures in isolation and typically benefit from a more aggressive surgical approach. Concomitant surgical procedures to address additional deforming forces (plantar plate repair, soft tissue rebalancing) are commonly included in these procedures to allow long term success.1
Metatarsal Osteotomy. Patients who suffer from more advanced degenerative joint changes involving the dorsal cartilage may require a metatarsal osteotomy. Two common osteotomy procedures include a dorsiflexory wedge osteotomy or a shortening osteotomy. When performing a dorsiflexory wedge osteotomy, one takes a one- to two-mm extra-articular wedge from the dorsal aspect of the metatarsal. The apex is directed plantarly and located either intra-articular or extra-articular.3-5 Fixation placement is in a dorsal-proximal to plantar-distal direction allowing for dorsal translation. This allows for the (commonly) unaffected plantar cartilage of the metatarsal head to be brought more dorsally to participate in joint motion. Postoperatively, we have found that patients typically experience decreased pain and improved range of motion.
An intra-articular shortening osteotomy allows for decompression of the joint and is indicated primarily in patients with long second metatarsals with regards to the forefoot parabola. The osteotomy is performed distal-dorsal to proximal-plantar and is made parallel to the weight-bearing surface. The authors aim to make the starting point just inside the dorsal aspect of the articular surface. Transposition of the capital fragment proximally decompresses the joint and can be manipulated in the transverse plane, when appropriate, to help address medially or laterally deviated toes. Following fixation, conjunctive joint debridement may take place in addition to either metatarsal osteotomy technique.
Interpositional Arthroplasty. Interpositional arthroplasty can be a viable treatment option in patients with more advanced arthritis of the second MPJ but who desire to minimize pain and preserve joint range of motion. Several described techniques utilize autogenous dorsal capsule,6 extensor digitorum brevis,7 extensor digitorum longus,8 palmaris longus,9 allografts,10 and other synthetic materials11 for interpositional arthroplasties. Patient-reported outcomes from various interpositional methods result in good or excellent patient satisfaction with decreased pain and preservation of joint motion. When one cannot use native tissue as an autograft, reports of interpositional allografts also demonstrate excellent or good patient satisfaction.11 The authors believe that interpositional arthroplasty provides a good alternative when arthrodesis is not indicated or possible, without the increased cost of artificial implants or any significant loss of second toe length.
Grafting Procedures. Limited literature exists evaluating autologous or allogenic transplant grafting in the treatment in DJD of the second MPJ. Various techniques have been described in the literature to address the dead, sclerotic bone, specifically those with Frieberg’s disease. The first reported use of an osteochondral autograft utilized a plug from the patient’s ipsilateral lateral femoral condyle.12 At the one-year follow-up, the patient had full return to activity. More recently, reports utilizing a similar technique have demonstrated reproducible results without evidence of subsidence.13 Autografts from the plantar surface of the talar head or allogenic grafts from a fresh frozen cadaver specimen are also applicable.1 For large deficits of the metatarsal head, a mosaicplasty technique can be utilized. Due to the small surface area of the second metatarsal head, care to avoid making too many plugs is needed. Complications of graft subsidence or failure to incorporate are possible; however, osteochondral grafting offers a good surgical treatment option for patients with focal articular damage.1
Joint Destructive Surgical Options For DJD Of The Second MPJ
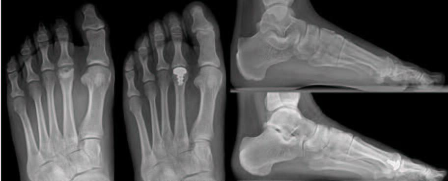
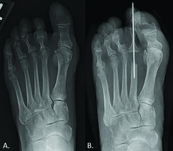
Implant Arthroplasty. Synthetic implants are a well-known treatment option to preserve motion in the first MPJ; however, there are limited reports of hemiarthroplasty or total MPJ replacement implants utilized in the lesser MPJ. Descriptions of replacement arthroplasty with silicone,11 ceramic,14 and titanium15 devices all exist. Implant arthroplasty provides patients with an option to decrease pain and retain motion at the MPJ; however, literature has not reported reliable success. Complications include prosthesis failure, loosening, synovitis, osteolysis, and increased potential for revision surgery.16 The senior author prefers a metatarsal head resurfacing implant as a primary “go-to” procedure for advanced arthritis of the second MPJ (see second photo set above). Our preferred implant system has a screw/post that lends immediate stability to the implant. Also, it does not require altering the weight-bearing surface of the metatarsal bone, which lessens the chance of developing postoperative transfer metatarsalgia.
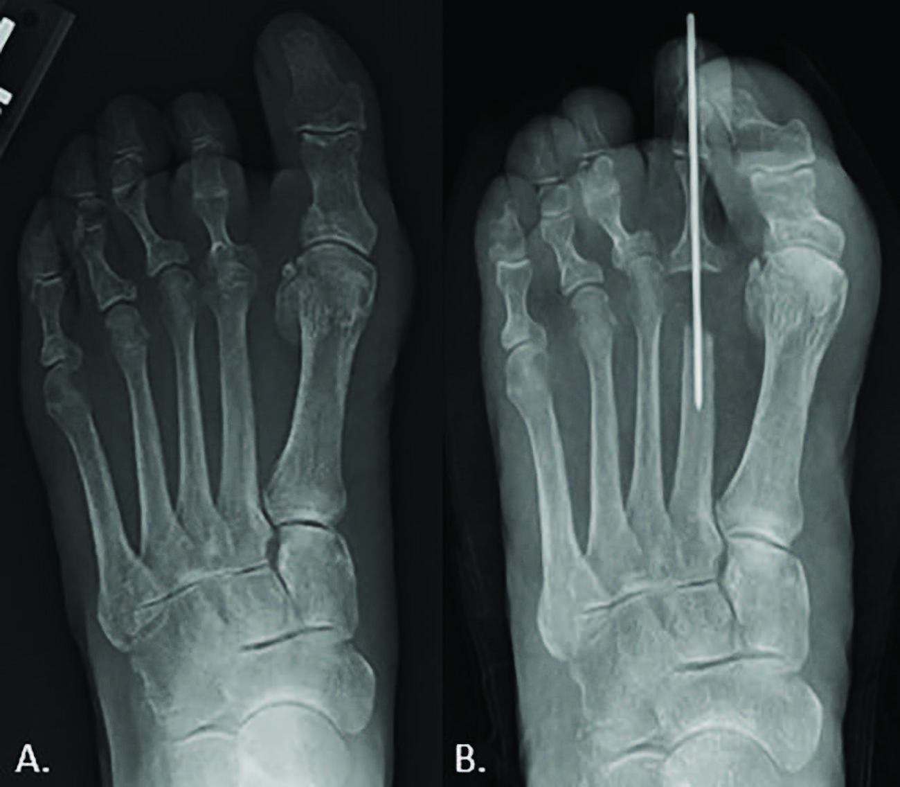
Metatarsal Head Resection. Pan-metatarsal head resection is a common procedure performed in late-stage rheumatoid arthritis; however, singular metatarsal head resection may introduce an increased risk of developing adjunctive pathologies when performed in isolation. This includes transfer metatarsalgia, shortening of the second digit, and even hallux valgus deformity. Adjunctive procedures such as a resection of the base of the proximal phalanx and interpositional arthroplasty following a metatarsal head resection may limit some of the complications seen with isolated metatarsal head resections.16 Singular metatarsal head resections are typically a last resort option in the senior author’s practice (see third photo set above).
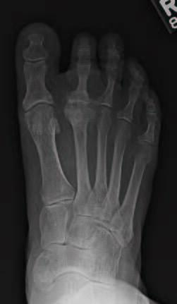
MPJ Arthrodesis. In severe, end-stage joint disease, arthrodesis of the second MPJ provides an alternative treatment option to amputation or isolated metatarsal head resection. Arthrodesis of the second MPJ is a viable option in patients with low ambulatory demands, who suffer from extensive osteonecrosis of the metatarsal head, underwent a failed attempt at a joint salvage procedure, or who have recurrent deformity despite prior intervention. Karlock and colleagues reported clinical outcomes on a series of patients who underwent a second MPJ fusion due to severe crossover deformity. The second MPJ was positioned parallel to the hallux, with a mild dorsiflexed position off the weight-bearing surface, and de-rotated in the frontal plane. The surgeons fixated the arthrodesis with a K-wire and a staple. Ten of 11 patients had clinical and radiographic union, while no patients had recurrence of their deformities. A single patient noted postoperative metatarsalgia despite good arthrodesis alignment.17 Concern for transfer metatarsalgia, stress fractures, and gait abnormalities are also reported, resulting in recommendations to avoid arthrodesis of a lesser MPJ.18 It is common for the senior author to perform adjacent arthrodesis of the first MPJ in younger patients that require second MPJ arthrodesis to shield the lesser MPJ from excessive weight-bearing stress and premature hardware failure (see fourth set of photos above). Although various fixation constructs exist for lesser MPJ fusion, we prefer using a low-profile locking plate contoured to the joint with compression obtained through eccentrically drilled screws within the plate. In the senior authors’ experience, bone allograft is often utilized in conjunction with an arthrodesis.
Amputation. Amputation, in most cases, is not a first-line surgical treatment option for DJD of the second MPJ and is rarely requested by the patient. The presence of severe digital deformities, rheumatoid contractures, or specific patient comorbidities play a role in the surgical decision-making process. Activity level, age, or personal preference may also contribute, as the recovery process for digital amputation entails a shorter expected postoperative recovery period than other reconstructive procedures. Future complications, including hallux migration, metatarsalgia, or transfer lesions, require discussion preoperatively to set appropriate postoperative expectations.18 We believe several relatively “minor” surgical treatment options warrant exhausting before amputation, such as arthroplasty/cheilectomy.
Final Notes
Surgical treatment addressing DJD of the second MPJ is challenging to foot and ankle surgeons due to multifactorial causes of the underlying pain and deformity. Surgical treatment options depend on patient-specific characteristics, location of pain, and any concomitant deformity to ensure that one addresses all pathologies, ideally leading to positive long-term outcomes. Each surgical approach whether joint-sparing or joint-destructive, has its own advantages and disadvantages. With limited high-evidence literature published on long-term results, additional studies are necessary to develop a step-wise algorithm to guide treatment options.
Dr. Abben is a Fellowship-Trained Foot and Ankle Surgeon and a Fellow of the American College of Foot and Ankle Surgeons. He is in practice in Maple Grove, MN.
Dr. Brett is a second-year resident at Regions Hospital/HealthPartners Institute in St. Paul, MN.
1. Capobianco, CM. Surgical treatment approaches to second metatarsophalangeal joint pathology. Clin Podatr Med Surg. 2012;29:443- 449.
2. Akoh C, Phisitkul P. Plantar plate injury and angular toe deformity. Foot Ankle Clin N Am. 2018;23:703-713.
3. Lee SK, Chung MS, Baek GH. Treatment of Freiberg disease with intraarticular dorsal wedge osteotomy and absorbable pin fixation. Foot Ankle Int. 2007;28(1):43–48.
4. Chao KH, Lee CH, Lin LC. Surgery for symptomatic Freiberg’s disease: extra-articular dorsal closing-wedge osteotomy in 13 patients followed for 2-4 years. ActaOrthop Scand. 1999;70(5):483–486.
5. Lin SY, Cheng YM, Huang PJ. Freiberg’s infraction—treatment with metatarsal neck dorsal closing wedge osteotomy: report of two cases. Kaohsiung J Med Sci. 2006;22(11):580.
6. Lavery LA, Harkless LB. The interpositional arthroplasty procedure in treatment of degenerative arthritis of the second metatarsophalangeal joint. J Foot Ankle Surg. 1992;31(6):590- 594.
7. Ozkan Y, Ozturk A, Ozdemir R, Aykut S, Yalcin N. Interpositional arthroplasty with extensor digitorum brevis tendon in Freiberg’s disease: a new surgical technique. Foot Ankle Int. 2008;29(5):488-492.
8. El-Tayeby H. Freiberg’s infraction: a new surgical procedure. J Foot Ankle Surg. 1998;37(1):23- 27.
9. Liao CY, Lin AC, Lin CY, Chao TK, Lu TC, Lee HM. Interpositional arthroplasty with palmaris longus tendon graft for osteonecrosis of the second metatarsal head: a case report. J Foot Ankle Surg. 2015;54:237-241.
10. Stautberg EF, Klein SE, McCormick JJ, Salter A, Johnson JE. Outcome of lesser metatarsophalangeal joint interpositional arthroplasty with tendon allograft. Foot Ankle Int. 2020;41(3):313-319.
11. Bordelon L. Silicone implant for Freiberg’s disease. South Med J. 1977;70(8):1002-1004.
12. Hayashi K, Ochi M, Uchio Y, et al. A new surgical technique for treating bilateral Freiberg disease. Arthroscopy. 2002;18:660-664.
13. Nagura I, Fujioka H, Kokubu T, et al. Autologous osteochondral plug transplantation for osteochondrosis of the second metatarsal head: a case report. J Med Case Reports. 2011;5:308.
14. Townshend D, Greiss M. Total ceramic arthroplasty for painful destructive disorders of the lesser metatarso-phalangeal joints. Foot. 2007;17:73–75.
15. Miller ML, Lenet MD, Sherman M. Surgical treatment of Freiberg’s infraction with the use of total joint replacement arthroplasty. J Foot Surg. 1984;23(1):35–40.
16. Seybold JD, Zide JR. Treatment of Freiberg disease. Foot Ankle Clin N Am. 2018;23:157-169.
17. Karlock, LG. Second metatarsophalangeal joint fusion: a new technique for crossover hammertoe deformity. a primary report. J Foot Ankle Surg. 2003;42(4):178-182.
18. Solan MC, Davies MS. Revision surgery of the lesser toes. Foot Ankle Clin N Am. 2011;16:621- 645.


